JavaScript is disabled in your browser. Please enable JavaScript to view this website.
AB275966

Anti-AGO4 antibody [EPR23799-22] - BSA and Azide free

Be the first to review this product! Submit a review

|

(0 Publication)

Rabbit Recombinant Monoclonal AGO4 antibody. Carrier free. Suitable for IP, WB, IHC-P and reacts with Human, Rat, Mouse samples.

View Alternative Names

EIF2C4, KIAA1567, AGO4, Protein argonaute-4, Argonaute4, hAgo4, Argonaute RISC catalytic component 4, Eukaryotic translation initiation factor 2C 4, eIF-2C 4, eIF2C 4

6 Images
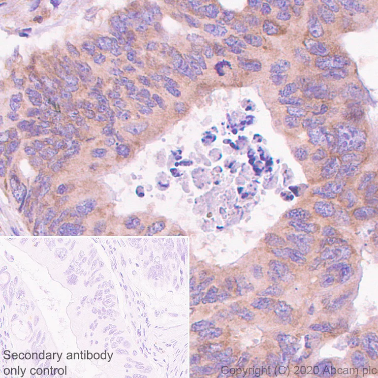
Immunohistochemistry (Formalin/PFA-fixed paraffin-embedded sections) - Anti-AGO4 antibody [EPR23799-22] - BSA and Azide free (AB275966)
  • IHC-P

Unknown

Immunohistochemistry (Formalin/PFA-fixed paraffin-embedded sections) - Anti-AGO4 antibody [EPR23799-22] - BSA and Azide free (AB275966)

This data was developed using ab259821, the same antibody clone in a different buffer formulation.

Immunohistochemical analysis of paraffin-embedded human colon carcinoma tissue labeling AGO4 with ab259821 at 1/100 (5.02 μg/ml) dilution followed by ready to use Rabbit specific IHC polymer detection kit HRP/DAB (ab209101). Cytoplasmic staining on human colon carcinoma (PMID : 20146808). The section was incubated with ab259821 for 30 mins at room temperature. The immunostaining was performed on a Leica Biosystems BOND® RX instrument. Counterstained with Hematoxylin.

Secondary antibody only control : Secondary antibody is a ready to use Rabbit specific IHC polymer detection kit HRP/DAB (ab209101).

Heat mediated antigen retrieval with Tris-EDTA buffer (pH 9.0, epitope retrieval solution2) for 20 mins.

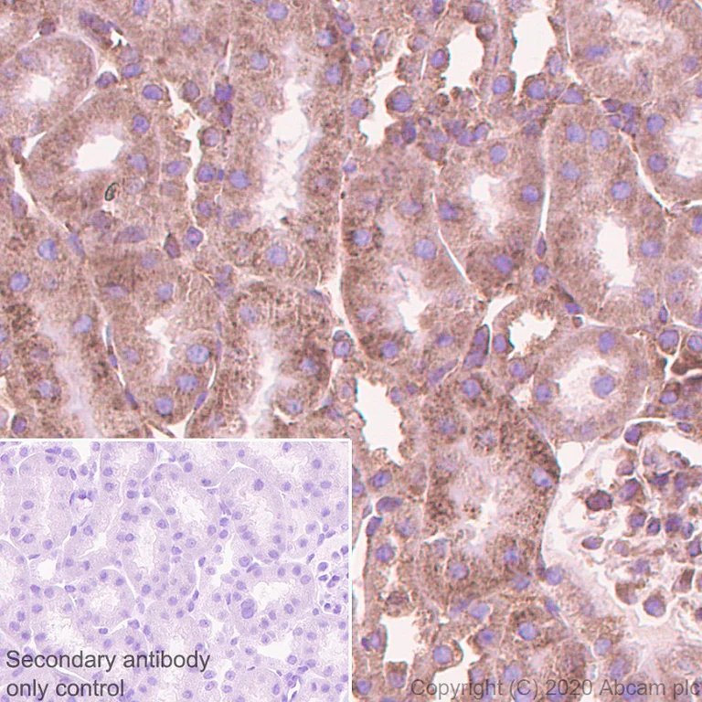
Immunohistochemistry (Formalin/PFA-fixed paraffin-embedded sections) - Anti-AGO4 antibody [EPR23799-22] - BSA and Azide free (AB275966)
  • IHC-P

Unknown

Immunohistochemistry (Formalin/PFA-fixed paraffin-embedded sections) - Anti-AGO4 antibody [EPR23799-22] - BSA and Azide free (AB275966)

This data was developed using ab259821, the same antibody clone in a different buffer formulation.

Immunohistochemical analysis of paraffin-embedded rat kidney tissue labeling AGO4 with ab259821 at 1/100 (5.02 μg/ml) dilution followed by ready to use Rabbit specific IHC polymer detection kit HRP/DAB (ab209101). Cytoplasmic staining on rat kidney. The section was incubated with ab259821 for 30 mins at room temperature. The immunostaining was performed on a Leica Biosystems BOND® RX instrument. Counterstained with Hematoxylin.

Secondary antibody only control : Secondary antibody is a ready to use Rabbit specific IHC polymer detection kit HRP/DAB (ab209101).

Heat mediated antigen retrieval with Tris-EDTA buffer (pH 9.0, epitope retrieval solution2) for 20 mins.

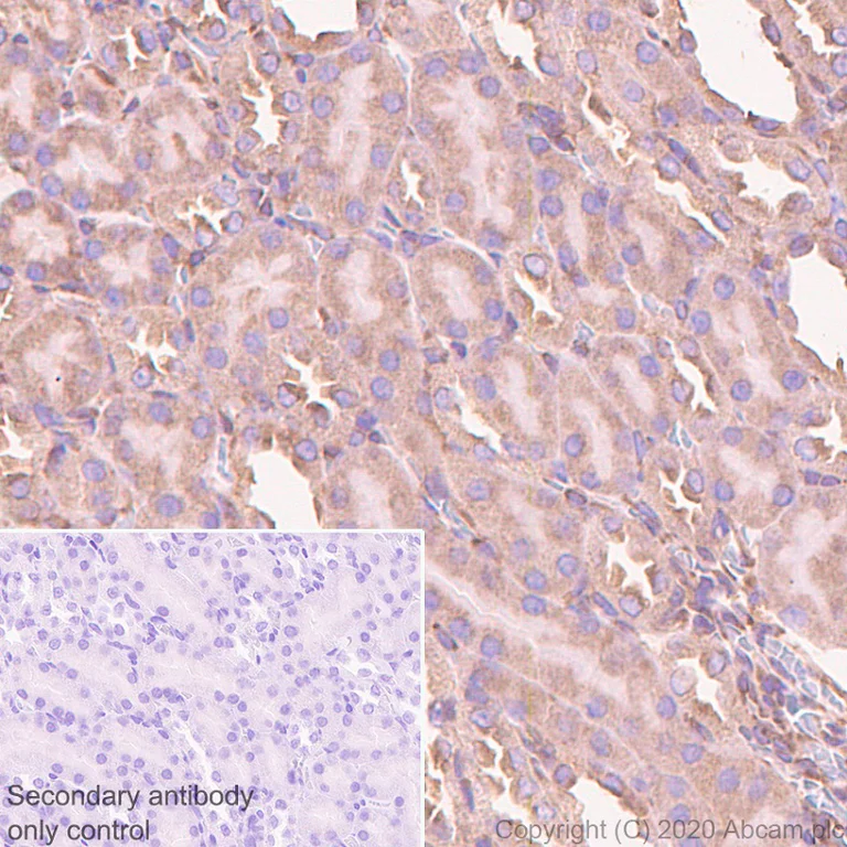
Immunohistochemistry (Formalin/PFA-fixed paraffin-embedded sections) - Anti-AGO4 antibody [EPR23799-22] - BSA and Azide free (AB275966)
  • IHC-P

Unknown

Immunohistochemistry (Formalin/PFA-fixed paraffin-embedded sections) - Anti-AGO4 antibody [EPR23799-22] - BSA and Azide free (AB275966)

This data was developed using ab259821, the same antibody clone in a different buffer formulation.

Immunohistochemical analysis of paraffin-embedded mouse kidney tissue labeling AGO4 with ab259821 at 1/100 (5.02 μg/ml) dilution followed by ready to use Rabbit specific IHC polymer detection kit HRP/DAB (ab209101). Cytoplasmic staining on mouse kidney. The section was incubated with ab259821 for 30 mins at room temperature. The immunostaining was performed on a Leica Biosystems BOND® RX instrument. Counterstained with Hematoxylin.

Secondary antibody only control : Secondary antibody is a ready to use Rabbit specific IHC polymer detection kit HRP/DAB (ab209101).

Heat mediated antigen retrieval with Tris-EDTA buffer (pH 9.0, epitope retrieval solution2) for 20 mins.

Immunoprecipitation - Anti-AGO4 antibody [EPR23799-22] - BSA and Azide free (AB275966)
  • IP

Unknown

Immunoprecipitation - Anti-AGO4 antibody [EPR23799-22] - BSA and Azide free (AB275966)

This data was developed using ab259821, the same antibody clone in a different buffer formulation.

AGO4 was immunoprecipitated from 0.35 mg THP-1 (human monocytic leukemia monocyte), whole cell lysate 10 μg with ab259821 at 1/30 dilution (2μg in 0.35mg lysates). Western blot was performed on the immunoprecipitate using ab259821 at 1/1000 dilution. VeriBlot for IP Detection Reagent (HRP)(ab131366) was used at 1/5000 dilution.

Lane 1 : THP-1 whole cell lysate 10 μg

Lane 2 : ab259821 IP in THP-1 whole cell lysate

Lane 3 : Rabbit monoclonal IgG (ab172730) instead of ab259821 in THP-1 whole cell lysate

Blocking and dilution buffer and concentration : 5% NFDM/TBST.

Exposure time : 3 minutes

This blot was developed using a higher sensitivity ECL substrate.

All lanes:

Immunoprecipitation - Anti-AGO4 antibody [EPR23799-22] (<a href='/en-us/products/primary-antibodies/ago4-antibody-epr23799-22-ab259821'>ab259821</a>)

Predicted band size: 97 kDa

Observed band size: 97 kDa

false

Western blot - Anti-AGO4 antibody [EPR23799-22] - BSA and Azide free (AB275966)
  • WB

Lab

Western blot - Anti-AGO4 antibody [EPR23799-22] - BSA and Azide free (AB275966)

This data was developed using ab259821, the same antibody clone in a different buffer formulation.

Blocking and diluting buffer and concentration : 5% NFDM/TBST.

This blot was developed using a higher sensitivity ECL substrate.

Exposure time : 3 minutes.

All lanes:

Western blot - Anti-AGO4 antibody [EPR23799-22] (<a href='/en-us/products/primary-antibodies/ago4-antibody-epr23799-22-ab259821'>ab259821</a>) at 1/1000 dilution

Lane 1:

HeLa (human cervix adenocarcinoma epithelial cell), whole cell lysate at 20 µg

Lane 2:

HEK-293T (human embryonic kidney epithelial cell), whole cell lysate at 20 µg

Lane 3:

MCF7 (human breast adenocarcinoma epithelial cell), whole cell lysate at 20 µg

Lane 4:

THP-1 (human monocytic leukemia monocyte), whole cell lysate at 20 µg

Lane 5:

C2C12 (mouse myoblasts myoblast), whole cell lysate at 20 µg

Lane 6:

NIH/3T3 (mouse embryonic fibroblast), whole cell lysate at 20 µg

Lane 7:

C6 (rat glial tumor glial cell), whole cell lysate at 20 µg

Secondary

All lanes:

Goat Anti-Rabbit IgG, (H+L), Peroxidase conjugated (<a href='/en-us/products/secondary-antibodies/goat-rabbit-igg-h-l-hrp-ab97051'>ab97051</a>) at 1/100000 dilution

Predicted band size: 97 kDa

Observed band size: 97 kDa

false

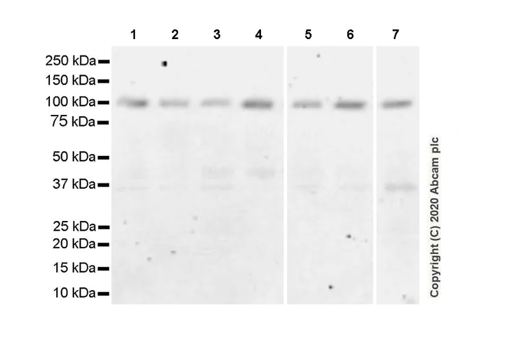
Western blot - Anti-AGO4 antibody [EPR23799-22] - BSA and Azide free (AB275966)
  • WB

Lab

Western blot - Anti-AGO4 antibody [EPR23799-22] - BSA and Azide free (AB275966)

This data was developed using ab259821, the same antibody clone in a different buffer formulation.

Blocking and diluting buffer and concentration : 5% NFDM/TBST.

This blot was developed using a higher sensitivity ECL substrate.

Exposure time : 3 minutes.

All lanes:

Western blot - Anti-AGO4 antibody [EPR23799-22] (<a href='/en-us/products/primary-antibodies/ago4-antibody-epr23799-22-ab259821'>ab259821</a>) at 1/1000 dilution

Lane 1:

Human liver tissue lysate at 20 µg

Lane 2:

Human kidney tissue lysate at 20 µg

Lane 3:

Mouse kidney tissue lysate at 20 µg

Lane 4:

Mouse spleen tissue lysate at 20 µg

Lane 5:

Rat kidney tissue lysate at 20 µg

Lane 6:

Rat spleen tissue lysate at 20 µg

Secondary

All lanes:

Goat Anti-Rabbit IgG, (H+L), Peroxidase conjugated (<a href='/en-us/products/secondary-antibodies/goat-rabbit-igg-h-l-hrp-ab97051'>ab97051</a>) at 1/100000 dilution

Predicted band size: 97 kDa

Observed band size: 97 kDa

false

Key facts

Host species

Rabbit

Clonality

Monoclonal

Clone number

EPR23799-22

Isotype

IgG

Carrier free

Yes

Reacts with

Mouse, Rat, Human

Applications

WB, IP, IHC-P

applications

Immunogen

The exact immunogen used to generate this antibody is proprietary information.

Reactivity data

{ "title": "Reactivity Data", "filters": { "stats": ["", "Species", "Dilution Info", "Notes"], "tabs": { "all-applications": {"fullname" : "All Applications", "shortname": "All Applications"}, "ICCIF" : {"fullname" : "Immunocytochemistry/ Immunofluorescence", "shortname":"ICC/IF"}, "IP" : {"fullname" : "Immunoprecipitation", "shortname":"IP"}, "FlowCyt" : {"fullname" : "Flow Cytometry", "shortname":"Flow Cyt"}, "WB" : {"fullname" : "Western blot", "shortname":"WB"}, "IHCP" : {"fullname" : "Immunohistochemistry (Formalin/PFA-fixed paraffin-embedded sections)", "shortname":"IHC-P"} }, "product-promise": { "all": "all", "testedAndGuaranteed": "tested", "guaranteed": "expected", "predicted": "predicted", "notRecommended": "not-recommended" } }, "values": { "Human": { "ICCIF-species-checked": "notRecommended", "ICCIF-species-dilution-info": "", "ICCIF-species-notes": "<p></p>", "IP-species-checked": "testedAndGuaranteed", "IP-species-dilution-info": "", "IP-species-notes": "<p></p>", "FlowCyt-species-checked": "notRecommended", "FlowCyt-species-dilution-info": "", "FlowCyt-species-notes": "<p></p>", "WB-species-checked": "testedAndGuaranteed", "WB-species-dilution-info": "", "WB-species-notes": "<p></p>", "IHCP-species-checked": "testedAndGuaranteed", "IHCP-species-dilution-info": "", "IHCP-species-notes": "<p></p>" }, "Mouse": { "ICCIF-species-checked": "notRecommended", "ICCIF-species-dilution-info": "", "ICCIF-species-notes": "<p></p>", "IP-species-checked": "notRecommended", "IP-species-dilution-info": "", "IP-species-notes": "<p></p>", "FlowCyt-species-checked": "notRecommended", "FlowCyt-species-dilution-info": "", "FlowCyt-species-notes": "<p></p>", "WB-species-checked": "testedAndGuaranteed", "WB-species-dilution-info": "", "WB-species-notes": "<p></p>", "IHCP-species-checked": "testedAndGuaranteed", "IHCP-species-dilution-info": "", "IHCP-species-notes": "<p></p>" }, "Rat": { "ICCIF-species-checked": "notRecommended", "ICCIF-species-dilution-info": "", "ICCIF-species-notes": "<p></p>", "IP-species-checked": "guaranteed", "IP-species-dilution-info": "", "IP-species-notes": "", "FlowCyt-species-checked": "notRecommended", "FlowCyt-species-dilution-info": "", "FlowCyt-species-notes": "<p></p>", "WB-species-checked": "testedAndGuaranteed", "WB-species-dilution-info": "", "WB-species-notes": "<p></p>", "IHCP-species-checked": "testedAndGuaranteed", "IHCP-species-dilution-info": "", "IHCP-species-notes": "<p></p>" } } }

Product details

ab275966 is the carrier-free version of ab259821.

Patented technology
Our RabMAb® technology is a patented hybridoma-based technology for making rabbit monoclonal antibodies. For details on our patents, please refer to RabMAb® patents.

What are the advantages of a recombinant monoclonal antibody?
This product is a recombinant monoclonal antibody, which offers several advantages including:

  • - High batch-to-batch consistency and reproducibility
  • - Improved sensitivity and specificity
  • - Long-term security of supply
  • - Animal-free batch production

For more information, read more on recombinant antibodies.

Conjugation ready
Our carrier-free antibodies are typically supplied in a PBS-only formulation, purified and free of BSA, sodium azide and glycerol. This conjugation-ready format is designed for use with fluorochromes, metal isotopes, oligonucleotides, and enzymes, which makes them ideal for antibody labelling, functional and cell-based assays, flow-based assays (e.g. mass cytometry) and Multiplex Imaging applications.

Use our conjugation kits for antibody conjugates that are ready-to-use in as little as 20 minutes with 1 minute hands-on-time and 100% antibody recovery: available for fluorescent dyes, HRP, biotin and gold.

Compatibility
This product is compatible with the Maxpar® Antibody Labeling Kit from Fluidigm, without the need for antibody preparation. Maxpar® is a trademark of Fluidigm Canada Inc.

Properties and storage information

Form
Liquid
Purification technique
Affinity purification Protein A
Storage buffer
Constituents: PBS
Shipped at conditions
Blue Ice
Appropriate short-term storage conditions
+4°C
Appropriate long-term storage conditions
+4°C

Supplementary information

This supplementary information is collated from multiple sources and compiled automatically.

The Argonaute family member AGO4 also known as Argonaute RISC catalytic component 4 has a significant role in RNA-induced silencing complex (RISC) functions. AGO4's mass is approximately 95 kDa and it is primarily expressed in different tissues including the testes and placenta. AGO4 has been studied regarding its involvement in guiding microRNAs and short interfering RNAs in gene silencing through RNA interference.
Biological function summary

AGO4 participates in small RNA pathways. It is part of the RNA-induced silencing complex and works closely with DICER and TRBP to process and guide small RNA molecules. This process affects cellular mRNA levels by reducing the translation of target mRNA molecules helping regulate gene expression post-transcriptionally.

Pathways

AGO4 functions in the RNA interference and gene silencing by microRNAs pathways affecting post-transcriptional gene regulation. AGO4 interacts with proteins like DICER1 and other Argonaute proteins such as AGO1-3 within these pathways aiding in the effective downregulation of specific mRNA targets.

AGO4 has a connection to cancer and viral infections. Abnormalities in AGO4 expression or function may lead to disruption in gene silencing mechanisms which can contribute to tumor progression. Studies also link AGO4 to interactions with viral proteins highlighting its potential impact on viral replication and pathogenesis.

Product protocols

For this product, it's our understanding that no specific protocols are required. You can visit:

Target data

Required for RNA-mediated gene silencing (RNAi). Binds to short RNAs such as microRNAs (miRNAs) and represses the translation of mRNAs which are complementary to them. Lacks endonuclease activity and does not appear to cleave target mRNAs. Also required for RNA-directed transcription and replication of the human hapatitis delta virus (HDV).
See full target information AGO4

Product promise

We are committed to supporting your work with high-quality reagents, and we're here for you every step of the way. In the unlikely event that one of our products does not perform as expected, you're protected by our Product Promise.
For full details, please see our Terms & Conditions

Please note: All products are 'FOR RESEARCH USE ONLY. NOT FOR USE IN DIAGNOSTIC OR THERAPEUTIC PROCEDURES'.

For licensing inquiries, please contact partnerships@abcam.com