JavaScript is disabled in your browser. Please enable JavaScript to view this website.
AB300152

Anti-Ago1 antibody [EPR25441-8]

Be the first to review this product! Submit a review

|

(2 Publications)

Rabbit Recombinant Monoclonal AGO1 antibody. Suitable for WB, IP and reacts with Human, Mouse, Rat samples. Cited in 2 publications.

View Alternative Names

EIF2C1, AGO1, Protein argonaute-1, Argonaute1, hAgo1, Argonaute RISC catalytic component 1, Eukaryotic translation initiation factor 2C 1, Putative RNA-binding protein Q99, eIF-2C 1, eIF2C 1

4 Images
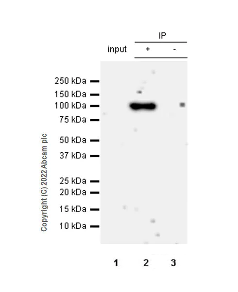
Immunoprecipitation - Anti-Ago1 antibody [EPR25441-8] (AB300152)
  • IP

Supplier Data

Immunoprecipitation - Anti-Ago1 antibody [EPR25441-8] (AB300152)

Ago1 was immunoprecipitated from HeLa (human cervix adenocarcinoma epithelial cell) whole cell lysate 10 μg with ab300152 at 1.30 dilution. ab131366 was used as a secondary antibody at 1/5000 dilution.

Lane 1(Input)
HeLa (human cervix adenocarcinoma epithelial cell) whole cell lysate 10 μg
Lane 2(+)
HeLa whole cell lysate
Lane 3(-)
Rabbit monoclonal IgG (ab172730) instead of ab300152 in HeLa whole cell lysate

Blocking and dilution buffer and concentration : 5% NFDM/TBST.

Exposure time : 3 minutes.

All lanes:

Immunoprecipitation - Anti-Ago1 antibody [EPR25441-8] (ab300152)

Predicted band size: 97 kDa

Observed band size: 97 kDa

false

Exposure time: 3min

Immunoprecipitation - Anti-Ago1 antibody [EPR25441-8] (AB300152)
  • IP

Supplier Data

Immunoprecipitation - Anti-Ago1 antibody [EPR25441-8] (AB300152)

Ago1 was immunoprecipitated from mouse lung tissue lysate 10 μg with ab300152 at 1/30 dilution. ab131366 was used as a secondary antibody at 1/5000 dilution.

Lane 1(Input)
Mouse lung tissue lysate 10 μg
Lane 2(+)
Mouse lung tissue lysate
Lane 3(-)
Rabbit monoclonal IgG (ab172730) instead of ab300152 in mouse lung tissue lysate

Blocking and dilution buffer and concentration : 5% NFDM/TBST.

Exposure time : 3 minutes.

All lanes:

Immunoprecipitation - Anti-Ago1 antibody [EPR25441-8] (ab300152)

Predicted band size: 97 kDa

Observed band size: 97 kDa

false

Exposure time: 3min

Western blot - Anti-Ago1 antibody [EPR25441-8] (AB300152)
  • WB

Supplier Data

Western blot - Anti-Ago1 antibody [EPR25441-8] (AB300152)

Blocking and dilution buffer and concentration : 5% NFDM/TBST.

Exposure time :

Lane 1 : 3 minutes
Lane 2 : 92 seconds
Lane 3 : 15 seconds
Lane 4 : 37 seconds

The expression profile/ molecular weight observed is consistent with what has been described in the literature (PMID : 29487329).

The identity of the lower MW band at approximately 37kDa is unknown.

All lanes:

Western blot - Anti-Ago1 antibody [EPR25441-8] (ab300152) at 1/1000 dilution

Lane 1:

Human lung tissue lysate at 20 µg

Lane 2:

Mouse lung tissue lysate at 20 µg

Lane 3:

Mouse heart tissue lysate at 20 µg

Lane 4:

Rat heart tissue lysate at 20 µg

Secondary

All lanes:

Goat Anti-Rabbit IgG (HRP) with minimal cross-reactivity with human IgG at 1/2000 dilution

Predicted band size: 97 kDa

Observed band size: 97 kDa

false

Western blot - Anti-Ago1 antibody [EPR25441-8] (AB300152)
  • WB

Supplier Data

Western blot - Anti-Ago1 antibody [EPR25441-8] (AB300152)

Blocking and dilution buffer and concentration : 5% NFDM/TBST.

The expression profile/ molecular weight observed is consistent with what has been described in the literature (PMID : 29487329).

All lanes:

Western blot - Anti-Ago1 antibody [EPR25441-8] (ab300152) at 1/1000 dilution

Lane 1:

HeLa (human cervix adenocarcinoma epithelial cell) whole cell lysate at 20 µg

Lane 2:

HeLa transfected with siRNA1 specifically targeting AGO1, whole cell lysate at 20 µg

Lane 3:

HeLa transfected with siRNA2 specifically targeting AGO1, whole cell lysate at 20 µg

Secondary

All lanes:

Goat Anti-Rabbit IgG (HRP) with minimal cross-reactivity with human IgG at 1/2000 dilution

Predicted band size: 97 kDa

Observed band size: 97 kDa

false

Exposure time: 3min

  • Carrier free

    Anti-Ago1 antibody [EPR25441-8] (BSA and Azide free)

Key facts

Host species

Rabbit

Clonality

Monoclonal

Clone number

EPR25441-8

Isotype

IgG

Carrier free

No

Reacts with

Human, Mouse, Rat

Applications

IP, WB

applications

Immunogen

The exact immunogen used to generate this antibody is proprietary information.

Reactivity data

{ "title": "Reactivity Data", "filters": { "stats": ["", "Species", "Dilution Info", "Notes"], "tabs": { "all-applications": {"fullname" : "All Applications", "shortname": "All Applications"}, "WB" : {"fullname" : "Western blot", "shortname":"WB"}, "IP" : {"fullname" : "Immunoprecipitation", "shortname":"IP"}, "ICCIF" : {"fullname" : "Immunocytochemistry/ Immunofluorescence", "shortname":"ICC/IF"}, "IHCP" : {"fullname" : "Immunohistochemistry (Formalin/PFA-fixed paraffin-embedded sections)", "shortname":"IHC-P"}, "FlowCytIntra" : {"fullname" : "Flow Cytometry (Intracellular)", "shortname":"Flow Cyt (Intra)"}, "ChIP" : {"fullname" : "ChIP", "shortname":"ChIP"} }, "product-promise": { "all": "all", "testedAndGuaranteed": "tested", "guaranteed": "expected", "predicted": "predicted", "notRecommended": "not-recommended" } }, "values": { "Human": { "WB-species-checked": "testedAndGuaranteed", "WB-species-dilution-info": "1/1000", "WB-species-notes": "<p></p>", "IP-species-checked": "testedAndGuaranteed", "IP-species-dilution-info": "1/30", "IP-species-notes": "<p></p>", "ICCIF-species-checked": "notRecommended", "ICCIF-species-dilution-info": "", "ICCIF-species-notes": "<p></p>", "IHCP-species-checked": "notRecommended", "IHCP-species-dilution-info": "", "IHCP-species-notes": "<p></p>", "FlowCytIntra-species-checked": "notRecommended", "FlowCytIntra-species-dilution-info": "", "FlowCytIntra-species-notes": "<p></p>", "ChIP-species-checked": "notRecommended", "ChIP-species-dilution-info": "", "ChIP-species-notes": "<p></p>" }, "Mouse": { "WB-species-checked": "testedAndGuaranteed", "WB-species-dilution-info": "1/1000", "WB-species-notes": "<p></p>", "IP-species-checked": "testedAndGuaranteed", "IP-species-dilution-info": "1/30", "IP-species-notes": "<p></p>", "ICCIF-species-checked": "notRecommended", "ICCIF-species-dilution-info": "", "ICCIF-species-notes": "<p></p>", "IHCP-species-checked": "notRecommended", "IHCP-species-dilution-info": "", "IHCP-species-notes": "<p></p>", "FlowCytIntra-species-checked": "notRecommended", "FlowCytIntra-species-dilution-info": "", "FlowCytIntra-species-notes": "<p></p>", "ChIP-species-checked": "notRecommended", "ChIP-species-dilution-info": "", "ChIP-species-notes": "" }, "Rat": { "WB-species-checked": "testedAndGuaranteed", "WB-species-dilution-info": "1/1000", "WB-species-notes": "<p></p>", "IP-species-checked": "guaranteed", "IP-species-dilution-info": "", "IP-species-notes": "", "ICCIF-species-checked": "notRecommended", "ICCIF-species-dilution-info": "", "ICCIF-species-notes": "", "IHCP-species-checked": "notRecommended", "IHCP-species-dilution-info": "", "IHCP-species-notes": "<p></p>", "FlowCytIntra-species-checked": "notRecommended", "FlowCytIntra-species-dilution-info": "", "FlowCytIntra-species-notes": "", "ChIP-species-checked": "notRecommended", "ChIP-species-dilution-info": "", "ChIP-species-notes": "" } } }

Product details

Patented technology
Our RabMAb® technology is a patented hybridoma-based technology for making rabbit monoclonal antibodies. For details on our patents, please refer to RabMAb® patents.

What are the advantages of a recombinant monoclonal antibody?
This product is a recombinant monoclonal antibody, which offers several advantages including:

  • - High batch-to-batch consistency and reproducibility
  • - Improved sensitivity and specificity
  • - Long-term security of supply
  • - Animal-free batch production

For more information, read more on recombinant antibodies.

Properties and storage information

Form
Liquid
Purification technique
Affinity purification Protein A
Storage buffer
pH: 7.2 - 7.4 Preservative: 0.01% Sodium azide Constituents: PBS, 40% Glycerol (glycerin, glycerine), 0.05% BSA
Shipped at conditions
Blue Ice
Appropriate short-term storage duration
1-2 weeks
Appropriate short-term storage conditions
+4°C
Appropriate long-term storage conditions
-20°C
Aliquoting information
Upon delivery aliquot
Storage information
Avoid freeze / thaw cycle

Supplementary information

This supplementary information is collated from multiple sources and compiled automatically.

Argonaute 1 (Ago1) also known as "agoone" is a protein that plays a central role in RNA silencing processes. It weighs around 97 kDa and is a component of the RNA-induced silencing complex (RISC). Ago1 is expressed in various tissues where it binds to small RNAs such as microRNAs (miRNAs) and small interfering RNAs (siRNAs) to guide these molecules in targeting complementary RNA sequences for gene silencing. Ago1's ability to slice or inhibit translation of target RNAs makes it important in gene expression regulation.
Biological function summary

Ago1 is essential in the regulation of gene expression at the post-transcriptional level. As part of the RISC complex it binds to small regulatory RNAs facilitating their role in either cleaving target RNAs or repressing their translation. This function affects numerous cellular processes including cell differentiation proliferation and development. Ago1 also interacts with other Argonaute family members like Ago2 which is directly involved in RNA cleavage. Together these proteins ensure precise regulation of gene expression.

Pathways

The functional activities of Ago1 are significant in the RNA interference (RNAi) and microRNA (miRNA) pathways. In the RNAi pathway Ago1 participates by associating with siRNAs to silence target genes. In the miRNA pathway it works with miRNAs to repress translation or degrade mRNA transcripts. Ago1 collaborates with proteins like Dicer which assists in processing miRNAs and siRNAs highlighting its integrated role within these regulatory systems.

Disruptions in Ago1 activity have implications in cancers and neurodegenerative diseases. In cancer altered expression of Ago1 can lead to improper regulation of gene silencing affecting tumor suppressor genes and oncogenes. In neurodegenerative diseases the dysregulation of miRNA pathways mediated by Ago1 links it to conditions like Alzheimer's disease. Other proteins like Ago2 also play roles in these diseases often working in concert with Ago1 to maintain cellular homeostasis and prevent disease progression.

Product protocols

For this product, it's our understanding that no specific protocols are required. You can visit:

Target data

Required for RNA-mediated gene silencing (RNAi). Binds to short RNAs such as microRNAs (miRNAs) or short interfering RNAs (siRNAs), and represses the translation of mRNAs which are complementary to them. Lacks endonuclease activity and does not appear to cleave target mRNAs. Also required for transcriptional gene silencing (TGS) of promoter regions which are complementary to bound short antigene RNAs (agRNAs).
See full target information AGO1

Publications (2)

Recent publications for all applications. Explore the full list and refine your search

International journal of molecular sciences 26: PubMed40806296

2025

Extracellular Vesicles of Adipose Multipotent Mesenchymal Stromal Cells Propagate Senescent Phenotype by Affecting PTEN Nuclear Import.

Applications

Unspecified application

Species

Unspecified reactive species

Elizaveta Chechekhina,Semyon Kamenkov,Vadim Chechekhin,Anna Zinoveva,Elizaveta Bakhchinyan,Anastasia Efimenko,Natalia Kalinina,Vsevolod Tkachuk,Konstantin Kulebyakin,Pyotr Tyurin-Kuzmin

Cell reports 42:112282 PubMed36961814

2023

Identification of the viral and cellular microRNA interactomes during SARS-CoV-2 infection.

Applications

Unspecified application

Species

Unspecified reactive species

Nicolas Fossat,Emma A Lundsgaard,Rui Costa,Lizandro R Rivera-Rangel,Louise Nielsen,Lotte S Mikkelsen,Santseharay Ramirez,Jens Bukh,Troels K H Scheel
View all publications

Product promise

We are committed to supporting your work with high-quality reagents, and we're here for you every step of the way. In the unlikely event that one of our products does not perform as expected, you're protected by our Product Promise.
For full details, please see our Terms & Conditions

Please note: All products are 'FOR RESEARCH USE ONLY. NOT FOR USE IN DIAGNOSTIC OR THERAPEUTIC PROCEDURES'.

For licensing inquiries, please contact partnerships@abcam.com