JavaScript is disabled in your browser. Please enable JavaScript to view this website.
AB226243

Anti-AHSG antibody [EPR17839-163] - BSA and Azide free

Be the first to review this product! Submit a review

|

(1 Publication)

Rabbit Recombinant Monoclonal FETUA antibody. Carrier free. Suitable for IP, WB, IHC-P and reacts with Mouse, Rat samples. Cited in 1 publication.

View Alternative Names

Fetua, Ahsg, Alpha-2-HS-glycoprotein, Countertrypin, Fetuin-A

3 Images
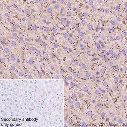
Immunohistochemistry (Formalin/PFA-fixed paraffin-embedded sections) - Anti-AHSG antibody [EPR17839-163] - BSA and Azide free (AB226243)
  • IHC-P

Supplier Data

Immunohistochemistry (Formalin/PFA-fixed paraffin-embedded sections) - Anti-AHSG antibody [EPR17839-163] - BSA and Azide free (AB226243)

Immunohistochemical analysis of paraffin-embedded rat liver tissue labeling AHSG with ab187051 at 1/2000 dilution, followed by Goat Anti-Rabbit IgG H&L (HRP) Ready to use. Cytoplasmic staining on rat liver (PMID : 24604240; PMID : 12943536; PMID : 22170794) is observed. Counter stained with hematoxylin.

Secondary antibody only control : Used PBS instead of primary antibody, secondary antibody is Goat Anti-Rabbit IgG H&L (HRP) Ready to use.

Perform heat mediated antigen retrieval using ab93684 (Tris/EDTA buffer, pH 9.0).

This data was developed using the same antibody clone in a different buffer formulation containing PBS, BSA, glycerol, and sodium azide (ab187051).

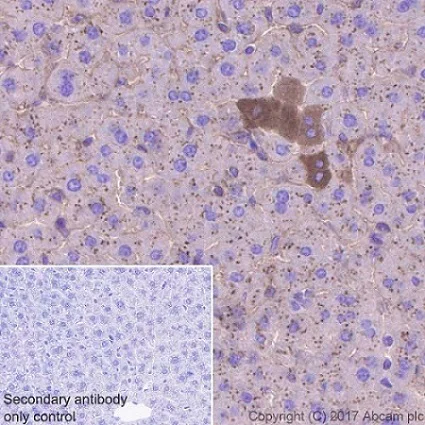
Immunohistochemistry (Formalin/PFA-fixed paraffin-embedded sections) - Anti-AHSG antibody [EPR17839-163] - BSA and Azide free (AB226243)
  • IHC-P

Supplier Data

Immunohistochemistry (Formalin/PFA-fixed paraffin-embedded sections) - Anti-AHSG antibody [EPR17839-163] - BSA and Azide free (AB226243)

Immunohistochemical analysis of paraffin-embedded mouse liver tissue labeling AHSG with ab187051 at 1/2,000 dilution, followed by Goat Anti-Rabbit IgG H&L (HRP) Ready to use. Cytoplasmic staining on mouse liver (PMID : 24604240; PMID : 12943536; PMID : 22170794) is observed. Counter stained with hematoxylin.

Secondary antibody only control : Used PBS instead of primary antibody, secondary antibody is Goat Anti-Rabbit IgG H&L (HRP) Ready to use.

Perform heat mediated antigen retrieval using ab93684 (Tris/EDTA buffer, pH 9.0).

This data was developed using the same antibody clone in a different buffer formulation containing PBS, BSA, glycerol, and sodium azide (ab187051).

Immunoprecipitation - Anti-AHSG antibody [EPR17839-163] - BSA and Azide free (AB226243)
  • IP

Supplier Data

Immunoprecipitation - Anti-AHSG antibody [EPR17839-163] - BSA and Azide free (AB226243)

AHSG was immunoprecipitated from 0.35 mg of mouse serum with ab187051 at 1/30 dilution. Western blot was performed from the immunoprecipitate using ab187051 at 1/1,000 dilution. VeriBlot for IP Detection Reagent (HRP) (ab131366), was used for detection at 1/10,000 dilution.

Lane 1 : Mouse serum 10 μg (Input).
Lane 2 : ab187051 IP in mouse serum (+).
Lane 3 : : Rabbit monoclonal IgG (ab172730) instead of ab187051 in mouse serum (-).

Blocking and dilution buffer and concentration : 5% NFDM/TBST.
Exposure time : 1 second.

This data was developed using the same antibody clone in a different buffer formulation containing PBS, BSA, glycerol, and sodium azide (ab187051).

All lanes:

Immunoprecipitation - Anti-AHSG antibody [EPR17839-163] (<a href='/en-us/products/primary-antibodies/ahsg-antibody-epr17839-163-ab187051'>ab187051</a>)

Predicted band size: 39 kDa

true

Key facts

Host species

Rabbit

Clonality

Monoclonal

Clone number

EPR17839-163

Isotype

IgG

Carrier free

Yes

Reacts with

Mouse, Rat

Applications

WB, IHC-P, IP

applications

Immunogen

The exact immunogen used to generate this antibody is proprietary information.

Reactivity data

{ "title": "Reactivity Data", "filters": { "stats": ["", "Species", "Dilution Info", "Notes"], "tabs": { "all-applications": {"fullname" : "All Applications", "shortname": "All Applications"}, "IP" : {"fullname" : "Immunoprecipitation", "shortname":"IP"}, "WB" : {"fullname" : "Western blot", "shortname":"WB"}, "IHCP" : {"fullname" : "Immunohistochemistry (Formalin/PFA-fixed paraffin-embedded sections)", "shortname":"IHC-P"} }, "product-promise": { "all": "all", "testedAndGuaranteed": "tested", "guaranteed": "expected", "predicted": "predicted", "notRecommended": "not-recommended" } }, "values": { "Mouse": { "IP-species-checked": "testedAndGuaranteed", "IP-species-dilution-info": "", "IP-species-notes": "<p></p>", "WB-species-checked": "guaranteed", "WB-species-dilution-info": "", "WB-species-notes": "<p></p>", "IHCP-species-checked": "testedAndGuaranteed", "IHCP-species-dilution-info": "", "IHCP-species-notes": "<p></p>" }, "Rat": { "IP-species-checked": "predicted", "IP-species-dilution-info": "", "IP-species-notes": "", "WB-species-checked": "guaranteed", "WB-species-dilution-info": "", "WB-species-notes": "<p></p>", "IHCP-species-checked": "predicted", "IHCP-species-dilution-info": "", "IHCP-species-notes": "" } } }

Product details

ab226243 is the carrier-free version of ab187051.

Patented technology
Our RabMAb® technology is a patented hybridoma-based technology for making rabbit monoclonal antibodies. For details on our patents, please refer to RabMAb® patents.

What are the advantages of a recombinant monoclonal antibody?
This product is a recombinant monoclonal antibody, which offers several advantages including:

  • - High batch-to-batch consistency and reproducibility
  • - Improved sensitivity and specificity
  • - Long-term security of supply
  • - Animal-free batch production

For more information, read more on recombinant antibodies.

Conjugation ready
Our carrier-free antibodies are typically supplied in a PBS-only formulation, purified and free of BSA, sodium azide and glycerol. This conjugation-ready format is designed for use with fluorochromes, metal isotopes, oligonucleotides, and enzymes, which makes them ideal for antibody labelling, functional and cell-based assays, flow-based assays (e.g. mass cytometry) and Multiplex Imaging applications.

Use our conjugation kits for antibody conjugates that are ready-to-use in as little as 20 minutes with 1 minute hands-on-time and 100% antibody recovery: available for fluorescent dyes, HRP, biotin and gold.

Compatibility
This product is compatible with the Maxpar® Antibody Labeling Kit from Fluidigm, without the need for antibody preparation. Maxpar® is a trademark of Fluidigm Canada Inc.

Properties and storage information

Form
Liquid
Purification technique
Affinity purification Protein A
Storage buffer
pH: 7.2 - 7.4 Constituents: PBS
Shipped at conditions
Blue Ice
Appropriate short-term storage conditions
+4°C
Appropriate long-term storage conditions
+4°C
Storage information
Do Not Freeze

Supplementary information

This supplementary information is collated from multiple sources and compiled automatically.

The target AHSG also known as fetuin-A or alpha-2-HS-glycoprotein is a multifunctional glycoprotein with an approximate mass of 64-68 kDa. It is mainly expressed in the liver and secreted into the bloodstream. AHSG exhibits a wide range of interactions with different cell types and biological molecules playing key roles in mineralization inhibition of arterial calcification and modulation of immune responses.
Biological function summary

AHSG protein serves multiple functions including acting as an inhibitor of insulin receptor autophosphorylation and serine-threonine kinase activities. AHSG is part of a complex dynamic process involving calcium metabolism and bone mineralization. It binds to transforming growth factor-beta (TGF-β) and other proteins modulating cellular signals and maintaining homeostasis in tissues. The regulation of calcium ion balance by AHSG can protect against ectopic calcification preventing potential damage.

Pathways

Calcium signaling and the insulin signaling pathways integrate AHSG functions. AHSG interacts with proteins like insulin receptor and those in the canonical Wnt signaling pathway influencing glucose metabolism and bone development. The balance of its interactions in these pathways helps maintain metabolic homeostasis and skeletal integrity reflecting its versatile roles within complex networks.

AHSG has connections to metabolic syndrome and calcific aortic valve disease. Abnormal levels of AHSG can disrupt metabolic functions and contribute to type 2 diabetes development by affecting insulin receptor activity. It also associates with calcification-related proteins in vascular tissues linking it to cardiovascular diseases. Understanding these connections is important for potential therapeutic targeting of AHSG in related pathologies.

Product protocols

For this product, it's our understanding that no specific protocols are required. You can visit:

Target data

Probably involved in differentiation.. (Microbial infection) Facilitates invasion of hepatocytes by Plasmodium berghei sporozoites.
See full target information Ahsg

Publications (1)

Recent publications for all applications. Explore the full list and refine your search

iScience 26:108011 PubMed37841592

2023

A Haspin-ARHGAP11A axis regulates epithelial morphogenesis through Rho-ROCK dependent modulation of LIMK1-Cofilin.

Applications

Unspecified application

Species

Unspecified reactive species

Roberto Quadri,Giuseppe Rotondo,Sarah Sertic,Sara Pozzi,Maria Chiara dell'Oca,Luisa Guerrini,Marco Muzi-Falconi
View all publications

Product promise

We are committed to supporting your work with high-quality reagents, and we're here for you every step of the way. In the unlikely event that one of our products does not perform as expected, you're protected by our Product Promise.
For full details, please see our Terms & Conditions

Please note: All products are 'FOR RESEARCH USE ONLY. NOT FOR USE IN DIAGNOSTIC OR THERAPEUTIC PROCEDURES'.

For licensing inquiries, please contact partnerships@abcam.com