JavaScript is disabled in your browser. Please enable JavaScript to view this website.
AB221158

Anti-AICL antibody [EPR22061]

4

(1 Review)

|

(1 Publication)

Rabbit Recombinant Monoclonal AICL antibody. Suitable for IHC-P, IP, WB, ICC/IF and reacts with Human samples. Cited in 1 publication.

View Alternative Names

AICL, CLECSF2, IFNRG1, CLEC2B, C-type lectin domain family 2 member B, Activation-induced C-type lectin, C-type lectin superfamily member 2, IFN-alpha-2b-inducing-related protein 1

5 Images
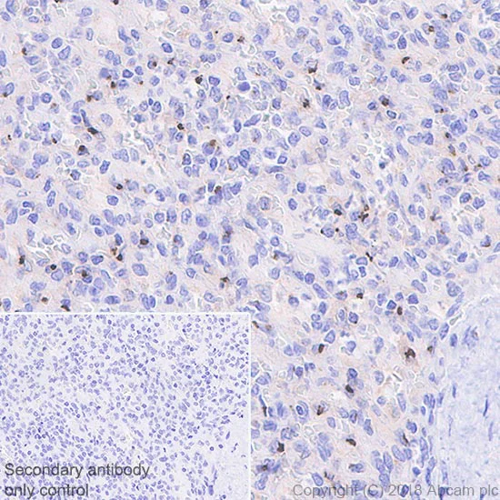
Immunohistochemistry (Formalin/PFA-fixed paraffin-embedded sections) - Anti-AICL antibody [EPR22061] (AB221158)
  • IHC-P

Supplier Data

Immunohistochemistry (Formalin/PFA-fixed paraffin-embedded sections) - Anti-AICL antibody [EPR22061] (AB221158)

Immunohistochemical analysis of paraffin-embedded human non-Hodgkin's lymphoma tissue labeling AICL with ab221158 at 1/2000 dilution, followed by Rabbit specific IHC polymer detection kit HRP/DAB (ab209101) Ready to use. Positive staining on human non-Hodgkin's lymphoma (PMID : 23929856). Counter stained with hematoxylin.

Secondary antibody only control : Used PBS instead of primary antibody, secondary antibody is Rabbit specific IHC polymer detection kit HRP/DAB (ab209101) Ready to use.

Heat mediated antigen retrieval was performed before commencing with IHC staining protocol.

Immunocytochemistry/ Immunofluorescence - Anti-AICL antibody [EPR22061] (AB221158)
  • ICC/IF

Supplier Data

Immunocytochemistry/ Immunofluorescence - Anti-AICL antibody [EPR22061] (AB221158)

Immunofluorescent analysis of 4% paraformaldehyde-fixed, 0.1% Triton X-100 permeabilized U937 (human histiocytic lymphoma cell line) and HeLa (human epithelial cell line from cervix adenocarcinoma) cells labeling AICL with ab221158 at 1/100 dilution followed by Goat Anti-Rabbit IgG H&L (Alexa Fluor® 488) (ab150077) secondary antibody at 1/1000 dilution (green).

Confocal image showing cytoplasmic and membranous staining in U937 cell line.

Negative control : HeLa (PMID : 23929856).

The nuclear counter stain is DAPI (blue). Tubulin is detected with Anti-alpha Tubulin antibody [DM1A] - Microtubule Marker (Alexa Fluor® 594) (ab195889) (red) at 1/200 dilution.

Secondary antibody only control : Used PBS instead of primary antibody, secondary antibody is Goat Anti-Rabbit IgG H&L (Alexa Fluor® 488) (ab150077) secondary antibody at 1/1000 dilution.

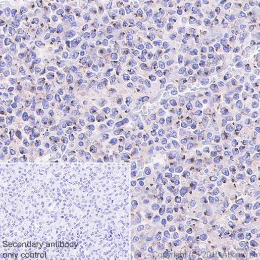
Immunohistochemistry (Formalin/PFA-fixed paraffin-embedded sections) - Anti-AICL antibody [EPR22061] (AB221158)
  • IHC-P

Supplier Data

Immunohistochemistry (Formalin/PFA-fixed paraffin-embedded sections) - Anti-AICL antibody [EPR22061] (AB221158)

Immunohistochemical analysis of paraffin-embedded human spleen tissue labeling AICL with ab221158 at 1/2000 dilution, followed by Rabbit specific IHC polymer detection kit HRP/DAB (ab209101) Ready to use. Positive staining on human spleen (PMID : 9038101; PMID : 23929856). Counter stained with hematoxylin.

Secondary antibody only control : Used PBS instead of primary antibody, secondary antibody is Rabbit specific IHC polymer detection kit HRP/DAB (ab209101) Ready to use.

Heat mediated antigen retrieval was performed before commencing with IHC staining protocol.

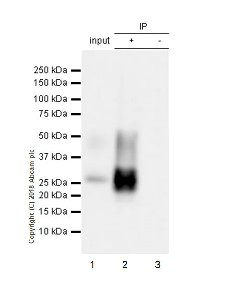
Immunoprecipitation - Anti-AICL antibody [EPR22061] (AB221158)
  • IP

Supplier Data

Immunoprecipitation - Anti-AICL antibody [EPR22061] (AB221158)

AICL was immunoprecipitated from 0.35 mg of U937 (human histiocytic lymphoma cell line) whole cell lysate with ab221158 at 1/30 dilution. Western blot was performed from the immunoprecipitate using ab221158 at 1/500 dilution. VeriBlot for IP Detection Reagent (HRP) (ab131366), was used for detection at 1/10000 dilution.

Lane 1 : U937 whole cell lysate 10 μg (Input).

Lane 2 : ab221158 IP in U937 whole cell lysate.

Lane 3 : Rabbit monoclonal IgG (ab172730) instead of ab221158 in U937 whole cell lysate.

Blocking and dilution buffer and concentration : 5% NFDM/TBST.

Exposure time : 3 seconds.

The expression profile observed is due to glycosylation as described in the literature (PMID : 23929856).

All lanes:

Immunoprecipitation - Anti-AICL antibody [EPR22061] (ab221158)

Predicted band size: 17 kDa

Observed band size: 26-28 kDa,45 kDa

false

Western blot - Anti-AICL antibody [EPR22061] (AB221158)
  • WB

Supplier Data

Western blot - Anti-AICL antibody [EPR22061] (AB221158)

Blocking/Dilution buffer : 5% NFDM/TBST.

The expression profile observed is due to glycosylation as described in the literature (PMID : 23929856).

Negative control : HeLa (PMID 23929856).

All lanes:

Western blot - Anti-AICL antibody [EPR22061] (ab221158) at 1/1000 dilution

Lane 1:

U937 (human histiocytic lymphoma cell line) whole cell lysate at 20 µg

Lane 2:

HeLa (human epithelial cell line from cervix adenocarcinoma) whole cell lysate at 20 µg

Secondary

All lanes:

Western blot - Goat Anti-Rabbit IgG H&L (HRP) (<a href='/en-us/products/secondary-antibodies/goat-rabbit-igg-h-l-hrp-ab97051'>ab97051</a>) at 1/100000 dilution

Predicted band size: 17 kDa

Observed band size: 26-28 kDa,45 kDa

false

  • Carrier free

    Anti-AICL antibody [EPR22061] - BSA and Azide free

Key facts

Host species

Rabbit

Clonality

Monoclonal

Clone number

EPR22061

Isotype

IgG

Carrier free

No

Reacts with

Human

Applications

IP, WB, ICC/IF, IHC-P

applications

Immunogen

The exact immunogen used to generate this antibody is proprietary information.

Reactivity data

{ "title": "Reactivity Data", "filters": { "stats": ["", "Species", "Dilution Info", "Notes"], "tabs": { "all-applications": {"fullname" : "All Applications", "shortname": "All Applications"}, "IHCP" : {"fullname" : "Immunohistochemistry (Formalin/PFA-fixed paraffin-embedded sections)", "shortname":"IHC-P"}, "IP" : {"fullname" : "Immunoprecipitation", "shortname":"IP"}, "WB" : {"fullname" : "Western blot", "shortname":"WB"}, "ICCIF" : {"fullname" : "Immunocytochemistry/ Immunofluorescence", "shortname":"ICC/IF"} }, "product-promise": { "all": "all", "testedAndGuaranteed": "tested", "guaranteed": "expected", "predicted": "predicted", "notRecommended": "not-recommended" } }, "values": { "Human": { "IHCP-species-checked": "testedAndGuaranteed", "IHCP-species-dilution-info": "1/2000", "IHCP-species-notes": "<p></p> Perform heat-mediated antigen retrieval via the pressure cooker method before commencing with IHC staining protocol.", "IP-species-checked": "testedAndGuaranteed", "IP-species-dilution-info": "1/30", "IP-species-notes": "<p></p>", "WB-species-checked": "testedAndGuaranteed", "WB-species-dilution-info": "1/1000", "WB-species-notes": "<p></p>", "ICCIF-species-checked": "testedAndGuaranteed", "ICCIF-species-dilution-info": "1/50", "ICCIF-species-notes": "<p></p>" } } }

Product details

Patented technology
Our RabMAb® technology is a patented hybridoma-based technology for making rabbit monoclonal antibodies. For details on our patents, please refer to RabMAb® patents.

What are the advantages of a recombinant monoclonal antibody?
This product is a recombinant monoclonal antibody, which offers several advantages including:

  • - High batch-to-batch consistency and reproducibility
  • - Improved sensitivity and specificity
  • - Long-term security of supply
  • - Animal-free batch production

For more information, read more on recombinant antibodies.

Properties and storage information

Form
Liquid
Purification technique
Affinity purification Protein A
Storage buffer
pH: 7.2 - 7.4 Preservative: 0.01% Sodium azide Constituents: PBS, 40% Glycerol (glycerin, glycerine), 0.05% BSA
Shipped at conditions
Blue Ice
Appropriate short-term storage duration
1-2 weeks
Appropriate short-term storage conditions
+4°C
Appropriate long-term storage conditions
-20°C
Aliquoting information
Upon delivery aliquot
Storage information
Avoid freeze / thaw cycle

Supplementary information

This supplementary information is collated from multiple sources and compiled automatically.

AICL also known as activation-induced C-type lectin is a type II transmembrane protein expressed mostly on myeloid cells especially in bone marrow. It has a molecular mass of approximately 30 kDa. AICL belongs to the C-type lectin family and is often co-expressed with other members of this family on monocytes and dendritic cells. Scientists have noted that AICL appears in both the cytoplasm and on the cell surface contributing to its interaction capabilities.
Biological function summary

AICL interacts with innate immune processes and contributes to immune cell activation. It forms a complex with immune receptors such as the NK cell receptor NKG2D modulating immune responses. AICL's ligand-binding properties facilitate engagement in pathogen recognition and response enhancing the communication between innate and adaptive immunity. These interactions underline AICL's function in monitoring cellular stress and transformation.

Pathways

AICL participates significantly in the immune response through the NKG2D signaling pathway. This pathway is essential for natural killer (NK) cell-mediated cytotoxicity linking AICL closely with NK cell activation mechanisms. Additionally AICL is involved in the cytokine signaling pathway which interacts with proteins like IL-15 that are important for immune cell proliferation and function. These pathways highlight AICL's role in regulating immune surveillance and response.

AICL has significant association with leukemia and rheumatoid arthritis. In leukemia AICL expression affects the immune cell environment influencing the progression of the disease and patient prognosis. In rheumatoid arthritis altered AICL expression connects with the inflammation process where it interacts with proteins such as MICA possibly aggravating autoimmune responses. These links highlight AICL's importance in both hematological and autoimmune disorders driving interest in its potential as a diagnostic or therapeutic target.

Product protocols

For this product, it's our understanding that no specific protocols are required. You can visit:

Target data

Membrane-bound protein expressed on myeloid cells which acts as a ligand to stimulate the activating receptor NKp80/KLRF1, expressed on the surface of natural killer (NK) cells. In turn, stimulates NK-cell cytotoxicity and cytokine production leading to the cytolysis of malignant CLEC2B-expressing myeloid cells.
See full target information CLEC2B

Publications (1)

Recent publications for all applications. Explore the full list and refine your search

Biofabrication 17: PubMed39622178

2024

Development of immunocompetent full thickness skin tissue constructs to model skin fibrosis for high-throughput drug screening.

Applications

Unspecified application

Species

Unspecified reactive species

Yi Wei Lim,Russell Quinn,Kapil Bharti,Marc Ferrer,Hoda Zarkoob,Min Jae Song
View all publications

Product promise

We are committed to supporting your work with high-quality reagents, and we're here for you every step of the way. In the unlikely event that one of our products does not perform as expected, you're protected by our Product Promise.
For full details, please see our Terms & Conditions

Please note: All products are 'FOR RESEARCH USE ONLY. NOT FOR USE IN DIAGNOSTIC OR THERAPEUTIC PROCEDURES'.

For licensing inquiries, please contact partnerships@abcam.com