JavaScript is disabled in your browser. Please enable JavaScript to view this website.
AB325657

Anti-AGMAT antibody [EPR30229-20] - BSA and Azide free

Be the first to review this product! Submit a review

|

(0 Publication)

Rabbit Recombinant Monoclonal SPEB antibody. Carrier free. Suitable for IHC-P, WB and reacts with Transfected cell line - Human, Human samples.

View Alternative Names

GDAH, AGMAT

9 Images
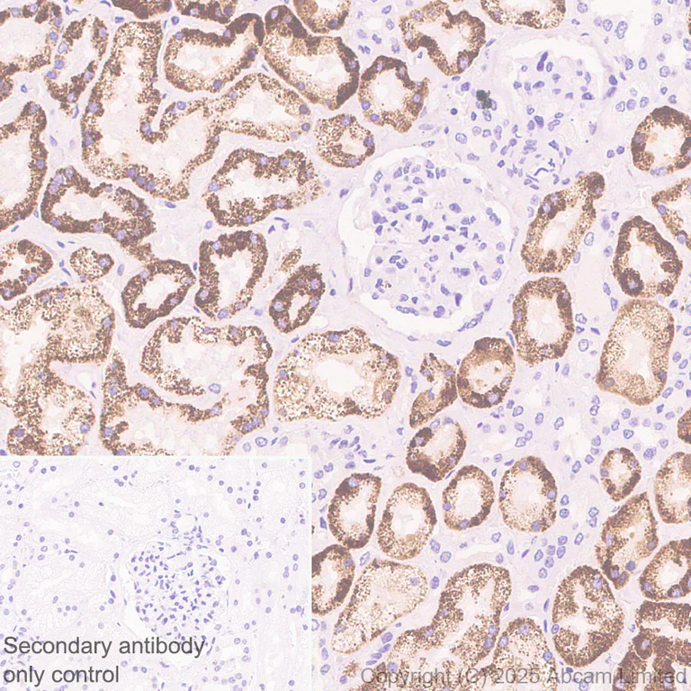
Immunohistochemistry (Formalin/PFA-fixed paraffin-embedded sections) - Anti-AGMAT antibody [EPR30229-20] - BSA and Azide free (AB325657)
  • IHC-P

Lab

Immunohistochemistry (Formalin/PFA-fixed paraffin-embedded sections) - Anti-AGMAT antibody [EPR30229-20] - BSA and Azide free (AB325657)

This data was developed using ab325541, the same antibody clone in a different buffer formulation.

Immunohistochemical analysis of paraffin-embedded Human kidney tissue labeling AGMAT with ab325541 at 1/2000 (0.252 μg/ml) dilution, followed by a ready to use LeicaDS9800 (Bond™ Polymer Refine Detection).

Mitochondrion staining on human kidney (PMID : 11804860; PMID : 11914032).

The primary antibody was incubated for 30 mins at room temperature.

The immunostaining was performed on a Leica Biosystems BOND® RX instrument.

Counterstained with Hematoxylin.

Secondary antibody only control : Secondary antibody is a ready to use LeicaDS9800 (Bond™ Polymer Refine Detection).

Heat mediated antigen retrieval was performed with Tris-EDTA buffer (pH 9.0, Epitope Retrieval Solution2) for 20 mins

Immunohistochemistry (Formalin/PFA-fixed paraffin-embedded sections) - Anti-AGMAT antibody [EPR30229-20] - BSA and Azide free (AB325657)
  • IHC-P

Lab

Immunohistochemistry (Formalin/PFA-fixed paraffin-embedded sections) - Anti-AGMAT antibody [EPR30229-20] - BSA and Azide free (AB325657)

This data was developed using ab325541, the same antibody clone in a different buffer formulation.

Immunohistochemical analysis of paraffin-embedded Human clear cell carcinoma tissue labeling AGMAT with ab325541 at 1/2000 (0.252'μg/ml) dilution, followed by a ready to use LeicaDS9800 (Bond™ Polymer Refine Detection).

Mitochondrion staining on human clear cell carcinoma.

The primary antibody was incubated for 30 mins at room temperature.

The immunostaining was performed on a Leica Biosystems BOND® RX instrument.

Counterstained with Hematoxylin.

Secondary antibody only control : Secondary antibody is a ready to use LeicaDS9800 (Bond™ Polymer Refine Detection).

Heat mediated antigen retrieval was performed with Tris-EDTA buffer (pH 9.0, Epitope Retrieval Solution2) for 20 mins

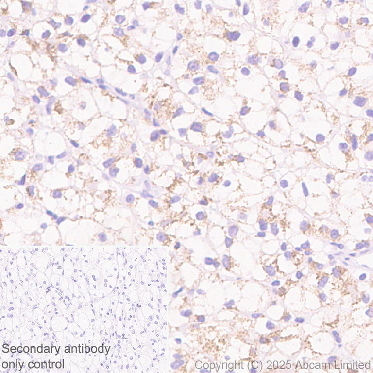
Immunohistochemistry (Formalin/PFA-fixed paraffin-embedded sections) - Anti-AGMAT antibody [EPR30229-20] - BSA and Azide free (AB325657)
  • IHC-P

Lab

Immunohistochemistry (Formalin/PFA-fixed paraffin-embedded sections) - Anti-AGMAT antibody [EPR30229-20] - BSA and Azide free (AB325657)

This data was developed using ab325541, the same antibody clone in a different buffer formulation.

Immunohistochemical analysis of paraffin-embedded Human liver tissue labeling AGMAT with ab325541 at 1/2000 (0.252 μg/mll) dilution, followed by a ready to use LeicaDS9800 (Bond™Polymer Refine Detection).

Mitochondrion staining on human liver (PMID : 11804860; PMID : 11914032).

The primary antibody was incubated for 30 mins at room temperature.

The immunostaining was performed on a Leica Biosystems BOND® RX instrument.

Counterstained with Hematoxylin.

Secondary antibody only control : Secondary antibody is a ready to use LeicaDS9800 (Bond™ Polymer Refine Detection).

Heat mediated antigen retrieval was performed with Tris-EDTA buffer (pH 9.0, Epitope Retrieval Solution2) for 20 mins

Immunohistochemistry (Formalin/PFA-fixed paraffin-embedded sections) - Anti-AGMAT antibody [EPR30229-20] - BSA and Azide free (AB325657)
  • IHC-P

Lab

Immunohistochemistry (Formalin/PFA-fixed paraffin-embedded sections) - Anti-AGMAT antibody [EPR30229-20] - BSA and Azide free (AB325657)

This data was developed using ab325541, the same antibody clone in a different buffer formulation.

Immunohistochemical analysis of paraffin-embedded Panel A : HEK-293T cells transfected with a human AGMAT expression vector containing a His-tag cell pellet Panel B : HEK-293T cells transfected with an empty vector containing a His-tag cell pellet tissue labeling AGMAT with ab325541 at 1/2000 (0.252μg/ml) dilution, followed by a ready to use LeicaDS9800 (Bond™ Polymer Refine Detection).

Positive staining on 293T cells transfected with a human AGMAT expression vector containing a His-tag (Panel A), negative staining on 293T cells transfected with an empty vector containing a His-tag (Panel B).

The primary antibody was incubated for 30 mins at room temperature.

The immunostaining was performed on a Leica Biosystems BOND® RX instrument.

Counterstained with Hematoxylin.

Secondary antibody only control : Secondary antibody is a ready to use LeicaDS9800 (Bond™ Polymer Refine Detection).

Heat mediated antigen retrieval was performed with Tris-EDTA buffer (pH 9.0, Epitope Retrieval Solution2) for 20 mins

Immunohistochemistry (Formalin/PFA-fixed paraffin-embedded sections) - Anti-AGMAT antibody [EPR30229-20] - BSA and Azide free (AB325657)
  • IHC-P

Lab

Immunohistochemistry (Formalin/PFA-fixed paraffin-embedded sections) - Anti-AGMAT antibody [EPR30229-20] - BSA and Azide free (AB325657)

This data was developed using ab325541, the same antibody clone in a different buffer formulation.

Immunohistochemical analysis of paraffin-embedded Human cardiac muscle tissue labeling AGMAT with ab325541 at 1/2000 (0.252μg/ml ) dilution, followed by a ready to use LeicaDS9800 (Bond™ Polymer Refine Detection).

Low expression : No staining on human cardiac muscle (PMID : 11804860; PMID : 11914032).

The primary antibody was incubated for 30 mins at room temperature.

The immunostaining was performed on a Leica Biosystems BOND® RX instrument.

Counterstained with Hematoxylin.

Secondary antibody only control : Secondary antibody is a ready to use LeicaDS9800 (Bond™Polymer Refine Detection).

Heat mediated antigen retrieval was performed with Tris-EDTA buffer (pH 9.0, Epitope Retrieval Solution2) for 20 mins

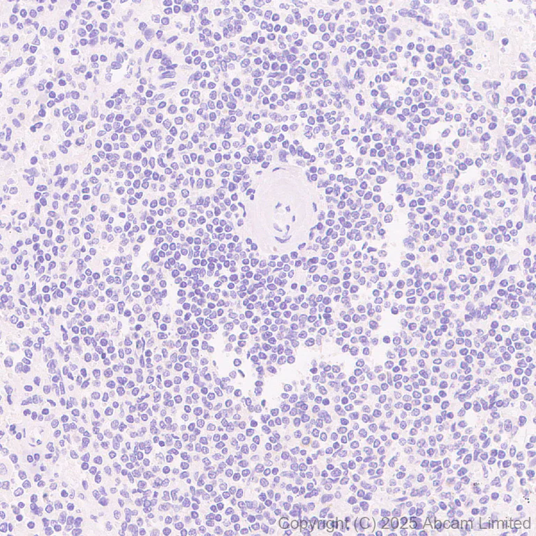
Immunohistochemistry (Formalin/PFA-fixed paraffin-embedded sections) - Anti-AGMAT antibody [EPR30229-20] - BSA and Azide free (AB325657)
  • IHC-P

Lab

Immunohistochemistry (Formalin/PFA-fixed paraffin-embedded sections) - Anti-AGMAT antibody [EPR30229-20] - BSA and Azide free (AB325657)

This data was developed using ab325541, the same antibody clone in a different buffer formulation.

Immunohistochemical analysis of paraffin-embedded Human spleen tissue labeling AGMAT with ab325541 at 1/2000 (0.252 μg/ml) dilution, followed by a ready to use LeicaDS9800 (Bond™ Polymer Refine Detection).

Low expression : No staining on human spleen.

The primary antibody was incubated for 30 mins at room temperature.

The immunostaining was performed on a Leica Biosystems BOND® RX instrument.

Counterstained with Hematoxylin.

Secondary antibody only control : Secondary antibody is a ready to use LeicaDS9800 (Bond™Polymer Refine Detection).

Heat mediated antigen retrieval was performed with Tris-EDTA buffer (pH 9.0, Epitope Retrieval Solution2) for 20 mins

Western blot - Anti-AGMAT antibody [EPR30229-20] - BSA and Azide free (AB325657)
  • WB

Lab

Western blot - Anti-AGMAT antibody [EPR30229-20] - BSA and Azide free (AB325657)

This data was developed using ab325541, the same antibody clone in a different buffer formulation.

Blocking and diluting buffer and concentration : 5% NFDM/TBST.

Low expression : spleen, testis(PMID : 11804860; PMID : 11914032)

In Western blot, Anti-GAPDH antibody [EPR16891] - Loading Control (ab181602) (1 : 200000) (36KDa).

Exposure time : Lane 1 : 180 seconds; Lanes 2-4 : 59 seconds

All lanes:

Western blot - Anti-AGMAT antibody [EPR30229-20] (<a href='/en-us/products/primary-antibodies/agmat-antibody-epr30229-20-ab325541'>ab325541</a>) at 1/1000 dilution

Lane 1:

Human kidney tissue lysate at 20 µg

Lane 2:

Human liver tissue lysate at 20 µg

Lane 3:

Human spleen tissue lysate at 20 µg

Lane 4:

Human testis tissue lysate at 20 µg

Secondary

All lanes:

Goat Anti-Rabbit IgG (HRP) with minimal cross-reactivity with human IgG at 1/2000 dilution

Observed band size: 30 kDa,36 kDa

false

Western blot - Anti-AGMAT antibody [EPR30229-20] - BSA and Azide free (AB325657)
  • WB

Lab

Western blot - Anti-AGMAT antibody [EPR30229-20] - BSA and Azide free (AB325657)

This data was developed using ab325541, the same antibody clone in a different buffer formulation.

Blocking and diluting buffer and concentration : 5% NFDM/TBST.

In Western blot, Anti-GAPDH antibody [EPR16891] - Loading Control (ab181602) (1 : 200000) (36KDa); Anti-TOMM20 antibody [EPR15581-54] - Mitochondrial Marker (ab186735)(1 : 1000)((~16KDa)).

All lanes:

Western blot - Anti-AGMAT antibody [EPR30229-20] (<a href='/en-us/products/primary-antibodies/agmat-antibody-epr30229-20-ab325541'>ab325541</a>) at 1/1000 dilution

Lane 1:

HepG2 (human hepatocellular carcinoma epithelial cell) non-mitochondrial fraction at 20 µg

Lane 2:

HepG2 mitochondria fraction at 20 µg

Secondary

All lanes:

Western blot - Goat Anti-Rabbit IgG H&L (HRP) (<a href='/en-us/products/secondary-antibodies/goat-rabbit-igg-h-l-hrp-ab97051'>ab97051</a>) at 1/20000 dilution

Observed band size: 30 kDa,36 kDa,16 kDa

false

Exposure time: 136s

Western blot - Anti-AGMAT antibody [EPR30229-20] - BSA and Azide free (AB325657)
  • WB

Lab

Western blot - Anti-AGMAT antibody [EPR30229-20] - BSA and Azide free (AB325657)

This data was developed using ab325541, the same antibody clone in a different buffer formulation.

Blocking and diluting buffer and concentration : 5% NFDM/TBST.

Low expression : Jurkat, U-2 OS

The identity of the bands higher than 30 kDa are unknown.

In Western blot, Anti-GAPDH antibody [EPR16891] - Loading Control (ab181602) (1 : 200000) (36KDa).

Exposure time : Lane 1 : 180 seconds; Lanes 2-4 : 59 seconds

All lanes:

Western blot - Anti-AGMAT antibody [EPR30229-20] (<a href='/en-us/products/primary-antibodies/agmat-antibody-epr30229-20-ab325541'>ab325541</a>) at 1/1000 dilution

Lane 1:

Caco-2 (human colorectal adenocarcinoma epithelial cell) whole cell lysate at 20 µg

Lane 2:

HepG2 (human hepatocellular carcinoma epithelial cell) whole cell lysate at 20 µg

Lane 3:

Jurkat (human T cell leukemia T lymphocyte from peripheral blood) whole cell lysate at 20 µg

Lane 4:

U-2 OS (human bone osteosarcoma epithelial cell) whole cell lysate at 20 µg

Secondary

All lanes:

Western blot - Goat Anti-Rabbit IgG H&L (HRP) (<a href='/en-us/products/secondary-antibodies/goat-rabbit-igg-h-l-hrp-ab97051'>ab97051</a>) at 1/20000 dilution

Observed band size: 30 kDa,36 kDa

false

Key facts

Host species

Rabbit

Clonality

Monoclonal

Isotype

IgG

Carrier free

Yes

Reacts with

Human

Applications

IHC-P, WB

applications

Immunogen

The exact immunogen used to generate this antibody is proprietary information.

Reactivity data

{ "title": "Reactivity Data", "filters": { "stats": ["", "Species", "Dilution Info", "Notes"], "tabs": { "all-applications": {"fullname" : "All Applications", "shortname": "All Applications"}, "IHCP" : {"fullname" : "Immunohistochemistry (Formalin/PFA-fixed paraffin-embedded sections)", "shortname":"IHC-P"}, "WB" : {"fullname" : "Western blot", "shortname":"WB"} }, "product-promise": { "all": "all", "testedAndGuaranteed": "tested", "guaranteed": "expected", "predicted": "predicted", "notRecommended": "not-recommended" } }, "values": { "Human": { "IHCP-species-checked": "testedAndGuaranteed", "IHCP-species-dilution-info": "", "IHCP-species-notes": "<p></p> Perform heat-mediated antigen retrieval with Tris/EDTA buffer pH 9.0 before commencing with IHC staining protocol.", "WB-species-checked": "testedAndGuaranteed", "WB-species-dilution-info": "", "WB-species-notes": "<p></p>" }, "Transfected cell line - Human": { "IHCP-species-checked": "testedAndGuaranteed", "IHCP-species-dilution-info": "", "IHCP-species-notes": "<p></p>", "WB-species-checked": "notRecommended", "WB-species-dilution-info": "", "WB-species-notes": "" } } }

Product details

Patented technology
Our RabMAb® technology is a patented hybridoma-based technology for making rabbit monoclonal antibodies. For details on our patents, please refer to RabMAb® patents.

What are the advantages of a recombinant monoclonal antibody?
This product is a recombinant monoclonal antibody, which offers several advantages including:

  • - High batch-to-batch consistency and reproducibility
  • - Improved sensitivity and specificity
  • - Long-term security of supply
  • - Animal-free batch production

For more information, read more on recombinant antibodies.

Conjugation ready
Our carrier-free antibodies are typically supplied in a PBS-only formulation, purified and free of BSA, sodium azide and glycerol. This conjugation-ready format is designed for use with fluorochromes, metal isotopes, oligonucleotides, and enzymes, which makes them ideal for antibody labelling, functional and cell-based assays, flow-based assays (e.g. mass cytometry) and Multiplex Imaging applications.

Use our conjugation kits for antibody conjugates that are ready-to-use in as little as 20 minutes with 1 minute hands-on-time and 100% antibody recovery: available for fluorescent dyes, HRP, biotin and gold.

Compatibility
This product is compatible with the Maxpar® Antibody Labeling Kit from Fluidigm, without the need for antibody preparation. Maxpar® is a trademark of Fluidigm Canada Inc.

Properties and storage information

Form
Liquid
Purification technique
Affinity purification Protein A
Storage buffer
pH: 7.2 - 7.4 Constituents: PBS
Shipped at conditions
Blue Ice
Appropriate short-term storage conditions
+4°C
Appropriate long-term storage conditions
+4°C
Storage information
Do Not Freeze

Product protocols

For this product, it's our understanding that no specific protocols are required. You can visit:

Target data

Hydrolyzes linear guanidino acids to form urea and the corresponding amines. Displays specificity for substrates having a negatively charged head group and short chains including taurocyamine, guanidino propanoic and butanoic acids. May protect cells by detoxifying potentially harmful amounts of guanidino acids. Metabolizes L-arginine with low efficiency.
See full target information AGMAT

Product promise

We are committed to supporting your work with high-quality reagents, and we're here for you every step of the way. In the unlikely event that one of our products does not perform as expected, you're protected by our Product Promise.
For full details, please see our Terms & Conditions

Please note: All products are 'FOR RESEARCH USE ONLY. NOT FOR USE IN DIAGNOSTIC OR THERAPEUTIC PROCEDURES'.

For licensing inquiries, please contact partnerships@abcam.com