JavaScript is disabled in your browser. Please enable JavaScript to view this website.
AB269457

Anti-AICDA antibody [EPR23436-45] - ChIP Grade - BSA and Azide free

  • BOND RX™ Validated
  • KO Validated
  • RabMAb
  • Recombinant
  • What is this?

5

(1 Review)

|

(0 Publication)

Knockout Tested Rabbit Recombinant Monoclonal AICDA antibody. Carrier free. Suitable for IP, ChIP, WB, ICC/IF, Flow Cyt (Intra), IHC-P and reacts with Human samples.

View Alternative Names

AID, AICDA, Single-stranded DNA cytosine deaminase, Activation-induced cytidine deaminase, Cytidine aminohydrolase

9 Images
Flow Cytometry (Intracellular) - Anti-AICDA antibody [EPR23436-45] - ChIP Grade - BSA and Azide free (AB269457)
  • Flow Cyt (Intra)

Unknown

Flow Cytometry (Intracellular) - Anti-AICDA antibody [EPR23436-45] - ChIP Grade - BSA and Azide free (AB269457)

Intracellular flow cytometric analysis of 4% paraformaldehyde fixed, 90% methanol permeabilized K-562 (human chronic myelogenous leukemia lymphoblast, Left) / NAMALWA (human Burkitt's lymphoma B lymphocyte, Right) cells labelling AICDA with ab269454 at 1/500 dilution (Red) compared with a Rabbit monoclonal IgG (ab172730) (Blac) isotype control and an unlabelled control (cells without incubation with primary antibody and secondary antibody) (Blue). A Goat anti rabbit IgG (Alexa Fluor®488, ab150077) at 1/2000 dilution was used as the secondary antibody.

Negative control : K-562 cell line (PMID : 27217538).

This data was developed using the same antibody clone in a different buffer formulation containing PBS, BSA, glycerol, and sodium azide (ab269454).

Flow Cytometry (Intracellular) - Anti-AICDA antibody [EPR23436-45] - ChIP Grade - BSA and Azide free (AB269457)
  • Flow Cyt (Intra)

Unknown

Flow Cytometry (Intracellular) - Anti-AICDA antibody [EPR23436-45] - ChIP Grade - BSA and Azide free (AB269457)

Intracellular flow cytometric analysis of 4% paraformaldehyde fixed, 90% methanol permeabilized Ramos (human Burkitt's lymphoma B lymphocyte) cells labelling AICDA with ab269454 at 1/500 dilution (Red) compared with a Rabbit monoclonal IgG (ab172730) (Black) isotype control and an unlabelled control (cells without incubation with primary antibody and secondary antibody) (Blue). A Goat anti rabbit IgG (Alexa Fluor®488, ab150077) at 1/2000 dilution was used as the secondary antibody.

This data was developed using the same antibody clone in a different buffer formulation containing PBS, BSA, glycerol, and sodium azide (ab269454).

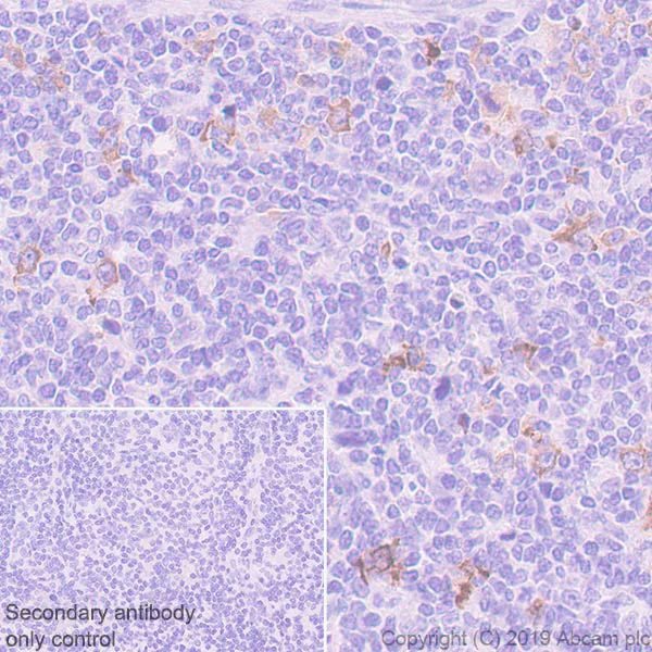
Immunohistochemistry (Formalin/PFA-fixed paraffin-embedded sections) - Anti-AICDA antibody [EPR23436-45] - ChIP Grade - BSA and Azide free (AB269457)
  • IHC-P

Unknown

Immunohistochemistry (Formalin/PFA-fixed paraffin-embedded sections) - Anti-AICDA antibody [EPR23436-45] - ChIP Grade - BSA and Azide free (AB269457)

Immunohistochemical analysis of paraffin-embedded Human tonsil tissue labeling AICDA with ab269454 at 1/4000 dilution (0.12ug/ml) followed by a ready to use Rabbit specific IHC polymer detection kit HRP/DAB (ab209101). Mainly cytoplasmic staining (weak nuclear staining) in germinal center cells of human tonsil (PMID : 23877718, 15732141, PMID : 29251015).

The section was incubated with ab255611 for 30 mins at room temperature. The immunostaining was performed on a Leica Biosystems BOND® RX instrument. Counterstained with Hematoxylin.

Secondary antibody only control : Secondary antibody is a ready to use Rabbit specific IHC polymer detection kit HRP/DAB (ab209101).

Heat mediated antigen retrieval with Tris-EDTA buffer (pH 9.0, epitope retrieval solution 2) for 20 mins.

This data was developed using the same antibody clone in a different buffer formulation containing PBS, BSA, glycerol, and sodium azide (ab269454).

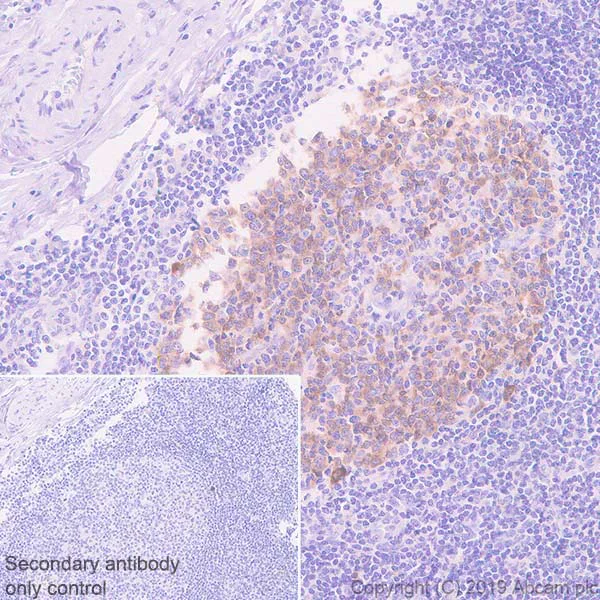
Immunohistochemistry (Formalin/PFA-fixed paraffin-embedded sections) - Anti-AICDA antibody [EPR23436-45] - ChIP Grade - BSA and Azide free (AB269457)
  • IHC-P

Unknown

Immunohistochemistry (Formalin/PFA-fixed paraffin-embedded sections) - Anti-AICDA antibody [EPR23436-45] - ChIP Grade - BSA and Azide free (AB269457)

Immunohistochemical analysis of paraffin-embedded Human Hodgkin lymphoma tissue labeling AICDA with ab269454 at 1/4000 dilution (0.12ug/ml) followed by a ready to use Rabbit specific IHC polymer detection kit HRP/DAB (ab209101). Mainly cytoplasmic staining (weak nuclear staining) in part of tumor cells of human Hodgkin lymphoma (PMID : 15732141).

The section was incubated with ab255611 for 30 mins at room temperature. The immunostaining was performed on a Leica Biosystems BOND® RX instrument. Counterstained with Hematoxylin.

Secondary antibody only control : Secondary antibody is a ready to use Rabbit specific IHC polymer detection kit HRP/DAB (ab209101).

Heat mediated antigen retrieval with Tris-EDTA buffer (pH 9.0, epitope retrieval solution 2) for 20 mins.

This data was developed using the same antibody clone in a different buffer formulation containing PBS, BSA, glycerol, and sodium azide (ab269454).

Immunohistochemistry (Formalin/PFA-fixed paraffin-embedded sections) - Anti-AICDA antibody [EPR23436-45] - ChIP Grade - BSA and Azide free (AB269457)
  • IHC-P

Unknown

Immunohistochemistry (Formalin/PFA-fixed paraffin-embedded sections) - Anti-AICDA antibody [EPR23436-45] - ChIP Grade - BSA and Azide free (AB269457)

Immunohistochemical analysis of paraffin-embedded Human diffuse large B-cell lymphoma tissue labeling AICDA with ab269454 at 1/4000 dilution (0.12ug/ml) followed by a ready to use Rabbit specific IHC polymer detection kit HRP/DAB (ab209101). Mainly cytoplasmic staining (weak nuclear staining) in part of tumor cells of human diffuse large B-cell lymphoma (PMID : 29251015).

The section was incubated with ab255611 for 30 mins at room temperature. The immunostaining was performed on a Leica Biosystems BOND® RX instrument. Counterstained with Hematoxylin.

Secondary antibody only control : Secondary antibody is a ready to use Rabbit specific IHC polymer detection kit HRP/DAB (ab209101).

Heat mediated antigen retrieval with Tris-EDTA buffer (pH 9.0, epitope retrieval solution 2) for 20 mins.

This data was developed using the same antibody clone in a different buffer formulation containing PBS, BSA, glycerol, and sodium azide (ab269454).

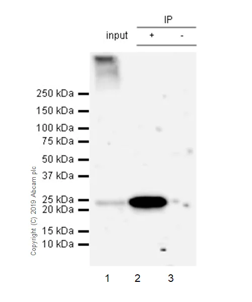
Immunoprecipitation - Anti-AICDA antibody [EPR23436-45] - ChIP Grade - BSA and Azide free (AB269457)
  • IP

Unknown

Immunoprecipitation - Anti-AICDA antibody [EPR23436-45] - ChIP Grade - BSA and Azide free (AB269457)

AICDA was immunoprecipitated from 0.35 mg NAMALWA (human Burkitt's lymphoma B lymphocyte) whole cell lysate with ab269454 at 1/30 dilution (2ug in 0.35mg lysates). Western blot was performed on the immunoprecipitate using ab269454 at 1/1000 dilution. VeriBlot for IP Detection Reagent (HRP) (ab131366) was used at 1/5000 dilution.

Lane 1 : NAMALWA whole cell lysate 10ug.

Lane 2 : ab269454 IP in NAMALWA whole cell lysate.

Lane 3 : Rabbit monoclonal IgG (ab172730) instead of ab269454 in NAMALWA whole cell lysate.

Blocking and dilution buffer and concentration : 5% NFDM/TBST.

Exposure time : 90 seconds.

This data was developed using the same antibody clone in a different buffer formulation containing PBS, BSA, glycerol, and sodium azide (ab269454).

All lanes:

Immunoprecipitation - Anti-AICDA antibody [EPR23436-45] - ChIP Grade (<a href='/en-us/products/primary-antibodies/aicda-antibody-epr23436-45-chip-grade-ab269454'>ab269454</a>)

Predicted band size: 23 kDa

Observed band size: 24 kDa

false

ChIP - Anti-AICDA antibody [EPR23436-45] - ChIP Grade - BSA and Azide free (AB269457)
  • ChIP

Unknown

ChIP - Anti-AICDA antibody [EPR23436-45] - ChIP Grade - BSA and Azide free (AB269457)

Chromatin was prepared from Ramos cells according to the Abcam Dual-X-ChIP protocol. Cells were fixed with 1.5 mM EGS for 30mins and then formaldehyde for 10min.

The ChIP was performed with 25 μg of chromatin, 5 μg of ab269454 (red), or 5 μg of rabbit normal IgG ab172730 (gray) and 20 μl of Protein A/G sepharose beads. The immunoprecipitated DNA was quantified by real time PCR (Taqman approach for active and inactive loci, Sybr green approach for heterochromatic loci).

Primers and probes are commercial primers from paper : PMC2905439

This data was developed using the same antibody clone in a different buffer formulation containing PBS, BSA, glycerol, and sodium azide (ab269454).

Immunoprecipitation - Anti-AICDA antibody [EPR23436-45] - ChIP Grade - BSA and Azide free (AB269457)
  • IP

Unknown

Immunoprecipitation - Anti-AICDA antibody [EPR23436-45] - ChIP Grade - BSA and Azide free (AB269457)

AICDA was immunoprecipitated from 0.35 mg Ramos (human Burkitt's lymphoma B lymphocyte) whole cell lysate with ab269454 at 1/30 dilution (2ug in 0.35mg lysates). Western blot was performed on the immunoprecipitate using ab269454 at 1/1000 dilution. VeriBlot for IP Detection Reagent (HRP) (ab131366) was used at 1/5000 dilution.

Lane 1 : Ramos whole cell lysate 10ug.

Lane 2 : ab269454 IP in Ramos whole cell lysate.

Lane 3 : Rabbit monoclonal IgG (ab172730) instead of ab269454 in Ramos whole cell lysate.

Blocking and dilution buffer and concentration : 5% NFDM/TBST.

Exposure time : 90 seconds.

This data was developed using the same antibody clone in a different buffer formulation containing PBS, BSA, glycerol, and sodium azide (ab269454).

All lanes:

Immunoprecipitation - Anti-AICDA antibody [EPR23436-45] - ChIP Grade (<a href='/en-us/products/primary-antibodies/aicda-antibody-epr23436-45-chip-grade-ab269454'>ab269454</a>)

Predicted band size: 23 kDa

Observed band size: 24 kDa

false

Western blot - Anti-AICDA antibody [EPR23436-45] - ChIP Grade - BSA and Azide free (AB269457)
  • WB

Lab

Western blot - Anti-AICDA antibody [EPR23436-45] - ChIP Grade - BSA and Azide free (AB269457)

This data was developed using the same antibody clone in a different buffer formulation containing PBS, BSA, glycerol, and sodium azide (ab269454). False colour image of Western blot : Anti-AICDA antibody [EPR23436-45] - ChIP Grade staining at 1/1000 dilution, shown in green; Mouse anti-GAPDH antibody [6C5] (ab8245) loading control staining at 1/20000 dilution, shown in red. In Western blot, ab269454 was shown to bind specifically to AICDA. A band was observed at 22 kDa in wild-type Raji cell lysates with no signal observed at this size in AICDA knockout cell line ab277185 (knockout cell lysate ab277227). To generate this image, wild-type and AICDA knockout Raji cell lysates were analysed. First, samples were run on an SDS-PAGE gel then transferred onto a nitrocellulose membrane. Membranes were blocked in 3 % milk in TBS-0.1 % Tween® 20 (TBS-T) before incubation with primary antibodies overnight at 4 °C. Blots were washed four times in TBS-T, incubated with secondary antibodies for 1 h at room temperature, washed again four times then imaged. Secondary antibodies used were Goat anti-Rabbit IgG H&L 800CW and Goat anti-Mouse IgG H&L 680RD at 1/20000 dilution.

All lanes:

Western blot - Anti-AICDA antibody [EPR23436-45] - ChIP Grade (<a href='/en-us/products/primary-antibodies/aicda-antibody-epr23436-45-chip-grade-ab269454'>ab269454</a>) at 1/1000 dilution

Lane 1:

Wild-type Raji cell lysate at 20 µg

Lane 2:

AICDA knockout Raji cell lysate at 20 µg

Lane 3:

Daudi cell lysate at 20 µg

Lane 4:

SH-SY5Y cell lysate at 20 µg

Predicted band size: 23 kDa

Observed band size: 22 kDa

false

  • Unconjugated

    Anti-AICDA antibody [EPR23436-45] - ChIP Grade

  • 775 Alexa Fluor® 750

    Alexa Fluor® 750 Anti-AICDA antibody [EPR23436-45] - ChIP Grade

  • 578 PE

    PE Anti-AICDA antibody [EPR23436-45] (ChIP Grade)

  • 660 APC

    APC Anti-AICDA antibody [EPR23436-45] (ChIP Grade)

  • HRP

    HRP Anti-AICDA antibody [EPR23436-45] (ChIP Grade)

  • 519 Alexa Fluor® 488

    Alexa Fluor® 488 Anti-AICDA antibody [EPR23436-45] - ChIP Grade

  • 665 Alexa Fluor® 647

    Alexa Fluor® 647 Anti-AICDA antibody [EPR23436-45] - ChIP Grade

  • 617 Alexa Fluor® 594

    Alexa Fluor® 594 Anti-AICDA antibody [EPR23436-45] - ChIP Grade

  • 565 Alexa Fluor® 555

    Alexa Fluor® 555 Anti-AICDA antibody [EPR23436-45] - ChIP Grade

  • 603 Alexa Fluor® 568

    Alexa Fluor® 568 Anti-AICDA antibody [EPR23436-45] - ChIP Grade

Key facts

Host species

Rabbit

Clonality

Monoclonal

Clone number

EPR23436-45

Isotype

IgG

Carrier free

Yes

Reacts with

Human

Applications

ICC/IF, IHC-P, Flow Cyt (Intra), ChIP, IP, WB

applications

Immunogen

The exact immunogen used to generate this antibody is proprietary information.

Reactivity data

{ "title": "Reactivity Data", "filters": { "stats": ["", "Species", "Dilution Info", "Notes"], "tabs": { "all-applications": {"fullname" : "All Applications", "shortname": "All Applications"}, "IP" : {"fullname" : "Immunoprecipitation", "shortname":"IP"}, "ChIP" : {"fullname" : "ChIP", "shortname":"ChIP"}, "WB" : {"fullname" : "Western blot", "shortname":"WB"}, "ICCIF" : {"fullname" : "Immunocytochemistry/ Immunofluorescence", "shortname":"ICC/IF"}, "FlowCytIntra" : {"fullname" : "Flow Cytometry (Intracellular)", "shortname":"Flow Cyt (Intra)"}, "IHCP" : {"fullname" : "Immunohistochemistry (Formalin/PFA-fixed paraffin-embedded sections)", "shortname":"IHC-P"} }, "product-promise": { "all": "all", "testedAndGuaranteed": "tested", "guaranteed": "expected", "predicted": "predicted", "notRecommended": "not-recommended" } }, "values": { "Human": { "IP-species-checked": "testedAndGuaranteed", "IP-species-dilution-info": "", "IP-species-notes": "<p></p>", "ChIP-species-checked": "testedAndGuaranteed", "ChIP-species-dilution-info": "", "ChIP-species-notes": "<p></p>", "WB-species-checked": "testedAndGuaranteed", "WB-species-dilution-info": "", "WB-species-notes": "<p></p>", "ICCIF-species-checked": "testedAndGuaranteed", "ICCIF-species-dilution-info": "", "ICCIF-species-notes": "<p></p>", "FlowCytIntra-species-checked": "testedAndGuaranteed", "FlowCytIntra-species-dilution-info": "", "FlowCytIntra-species-notes": "<p></p>", "IHCP-species-checked": "testedAndGuaranteed", "IHCP-species-dilution-info": "", "IHCP-species-notes": "<p></p>" } } }

Product details

ab269457 is the carrier-free version of ab269454.

Patented technology
Our RabMAb® technology is a patented hybridoma-based technology for making rabbit monoclonal antibodies. For details on our patents, please refer to RabMAb® patents.

What are the advantages of a recombinant monoclonal antibody?
This product is a recombinant monoclonal antibody, which offers several advantages including:

  • - High batch-to-batch consistency and reproducibility
  • - Improved sensitivity and specificity
  • - Long-term security of supply
  • - Animal-free batch production

For more information, read more on recombinant antibodies.

Conjugation ready
Our carrier-free antibodies are typically supplied in a PBS-only formulation, purified and free of BSA, sodium azide and glycerol. This conjugation-ready format is designed for use with fluorochromes, metal isotopes, oligonucleotides, and enzymes, which makes them ideal for antibody labelling, functional and cell-based assays, flow-based assays (e.g. mass cytometry) and Multiplex Imaging applications.

Use our conjugation kits for antibody conjugates that are ready-to-use in as little as 20 minutes with 1 minute hands-on-time and 100% antibody recovery: available for fluorescent dyes, HRP, biotin and gold.

Compatibility
This product is compatible with the Maxpar® Antibody Labeling Kit from Fluidigm, without the need for antibody preparation. Maxpar® is a trademark of Fluidigm Canada Inc.

Properties and storage information

Form
Liquid
Purification technique
Affinity purification Protein A
Storage buffer
pH: 7.2 - 7.4 Constituents: PBS
Shipped at conditions
Blue Ice
Appropriate short-term storage conditions
+4°C
Appropriate long-term storage conditions
+4°C
Storage information
Do Not Freeze

Supplementary information

This supplementary information is collated from multiple sources and compiled automatically.

AICDA also known as activation-induced cytidine deaminase is an enzyme with a molecular mass of approximately 25 kDa. It is expressed in germinal center B cells within the lymphoid tissues particularly in the spleen and lymph nodes. AICDA catalyzes the deamination of cytidine to uridine in single-stranded DNA an essential step in the processes of somatic hypermutation and class switch recombination. These mechanisms are important for antibody diversity and specificity in the adaptive immune response.
Biological function summary

AICDA plays an important role in the adaptive immune system by facilitating the diversification of antibodies. It does not appear to function as part of a larger protein complex but operates independently to induce mutations in variable regions of immunoglobulin genes. This activity enables B cells to produce antibodies with higher affinity and different isotypes important for an effective immune defense system. AICDA’s function ensures the generation of diverse antibody repertoires allowing the immune system to effectively target a wide range of pathogens.

Pathways

AICDA is integral to the immunoglobulin gene diversification pathway. It initiates somatic hypermutation and class switch recombination by deaminating cytosine residues in the DNA of immunoglobulin genes. This action relates AICDA to other proteins involved in DNA repair and error-prone replication such as uracil-DNA glycosylase (UNG) and the mismatch repair proteins like MSH2 and MSH6. AICDA's deamination activity triggers the recruitment of these proteins to introduce mutations and remove uracil residues facilitating the generation of antibody diversity.

Aberrant AICDA activity associates with lymphomas and autoimmune conditions. For example dysregulation of AICDA could contribute to oncogenic mutations leading to non-Hodgkin's lymphoma. Additionally incorrect or unscheduled activation of AICDA might result in the production of autoantibodies implicated in autoimmune disorders like systemic lupus erythematosus (SLE). AICDA’s interaction with DNA repair proteins during misguided activation may lead to genomic instability linking it to both tumorigenesis and autoimmunity.

Product protocols

For this product, it's our understanding that no specific protocols are required. You can visit:

Target data

Single-stranded DNA-specific cytidine deaminase. Involved in somatic hypermutation (SHM), gene conversion, and class-switch recombination (CSR) in B-lymphocytes by deaminating C to U during transcription of Ig-variable (V) and Ig-switch (S) region DNA. Required for several crucial steps of B-cell terminal differentiation necessary for efficient antibody responses (PubMed : 18722174, PubMed : 21385873, PubMed : 21518874, PubMed : 27716525). May also play a role in the epigenetic regulation of gene expression by participating in DNA demethylation (PubMed : 21496894).
See full target information AICDA

Product promise

We are committed to supporting your work with high-quality reagents, and we're here for you every step of the way. In the unlikely event that one of our products does not perform as expected, you're protected by our Product Promise.
For full details, please see our Terms & Conditions

Please note: All products are 'FOR RESEARCH USE ONLY. NOT FOR USE IN DIAGNOSTIC OR THERAPEUTIC PROCEDURES'.

For licensing inquiries, please contact partnerships@abcam.com