JavaScript is disabled in your browser. Please enable JavaScript to view this website.
AB255686

Anti-AGRP antibody [EPR18155-110] - BSA and Azide free

Be the first to review this product! Submit a review

|

(1 Publication)

Rabbit Recombinant Monoclonal AGRP antibody. Carrier free. Suitable for IHC-Fr, IHC-P and reacts with Mouse samples. Cited in 1 publication.

View Alternative Names

Agrt, Art, Agrp, Agouti-related protein

3 Images
Immunohistochemistry (Formalin/PFA-fixed paraffin-embedded sections) - Anti-AGRP antibody [EPR18155-110] - BSA and Azide free (AB255686)
  • IHC-P

Unknown

Immunohistochemistry (Formalin/PFA-fixed paraffin-embedded sections) - Anti-AGRP antibody [EPR18155-110] - BSA and Azide free (AB255686)

Immunohistochemical analysis of paraffin-embedded mouse hypothalamus tissue labeling AGRP with ab254558 at 1/100 dilution (5.58 μg/ml) followed by a ready to use Rabbit specific IHC polymer detection kit HRP/DAB (ab209101). Positive staining on paraventricular nucleus of mouse hypothalamus (PMID : 10433222; 9311920) is observed. The section was incubated with ab254558 for 30 mins at room temperature. The immunostaining was performed on a Leica Biosystems BOND® RX instrument. Counterstained with hematoxylin.

Heat mediated antigen retrieval with Tris-EDTA buffer (pH 9.0, epitope retrieval solution 2) for 20 mins.

Secondary antibody only control : Used PBS instead of primary antibody, secondary antibody is a ready to use Rabbit specific IHC polymer detection kit HRP/DAB (ab209101).

This data was developed using the same antibody clone in a different buffer formulation containing PBS, BSA, glycerol, and sodium azide (ab254558).

Immunohistochemistry (Frozen sections) - Anti-AGRP antibody [EPR18155-110] - BSA and Azide free (AB255686)
  • IHC-Fr

Unknown

Immunohistochemistry (Frozen sections) - Anti-AGRP antibody [EPR18155-110] - BSA and Azide free (AB255686)

Immunohistochemical analysis of 4% PFA fixed 0.2% Triton X-100 permeabilized frozen mouse hypothalamus tissue labeling ab254558 with AGRP at 1/500 (1.12 μg/ml) dilution followed by ab150077 AlexaFluor®488 Goat anti-Rabbit secondary at 1/1000 (2 μg/ml) dilution. The nuclear counterstain was DAPI (Blue). Heat mediated antigen retrieval using sodium citrate buffer (10mM citrate pH 6.0 + 0.05% Tween-20). Specific staining on arcuate hypothalamic nucleus (PMID : 23638108) is observed.

Secondary antibody only control : Used PBS instead of primary antibody, secondary antibody was ab150077 AlexaFluor®488 Goat anti-Rabbit secondary at 1/1000 (2 μg/ml) dilution.

This data was developed using the same antibody clone in a different buffer formulation containing PBS, BSA, glycerol, and sodium azide (ab254558).

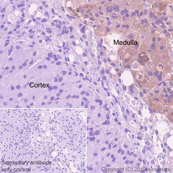
Immunohistochemistry (Formalin/PFA-fixed paraffin-embedded sections) - Anti-AGRP antibody [EPR18155-110] - BSA and Azide free (AB255686)
  • IHC-P

Unknown

Immunohistochemistry (Formalin/PFA-fixed paraffin-embedded sections) - Anti-AGRP antibody [EPR18155-110] - BSA and Azide free (AB255686)

Immunohistochemical analysis of paraffin-embedded mouse adrenal gland tissue labeling AGRP with ab254558 at 1/100 dilution (5.58 μg/ml) followed by a ready to use Rabbit specific IHC polymer detection kit HRP/DAB (ab209101). Positive staining on medullary cells of mouse adrenal gland (PMID : 28531318; 9311920) is observed. The section was incubated with ab254558 for 30 mins at room temperature. The immunostaining was performed on a Leica Biosystems BOND® RX instrument. Counterstained with hematoxylin.

Heat mediated antigen retrieval with Tris-EDTA buffer (pH 9.0, epitope retrieval solution 2) for 20 mins.

Secondary antibody only control : Used PBS instead of primary antibody, secondary antibody is a ready to use Rabbit specific IHC polymer detection kit HRP/DAB (ab209101) .

This data was developed using the same antibody clone in a different buffer formulation containing PBS, BSA, glycerol, and sodium azide (ab254558).

Key facts

Host species

Rabbit

Clonality

Monoclonal

Clone number

EPR18155-110

Isotype

IgG

Carrier free

Yes

Reacts with

Mouse

Applications

IHC-P, IHC-Fr

applications

Immunogen

The exact immunogen used to generate this antibody is proprietary information.

Reactivity data

{ "title": "Reactivity Data", "filters": { "stats": ["", "Species", "Dilution Info", "Notes"], "tabs": { "all-applications": {"fullname" : "All Applications", "shortname": "All Applications"}, "IP" : {"fullname" : "Immunoprecipitation", "shortname":"IP"}, "WB" : {"fullname" : "Western blot", "shortname":"WB"}, "IHCFr" : {"fullname" : "Immunohistochemistry (Frozen sections)", "shortname":"IHC-Fr"}, "IHCP" : {"fullname" : "Immunohistochemistry (Formalin/PFA-fixed paraffin-embedded sections)", "shortname":"IHC-P"} }, "product-promise": { "all": "all", "testedAndGuaranteed": "tested", "guaranteed": "expected", "predicted": "predicted", "notRecommended": "not-recommended" } }, "values": { "Mouse": { "IP-species-checked": "notRecommended", "IP-species-dilution-info": "", "IP-species-notes": "<p></p> Perform heat-mediated antigen retrieval with Tris/EDTA buffer pH 9.0 before commencing with IHC staining protocol.", "WB-species-checked": "notRecommended", "WB-species-dilution-info": "", "WB-species-notes": "<p></p>", "IHCFr-species-checked": "testedAndGuaranteed", "IHCFr-species-dilution-info": "", "IHCFr-species-notes": "<p>AGRP is synthesized in neuropeptide Y (NPY)-containing cell bodies located in the ventromedial part of the arcuate nucleus in the hypothalamus. Please fix the tissue by perfusing the hypothalamus with freshly prepared 4% PFA and perform heat-mediated antigen retrieval using a sodium citrate buffer.</p>", "IHCP-species-checked": "testedAndGuaranteed", "IHCP-species-dilution-info": "", "IHCP-species-notes": "<p></p> Perform heat-mediated antigen retrieval with Tris/EDTA buffer pH 9.0 before commencing with IHC staining protocol." } } }

Product details

ab255686 is the carrier-free version of ab254558.

Patented technology
Our RabMAb® technology is a patented hybridoma-based technology for making rabbit monoclonal antibodies. For details on our patents, please refer to RabMAb® patents.

What are the advantages of a recombinant monoclonal antibody?
This product is a recombinant monoclonal antibody, which offers several advantages including:

  • - High batch-to-batch consistency and reproducibility
  • - Improved sensitivity and specificity
  • - Long-term security of supply
  • - Animal-free batch production

For more information, read more on recombinant antibodies.

Conjugation ready
Our carrier-free antibodies are typically supplied in a PBS-only formulation, purified and free of BSA, sodium azide and glycerol. This conjugation-ready format is designed for use with fluorochromes, metal isotopes, oligonucleotides, and enzymes, which makes them ideal for antibody labelling, functional and cell-based assays, flow-based assays (e.g. mass cytometry) and Multiplex Imaging applications.

Use our conjugation kits for antibody conjugates that are ready-to-use in as little as 20 minutes with 1 minute hands-on-time and 100% antibody recovery: available for fluorescent dyes, HRP, biotin and gold.

Compatibility
This product is compatible with the Maxpar® Antibody Labeling Kit from Fluidigm, without the need for antibody preparation. Maxpar® is a trademark of Fluidigm Canada Inc.

Properties and storage information

Form
Liquid
Purification technique
Affinity purification Protein A
Storage buffer
pH: 7.2 - 7.4 Constituents: PBS
Shipped at conditions
Blue Ice
Appropriate short-term storage conditions
+4°C
Appropriate long-term storage conditions
+4°C
Storage information
Do Not Freeze

Supplementary information

This supplementary information is collated from multiple sources and compiled automatically.

AGRP also known as Agouti-related protein is a neuropeptide with a molecular weight of approximately 13.5 kDa. It is predominantly expressed in the arcuate nucleus of the hypothalamus in the brain and some regions of the adrenal gland. AGRP serves as an antagonist to melanocortin receptors particularly the melanocortin 3 and 4 receptors (MC3R and MC4R) which are involved in energy homeostasis. By binding to these receptors AGRP plays a critical role in the regulation of appetite and energy balance by inhibiting the action of alpha-melanocyte-stimulating hormone.
Biological function summary

AGRP is involved in the regulation of feeding behavior and body weight. It does not function as part of a larger complex but operates effectively as an antagonist in its own right. When expressed AGRP influences energy expenditure and food intake contributing to how the body regulates hunger and satiety. Its activity helps to modulate signaling pathways that can increase the desire to eat when energy stores are depleted.

Pathways

AGRP plays a notable role in the melanocortin pathway and influences the hypothalamic signaling pathways related to energy balance. It interacts with melanocortin receptors as part of this system modulating signals that maintain energy homeostasis. AGRP is closely related to orexigenic pathways working alongside other proteins like neuropeptide Y (NPY) which further stimulate appetite and food intake.

AGRP has a strong connection to obesity and metabolic disorders. It is implicated in conditions where energy balance is disrupted leading to excessive weight gain. AGRP levels can be elevated in individuals with obesity suggesting a link between its upregulation and increased appetite. Additionally the protein interacts with leptin a hormone involved in energy expenditure and appetite suppression highlighting AGRP's role in metabolic conditions where leptin signaling may be impaired.

Product protocols

For this product, it's our understanding that no specific protocols are required. You can visit:

Target data

Plays a role in weight homeostasis. Involved in the control of feeding behavior through the central melanocortin system. Acts as alpha melanocyte-stimulating hormone antagonist by inhibiting cAMP production mediated by stimulation of melanocortin receptors within the hypothalamus and adrenal gland. Has very low activity with MC5R. Is an inverse agonist for MC3R and MC4R being able to suppress their constitutive activity (By similarity). It promotes MC3R and MC4R endocytosis in an arrestin-dependent manner (By similarity).
See full target information Agrp

Publications (1)

Recent publications for all applications. Explore the full list and refine your search

iScience 27:110784 PubMed39391723

2024

GATA-4 overexpressing BMSC-derived exosomes suppress H/R-induced cardiomyocyte ferroptosis.

Applications

Unspecified application

Species

Unspecified reactive species

Zhiyuan Xiao,Si Li,Xinxin Wu,Xinhao Chen,Dan Yan,Jigang He
View all publications

Product promise

We are committed to supporting your work with high-quality reagents, and we're here for you every step of the way. In the unlikely event that one of our products does not perform as expected, you're protected by our Product Promise.
For full details, please see our Terms & Conditions

Please note: All products are 'FOR RESEARCH USE ONLY. NOT FOR USE IN DIAGNOSTIC OR THERAPEUTIC PROCEDURES'.

For licensing inquiries, please contact partnerships@abcam.com