JavaScript is disabled in your browser. Please enable JavaScript to view this website.
AB307716

Anti-AHA1 antibody [EPR26852-47]

Be the first to review this product! Submit a review

|

(0 Publication)

Rabbit Recombinant Monoclonal AHA1 antibody. Suitable for WB, IP and reacts with Human, Mouse, Rat samples.

View Alternative Names

C14orf3, HSPC322, AHSA1, Activator of 90 kDa heat shock protein ATPase homolog 1, AHA1, p38

4 Images
Immunoprecipitation - Anti-AHA1 antibody [EPR26852-47] (AB307716)
  • IP

Supplier Data

Immunoprecipitation - Anti-AHA1 antibody [EPR26852-47] (AB307716)

AHA1 was immunoprecipitated from 0.35 mg HeLa (human cervical adenocarcinoma epithelial cell) whole cell lysate 20 μg with ab307716 at 1/30 dilution (2 μg in 0.35mg lysates). Western blot was performed on the immunoprecipitate using ab307716 at 1/1000 dilution. VeriBlot for IP secondary antibody(HRP)(ab131366) was used at 1/5000 dilution. Lane 1 : HeLa (human cervical adenocarcinoma epithelial cell) whole cell lysate 20 μg Lane 2 : ab307716 IP in HeLa whole cell lysate Lane 3 : Rabbit monoclonal IgG (ab172730) instead of 307716 in HeLa whole cell lysate Blocking and dilution buffer and concentration : 5% NFDM/TBST. Exposure time : 15 seconds

All lanes:

Immunoprecipitation - Anti-AHA1 antibody [EPR26852-47] (ab307716) at 1/30 dilution

All lanes:

HeLa whole cell lysate

Secondary

All lanes:

Immunoprecipitation - VeriBlot for IP Detection Reagent (HRP) (<a href='/en-us/products/reagents/veriblot-for-ip-detection-reagent-hrp-ab131366'>ab131366</a>) at 1/5000 dilution

Observed band size: 42 kDa

false

Exposure time: 15s

Western blot - Anti-AHA1 antibody [EPR26852-47] (AB307716)
  • WB

Lab

Western blot - Anti-AHA1 antibody [EPR26852-47] (AB307716)

Blocking and diluting buffer and concentration : 5% NFDM/TBST Exposure time : 70 seconds

All lanes:

Western blot - Anti-AHA1 antibody [EPR26852-47] (ab307716) at 1/1000 dilution

Lane 1:

Human testis tissue lysate at 20 µg

Lane 2:

Human tonsil tissue lysate at 20 µg

Lane 3:

Human colon tissue lysate at 20 µg

Secondary

All lanes:

Goat Anti-Rabbit IgG (HRP) with minimal cross-reactivity with human IgG at 1/2000 dilution

Observed band size: 42 kDa

false

Exposure time: 70s

Western blot - Anti-AHA1 antibody [EPR26852-47] (AB307716)
  • WB

Lab

Western blot - Anti-AHA1 antibody [EPR26852-47] (AB307716)

Blocking and diluting buffer and concentration : 5% NFDM/TBST In Western blot, anti-GAPDH antibody (ab181602) loading control staining at 1/200000 dilution. Exposure time : 180 seconds

All lanes:

Western blot - Anti-AHA1 antibody [EPR26852-47] (ab307716) at 1/1000 dilution

Lane 1:

293T transfected with scrambled siRNA control whole cell lysate at 20 µg

Lane 2:

293T transfected with siRNA specifically targeting AHA1 whole cell lysate at 20 µg

Secondary

All lanes:

Western blot - Goat Anti-Rabbit IgG H&L (HRP) (<a href='/en-us/products/secondary-antibodies/goat-rabbit-igg-h-l-hrp-ab97051'>ab97051</a>) at 1/100000 dilution

Observed band size: 42 kDa

false

Exposure time: 180s

Western blot - Anti-AHA1 antibody [EPR26852-47] (AB307716)
  • WB

Lab

Western blot - Anti-AHA1 antibody [EPR26852-47] (AB307716)

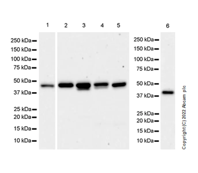
Blocking and diluting buffer and concentration : 5% NFDM/TBST Exposure time : 92 seconds

All lanes:

Western blot - Anti-AHA1 antibody [EPR26852-47] (ab307716) at 1/1000 dilution

Lane 1:

MG-63 (human osteosarcoma fibroblast) whole cell lysate at 20 µg

Lane 2:

Mouse testis tissue lysate at 20 µg

Lane 3:

RAW 264.7 (mouse Abelson murine leukemia virus-induced tumor macrophage) whole cell lysate at 20 µg

Lane 4:

PC-12 (rat adrenal gland pheochromocytoma cell) whole cell lysate at 20 µg

Lane 5:

NIH/3T3 (mouse embryonic fibroblast) whole cell lysate at 20 µg

Lane 6:

Rat colon tissue lysate at 20 µg

Secondary

All lanes:

Western blot - Goat Anti-Rabbit IgG H&L (HRP) (<a href='/en-us/products/secondary-antibodies/goat-rabbit-igg-h-l-hrp-ab97051'>ab97051</a>) at 1/100000 dilution

Observed band size: 42 kDa

false

Exposure time: 92s

  • Carrier free

    Anti-AHA1 antibody [EPR26852-47] - BSA and Azide free

Key facts

Host species

Rabbit

Clonality

Monoclonal

Clone number

EPR26852-47

Isotype

IgG

Carrier free

No

Reacts with

Human, Mouse, Rat

Applications

IP, WB

applications

Immunogen

The exact immunogen used to generate this antibody is proprietary information.

Reactivity data

{ "title": "Reactivity Data", "filters": { "stats": ["", "Species", "Dilution Info", "Notes"], "tabs": { "all-applications": {"fullname" : "All Applications", "shortname": "All Applications"}, "WB" : {"fullname" : "Western blot", "shortname":"WB"}, "IP" : {"fullname" : "Immunoprecipitation", "shortname":"IP"}, "IHCP" : {"fullname" : "Immunohistochemistry (Formalin/PFA-fixed paraffin-embedded sections)", "shortname":"IHC-P"}, "ICCIF" : {"fullname" : "Immunocytochemistry/ Immunofluorescence", "shortname":"ICC/IF"}, "FlowCytIntra" : {"fullname" : "Flow Cytometry (Intracellular)", "shortname":"Flow Cyt (Intra)"} }, "product-promise": { "all": "all", "testedAndGuaranteed": "tested", "guaranteed": "expected", "predicted": "predicted", "notRecommended": "not-recommended" } }, "values": { "Human": { "WB-species-checked": "testedAndGuaranteed", "WB-species-dilution-info": "1/1000", "WB-species-notes": "<p></p>", "IP-species-checked": "testedAndGuaranteed", "IP-species-dilution-info": "1/1000", "IP-species-notes": "<p></p>", "IHCP-species-checked": "notRecommended", "IHCP-species-dilution-info": "", "IHCP-species-notes": "<p></p>", "ICCIF-species-checked": "notRecommended", "ICCIF-species-dilution-info": "", "ICCIF-species-notes": "<p></p>", "FlowCytIntra-species-checked": "notRecommended", "FlowCytIntra-species-dilution-info": "", "FlowCytIntra-species-notes": "<p></p>" }, "Mouse": { "WB-species-checked": "testedAndGuaranteed", "WB-species-dilution-info": "1/1000", "WB-species-notes": "<p></p>", "IP-species-checked": "guaranteed", "IP-species-dilution-info": "", "IP-species-notes": "", "IHCP-species-checked": "notRecommended", "IHCP-species-dilution-info": "", "IHCP-species-notes": "<p></p>", "ICCIF-species-checked": "notRecommended", "ICCIF-species-dilution-info": "", "ICCIF-species-notes": "<p></p>", "FlowCytIntra-species-checked": "notRecommended", "FlowCytIntra-species-dilution-info": "", "FlowCytIntra-species-notes": "<p></p>" }, "Rat": { "WB-species-checked": "testedAndGuaranteed", "WB-species-dilution-info": "1/1000", "WB-species-notes": "<p></p>", "IP-species-checked": "guaranteed", "IP-species-dilution-info": "", "IP-species-notes": "", "IHCP-species-checked": "notRecommended", "IHCP-species-dilution-info": "", "IHCP-species-notes": "<p></p>", "ICCIF-species-checked": "notRecommended", "ICCIF-species-dilution-info": "", "ICCIF-species-notes": "", "FlowCytIntra-species-checked": "notRecommended", "FlowCytIntra-species-dilution-info": "", "FlowCytIntra-species-notes": "" } } }

Product details

Patented technology
Our RabMAb® technology is a patented hybridoma-based technology for making rabbit monoclonal antibodies. For details on our patents, please refer to RabMAb® patents.

What are the advantages of a recombinant monoclonal antibody?
This product is a recombinant monoclonal antibody, which offers several advantages including:

  • - High batch-to-batch consistency and reproducibility
  • - Improved sensitivity and specificity
  • - Long-term security of supply
  • - Animal-free batch production

For more information, read more on recombinant antibodies.

Properties and storage information

Form
Liquid
Purification technique
Affinity purification Protein A
Storage buffer
pH: 7.2 - 7.4 Preservative: 0.01% Sodium azide Constituents: PBS, 40% Glycerol (glycerin, glycerine), 0.05% BSA
Shipped at conditions
Blue Ice
Appropriate short-term storage duration
1-2 weeks
Appropriate short-term storage conditions
+4°C
Appropriate long-term storage conditions
-20°C
Aliquoting information
Upon delivery aliquot
Storage information
Avoid freeze / thaw cycle

Supplementary information

This supplementary information is collated from multiple sources and compiled automatically.

AHA1 also known as activator of heat shock 90kDa protein ATPase homolog 1 is a co-chaperone protein that plays a role in the regulation of HSP90 ATPase activity. This protein has a molecular weight of approximately 38 kDa. AHA1 expression occurs in various tissues with higher amounts seen in metabolically active tissues. It interacts directly with HSP90 enhancing the chaperone's ability to fold client proteins correctly by stimulating its ATPase activity.
Biological function summary

AHA1 modulates the function of the HSP90 chaperone complex. This complex is important for the stabilization and activation of many client proteins such as steroid hormone receptors and kinases. AHA1 binds to the middle domain of HSP90 contributing to conformational changes necessary for efficient ATP hydrolysis. By influencing these molecular processes AHA1 plays a role in maintaining cellular protein homeostasis under stress conditions.

Pathways

The HSP90-AHA1 interaction is significant in the signaling pathway of cellular stress responses and protein folding. AHA1's upregulating effect on HSP90 ATPase activity facilitates the correct folding and function of client proteins involved in the MAPK/ERK and PI3K/AKT pathways. These pathways commonly involve interactions with proteins such as RAF and PI3K which are important in cell proliferation and survival processes.

AHA1 influences the progression of cancer and neurodegenerative diseases. Altered expression or function of AHA1 is linked to the development and progression of cancer as it affects the stability of oncoproteins through its interaction with HSP90. The protein is also connected to neurodegenerative diseases with disruptions in its function or expression impacting the folding and maintenance of neuronal proteins. In these diseases the AHA1-HSP90 interaction remains a critical component of pathogenic pathways affecting disease manifestation and progression.

Product protocols

For this product, it's our understanding that no specific protocols are required. You can visit:

Target data

Acts as a co-chaperone of HSP90AA1 (PubMed : 29127155). Activates the ATPase activity of HSP90AA1 leading to increase in its chaperone activity (PubMed : 29127155). Competes with the inhibitory co-chaperone FNIP1 for binding to HSP90AA1, thereby providing a reciprocal regulatory mechanism for chaperoning of client proteins (PubMed : 27353360). Competes with the inhibitory co-chaperone TSC1 for binding to HSP90AA1, thereby providing a reciprocal regulatory mechanism for chaperoning of client proteins (PubMed : 29127155).
See full target information AHSA1

Product promise

We are committed to supporting your work with high-quality reagents, and we're here for you every step of the way. In the unlikely event that one of our products does not perform as expected, you're protected by our Product Promise.
For full details, please see our Terms & Conditions

Please note: All products are 'FOR RESEARCH USE ONLY. NOT FOR USE IN DIAGNOSTIC OR THERAPEUTIC PROCEDURES'.

For licensing inquiries, please contact partnerships@abcam.com