JavaScript is disabled in your browser. Please enable JavaScript to view this website.
AB261914

Anti-AGXT antibody [EPR22885-58] - BSA and Azide free

Be the first to review this product! Submit a review

|

(1 Publication)

Rabbit Recombinant Monoclonal AGXT antibody. Carrier free. Suitable for WB, IHC-Fr, Flow Cyt (Intra), IHC-P and reacts with Mouse, Rat, Human samples. Cited in 1 publication.

View Alternative Names

AGT1, SPAT, AGXT, Alanine--glyoxylate aminotransferase, AGT, Serine--pyruvate aminotransferase, SPT

7 Images
Immunohistochemistry (Formalin/PFA-fixed paraffin-embedded sections) - Anti-AGXT antibody [EPR22885-58] - BSA and Azide free (AB261914)
  • IHC-P

Unknown

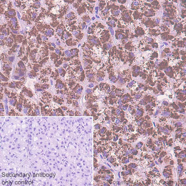
Immunohistochemistry (Formalin/PFA-fixed paraffin-embedded sections) - Anti-AGXT antibody [EPR22885-58] - BSA and Azide free (AB261914)

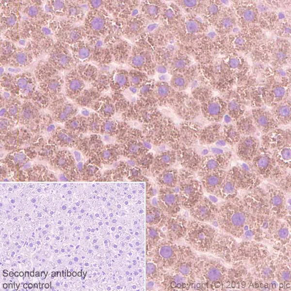
Immunohistochemical analysis of paraffin-embedded Human liver cancer tissue labeling AGXT with ab261910 at 1/ 1000 dilution (0.502ug/ml) followed by a ready to use Rabbit specific IHC polymer detection kit HRP/DAB (ab209101). Positive staining in human liver cancer (PMID : 29883780) is observed. The section was incubated with ab261910 for 30 mins at room temperature. The immunostaining was performed on a Leica Biosystems BOND® RX instrument. Counterstained with Hematoxylin.

Secondary antibody only control : Secondary antibody is a ready to use Rabbit specific IHC polymer detection kit HRP/DAB (ab209101).

Heat mediated antigen retrieval with Tris-EDTA buffer (pH 9.0, epitope retrieval solution 2) for 20 mins.

This data was developed using the same antibody clone in a different buffer formulation containing PBS, BSA, glycerol, and sodium azide (ab261910).

Immunohistochemistry (Formalin/PFA-fixed paraffin-embedded sections) - Anti-AGXT antibody [EPR22885-58] - BSA and Azide free (AB261914)
  • IHC-P

Unknown

Immunohistochemistry (Formalin/PFA-fixed paraffin-embedded sections) - Anti-AGXT antibody [EPR22885-58] - BSA and Azide free (AB261914)

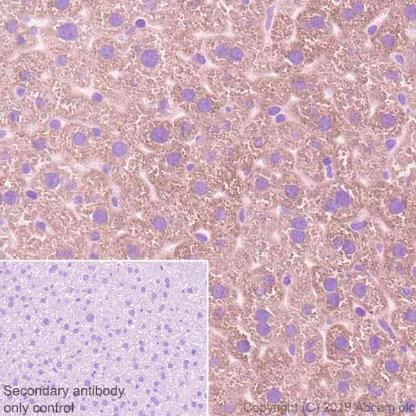
Immunohistochemical analysis of paraffin-embedded Human liver tissue labeling AGXT with ab261910 at 1/ 1000 dilution (0.502ug/ml) followed by a ready to use Rabbit specific IHC polymer detection kit HRP/DAB (ab209101). Positive staining in human liver (PMID : 29883780) is observed. The section was incubated with ab261910 for 30 mins at room temperature. The immunostaining was performed on a Leica Biosystems BOND® RX instrument. Counterstained with Hematoxylin.

Secondary antibody only control : Secondary antibody is a ready to use Rabbit specific IHC polymer detection kit HRP/DAB (ab209101).

Heat mediated antigen retrieval with Tris-EDTA buffer (pH 9.0, epitope retrieval solution 2) for 20 mins.

This data was developed using the same antibody clone in a different buffer formulation containing PBS, BSA, glycerol, and sodium azide (ab261910).

Flow Cytometry (Intracellular) - Anti-AGXT antibody [EPR22885-58] - BSA and Azide free (AB261914)
  • Flow Cyt (Intra)

Unknown

Flow Cytometry (Intracellular) - Anti-AGXT antibody [EPR22885-58] - BSA and Azide free (AB261914)

Intracellular flow cytometric analysis of 4% paraformaldehyde fixed, 90% methanol permeabilized Hepa1-6 (mouse hepatoma epithelial cell) cells labelling AGXT with ab261910 at 1/50 dilution (Red) compared with a Rabbit monoclonal IgG (ab172730) / Black isotype control and an unlabelled control (cells without incubation with primary antibody and secondary antibody) (Blue). A Goat anti rabbit IgG (Alexa Fluor®488, ab150077) at 1/2000 dilution was used as the secondary antibody.

This data was developed using the same antibody clone in a different buffer formulation containing PBS, BSA, glycerol, and sodium azide (ab261910).

Immunohistochemistry (Formalin/PFA-fixed paraffin-embedded sections) - Anti-AGXT antibody [EPR22885-58] - BSA and Azide free (AB261914)
  • IHC-P

Unknown

Immunohistochemistry (Formalin/PFA-fixed paraffin-embedded sections) - Anti-AGXT antibody [EPR22885-58] - BSA and Azide free (AB261914)

Immunohistochemical analysis of paraffin-embedded rat liver tissue labeling AGXT with ab261910 at 1/1000 dilution (0.502ug/ml) followed by a ready to use Rabbit specific IHC polymer detection kit HRP/DAB (ab209101). Positive staining in rat liver (PMID : 29883780) is observed. The section was incubated with ab261910 for 30 mins at room temperature. The immunostaining was performed on a Leica Biosystems BOND® RX instrument. Counterstained with Hematoxylin.

Secondary antibody only control : Secondary antibody is a ready to use Rabbit specific IHC polymer detection kit HRP/DAB (ab209101).

Heat mediated antigen retrieval with Tris-EDTA buffer (pH 9.0, epitope retrieval solution 2) for 20 mins.

This data was developed using the same antibody clone in a different buffer formulation containing PBS, BSA, glycerol, and sodium azide (ab261910).

Immunohistochemistry (Frozen sections) - Anti-AGXT antibody [EPR22885-58] - BSA and Azide free (AB261914)
  • IHC-Fr

Unknown

Immunohistochemistry (Frozen sections) - Anti-AGXT antibody [EPR22885-58] - BSA and Azide free (AB261914)

Immunohistochemical analysis of 4% PFA-fixed, 0.2% Triton X-100 permeabilized frozen section of mouse liver tissue labeling AGXT with ab261910 at 1/100 dilution, followed by ab150077 AlexaFluor®488 Goat anti-Rabbit secondary at 1/1000 dilution (green). The nuclear counter stain is DAPI (blue). Positive staining on mouse liver (PMID : 29883780).

Heat mediated antigen retrieval using sodium citrate buffer (10mM citrate pH 6.0 + 0.05% Tween-20).

This data was developed using the same antibody clone in a different buffer formulation containing PBS, BSA, glycerol, and sodium azide (ab261910).

Immunohistochemistry (Formalin/PFA-fixed paraffin-embedded sections) - Anti-AGXT antibody [EPR22885-58] - BSA and Azide free (AB261914)
  • IHC-P

Unknown

Immunohistochemistry (Formalin/PFA-fixed paraffin-embedded sections) - Anti-AGXT antibody [EPR22885-58] - BSA and Azide free (AB261914)

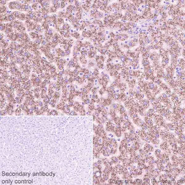
Immunohistochemical analysis of paraffin-embedded Mouse liver tissue labeling AGXT with ab261910 at 1/ 1000 dilution (0.502ug/ml) followed by a ready to use Rabbit specific IHC polymer detection kit HRP/DAB (ab209101). Positive staining in mouse liver (PMID : 29883780) is observed. The section was incubated with ab261910 for 30 mins at room temperature. The immunostaining was performed on a Leica Biosystems BOND® RX instrument. Counterstained with Hematoxylin.

Secondary antibody only control : Secondary antibody is a ready to use Rabbit specific IHC polymer detection kit HRP/DAB (ab209101).

Heat mediated antigen retrieval with Tris-EDTA buffer (pH 9.0, epitope retrieval solution 2) for 20 mins.

This data was developed using the same antibody clone in a different buffer formulation containing PBS, BSA, glycerol, and sodium azide (ab261910).

Immunohistochemistry (Formalin/PFA-fixed paraffin-embedded sections) - Anti-AGXT antibody [EPR22885-58] - BSA and Azide free (AB261914)
  • IHC-P

Lab

Immunohistochemistry (Formalin/PFA-fixed paraffin-embedded sections) - Anti-AGXT antibody [EPR22885-58] - BSA and Azide free (AB261914)

This data was developed using ab261910, the same antibody clone in a different buffer formulation.

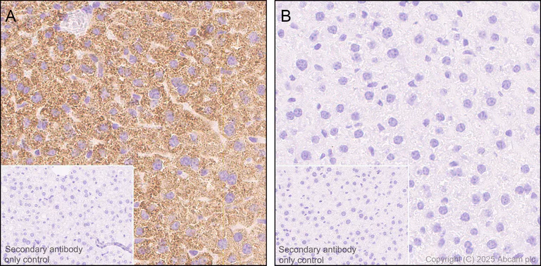
Immunohistochemical analysis of paraffin-embedded mouse liver tissue labeling AGXT with ab261910 at 1/ 1000 dilution followed by a ready to use LeicaDS9800 (Bond™ Polymer Refine Detection). Positive staining on (A) Liver tissue from wild-type C57BL/6J mice, no staining on (B) Liver tissue from Agxt knockout mice. The primary antibody was incubated for 30 mins at room temperature. The immunostaining was performed on a Leica Biosystems BOND® RX instrument. Counterstained with Hematoxylin.

Secondary antibody is a ready to use LeicaDS9800 (Bond™ Polymer Refine Detection).

Heat mediated antigen retrieval with Tris-EDTA buffer (pH 9.0, epitope retrieval solution 2) for 20 mins.

The tissue samples were kindly provided by GemPharmatech. C57BL/6JGpt wildtype mice and Agxt-KO homozygous mice (Strain ID : T030354).

Key facts

Host species

Rabbit

Clonality

Monoclonal

Clone number

EPR22885-58

Isotype

IgG

Carrier free

Yes

Reacts with

Mouse, Rat, Human

Applications

WB, IHC-Fr, Flow Cyt (Intra), IHC-P

applications

Immunogen

The exact immunogen used to generate this antibody is proprietary information.

Specificity

This antibody is not recommended for rat IHC-fr.

Reactivity data

{ "title": "Reactivity Data", "filters": { "stats": ["", "Species", "Dilution Info", "Notes"], "tabs": { "all-applications": {"fullname" : "All Applications", "shortname": "All Applications"}, "IP" : {"fullname" : "Immunoprecipitation", "shortname":"IP"}, "WB" : {"fullname" : "Western blot", "shortname":"WB"}, "ICCIF" : {"fullname" : "Immunocytochemistry/ Immunofluorescence", "shortname":"ICC/IF"}, "IHCFr" : {"fullname" : "Immunohistochemistry (Frozen sections)", "shortname":"IHC-Fr"}, "FlowCytIntra" : {"fullname" : "Flow Cytometry (Intracellular)", "shortname":"Flow Cyt (Intra)"}, "IHCP" : {"fullname" : "Immunohistochemistry (Formalin/PFA-fixed paraffin-embedded sections)", "shortname":"IHC-P"} }, "product-promise": { "all": "all", "testedAndGuaranteed": "tested", "guaranteed": "expected", "predicted": "predicted", "notRecommended": "not-recommended" } }, "values": { "Human": { "IP-species-checked": "notRecommended", "IP-species-dilution-info": "", "IP-species-notes": "<p></p>", "WB-species-checked": "testedAndGuaranteed", "WB-species-dilution-info": "", "WB-species-notes": "<p></p>", "ICCIF-species-checked": "notRecommended", "ICCIF-species-dilution-info": "", "ICCIF-species-notes": "<p></p>", "IHCFr-species-checked": "guaranteed", "IHCFr-species-dilution-info": "", "IHCFr-species-notes": "", "FlowCytIntra-species-checked": "guaranteed", "FlowCytIntra-species-dilution-info": "", "FlowCytIntra-species-notes": "", "IHCP-species-checked": "testedAndGuaranteed", "IHCP-species-dilution-info": "", "IHCP-species-notes": "<p></p>" }, "Mouse": { "IP-species-checked": "notRecommended", "IP-species-dilution-info": "", "IP-species-notes": "<p></p>", "WB-species-checked": "testedAndGuaranteed", "WB-species-dilution-info": "", "WB-species-notes": "<p></p>", "ICCIF-species-checked": "notRecommended", "ICCIF-species-dilution-info": "", "ICCIF-species-notes": "<p></p>", "IHCFr-species-checked": "testedAndGuaranteed", "IHCFr-species-dilution-info": "", "IHCFr-species-notes": "<p>Heat mediated antigen retrieval using sodium citrate buffer (10mM citrate pH 6.0 + 0.05% Tween-20).</p><p>This antibody is not recommended for rat IHC-fr.</p>", "FlowCytIntra-species-checked": "testedAndGuaranteed", "FlowCytIntra-species-dilution-info": "", "FlowCytIntra-species-notes": "<p></p>", "IHCP-species-checked": "testedAndGuaranteed", "IHCP-species-dilution-info": "", "IHCP-species-notes": "<p></p>" }, "Rat": { "IP-species-checked": "notRecommended", "IP-species-dilution-info": "", "IP-species-notes": "<p></p>", "WB-species-checked": "testedAndGuaranteed", "WB-species-dilution-info": "", "WB-species-notes": "<p></p>", "ICCIF-species-checked": "notRecommended", "ICCIF-species-dilution-info": "", "ICCIF-species-notes": "<p></p>", "IHCFr-species-checked": "guaranteed", "IHCFr-species-dilution-info": "", "IHCFr-species-notes": "", "FlowCytIntra-species-checked": "guaranteed", "FlowCytIntra-species-dilution-info": "", "FlowCytIntra-species-notes": "", "IHCP-species-checked": "testedAndGuaranteed", "IHCP-species-dilution-info": "", "IHCP-species-notes": "<p></p>" } } }

Product details

ab261914 is the carrier-free version of ab261910.

Patented technology
Our RabMAb® technology is a patented hybridoma-based technology for making rabbit monoclonal antibodies. For details on our patents, please refer to RabMAb® patents.

What are the advantages of a recombinant monoclonal antibody?
This product is a recombinant monoclonal antibody, which offers several advantages including:

  • - High batch-to-batch consistency and reproducibility
  • - Improved sensitivity and specificity
  • - Long-term security of supply
  • - Animal-free batch production

For more information, read more on recombinant antibodies.

Conjugation ready
Our carrier-free antibodies are typically supplied in a PBS-only formulation, purified and free of BSA, sodium azide and glycerol. This conjugation-ready format is designed for use with fluorochromes, metal isotopes, oligonucleotides, and enzymes, which makes them ideal for antibody labelling, functional and cell-based assays, flow-based assays (e.g. mass cytometry) and Multiplex Imaging applications.

Use our conjugation kits for antibody conjugates that are ready-to-use in as little as 20 minutes with 1 minute hands-on-time and 100% antibody recovery: available for fluorescent dyes, HRP, biotin and gold.

Compatibility
This product is compatible with the Maxpar® Antibody Labeling Kit from Fluidigm, without the need for antibody preparation. Maxpar® is a trademark of Fluidigm Canada Inc.

Properties and storage information

Form
Liquid
Purification technique
Affinity purification Protein A
Storage buffer
pH: 7.2 - 7.4 Constituents: PBS
Shipped at conditions
Blue Ice
Appropriate short-term storage conditions
+4°C
Appropriate long-term storage conditions
+4°C
Storage information
Do Not Freeze

Supplementary information

This supplementary information is collated from multiple sources and compiled automatically.

The biological target AGXT also known as alanine-glyoxylate aminotransferase plays an important role in human metabolism. It is a liver-specific enzyme with an approximate molecular weight of 43 kDa. AGXT is expressed primarily in liver peroxisomes where it catalyzes the transamination reaction that converts glyoxylate to glycine. This enzymatic activity is important for detoxifying glyoxylate which otherwise could accumulate and result in harmful effects. The expression level and activity of AGXT can be influenced by various metabolic conditions.
Biological function summary

The conversion of glyoxylate to glycine mediated by AGXT helps in maintaining cellular homeostasis. AGXT is not part of large protein complexes but it directly influences the pathways leading to amino acid metabolism. By converting glyoxylate into glycine this enzyme plays a part in managing the precursors necessary for the biosynthesis of other important biomolecules including serine and pyruvate. As glyoxylate is an important intermediary its conversion is essential for metabolic flux.

Pathways

AGXT has a significant role in the glyoxylate metabolic pathway and the glycine serine and threonine metabolism pathway. In these pathways it works closely with other enzymes like glycine decarboxylase and serine hydroxymethyltransferase. The proper functioning of these pathways ensures efficient energy utilization and detoxification in the human body. Any disruption can affect the balance of amino acid concentrations leading to metabolic disturbances.

AGXT is most prominently linked to primary hyperoxaluria type 1 (PH1) which is a rare genetic condition. In PH1 mutations in the AGXT gene lead to its dysfunctional enzyme causing the accumulation of oxalate and subsequent kidney stone formation and renal failure. The disease connection places AGXT in relation to key proteins involved in oxalate metabolism and renal function such as glycolate oxidase. Understanding AGXT's role in these disorders opens pathways for therapeutic interventions and advanced research into metabolic regulation.

Product protocols

For this product, it's our understanding that no specific protocols are required. You can visit:

Target data

Peroxisomal aminotransferase that catalyzes the transamination of glyoxylate to glycine and contributes to the glyoxylate detoxification (PubMed : 10960483, PubMed : 12777626, PubMed : 23229545, PubMed : 24055001, PubMed : 26149463). Also catalyzes the transamination between L-serine and pyruvate and contributes to gluconeogenesis from the L-serine metabolism (PubMed : 10347152).
See full target information AGXT

Publications (1)

Recent publications for all applications. Explore the full list and refine your search

iScience 28:111903 PubMed39995871

2025

Adipocyte-specific Steap4 deficiency reduced thermogenesis and energy expenditure in mice.

Applications

Unspecified application

Species

Unspecified reactive species

Han Wang,Lizi Zhang,Xing Chen,Lingzi Hong,Junjie Zhao,Wen Qian,Lam Khue Pham,Belinda Willard,Xiaoxia Li,Katarzyna Bulek,Xiao Li
View all publications

Product promise

We are committed to supporting your work with high-quality reagents, and we're here for you every step of the way. In the unlikely event that one of our products does not perform as expected, you're protected by our Product Promise.
For full details, please see our Terms & Conditions

Please note: All products are 'FOR RESEARCH USE ONLY. NOT FOR USE IN DIAGNOSTIC OR THERAPEUTIC PROCEDURES'.

For licensing inquiries, please contact partnerships@abcam.com