JavaScript is disabled in your browser. Please enable JavaScript to view this website.
AB220215

Anti-AIF antibody [E20] - BSA and Azide free

Be the first to review this product! Submit a review

|

(11 Publications)

Rabbit Recombinant Monoclonal AIF antibody. Carrier free. Suitable for IHC-P, IP, WB, ICC/IF, Flow Cyt (Intra), IHC-Fr and reacts with Human, Mouse, Rat samples. Cited in 11 publications.

View Alternative Names

AIF, PDCD8, AIFM1, Programmed cell death protein 8

5 Images
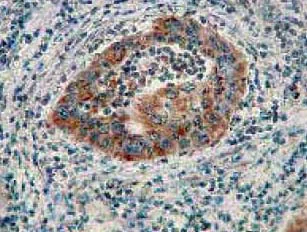
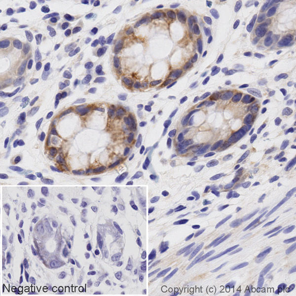
Immunohistochemistry (Formalin/PFA-fixed paraffin-embedded sections) - Anti-AIF antibody [E20] - BSA and Azide free (AB220215)
  • IHC-P

Unknown

Immunohistochemistry (Formalin/PFA-fixed paraffin-embedded sections) - Anti-AIF antibody [E20] - BSA and Azide free (AB220215)

ab32516, at a 1/500 dilution, staining AIF in paraffin embedded human cervical carcinoma tissue by Immunohistochemistry.

Perform heat mediated antigen retrieval with citrate buffer pH 6 before commencing with IHC staining protocol.

This data was developed using the same antibody clone in a different buffer formulation containing PBS, BSA, glycerol, and sodium azide (ab32516).

Flow Cytometry (Intracellular) - Anti-AIF antibody [E20] - BSA and Azide free (AB220215)
  • Flow Cyt (Intra)

Unknown

Flow Cytometry (Intracellular) - Anti-AIF antibody [E20] - BSA and Azide free (AB220215)

Overlay histogram showing K562 cells stained with ab32516 (red line). The cells were fixed with 4% paraformaldehyde (10 min) and then permeabilized with 0.1% PBS-Tween for 20 min. The cells were then incubated in 1x PBS / 10% normal goat serum / 0.3M glycine to block non-specific protein-protein interactions followed by the antibody (ab32516, 1/50 dilution) for 30 min at 22°C. The secondary antibody used was DyLight® 488 goat anti-rabbit IgG (H+L) (ab96899) at 1/500 dilution for 30 min at 22°C. Isotype control antibody (black line) was rabbit monoclonal IgG (1μg/1x106 cells) used under the same conditions. Acquisition of >5,000 events was performed. This antibody gave a positive signal in K562 cells fixed with methanol (5 min)/permeabilized with 0.1% PBS-Tween used under the same conditions.

This data was developed using the same antibody clone in a different buffer formulation containing PBS, BSA, glycerol, and sodium azide (ab32516).

Immunocytochemistry/ Immunofluorescence - Anti-AIF antibody [E20] - BSA and Azide free (AB220215)
  • ICC/IF

Unknown

Immunocytochemistry/ Immunofluorescence - Anti-AIF antibody [E20] - BSA and Azide free (AB220215)

ICC/IF image of ab32516 stained HeLa cells. The cells were 4% PFA fixed (10 min) and then incubated in 1%BSA / 10% normal goat serum / 0.3M glycine in 0.1% PBS-Tween for 1h to permeabilise the cells and block non-specific protein-protein interactions. The cells were then incubated with the antibody (ab32516, 1μg/ml) overnight at +4°C. The secondary antibody (green) was Alexa Fluor® 488 goat anti-rabbit IgG (H+L) used at a 1/1000 dilution for 1h. Alexa Fluor® 594 WGA was used to label plasma membranes (red) at a 1/200 dilution for 1h. DAPI was used to stain the cell nuclei (blue) at a concentration of 1.43μM.

This data was developed using the same antibody clone in a different buffer formulation containing PBS, BSA, glycerol, and sodium azide (ab32516).

Immunoprecipitation - Anti-AIF antibody [E20] - BSA and Azide free (AB220215)
  • IP

Unknown

Immunoprecipitation - Anti-AIF antibody [E20] - BSA and Azide free (AB220215)

AIF was immunoprecipitated using 0.5mg K562 whole cell extract, 5µg of Rabbit monoclonal to AIF and 50µl of protein G magnetic beads (+). No antibody was added to the control (-).
The antibody was incubated under agitation with Protein G beads for 10min, K562 whole cell extract lysate diluted in RIPA buffer was added to each sample and incubated for a further 10min under agitation.
Proteins were eluted by addition of 40µl SDS loading buffer and incubated for 10min at 70oC; 10µl of each sample was separated on a SDS PAGE gel, transferred to a nitrocellulose membrane, blocked with 5% BSA and probed with ab32516.
Secondary : Mouse monoclonal [SB62a] Secondary Antibody to Rabbit IgG light chain (HRP) (ab99697).
Band : 67kDa : AIF This data was developed using the same antibody clone in a different buffer formulation containing PBS, BSA, glycerol, and sodium azide (ab32516).

All lanes:

Immunoprecipitation - Anti-AIF antibody [E20] - Mitochondrial Marker (<a href='/en-us/products/primary-antibodies/aif-antibody-e20-mitochondrial-marker-ab32516'>ab32516</a>)

Predicted band size: 67 kDa

false

Western blot - Anti-AIF antibody [E20] - BSA and Azide free (AB220215)
  • WB

Lab

Western blot - Anti-AIF antibody [E20] - BSA and Azide free (AB220215)

This data was developed using the same antibody clone in a different buffer formulation (ab32516).

Lanes 1- 2 : Merged signal (red and green). Green - ab32516 observed at 67 kDa. Red - Anti-GAPDH antibody [6C5] - Loading Control (ab8245) observed at 37 kDa.

ab32516 was shown to react with AIF in wild-type HEK-293T cells in western blot. Loss of signal was observed when knockout cell line ab266347 (knockout cell lysate ab256834) was used. Wild-type HEK-293T and AIFM1 knockout HEK-293T cell lysates were subjected to SDS-PAGE. Membrane was blocked for 1 hour at room temperature in 0.1% TBST with 3% non-fat dried milk. ab32516 and Anti-GAPDH antibody [6C5] - Loading Control (ab8245) overnight at 4°C at a 1 in 1000 dilution and a 1 in 20000 dilution respectively. Blots were developed with Goat anti-Rabbit IgG H&L (IRDye®800CW) preadsorbed (ab216773) and Goat anti-Mouse IgG H&L (IRDye®680RD) preadsorbed (ab216776) secondary antibodies at 1 in 20000 dilution for 1 hour at room temperature before imaging.

All lanes:

Western blot - Anti-AIF antibody [E20] - Mitochondrial Marker (<a href='/en-us/products/primary-antibodies/aif-antibody-e20-mitochondrial-marker-ab32516'>ab32516</a>) at 1/1000 dilution

Lane 1:

Wild-type HEK-293T cell lysate at 20 µg

Lane 2:

AIFM1 knockout HEK-293T cell lysate at 20 µg

Lane 2:

Western blot - Human AIFM1 (AIF) knockout HEK-293T cell line (<a href='/en-us/products/cell-lines/human-aifm1-aif-knockout-hek-293t-cell-line-ab266347'>ab266347</a>)

Predicted band size: 67 kDa

Observed band size: 67 kDa

false

  • Unconjugated

    Anti-AIF antibody [E20] - Mitochondrial Marker

  • 665 Alexa Fluor® 647

    Alexa Fluor® 647 Anti-AIF antibody [E20] - Mitochondrial Marker

  • Biotin

    Biotin Anti-AIF antibody [E20] - Mitochondrial Marker

Key facts

Host species

Rabbit

Clonality

Monoclonal

Clone number

E20

Isotype

IgG

Carrier free

Yes

Reacts with

Mouse, Rat, Human

Applications

Flow Cyt (Intra), IHC-Fr, WB, IHC-P, IP, ICC/IF

applications

Immunogen

The exact immunogen used to generate this antibody is proprietary information.

Reactivity data

{ "title": "Reactivity Data", "filters": { "stats": ["", "Species", "Dilution Info", "Notes"], "tabs": { "all-applications": {"fullname" : "All Applications", "shortname": "All Applications"}, "IHCP" : {"fullname" : "Immunohistochemistry (Formalin/PFA-fixed paraffin-embedded sections)", "shortname":"IHC-P"}, "IP" : {"fullname" : "Immunoprecipitation", "shortname":"IP"}, "WB" : {"fullname" : "Western blot", "shortname":"WB"}, "ICCIF" : {"fullname" : "Immunocytochemistry/ Immunofluorescence", "shortname":"ICC/IF"}, "FlowCytIntra" : {"fullname" : "Flow Cytometry (Intracellular)", "shortname":"Flow Cyt (Intra)"}, "IHCFr" : {"fullname" : "Immunohistochemistry (Frozen sections)", "shortname":"IHC-Fr"} }, "product-promise": { "all": "all", "testedAndGuaranteed": "tested", "guaranteed": "expected", "predicted": "predicted", "notRecommended": "not-recommended" } }, "values": { "Human": { "IHCP-species-checked": "testedAndGuaranteed", "IHCP-species-dilution-info": "", "IHCP-species-notes": "<p></p>", "IP-species-checked": "testedAndGuaranteed", "IP-species-dilution-info": "", "IP-species-notes": "<p></p>", "WB-species-checked": "testedAndGuaranteed", "WB-species-dilution-info": "", "WB-species-notes": "<p></p>", "ICCIF-species-checked": "testedAndGuaranteed", "ICCIF-species-dilution-info": "", "ICCIF-species-notes": "<p></p>", "FlowCytIntra-species-checked": "testedAndGuaranteed", "FlowCytIntra-species-dilution-info": "", "FlowCytIntra-species-notes": "<p><a href='/en-us/products/primary-antibodies/rabbit-igg-monoclonal-epr25a-isotype-control-low-endotoxin-azide-free-ab199376'>ab199376</a> - Rabbit monoclonal IgG, is suitable for use as an isotype control with this antibody.</p>", "IHCFr-species-checked": "guaranteed", "IHCFr-species-dilution-info": "", "IHCFr-species-notes": "<p></p>" }, "Mouse": { "IHCP-species-checked": "predicted", "IHCP-species-dilution-info": "", "IHCP-species-notes": "", "IP-species-checked": "predicted", "IP-species-dilution-info": "", "IP-species-notes": "", "WB-species-checked": "guaranteed", "WB-species-dilution-info": "", "WB-species-notes": "<p></p>", "ICCIF-species-checked": "predicted", "ICCIF-species-dilution-info": "", "ICCIF-species-notes": "", "FlowCytIntra-species-checked": "predicted", "FlowCytIntra-species-dilution-info": "", "FlowCytIntra-species-notes": "", "IHCFr-species-checked": "guaranteed", "IHCFr-species-dilution-info": "", "IHCFr-species-notes": "<p></p>" }, "Rat": { "IHCP-species-checked": "predicted", "IHCP-species-dilution-info": "", "IHCP-species-notes": "", "IP-species-checked": "predicted", "IP-species-dilution-info": "", "IP-species-notes": "", "WB-species-checked": "guaranteed", "WB-species-dilution-info": "", "WB-species-notes": "<p></p>", "ICCIF-species-checked": "predicted", "ICCIF-species-dilution-info": "", "ICCIF-species-notes": "", "FlowCytIntra-species-checked": "predicted", "FlowCytIntra-species-dilution-info": "", "FlowCytIntra-species-notes": "", "IHCFr-species-checked": "guaranteed", "IHCFr-species-dilution-info": "", "IHCFr-species-notes": "<p></p>" } } }

Product details

ab220215 is the carrier-free version of ab32516.

Patented technology
Our RabMAb® technology is a patented hybridoma-based technology for making rabbit monoclonal antibodies. For details on our patents, please refer to RabMAb® patents.

What are the advantages of a recombinant monoclonal antibody?
This product is a recombinant monoclonal antibody, which offers several advantages including:

  • - High batch-to-batch consistency and reproducibility
  • - Improved sensitivity and specificity
  • - Long-term security of supply
  • - Animal-free batch production

For more information, read more on recombinant antibodies.

Conjugation ready
Our carrier-free antibodies are typically supplied in a PBS-only formulation, purified and free of BSA, sodium azide and glycerol. This conjugation-ready format is designed for use with fluorochromes, metal isotopes, oligonucleotides, and enzymes, which makes them ideal for antibody labelling, functional and cell-based assays, flow-based assays (e.g. mass cytometry) and Multiplex Imaging applications.

Use our conjugation kits for antibody conjugates that are ready-to-use in as little as 20 minutes with 1 minute hands-on-time and 100% antibody recovery: available for fluorescent dyes, HRP, biotin and gold.

Compatibility
This product is compatible with the Maxpar® Antibody Labeling Kit from Fluidigm, without the need for antibody preparation. Maxpar® is a trademark of Fluidigm Canada Inc.

Properties and storage information

Form
Liquid
Purification technique
Affinity purification Protein A
Storage buffer
pH: 7.2 - 7.4 Constituents: PBS
Shipped at conditions
Blue Ice
Appropriate short-term storage conditions
+4°C
Appropriate long-term storage conditions
+4°C
Storage information
Do Not Freeze

Supplementary information

This supplementary information is collated from multiple sources and compiled automatically.

AIF short for Apoptosis-Inducing Factor is a flavoprotein characterized by its mass of approximately 57 kDa. It resides in the mitochondria of cells where it plays a decisive role in apoptosis. Under normal conditions AIF remains in the mitochondrial intermembrane space but when cells receive apoptotic signals AIF translocates to the nucleus leading to chromatin condensation and large-scale DNA fragmentation. The protein is also known as AIFM1 and performs functions beyond apoptosis including regulation of reactive oxygen species. Often analyzed using tools like a mitochondrial AB marker researchers use AIF as an important part of understanding cell death mechanisms.
Biological function summary

AIF functions as an important element in mitochondrial-mediated apoptosis. Once released from mitochondria AIF triggers a caspase-independent pathway of apoptosis making it distinct from other pathways where caspases are central. While not part of a larger protein complex AIF interacts closely with several mitochondrial and nuclear elements to execute its functions. Researchers often monitor AIF activity using apoptosis ELISA kits which help in precise detection and quantification of this protein within cellular systems.

Pathways

The presence and activity of AIF align with the broader apoptotic pathway and mitochondrial respiration. AIF links significantly with other molecules like cytochrome c released during apoptosis although cytochrome c follows a caspase-dependent pathway. It also shows involvement in various cellular injury and stress response pathways reinforcing its role as a major player in cellular fate decisions and intrinsic apoptotic mechanisms.

AIF holds relevance in neurodegenerative disorders such as Parkinson's disease and certain forms of cancer. Misregulation or mutations in AIF can lead to increased susceptibility to these conditions highlighting its importance in maintaining normal cellular and mitochondrial function. AIF also interacts with other proteins implicated in these disorders such as E2F1 in cancer which shares similar apoptotic regulatory roles. These interactions highlight the biological significance of AIF beyond its fundamental apoptosis function making it a potential target for therapeutic interventions.

Product protocols

For this product, it's our understanding that no specific protocols are required. You can visit:

Target data

Functions both as NADH oxidoreductase and as regulator of apoptosis (PubMed : 17094969, PubMed : 20362274, PubMed : 23217327, PubMed : 33168626). In response to apoptotic stimuli, it is released from the mitochondrion intermembrane space into the cytosol and to the nucleus, where it functions as a proapoptotic factor in a caspase-independent pathway (PubMed : 20362274). Release into the cytoplasm is mediated upon binding to poly-ADP-ribose chains (By similarity). The soluble form (AIFsol) found in the nucleus induces 'parthanatos' i.e. caspase-independent fragmentation of chromosomal DNA (PubMed : 20362274). Binds to DNA in a sequence-independent manner (PubMed : 27178839). Interacts with EIF3G, and thereby inhibits the EIF3 machinery and protein synthesis, and activates caspase-7 to amplify apoptosis (PubMed : 17094969). Plays a critical role in caspase-independent, pyknotic cell death in hydrogen peroxide-exposed cells (PubMed : 19418225). In contrast, participates in normal mitochondrial metabolism. Plays an important role in the regulation of respiratory chain biogenesis by interacting with CHCHD4 and controlling CHCHD4 mitochondrial import (PubMed : 26004228).. Isoform 4. Has NADH oxidoreductase activity. Does not induce nuclear apoptosis.. Isoform 5. Pro-apoptotic isoform.
See full target information AIFM1

Publications (11)

Recent publications for all applications. Explore the full list and refine your search

Human & experimental toxicology 36:765-775 PubMed27590991

2016

The cytotoxic effect of oxybuprocaine on human corneal epithelial cells by inducing cell cycle arrest and mitochondria-dependent apoptosis.

Applications

Unspecified application

Species

Unspecified reactive species

W-Y Fan,D-P Wang,Q Wen,T-J Fan

Toxicological sciences : an official journal of the Society of Toxicology 143:441-53 PubMed25447644

2014

Glucocorticoids exert direct toxicity on microvasculature: analysis of cell death mechanisms.

Applications

Unspecified application

Species

Unspecified reactive species

Ikram El Zaoui,Francine Behar-Cohen,Alicia Torriglia

Cell death & disease 4:e919 PubMed24232095

2013

(ADP-ribose) polymerase 1 and AMP-activated protein kinase mediate progressive dopaminergic neuronal degeneration in a mouse model of Parkinson's disease.

Applications

Unspecified application

Species

Unspecified reactive species

T W Kim,H M Cho,S Y Choi,Y Suguira,T Hayasaka,M Setou,H C Koh,E Mi Hwang,J Y Park,S J Kang,H S Kim,H Kim,W Sun

Journal of proteomics 91:200-9 PubMed23851309

2013

Quantitative proteomic analysis of HER2 normal and overexpressing MCF-7 breast cancer cells revealed proteomic changes accompanied with HER2 gene amplification.

Applications

Unspecified application

Species

Unspecified reactive species

Yanan Tang,John Mackey,Raymond Lai,Sunita Ghosh,Cheryl Santos,Kathryn Graham,Sambasivarao Damaraju,Manijeh Pasdar,Liang Li

The Journal of biological chemistry 287:43533-42 PubMed23118224

2012

Alcohol-induced one-carbon metabolism impairment promotes dysfunction of DNA base excision repair in adult brain.

Applications

Unspecified application

Species

Unspecified reactive species

Anna-Kate Fowler,Aveline Hewetson,Rajiv G Agrawal,Marisela Dagda,Raul Dagda,Ruin Moaddel,Silvia Balbo,Mitesh Sanghvi,Yukun Chen,Ryan J Hogue,Susan E Bergeson,George I Henderson,Inna I Kruman

Neuro-oncology 13:1171-7 PubMed21849329

2011

Pediatric high-grade glioma: identification of poly(ADP-ribose) polymerase as a potential therapeutic target.

Applications

Unspecified application

Species

Unspecified reactive species

Stuart J Smith,Angela Long,Jennifer H Barrow,Donald C Macarthur,Beth Coyle,Richard G Grundy

Asian journal of andrology 12:527-34 PubMed20473320

2010

The multikinase inhibitor sorafenib induces caspase-dependent apoptosis in PC-3 prostate cancer cells.

Applications

Unspecified application

Species

Unspecified reactive species

Rui Huang,Xue-Qin Chen,Ying Huang,Ni Chen,Hao Zeng

ASN neuro 1: PubMed19863494

2009

Outer mitochondrial membrane localization of apoptosis-inducing factor: mechanistic implications for release.

Applications

Unspecified application

Species

Unspecified reactive species

Seong-Woon Yu,Yingfei Wang,Didrik S Frydenlund,Ole Petter Ottersen,Valina L Dawson,Ted M Dawson

Toxicology 267:54-9 PubMed19878704

2009

Perfluorononanoic acid-induced apoptosis in rat spleen involves oxidative stress and the activation of caspase-independent death pathway.

Applications

Unspecified application

Species

Unspecified reactive species

Xuemei Fang,Yixing Feng,Jianshe Wang,Jiayin Dai

Experimental neurology 218:213-20 PubMed19427306

2009

Calcium dysregulation induces apoptosis-inducing factor release: cross-talk between PARP-1- and calpain-signaling pathways.

Applications

Unspecified application

Species

Unspecified reactive species

Peter S Vosler,Dandan Sun,Suping Wang,Yanqin Gao,Douglas B Kintner,Armando P Signore,Guodong Cao,Jun Chen
View all publications

Product promise

We are committed to supporting your work with high-quality reagents, and we're here for you every step of the way. In the unlikely event that one of our products does not perform as expected, you're protected by our Product Promise.
For full details, please see our Terms & Conditions

Please note: All products are 'FOR RESEARCH USE ONLY. NOT FOR USE IN DIAGNOSTIC OR THERAPEUTIC PROCEDURES'.

For licensing inquiries, please contact partnerships@abcam.com