JavaScript is disabled in your browser. Please enable JavaScript to view this website.
AB140186

Anti-AIG1 antibody

Be the first to review this product! Submit a review

|

(1 Publication)

Rabbit Polyclonal AIG1 antibody. Suitable for WB, IHC-P, ICC/IF and reacts with Human samples. Cited in 1 publication. Immunogen corresponding to Synthetic Peptide within Human AIG1.

View Alternative Names

CGI-103, AIG1, Androgen-induced gene 1 protein, AIG-1, Fatty acid esters of hydroxy fatty acids hydrolase AIG1, FAHFA hydrolase AIG1

3 Images
Immunocytochemistry/ Immunofluorescence - Anti-AIG1 antibody (AB140186)
  • ICC/IF

Unknown

Immunocytochemistry/ Immunofluorescence - Anti-AIG1 antibody (AB140186)

Immunofluorescence of AIG1 in Human brain tissue with ab140186 at 20 ug/mL.

Immunohistochemistry (Formalin/PFA-fixed paraffin-embedded sections) - Anti-AIG1 antibody (AB140186)
  • IHC-P

Unknown

Immunohistochemistry (Formalin/PFA-fixed paraffin-embedded sections) - Anti-AIG1 antibody (AB140186)

Immunohistochemical analysis of paraffin-embedded Human brain tissue labelling AIG1 with ab140186 at 2.5 µg/ml.

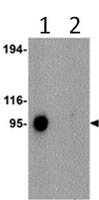
Western blot - Anti-AIG1 antibody (AB140186)
  • WB

Unknown

Western blot - Anti-AIG1 antibody (AB140186)

Lane 1:

Western blot - Anti-AIG1 antibody (ab140186) at 1 µg/mL

Lane 2:

Western blot - Anti-AIG1 antibody (ab140186) at 2 µg/mL

All lanes:

Human Brain tissue lysate at 15 µg

Predicted band size: 28 kDa

false

Key facts

Host species

Rabbit

Clonality

Polyclonal

Isotype

IgG

Carrier free

No

Reacts with

Human

Applications

ICC/IF, IHC-P, WB

applications

Immunogen

Synthetic Peptide within Human AIG1. The exact immunogen used to generate this antibody is proprietary information.

Q9NVV5

Reactivity data

{ "title": "Reactivity Data", "filters": { "stats": ["", "Species", "Dilution Info", "Notes"], "tabs": { "all-applications": {"fullname" : "All Applications", "shortname": "All Applications"}, "WB" : {"fullname" : "Western blot", "shortname":"WB"}, "IHCP" : {"fullname" : "Immunohistochemistry (Formalin/PFA-fixed paraffin-embedded sections)", "shortname":"IHC-P"}, "ICCIF" : {"fullname" : "Immunocytochemistry/ Immunofluorescence", "shortname":"ICC/IF"} }, "product-promise": { "all": "all", "testedAndGuaranteed": "tested", "guaranteed": "expected", "predicted": "predicted", "notRecommended": "not-recommended" } }, "values": { "Human": { "WB-species-checked": "testedAndGuaranteed", "WB-species-dilution-info": "1-2 µg/mL", "WB-species-notes": "<p></p>", "IHCP-species-checked": "testedAndGuaranteed", "IHCP-species-dilution-info": "2.5 µg/mL", "IHCP-species-notes": "<p></p>", "ICCIF-species-checked": "testedAndGuaranteed", "ICCIF-species-dilution-info": "20 µg/mL", "ICCIF-species-notes": "<p></p>" } } }

Properties and storage information

Form
Liquid
Purification technique
Affinity purification Immunogen
Storage buffer
pH: 7.2 Preservative: 0.02% Sodium azide Constituents: PBS
Shipped at conditions
Blue Ice
Appropriate short-term storage duration
1-2 weeks
Appropriate short-term storage conditions
+4°C
Appropriate long-term storage conditions
-20°C
Aliquoting information
Upon delivery aliquot

Supplementary information

This supplementary information is collated from multiple sources and compiled automatically.

AIG1 also known as Androgen-Induced Gene 1 functions mechanically as a membrane protein. The mass of AIG1 is approximately 18 kDa. This target is expressed mainly in the prostate and other androgen-responsive tissues. Its expression also occurs in various cells though at different levels.
Biological function summary

AIG1 plays a significant role in cell growth and development. It participates in cellular signaling and may involve in cellular stress responses. Although not strictly part of a known protein complex AIG1 may interact with other proteins in cellular processes that have yet to be fully characterized.

Pathways

AIG1 involvement occurs in androgen receptor signaling and possibly in stress response pathways. Interaction with these pathways suggests connections with proteins such as the androgen receptor and other signaling molecules. The function within these pathways reflects its role in modulating cellular activity in response to hormonal stimuli.

AIG1 has associations with prostate cancer and possibly benign prostatic hyperplasia. Its link to prostate cancer suggests a connection with the androgen receptor and related signaling pathways. These relations indicate that AIG1 might act in the development or progression of prostate-related conditions.

Product protocols

For this product, it's our understanding that no specific protocols are required. You can visit:

Target data

Hydrolyzes bioactive fatty-acid esters of hydroxy-fatty acids (FAHFAs), but not other major classes of lipids (PubMed : 27018888). Show a preference for FAHFAs with branching distal from the carboxylate head group of the lipids (PubMed : 27018888).
See full target information AIG1

Publications (1)

Recent publications for all applications. Explore the full list and refine your search

Communications biology 7:1088 PubMed39237682

2024

Lysosomal TMEM106B interacts with galactosylceramidase to regulate myelin lipid metabolism.

Applications

Unspecified application

Species

Unspecified reactive species

Hideyuki Takahashi,Azucena Perez-Canamas,Chris W Lee,Hongping Ye,Xianlin Han,Stephen M Strittmatter
View all publications

Product promise

We are committed to supporting your work with high-quality reagents, and we're here for you every step of the way. In the unlikely event that one of our products does not perform as expected, you're protected by our Product Promise.
For full details, please see our Terms & Conditions

Please note: All products are 'FOR RESEARCH USE ONLY. NOT FOR USE IN DIAGNOSTIC OR THERAPEUTIC PROCEDURES'.

For licensing inquiries, please contact partnerships@abcam.com