JavaScript is disabled in your browser. Please enable JavaScript to view this website.
AB169522

Anti-AICDA antibody [mAID-2]

5

(2 Reviews)

|

(2 Publications)

Rat Monoclonal AICDA antibody. Suitable for IHC-P and reacts with Human samples. Cited in 2 publications. Immunogen corresponding to Synthetic Peptide within Mouse Aicda conjugated to Keyhole Limpet Haemocyanin.

View Alternative Names

Aid, Single-stranded DNA cytosine deaminase, Activation-induced cytidine deaminase, Cytidine aminohydrolase, AID

1 Images
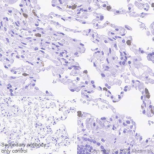
Immunohistochemistry (Formalin/PFA-fixed paraffin-embedded sections) - Anti-AICDA antibody [mAID-2] (AB169522)
  • IHC-P

Unknown

Immunohistochemistry (Formalin/PFA-fixed paraffin-embedded sections) - Anti-AICDA antibody [mAID-2] (AB169522)

Immunohistochemical analysis of formalin-fixed, paraffin-embedded Human tonsil tissue labeling N-methyl-D-aspartate receptor NR1 subunit with ab169522 at 20μg/ml, followed by Anti-Rat Biotin and DAB visualization. Nuclei are counterstained with hematoxylin.

Key facts

Host species

Rat

Clonality

Monoclonal

Clone number

mAID-2

Isotype

IgG2a

Light chain type

kappa

Carrier free

No

Reacts with

Human

Applications

IHC-P

applications

Immunogen

Synthetic Peptide within Mouse Aicda conjugated to Keyhole Limpet Haemocyanin. The exact immunogen used to generate this antibody is proprietary information.

Q9WVE0

Reactivity data

{ "title": "Reactivity Data", "filters": { "stats": ["", "Species", "Dilution Info", "Notes"], "tabs": { "all-applications": {"fullname" : "All Applications", "shortname": "All Applications"}, "IHCP" : {"fullname" : "Immunohistochemistry (Formalin/PFA-fixed paraffin-embedded sections)", "shortname":"IHC-P"} }, "product-promise": { "all": "all", "testedAndGuaranteed": "tested", "guaranteed": "expected", "predicted": "predicted", "notRecommended": "not-recommended" } }, "values": { "Human": { "IHCP-species-checked": "testedAndGuaranteed", "IHCP-species-dilution-info": "20 µg/mL", "IHCP-species-notes": "<p></p>" } } }

Properties and storage information

Form
Liquid
Purification technique
Affinity purification Protein G
Storage buffer
pH: 7.2 Preservative: 0.09% Sodium azide Constituents: PBS
Shipped at conditions
Blue Ice
Appropriate short-term storage duration
1-2 weeks
Appropriate short-term storage conditions
+4°C
Appropriate long-term storage conditions
-20°C
Aliquoting information
Upon delivery aliquot
Storage information
Avoid freeze / thaw cycle

Supplementary information

This supplementary information is collated from multiple sources and compiled automatically.

AICDA also known as activation-induced cytidine deaminase is an enzyme with a molecular mass of approximately 25 kDa. It is expressed in germinal center B cells within the lymphoid tissues particularly in the spleen and lymph nodes. AICDA catalyzes the deamination of cytidine to uridine in single-stranded DNA an essential step in the processes of somatic hypermutation and class switch recombination. These mechanisms are important for antibody diversity and specificity in the adaptive immune response.
Biological function summary

AICDA plays an important role in the adaptive immune system by facilitating the diversification of antibodies. It does not appear to function as part of a larger protein complex but operates independently to induce mutations in variable regions of immunoglobulin genes. This activity enables B cells to produce antibodies with higher affinity and different isotypes important for an effective immune defense system. AICDA’s function ensures the generation of diverse antibody repertoires allowing the immune system to effectively target a wide range of pathogens.

Pathways

AICDA is integral to the immunoglobulin gene diversification pathway. It initiates somatic hypermutation and class switch recombination by deaminating cytosine residues in the DNA of immunoglobulin genes. This action relates AICDA to other proteins involved in DNA repair and error-prone replication such as uracil-DNA glycosylase (UNG) and the mismatch repair proteins like MSH2 and MSH6. AICDA's deamination activity triggers the recruitment of these proteins to introduce mutations and remove uracil residues facilitating the generation of antibody diversity.

Aberrant AICDA activity associates with lymphomas and autoimmune conditions. For example dysregulation of AICDA could contribute to oncogenic mutations leading to non-Hodgkin's lymphoma. Additionally incorrect or unscheduled activation of AICDA might result in the production of autoantibodies implicated in autoimmune disorders like systemic lupus erythematosus (SLE). AICDA’s interaction with DNA repair proteins during misguided activation may lead to genomic instability linking it to both tumorigenesis and autoimmunity.

Product protocols

For this product, it's our understanding that no specific protocols are required. You can visit:

Target data

Single-stranded DNA-specific cytidine deaminase. Involved in somatic hypermutation (SHM), gene conversion, and class-switch recombination (CSR) in B-lymphocytes by deaminating C to U during transcription of Ig-variable (V) and Ig-switch (S) region DNA. Required for several crucial steps of B-cell terminal differentiation necessary for efficient antibody responses. May also play a role in the epigenetic regulation of gene expression by participating in DNA demethylation.
See full target information Aicda

Publications (2)

Recent publications for all applications. Explore the full list and refine your search

NPJ Parkinson's disease 9:21 PubMed36750568

2023

Alterations in the LRRK2-Rab pathway in urinary extracellular vesicles as Parkinson's disease and pharmacodynamic biomarkers.

Applications

Unspecified application

Species

Unspecified reactive species

Jean-Marc Taymans,Eugénie Mutez,William Sibran,Laurine Vandewynckel,Claire Deldycke,Séverine Bleuse,Antoine Marchand,Alessia Sarchione,Coline Leghay,Alexandre Kreisler,Clémence Simonin,James Koprich,Guillaume Baille,Luc Defebvre,Kathy Dujardin,Alain Destée,Marie-Christine Chartier-Harlin

JCI insight 1:e87234 PubMed27942581

2016

B cell repertoire expansion occurs in meningeal ectopic lymphoid tissue.

Applications

Unspecified application

Species

Unspecified reactive species

Klaus Lehmann-Horn,Sheng-Zhi Wang,Sharon A Sagan,Scott S Zamvil,H-Christian von Büdingen
View all publications

Product promise

We are committed to supporting your work with high-quality reagents, and we're here for you every step of the way. In the unlikely event that one of our products does not perform as expected, you're protected by our Product Promise.
For full details, please see our Terms & Conditions

Please note: All products are 'FOR RESEARCH USE ONLY. NOT FOR USE IN DIAGNOSTIC OR THERAPEUTIC PROCEDURES'.

For licensing inquiries, please contact partnerships@abcam.com