JavaScript is disabled in your browser. Please enable JavaScript to view this website.
AB231894

Anti-AGMAT antibody

Be the first to review this product! Submit a review

|

(3 Publications)

Rabbit Polyclonal SPEB antibody. Suitable for WB, IHC-P and reacts with Pig, Human samples. Cited in 3 publications. Immunogen corresponding to Recombinant Fragment Protein within Human AGMAT aa 50-200.

View Alternative Names

GDAH, AGMAT

6 Images
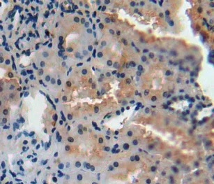
Immunohistochemistry (Formalin/PFA-fixed paraffin-embedded sections) - Anti-AGMAT antibody (AB231894)
  • IHC-P

Supplier Data

Immunohistochemistry (Formalin/PFA-fixed paraffin-embedded sections) - Anti-AGMAT antibody (AB231894)

Formalin-fixed, paraffin-embedded human kidney tissue stained for AGMAT using ab231894 at 20 μg/mL in immunohistochemical analysis. DAB staining.

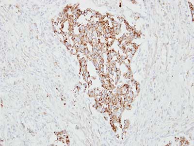
Immunohistochemistry (Formalin/PFA-fixed paraffin-embedded sections) - Anti-AGMAT antibody (AB231894)
  • IHC-P

Supplier Data

Immunohistochemistry (Formalin/PFA-fixed paraffin-embedded sections) - Anti-AGMAT antibody (AB231894)

Formalin-fixed, paraffin-embedded human kidney tissue stained for AGMAT using ab231894 at 20 μg/mL in immunohistochemical analysis. DAB staining.

Western blot - Anti-AGMAT antibody (AB231894)
  • WB

Supplier Data

Western blot - Anti-AGMAT antibody (AB231894)

All lanes:

Western blot - Anti-AGMAT antibody (ab231894) at 1 µg/mL

All lanes:

Human liver tissue lysate

Predicted band size: 38 kDa

true

Western blot - Anti-AGMAT antibody (AB231894)
  • WB

Supplier Data

Western blot - Anti-AGMAT antibody (AB231894)

All lanes:

Western blot - Anti-AGMAT antibody (ab231894) at 1 µg/mL

All lanes:

HepG2 (human liver hepatocellular carcinoma cell line) whole cell lysate

Predicted band size: 38 kDa

true

Western blot - Anti-AGMAT antibody (AB231894)
  • WB

Supplier Data

Western blot - Anti-AGMAT antibody (AB231894)

All lanes:

Western blot - Anti-AGMAT antibody (ab231894) at 1 µg/mL

All lanes:

Porcine kidney tissue lysate

Predicted band size: 38 kDa

true

Western blot - Anti-AGMAT antibody (AB231894)
  • WB

Supplier Data

Western blot - Anti-AGMAT antibody (AB231894)

All lanes:

Western blot - Anti-AGMAT antibody (ab231894) at 1 µg/mL

All lanes:

Recombinant human AGMAT protein

Predicted band size: 38 kDa

Observed band size: 17 kDa

true

Key facts

Host species

Rabbit

Clonality

Polyclonal

Isotype

IgG

Carrier free

No

Reacts with

Human, Pig

Applications

WB, IHC-P

applications

Immunogen

Recombinant Fragment Protein within Human AGMAT aa 50-200. The exact immunogen used to generate this antibody is proprietary information.

Q9BSE5

Reactivity data

{ "title": "Reactivity Data", "filters": { "stats": ["", "Species", "Dilution Info", "Notes"], "tabs": { "all-applications": {"fullname" : "All Applications", "shortname": "All Applications"}, "WB" : {"fullname" : "Western blot", "shortname":"WB"}, "IHCP" : {"fullname" : "Immunohistochemistry (Formalin/PFA-fixed paraffin-embedded sections)", "shortname":"IHC-P"} }, "product-promise": { "all": "all", "testedAndGuaranteed": "tested", "guaranteed": "expected", "predicted": "predicted", "notRecommended": "not-recommended" } }, "values": { "Human": { "WB-species-checked": "testedAndGuaranteed", "WB-species-dilution-info": "0.2-2 µg/mL", "WB-species-notes": "<p></p>", "IHCP-species-checked": "testedAndGuaranteed", "IHCP-species-dilution-info": "5-20 µg/mL", "IHCP-species-notes": "<p></p>" }, "Pig": { "WB-species-checked": "testedAndGuaranteed", "WB-species-dilution-info": "0.2-2 µg/mL", "WB-species-notes": "<p></p>", "IHCP-species-checked": "guaranteed", "IHCP-species-dilution-info": "", "IHCP-species-notes": "" } } }

Properties and storage information

Form
Liquid
Purification technique
Affinity purification Immunogen
Purification notes
Followed by Protein A affinity chromatography.
Storage buffer
pH: 7.4 Preservative: 0.011% Proclin 300 Constituents: 55.77% Glycerol (glycerin, glycerine), 44.219% PBS
Shipped at conditions
Blue Ice
Appropriate short-term storage duration
1-2 weeks
Appropriate short-term storage conditions
+4°C
Appropriate long-term storage conditions
-20°C
Aliquoting information
Upon delivery aliquot
Storage information
Avoid freeze / thaw cycle

Supplementary information

This supplementary information is collated from multiple sources and compiled automatically.

AGMAT also known as agmatinase is an enzyme that plays a mechanical role in the conversion of agmatine to putrescine by hydrolyzing agmatine. It has a mass of approximately 39 kDa. AGMAT is expressed mainly in the liver kidney and brain where it participates in polyamine biosynthesis which is important for cell growth and differentiation. The presence of AGMAT in different tissues suggests its functional importance in various physiological processes.
Biological function summary

Agmatinase acts as an important enzyme in the metabolism of agmatine an aminoguanidine compound. AGMAT does not function as part of a larger protein complex but rather conducts its enzymatic activity independently. This activity converts agmatine into putrescine a polyamine essential for cellular proliferation genomic stability and modulation of ion channels. By controlling agmatine levels AGMAT has an impact on neurotransmitter systems and may influence both mental and neurophysiological health.

Pathways

Four well-known metabolic and signaling networks incorporate agmatinase activity. The urea cycle and polyamine biosynthesis pathway rely on AGMAT's ability to produce putrescine. In these pathways AGMAT interacts with enzymes such as ornithine decarboxylase which is important for polyamine production. AGMAT regulates these pathways by modulating the availability of substrate and product concentrations balancing cellular responses according to physiological demands.

AGMAT influences the progression of certain mental health conditions and inflammatory diseases. In neurological disorders dysregulation of agmatine metabolism links to depression and anxiety with putrescine and its conversion pathways being significant. AGMAT may also interact indirectly with proteins like nitric oxide synthase where altered agmatine levels affect nitric oxide production and inflammatory responses. Researchers explore AGMAT’s modulation as a potential therapeutic avenue to treat these disorders by stabilizing agmatine and polyamine biosynthesis.

Product protocols

For this product, it's our understanding that no specific protocols are required. You can visit:

Target data

Hydrolyzes linear guanidino acids to form urea and the corresponding amines. Displays specificity for substrates having a negatively charged head group and short chains including taurocyamine, guanidino propanoic and butanoic acids. May protect cells by detoxifying potentially harmful amounts of guanidino acids. Metabolizes L-arginine with low efficiency.
See full target information AGMAT

Publications (3)

Recent publications for all applications. Explore the full list and refine your search

Oncology reports 49: PubMed36704851

2023

miR‑151a‑5p promotes the proliferation and metastasis of colorectal carcinoma cells by targeting AGMAT.

Applications

Unspecified application

Species

Unspecified reactive species

Yaya Xie,Yue Zhang,Xianju Liu,Lijun Cao,Mengting Han,Chunmei Wang,Jinlian Chen,Xingxing Zhang

Experimental and therapeutic medicine 24:490 PubMed35837051

2022

Agmatinase facilitates the tumorigenesis of pancreatic adenocarcinoma through the TGFβ/Smad pathway.

Applications

Unspecified application

Species

Unspecified reactive species

Yue Zhang,Lijun Cao,Yaya Xie,Chunmei Wang,Xianju Liu,Xingxing Zhang,Jinlian Chen

Journal of animal science and biotechnology 12:46 PubMed33827696

2021

Pre-implantation exogenous progesterone and pregnancy in sheep. II. Effects on fetal-placental development and nutrient transporters in late pregnancy.

Applications

Unspecified application

Species

Unspecified reactive species

Katherine M Halloran,Emily C Hoskins,Claire Stenhouse,Robyn M Moses,Kathrin A Dunlap,M Carey Satterfield,Heewon Seo,Gregory A Johnson,Guoyao Wu,Fuller W Bazer
View all publications

Product promise

We are committed to supporting your work with high-quality reagents, and we're here for you every step of the way. In the unlikely event that one of our products does not perform as expected, you're protected by our Product Promise.
For full details, please see our Terms & Conditions

Please note: All products are 'FOR RESEARCH USE ONLY. NOT FOR USE IN DIAGNOSTIC OR THERAPEUTIC PROCEDURES'.

For licensing inquiries, please contact partnerships@abcam.com