JavaScript is disabled in your browser. Please enable JavaScript to view this website.
AB186414

Anti-Aggrecan antibody [EPR14664]

4

(1 Review)

|

(18 Publications)

Rabbit Recombinant Monoclonal Aggrecan antibody. Suitable for IHC-P and reacts with Human samples. Cited in 18 publications.

View Alternative Names

AGC1, CSPG1, MSK16, ACAN, Aggrecan core protein, Cartilage-specific proteoglycan core protein, Chondroitin sulfate proteoglycan core protein 1, CSPCP, Chondroitin sulfate proteoglycan 1

4 Images
Immunohistochemistry (Formalin/PFA-fixed paraffin-embedded sections) - Anti-Aggrecan antibody [EPR14664] (AB186414)
  • IHC-P

Supplier Data

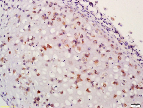
Immunohistochemistry (Formalin/PFA-fixed paraffin-embedded sections) - Anti-Aggrecan antibody [EPR14664] (AB186414)

Immunohistochemical analysis of paraffin embedded Human cartilage tissue sections labeling Aggrecan using ab186414 at a 1/500 dilution. A ready to use HRP Polymer for Rabbit IgG was used as the secondary. Hematoxylin counterstain.

Perform heat mediated antigen retrieval with citrate buffer pH 6 before commencing with IHC staining protocol.

Immunohistochemistry (Formalin/PFA-fixed paraffin-embedded sections) - Anti-Aggrecan antibody [EPR14664] (AB186414)
  • IHC-P

Unknown

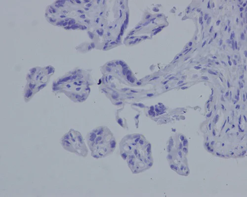
Immunohistochemistry (Formalin/PFA-fixed paraffin-embedded sections) - Anti-Aggrecan antibody [EPR14664] (AB186414)

ab186414 staining Aggrecan in normal Human placenta tissue section by Immunohistochemistry (Formalin/ PFA-fixed paraffin embedded section). ab186414 shows negative staining in normal Human placenta tissue section. A ready to use HRP Polymer for Rabbit IgG was used as the secondary antibody. Hematoxylin counterstain.

Perform heat mediated antigen retrieval with citrate buffer pH 6 before commencing with IHC staining protocol.

Immunohistochemistry (Formalin/PFA-fixed paraffin-embedded sections) - Anti-Aggrecan antibody [EPR14664] (AB186414)
  • IHC-P

Unknown

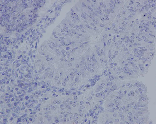
Immunohistochemistry (Formalin/PFA-fixed paraffin-embedded sections) - Anti-Aggrecan antibody [EPR14664] (AB186414)

ab186414 staining Aggrecan in Human colon carcinoma tissue section by Immunohistochemistry (Formalin/ PFA-fixed paraffin embedded section). ab186414 shows negative staining in Human colon carcinoma tissue section. A ready to use HRP Polymer for Rabbit IgG was used as the secondary antibody. Hematoxylin counterstain.

Perform heat mediated antigen retrieval with citrate buffer pH 6 before commencing with IHC staining protocol.

Immunohistochemistry (Formalin/PFA-fixed paraffin-embedded sections) - Anti-Aggrecan antibody [EPR14664] (AB186414)
  • IHC-P

Unknown

Immunohistochemistry (Formalin/PFA-fixed paraffin-embedded sections) - Anti-Aggrecan antibody [EPR14664] (AB186414)

ab186414 staining Aggrecan in normal Human colon tissue section by Immunohistochemistry (Formalin/ PFA-fixed paraffin embedded section). ab186414 shows negative staining in normal Human colon tissue section. A ready to use HRP Polymer for Rabbit IgG was used as the secondary antibody. Hematoxylin counterstain.

Perform heat mediated antigen retrieval with citrate buffer pH 6 before commencing with IHC staining protocol.

Key facts

Host species

Rabbit

Clonality

Monoclonal

Clone number

EPR14664

Isotype

IgG

Carrier free

No

Reacts with

Human

Applications

IHC-P

applications

Immunogen

The exact immunogen used to generate this antibody is proprietary information.

Reactivity data

{ "title": "Reactivity Data", "filters": { "stats": ["", "Species", "Dilution Info", "Notes"], "tabs": { "all-applications": {"fullname" : "All Applications", "shortname": "All Applications"}, "IHCP" : {"fullname" : "Immunohistochemistry (Formalin/PFA-fixed paraffin-embedded sections)", "shortname":"IHC-P"} }, "product-promise": { "all": "all", "testedAndGuaranteed": "tested", "guaranteed": "expected", "predicted": "predicted", "notRecommended": "not-recommended" } }, "values": { "Human": { "IHCP-species-checked": "testedAndGuaranteed", "IHCP-species-dilution-info": "1/500 - 1/1000", "IHCP-species-notes": "<p></p> Perform heat-mediated antigen retrieval with citrate buffer pH 6 before commencing with IHC staining protocol." } } }

Product details

Patented technology
Our RabMAb® technology is a patented hybridoma-based technology for making rabbit monoclonal antibodies. For details on our patents, please refer to RabMAb® patents.

What are the advantages of a recombinant monoclonal antibody?
This product is a recombinant monoclonal antibody, which offers several advantages including:

  • - High batch-to-batch consistency and reproducibility
  • - Improved sensitivity and specificity
  • - Long-term security of supply
  • - Animal-free batch production

For more information, read more on recombinant antibodies.

Properties and storage information

Form
Liquid
Purification technique
Affinity purification Protein A
Storage buffer
pH: 7.2 - 7.4 Preservative: 0.01% Sodium azide Constituents: PBS, 40% Glycerol (glycerin, glycerine), 0.05% BSA
Shipped at conditions
Blue Ice
Appropriate short-term storage duration
1-2 weeks
Appropriate short-term storage conditions
+4°C
Appropriate long-term storage conditions
-20°C
Aliquoting information
Upon delivery aliquot
Storage information
Avoid freeze / thaw cycle

Supplementary information

This supplementary information is collated from multiple sources and compiled automatically.

Aggrecan also known as aggrecan core protein or chondroitin sulfate proteoglycan 1 is a large proteoglycan vital for cartilage structure and function. It has a mass of approximately 250 kDa. Aggrecan is expressed mostly in cartilage regions such as articular cartilage but it might also be found in other connective tissues. The structure of aggrecan consists of a core protein that attaches to glycosaminoglycan chains allowing it to create hydrated gel structures essential for the resilience and load-bearing properties of cartilage.
Biological function summary

Aggrecan plays a significant role in maintaining the structural integrity of cartilage by providing resistance to compression. This proteoglycan is a central component of the extracellular matrix forming large aggregates with hyaluronic acid and link proteins. These aggregates contribute to the cartilage's osmotic properties helping resist compression during joint movement. Aggrecan's structural properties make it necessary for normal joint function and health.

Pathways

Aggrecan interacts within the cartilage development and maintenance frameworks. Specifically it participates in the regulation of the ECM-receptor interaction pathway and the proteoglycans in cancer pathway. Aggrecan functions alongside proteins such as type II collagen to ensure biomechanical properties of the cartilage. Additionally its enzymatic breakdown by aggrecanases like ADAMTS can impact these pathways leading to various physiological effects.

Aggrecan is closely associated with osteoarthritis and intervertebral disc degeneration. In osteoarthritis the loss of aggrecan through enzymatic degradation leads to reduced joint function and increased pain. The breakdown involves aggrecanases and other matrix metalloproteinases resulting in cartilage degradation. Diseases such as intervertebral disc degeneration also link to the reduced presence or altered structure of aggrecan impacting spine health and mobility.

Product protocols

For this product, it's our understanding that no specific protocols are required. You can visit:

Target data

This proteoglycan is a major component of extracellular matrix of cartilagenous tissues. A major function of this protein is to resist compression in cartilage. It binds avidly to hyaluronic acid via an N-terminal globular region.
See full target information ACAN

Publications (18)

Recent publications for all applications. Explore the full list and refine your search

Journal of inflammation research 18:5293-5309 PubMed40264591

2025

Gubi Decoction Ameliorates Porous Cartilage Endplate in an Intervertebral Disc Degeneration Model Mouse Through Inhibition of NF-κB Activity and Pyroptosis.

Applications

Unspecified application

Species

Unspecified reactive species

Sai Yao,Yanan Li,Hongfeng Ruan,Lianguo Wu,Hanbing Zeng

Advanced science (Weinheim, Baden-Wurttemberg, Germany) 12:e2412908 PubMed39804951

2025

Rescuing ACE2-Deficiency-Mediated Nucleus Pulposus Senescence and Intervertebral Disc Degeneration by a Nanotopology-Enhanced RNAi System.

Applications

Unspecified application

Species

Unspecified reactive species

Kaiqiang Sun,Zijian Kang,Chen Yan,Yan Yu,Linhui Han,Yangyang Shi,Liang Chen,Jiangang Shi,Yu Chen,Jingchuan Sun

JCI insight 9: PubMed39405183

2024

Identification of LRP1+CD13+ human periosteal stem cells that require LRP1 for bone repair.

Applications

Unspecified application

Species

Unspecified reactive species

Youngjae Jeong,Lorenzo Deveza,Laura Ortinau,Kevin Lei,John R Dawson,Dongsu Park

Biomaterials science 11:7768-7783 PubMed37870786

2023

Combining biomimetic collagen/hyaluronan hydrogels with discogenic growth factors promotes mesenchymal stroma cell differentiation into Nucleus Pulposus like cells.

Applications

Unspecified application

Species

Unspecified reactive species

Prince David Okoro,Antoine Frayssinet,Stéphanie De Oliveira,Léa Rouquier,Gregor Miklosic,Matteo D'Este,Esther Potier,Christophe Hélary

Journal of nanobiotechnology 21:76 PubMed36864461

2023

Low-dose celecoxib-loaded PCL fibers reverse intervertebral disc degeneration by up-regulating CHSY3 expression.

Applications

Unspecified application

Species

Unspecified reactive species

Yunhao Wang,Genjiang Zheng,Xiaoxing Xie,Wei Yu,Jianxi Wang,Fazhi Zang,Chen Yang,Qiangqiang Xiao,Rongcheng Zhang,Leixin Wei,Xiaodong Wu,Lei Liang,Peng Cao,Chen Xu,Jing Li,Bo Hu,Tao Zhang,Jinglei Wu,Huajiang Chen

Nature communications 13:7658 PubMed36496445

2022

Sirt6 attenuates chondrocyte senescence and osteoarthritis progression.

Applications

Unspecified application

Species

Unspecified reactive species

Ming-Liang Ji,Hua Jiang,Zhuang Li,Rui Geng,Jun Zheng Hu,Yu Cheng Lin,Jun Lu

iScience 25:104679 PubMed35832888

2022

Integrated single-cell analyses decode the developmental landscape of the human fetal spine.

Applications

Unspecified application

Species

Unspecified reactive species

Haiyan Yu,Donge Tang,Hongwei Wu,Chunhong Li,Yongping Lu,Fang He,Xiaogang Zhang,Yane Yang,Wei Shi,Wenlong Hu,Zhipeng Zeng,Weier Dai,Minglin Ou,Yong Dai

Biomaterials 284:121491 PubMed35395453

2022

Human iPS cell-derived cartilaginous tissue spatially and functionally replaces nucleus pulposus.

Applications

Unspecified application

Species

Unspecified reactive species

Takashi Kamatani,Hiroki Hagizawa,Seido Yarimitsu,Miho Morioka,Saeko Koyamatsu,Michihiko Sugimoto,Joe Kodama,Junko Yamane,Hiroyuki Ishiguro,Shigeyuki Shichino,Kuniya Abe,Wataru Fujibuchi,Hiromichi Fujie,Takashi Kaito,Noriyuki Tsumaki

Frontiers in cell and developmental biology 9:703670 PubMed34650969

2021

Roles and Mechanisms of Irisin in Attenuating Pathological Features of Osteoarthritis.

Applications

Unspecified application

Species

Unspecified reactive species

Xiangfen Li,Xiaofang Zhu,Hongle Wu,Thomas E Van Dyke,Xiaoyang Xu,Elise F Morgan,Wenyu Fu,Chuanju Liu,Qisheng Tu,Dingming Huang,Jake Chen

Aging 13:20258-20276 PubMed34428744

2021

DNMT3B decreases extracellular matrix degradation and alleviates intervertebral disc degeneration through TRPA1 methylation to inhibit the COX2/YAP axis.

Applications

Unspecified application

Species

Unspecified reactive species

Zhiqiang Luo,Yanchao Ma,Tianning Di,Bing Ma,Hongwei Li,Jiangdong An,Yonggang Wang,Haihong Zhang
View all publications

Product promise

We are committed to supporting your work with high-quality reagents, and we're here for you every step of the way. In the unlikely event that one of our products does not perform as expected, you're protected by our Product Promise.
For full details, please see our Terms & Conditions

Please note: All products are 'FOR RESEARCH USE ONLY. NOT FOR USE IN DIAGNOSTIC OR THERAPEUTIC PROCEDURES'.

For licensing inquiries, please contact partnerships@abcam.com