JavaScript is disabled in your browser. Please enable JavaScript to view this website.
AB187051

Anti-AHSG antibody [EPR17839-163]

Be the first to review this product! Submit a review

|

(6 Publications)

Rabbit Recombinant Monoclonal FETUA antibody. Suitable for IP, WB, IHC-P and reacts with Mouse, Rat samples. Cited in 6 publications.

View Alternative Names

Fetua, Ahsg, Alpha-2-HS-glycoprotein, Countertrypin, Fetuin-A

5 Images
Immunohistochemistry (Formalin/PFA-fixed paraffin-embedded sections) - Anti-AHSG antibody [EPR17839-163] (AB187051)
  • IHC-P

Supplier Data

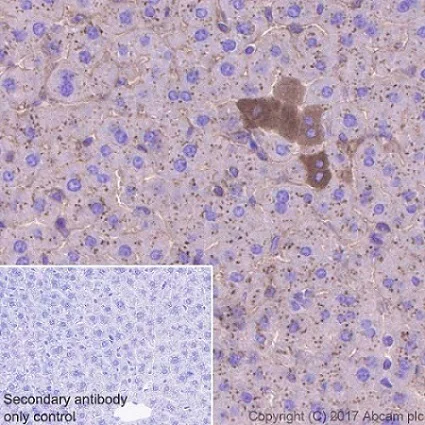
Immunohistochemistry (Formalin/PFA-fixed paraffin-embedded sections) - Anti-AHSG antibody [EPR17839-163] (AB187051)

Immunohistochemical analysis of paraffin-embedded rat liver tissue labeling AHSG with ab187051 at 1/2000 dilution, followed by Goat Anti-Rabbit IgG H&L (HRP) Ready to use. Cytoplasmic staining on rat liver (PMID : 24604240; PMID : 12943536; PMID : 22170794) is observed. Counter stained with hematoxylin.

Secondary antibody only control : Used PBS instead of primary antibody, secondary antibody is Goat Anti-Rabbit IgG H&L (HRP) Ready to use.

Perform heat mediated antigen retrieval using ab93684 (Tris/EDTA buffer, pH 9.0).

Immunohistochemistry (Formalin/PFA-fixed paraffin-embedded sections) - Anti-AHSG antibody [EPR17839-163] (AB187051)
  • IHC-P

Supplier Data

Immunohistochemistry (Formalin/PFA-fixed paraffin-embedded sections) - Anti-AHSG antibody [EPR17839-163] (AB187051)

Immunohistochemical analysis of paraffin-embedded mouse liver tissue labeling AHSG with ab187051 at 1/2000 dilution, followed by Goat Anti-Rabbit IgG H&L (HRP) Ready to use. Cytoplasmic staining on mouse liver (PMID : 24604240; PMID : 12943536; PMID : 22170794) is observed. Counter stained with hematoxylin.

Secondary antibody only control : Used PBS instead of primary antibody, secondary antibody is Goat Anti-Rabbit IgG H&L (HRP) Ready to use.

Perform heat mediated antigen retrieval using ab93684 (Tris/EDTA buffer, pH 9.0).

Immunoprecipitation - Anti-AHSG antibody [EPR17839-163] (AB187051)
  • IP

Supplier Data

Immunoprecipitation - Anti-AHSG antibody [EPR17839-163] (AB187051)

AHSG was immunoprecipitated from 0.35 mg of mouse serum with ab187051 at 1/30 dilution. Western blot was performed from the immunoprecipitate using ab187051 at 1/1,000 dilution. VeriBlot for IP Detection Reagent (HRP) (ab131366), was used for detection at 1/10,000 dilution.

Lane 1 : Mouse serum 10 μg (Input).
Lane 2 : ab187051 IP in mouse serum (+).
Lane 3 : : Rabbit monoclonal IgG (ab172730) instead of ab187051 in mouse serum (-).

Blocking and dilution buffer and concentration : 5% NFDM/TBST.
Exposure time : 1 second.

All lanes:

Immunoprecipitation - Anti-AHSG antibody [EPR17839-163] (ab187051)

Predicted band size: 39 kDa

true

Western blot - Anti-AHSG antibody [EPR17839-163] (AB187051)
  • WB

Supplier Data

Western blot - Anti-AHSG antibody [EPR17839-163] (AB187051)

Blocking and dilution buffer : 5% NFDM/TBST

All lanes:

Western blot - Anti-AHSG antibody [EPR17839-163] (ab187051) at 1/2000 dilution

All lanes:

Rat liver tissue lysate at 10 µg

Secondary

All lanes:

Western blot - Goat Anti-Rabbit IgG H&L (HRP) (<a href='/en-us/products/secondary-antibodies/goat-rabbit-igg-h-l-hrp-ab97051'>ab97051</a>) at 1/100000 dilution

Predicted band size: 39 kDa

Observed band size: 58 kDa

true

Exposure time: 1min

Western blot - Anti-AHSG antibody [EPR17839-163] (AB187051)
  • WB

Supplier Data

Western blot - Anti-AHSG antibody [EPR17839-163] (AB187051)

Blocking and dilution buffer : 5% NFDM/TBST

All lanes:

Western blot - Anti-AHSG antibody [EPR17839-163] (ab187051) at 1/2000 dilution

Lane 1:

Mouse serum at 20 µg

Lane 2:

Mouse plasma at 20 µg

Lane 3:

Rat serum at 20 µg

Lane 4:

Rat plasma at 20 µg

Secondary

All lanes:

Western blot - Goat Anti-Rabbit IgG H&L (HRP) (<a href='/en-us/products/secondary-antibodies/goat-rabbit-igg-h-l-hrp-ab97051'>ab97051</a>) at 1/100000 dilution

Predicted band size: 39 kDa

Observed band size: 58 kDa

true

Exposure time: 5s

  • Carrier free

    Anti-AHSG antibody [EPR17839-163] - BSA and Azide free

Key facts

Host species

Rabbit

Clonality

Monoclonal

Clone number

EPR17839-163

Isotype

IgG

Carrier free

No

Reacts with

Mouse, Rat

Applications

IHC-P, WB, IP

applications

Immunogen

The exact immunogen used to generate this antibody is proprietary information.

Reactivity data

{ "title": "Reactivity Data", "filters": { "stats": ["", "Species", "Dilution Info", "Notes"], "tabs": { "all-applications": {"fullname" : "All Applications", "shortname": "All Applications"}, "IP" : {"fullname" : "Immunoprecipitation", "shortname":"IP"}, "WB" : {"fullname" : "Western blot", "shortname":"WB"}, "IHCP" : {"fullname" : "Immunohistochemistry (Formalin/PFA-fixed paraffin-embedded sections)", "shortname":"IHC-P"} }, "product-promise": { "all": "all", "testedAndGuaranteed": "tested", "guaranteed": "expected", "predicted": "predicted", "notRecommended": "not-recommended" } }, "values": { "Mouse": { "IP-species-checked": "testedAndGuaranteed", "IP-species-dilution-info": "1/30", "IP-species-notes": "<p></p>", "WB-species-checked": "testedAndGuaranteed", "WB-species-dilution-info": "1/2000", "WB-species-notes": "<p></p>", "IHCP-species-checked": "testedAndGuaranteed", "IHCP-species-dilution-info": "1/2000", "IHCP-species-notes": "<p></p> Perform heat-mediated antigen retrieval with Tris/EDTA buffer pH 9.0 before commencing with IHC staining protocol." }, "Rat": { "IP-species-checked": "guaranteed", "IP-species-dilution-info": "", "IP-species-notes": "", "WB-species-checked": "testedAndGuaranteed", "WB-species-dilution-info": "1/2000", "WB-species-notes": "<p></p>", "IHCP-species-checked": "testedAndGuaranteed", "IHCP-species-dilution-info": "1/2000", "IHCP-species-notes": "<p></p> Perform heat-mediated antigen retrieval with Tris/EDTA buffer pH 9.0 before commencing with IHC staining protocol." } } }

Product details

Patented technology
Our RabMAb® technology is a patented hybridoma-based technology for making rabbit monoclonal antibodies. For details on our patents, please refer to RabMAb® patents.

What are the advantages of a recombinant monoclonal antibody?
This product is a recombinant monoclonal antibody, which offers several advantages including:

  • - High batch-to-batch consistency and reproducibility
  • - Improved sensitivity and specificity
  • - Long-term security of supply
  • - Animal-free batch production

For more information, read more on recombinant antibodies.

Properties and storage information

Form
Liquid
Purification technique
Affinity purification Protein A
Storage buffer
pH: 7.2 - 7.4 Preservative: 0.01% Sodium azide Constituents: PBS, 40% Glycerol (glycerin, glycerine), 0.05% BSA
Shipped at conditions
Blue Ice
Appropriate short-term storage duration
1-2 weeks
Appropriate short-term storage conditions
+4°C
Appropriate long-term storage conditions
-20°C
Aliquoting information
Upon delivery aliquot
Storage information
Avoid freeze / thaw cycle

Supplementary information

This supplementary information is collated from multiple sources and compiled automatically.

The target AHSG also known as fetuin-A or alpha-2-HS-glycoprotein is a multifunctional glycoprotein with an approximate mass of 64-68 kDa. It is mainly expressed in the liver and secreted into the bloodstream. AHSG exhibits a wide range of interactions with different cell types and biological molecules playing key roles in mineralization inhibition of arterial calcification and modulation of immune responses.
Biological function summary

AHSG protein serves multiple functions including acting as an inhibitor of insulin receptor autophosphorylation and serine-threonine kinase activities. AHSG is part of a complex dynamic process involving calcium metabolism and bone mineralization. It binds to transforming growth factor-beta (TGF-β) and other proteins modulating cellular signals and maintaining homeostasis in tissues. The regulation of calcium ion balance by AHSG can protect against ectopic calcification preventing potential damage.

Pathways

Calcium signaling and the insulin signaling pathways integrate AHSG functions. AHSG interacts with proteins like insulin receptor and those in the canonical Wnt signaling pathway influencing glucose metabolism and bone development. The balance of its interactions in these pathways helps maintain metabolic homeostasis and skeletal integrity reflecting its versatile roles within complex networks.

AHSG has connections to metabolic syndrome and calcific aortic valve disease. Abnormal levels of AHSG can disrupt metabolic functions and contribute to type 2 diabetes development by affecting insulin receptor activity. It also associates with calcification-related proteins in vascular tissues linking it to cardiovascular diseases. Understanding these connections is important for potential therapeutic targeting of AHSG in related pathologies.

Product protocols

For this product, it's our understanding that no specific protocols are required. You can visit:

Target data

Probably involved in differentiation.. (Microbial infection) Facilitates invasion of hepatocytes by Plasmodium berghei sporozoites.
See full target information Ahsg

Publications (6)

Recent publications for all applications. Explore the full list and refine your search

Journal of diabetes research 2025:2379872 PubMed41069927

2025

Transcriptomics and Proteomics Reveal That TLPW Acupuncture Ameliorates Proteinuria in Diabetic Kidney Disease Model Rats by Suppressing Epithelial-to-Mesenchymal Transition via the DPP4/SDF-1/TGF-/Smad Signalling Axis.

Applications

Unspecified application

Species

Unspecified reactive species

Yue Ji,Jiya Sun,Zihao Zhuang,Yunming Xiao,Shipian Li,Zhilong Zhang,Xu Wang,Xinju Li

Journal of thoracic disease 16:6024-6036 PubMed39444871

2024

Ethyl palmitate ameliorates lethal endotoxemia by inducing hepatic fetuin-A secretion: an and experiment.

Applications

Unspecified application

Species

Unspecified reactive species

Guannan Chen,Jieqiong Song,Yue Zhou,Yuanyuan Wu,Chenghang Yang,Yingqin Wang,Ming Zhong

Journal of neuroinflammation 19:269 PubMed36333786

2022

Fetuin-A alleviates neuroinflammation against traumatic brain injury-induced microglial necroptosis by regulating Nrf-2/HO-1 pathway.

Applications

Unspecified application

Species

Unspecified reactive species

Pengzhan Zhao,Yutian Wei,Guangchi Sun,Lei Xu,Tian Wang,Yufei Tian,Honglu Chao,Yiming Tu,Jing Ji

Frontiers in immunology 13:837991 PubMed35359973

2022

A Metabolism-Related Gene Landscape Predicts Prostate Cancer Recurrence and Treatment Response.

Applications

Unspecified application

Species

Unspecified reactive species

Lijie Zhou,Ruixin Fan,Yongbo Luo,Cai Zhang,Donghui Jia,Rongli Wang,Youmiao Zeng,Mengda Ren,Kaixuan Du,Wenbang Pan,Jinjian Yang,Fengyan Tian,Chaohui Gu

Oxidative medicine and cellular longevity 2021:8899274 PubMed34007409

2021

Proteomic Analysis Revealed the Characteristics of Key Proteins Involved in the Regulation of Inflammatory Response, Leukocyte Transendothelial Migration, Phagocytosis, and Immune Process during Early Lung Blast Injury.

Applications

Unspecified application

Species

Unspecified reactive species

Yunen Liu,Changci Tong,Peifang Cong,Ying Liu,Xiuyun Shi,Lin Shi,Shun Mao,Yan Zhao,Hongxu Jin,Mingxiao Hou

Biochemical pharmacology 166:46-55 PubMed31077645

2019

Hepatic upregulation of fetuin-A mediates acetaminophen-induced liver injury through activation of TLR4 in mice.

Applications

Unspecified application

Species

Unspecified reactive species

Kang-Yo Lee,Wonseok Lee,Seung-Hwan Jung,Jungmin Park,Hyungtai Sim,You-Jin Choi,Young-Jun Park,Yeonseok Chung,Byung-Hoon Lee
View all publications

Product promise

We are committed to supporting your work with high-quality reagents, and we're here for you every step of the way. In the unlikely event that one of our products does not perform as expected, you're protected by our Product Promise.
For full details, please see our Terms & Conditions

Please note: All products are 'FOR RESEARCH USE ONLY. NOT FOR USE IN DIAGNOSTIC OR THERAPEUTIC PROCEDURES'.

For licensing inquiries, please contact partnerships@abcam.com