JavaScript is disabled in your browser. Please enable JavaScript to view this website.
AB93015

Anti-AIM2 antibody

4

(8 Reviews)

|

(50 Publications)

Rabbit Polyclonal AIM2 antibody. Suitable for WB, IHC-P, ICC/IF and reacts with Human samples. Cited in 50 publications. Immunogen corresponding to Recombinant Fragment Protein within Human AIM2 aa 50 to C-terminus.

View Alternative Names

Interferon-inducible protein AIM2, Absent in melanoma 2, AIM2

3 Images
Immunohistochemistry (Formalin/PFA-fixed paraffin-embedded sections) - Anti-AIM2 antibody (AB93015)
  • IHC-P

Unknown

Immunohistochemistry (Formalin/PFA-fixed paraffin-embedded sections) - Anti-AIM2 antibody (AB93015)

Immunohistochemical staining of AIM2 in formalin fixed, paraffin embedded Human fetal tonsil showing nuclear staining with ab93015 at a dilution of 1/100.

Western blot - Anti-AIM2 antibody (AB93015)
  • WB

Unknown

Western blot - Anti-AIM2 antibody (AB93015)

All lanes:

Western blot - Anti-AIM2 antibody (ab93015) at 1/500 dilution

Lane 1:

EC-109 cell lysate

Lane 2:

HepG2 cell lysate

Predicted band size: 39 kDa

false

Immunohistochemistry (Formalin/PFA-fixed paraffin-embedded sections) - Anti-AIM2 antibody (AB93015)
  • IHC-P

Supplier Data

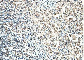
Immunohistochemistry (Formalin/PFA-fixed paraffin-embedded sections) - Anti-AIM2 antibody (AB93015)

Immunohistochemistry (Formalin/PFA-fixed paraffin-embedded sections) analysis of fetal spleen tissue sections labeling AIM2 with ab93015 at 1/100 dilution.

Key facts

Host species

Rabbit

Clonality

Polyclonal

Isotype

IgG

Carrier free

No

Reacts with

Human

Applications

IHC-P, WB, ICC/IF

applications

Immunogen

Recombinant Fragment Protein within Human AIM2 aa 50 to C-terminus. The exact immunogen used to generate this antibody is proprietary information.

O14862

Reactivity data

{ "title": "Reactivity Data", "filters": { "stats": ["", "Species", "Dilution Info", "Notes"], "tabs": { "all-applications": {"fullname" : "All Applications", "shortname": "All Applications"}, "WB" : {"fullname" : "Western blot", "shortname":"WB"}, "IHCP" : {"fullname" : "Immunohistochemistry (Formalin/PFA-fixed paraffin-embedded sections)", "shortname":"IHC-P"}, "ICCIF" : {"fullname" : "Immunocytochemistry/ Immunofluorescence", "shortname":"ICC/IF"} }, "product-promise": { "all": "all", "testedAndGuaranteed": "tested", "guaranteed": "expected", "predicted": "predicted", "notRecommended": "not-recommended" } }, "values": { "Human": { "WB-species-checked": "testedAndGuaranteed", "WB-species-dilution-info": "1/500 - 1/1000", "WB-species-notes": "<p></p>", "IHCP-species-checked": "testedAndGuaranteed", "IHCP-species-dilution-info": "1/100 - 1/500", "IHCP-species-notes": "<p></p>", "ICCIF-species-checked": "guaranteed", "ICCIF-species-dilution-info": "", "ICCIF-species-notes": "<p></p>" }, "Mouse": { "WB-species-checked": "predicted", "WB-species-dilution-info": "", "WB-species-notes": "", "IHCP-species-checked": "predicted", "IHCP-species-dilution-info": "", "IHCP-species-notes": "", "ICCIF-species-checked": "predicted", "ICCIF-species-dilution-info": "", "ICCIF-species-notes": "" } } }

Properties and storage information

Form
Lyophilized
Reconstitution
reconstitute with water at 200µL
Purification technique
Affinity purification Immunogen
Storage buffer
pH: 7.2 Preservative: 0.02% Sodium azide Constituents: PBS, 1% BSA
Shipped at conditions
Blue Ice
Appropriate short-term storage conditions
+4°C
Appropriate long-term storage conditions
-20°C
Aliquoting information
Upon delivery aliquot
Storage information
Avoid freeze / thaw cycle

Supplementary information

This supplementary information is collated from multiple sources and compiled automatically.

AIM2 also known as Absent in Melanoma 2 is a cytoplasmic sensor with a molecular weight of around 39 kDa. AIM2 plays an important mechanical role in the immune response by detecting cytoplasmic double-stranded DNA (dsDNA) from microbial or host origins. Once activated AIM2 forms an inflammasome complex by recruiting the adaptor protein ASC (Apoptosis-associated Speck-like protein containing a CARD) and then activating caspase-1. AIM2 is expressed in various tissues most prominently within immune cells such as macrophages and dendritic cells.
Biological function summary

AIM2 serves as an important component in the innate immune system by mediating the response to DNA-damaging agents. AIM2's ability to form the inflammasome complex results in the activation of inflammatory responses facilitating the production of pro-inflammatory cytokines like interleukin-1β (IL-1β) and interleukin-18 (IL-18). This activity plays an important part in the body's defense mechanisms against pathogenic infections and cellular stress.

Pathways

AIM2 integrates into essential immunological signaling namely the inflammasome and innate immune pathways. Within this context AIM2's interaction with proteins like ASC and caspase-1 emphasizes its cross-talk with broader immune system dynamics. Another significant pathway involves the interaction with the cGAS-STING pathway which highlights its contribution to maintaining cellular homeostasis and responding to intracellular DNA.

AIM2 has been implicated in conditions such as autoimmune diseases and cancer. Aberrant AIM2 activity is associated with diseases like systemic lupus erythematosus due to its hyperactive inflammatory responses. Additionally AIM2's connection to proteins like p53 positions it as a player in tumor suppression and highlights its complex role in cancer biology. Understanding AIM2's role offers valuable insights into both therapeutic opportunities and the pathophysiology of these conditions.

Product protocols

For this product, it's our understanding that no specific protocols are required. You can visit:

Target data

Sensor component of the AIM2 inflammasome, which mediates inflammasome activation in response to the presence of double-stranded DNA (dsDNA) in the cytosol, leading to subsequent pyroptosis (PubMed : 17726700, PubMed : 19158675, PubMed : 19158676, PubMed : 19158679, PubMed : 20566831, PubMed : 23530044, PubMed : 26197926, PubMed : 26583071, PubMed : 29440442, PubMed : 33980849, PubMed : 37364111). Inflammasomes are supramolecular complexes that assemble in the cytosol in response to pathogens and other damage-associated signals and play critical roles in innate immunity and inflammation (PubMed : 17726700, PubMed : 19158675, PubMed : 19158676, PubMed : 19158679, PubMed : 20566831, PubMed : 26197926, PubMed : 29440442, PubMed : 33980849). Acts as a recognition receptor (PRR) : specifically recognizes and binds dsDNA in the cytosol, and mediates the formation of the inflammasome polymeric complex composed of AIM2, CASP1 and PYCARD/ASC (PubMed : 17726700, PubMed : 19158675, PubMed : 19158676, PubMed : 19158679, PubMed : 20566831, PubMed : 26197926, PubMed : 29440442, PubMed : 33980849). Recruitment of pro-caspase-1 (proCASP1) to the AIM2 inflammasome promotes caspase-1 (CASP1) activation, which subsequently cleaves and activates inflammatory cytokines IL1B and IL18 and gasdermin-D (GSDMD), promoting cytokine secretion (PubMed : 17726700, PubMed : 19158675, PubMed : 19158676, PubMed : 19158679, PubMed : 20566831). In some cells, CASP1 activation mediates cleavage and activation of GSDMD, triggering pyroptosis without promoting cytokine secretion (PubMed : 19158675, PubMed : 19158676). Detects cytosolic dsDNA of viral and bacterial origin in a non-sequence-specific manner (PubMed : 17726700, PubMed : 19158675, PubMed : 19158676, PubMed : 19158679, PubMed : 20566831, PubMed : 26197926, PubMed : 26583071, PubMed : 29440442, PubMed : 33980849). Involved in the DNA damage response caused by acute ionizing radiation by mediating pyroptosis of intestinal epithelial cells and bone marrow cells in response to double-strand DNA breaks (By similarity). Mechanistically, AIM2 senses DNA damage in the nucleus to mediate inflammasome assembly and inflammatory cell death (By similarity). Also acts as a regulator of neurodevelopment via its role in the DNA damage response : acts by promoting neural cell death in response to DNA damage in the developing brain, thereby purging genetically compromised cells of the central nervous system (By similarity). Pyroptosis mediated by the AIM2 inflammasome in response to DNA damage is dependent on GSDMD without involving IL1B and IL18 cytokine secretion (By similarity). Also acts as a mediator of pyroptosis, necroptosis and apoptosis (PANoptosis), an integral part of host defense against pathogens, in response to bacterial infection (By similarity). Can also trigger PYCARD/ASC-dependent, caspase-1-independent cell death that involves caspase-8 (CASP8) (By similarity).. Also acts as a tumor suppressor independently of its role in inflammatory response (PubMed : 16432157). Able to suppress overt cell proliferation in enterocytes : restricts stem cell proliferation in the intestinal mucosa in an inflammasome-independent manner, contributing to a decrease in the likelihood of colorectal cancer development (By similarity). AIM2 suppresses cell proliferation by inhibiting phosphorylation of AKT1 at 'Ser-473', preventing AKT1 activation and AKT-mTOR signaling pathway (By similarity). Inhibits AKT1 phosphorylation both by inhibiting the activity of PRKDC/DNA-PK kinase and promoting dephosphorylation by PP2A phosphatase (By similarity). Also acts as a key regulator of regulatory T-cells (Treg) homeostasis by promoting their stability : acts by preventing AKT1 activation (By similarity). Its role in Treg homeostasis is important to restain autoimmune diseases (By similarity).
See full target information AIM2

Publications (50)

Recent publications for all applications. Explore the full list and refine your search

Cell communication and signaling : CCS 22:556 PubMed39568027

2024

Neutrophil extracellular traps facilitate liver inflammation/fibrosis progression by entering macrophages and triggering AIM2 inflammasome-dependent pyroptosis.

Applications

Unspecified application

Species

Unspecified reactive species

Yu Zhang,Rong Wu,Xi Zhan,Xuan-Yi Wang,Lin-Wei Xiang,Ya-Qian Duan,Yan You,Jian-Bo Zhang,Rui Wu,Yun-Yuan Zhang,Liang Duan

British journal of pharmacology 182:1005-1024 PubMed39467709

2024

Dihydro-resveratrol ameliorates NLRP3 inflammasome-mediated neuroinflammation via Bnip3-dependent mitophagy in Alzheimer's disease.

Applications

Unspecified application

Species

Unspecified reactive species

Guorong Tao,Xuebao Wang,Jian Wang,Yiru Ye,Minxue Zhang,Yan Lang,Saidan Ding

JCI insight 9: PubMed39352743

2024

The DNA sensor AIM2 mediates psoriasiform inflammation by inducing type 3 immunity.

Applications

Unspecified application

Species

Unspecified reactive species

Timna Varela Martins,Bruno Marcel Silva de Melo,Juliana Escher Toller-Kawahisa,Gabriel Victor Lucena da Silva,Conceição Elidianne Aníbal Silva,Isadora Marques Paiva,Gabriel Azevedo Públio,Marcos Henrique Rosa,Cacilda da Silva Souza,Dario Simões Zamboni,Fernando Q Cunha,Thiago Mattar Cunha,Bernhard Ryffel,Nicolas Riteau,José C Alves-Filho

Nature communications 15:2856 PubMed38565851

2024

Involution of brown adipose tissue through a Syntaxin 4 dependent pyroptosis pathway.

Applications

Unspecified application

Species

Unspecified reactive species

Xiaofan Yu,Gabrielle Benitez,Peter Tszki Wei,Sofia V Krylova,Ziyi Song,Li Liu,Meifan Zhang,Alus M Xiaoli,Henna Wei,Fenfen Chen,Simone Sidoli,Fajun Yang,Kosaku Shinoda,Jeffrey E Pessin,Daorong Feng

Regenerative therapy 27:12-20 PubMed38487102

2024

Clustering human dental pulp fibroblasts spontaneously activate NLRP3 and AIM2 inflammasomes and induce IL-1β secretion.

Applications

Unspecified application

Species

Unspecified reactive species

Shafei Zhai,Lihui Zhang,Xue Li,Qi Yu,Changkui Liu

Journal of immunology (Baltimore, Md. : 1950) 212:765-770 PubMed38251918

2024

Cutting Edge: Cytosolic Receptor AIM2 Is Induced by Peroxisome Proliferator-activated Receptor γ following Mycobacterium tuberculosis Infection of Human Macrophages but Does Not Contribute to IL-1β Release.

Applications

Unspecified application

Species

Unspecified reactive species

Eusondia Arnett,Jade Wolff,Chrissy M Leopold Wager,Jan Simper,Jeanine L Badrak,Carlos O Ontiveros,Bin Ni,Larry S Schlesinger

Chinese medicine 18:160 PubMed38057891

2023

Epigallocatechin gallate prevents cardiomyocytes from pyroptosis through lncRNA MEG3/TAF15/AIM2 axis in myocardial infarction.

Applications

Unspecified application

Species

Unspecified reactive species

Chaoshi Qin,Tingting Wang,Ni Qian,Jing Liu,Rong Xi,Qing Zou,Hui Liu,Xiaolin Niu

Journal of virology 97:e0109023 PubMed37787533

2023

Activation of AIM2 by hepatitis B virus results in antiviral immunity that suppresses hepatitis C virus during coinfection.

Applications

Unspecified application

Species

Unspecified reactive species

Yongqi Li,Yang Yang,Tianyang Li,Zhengmin Wang,Chunfeng Gao,Rilin Deng,Faxiang Ma,Xinyang Li,Licong Ma,Renyun Tian,Huiyi Li,Haizhen Zhu,Lei Zeng,Yanhang Gao,Guoyue Lv,Junqi Niu,Ian Nicholas Crispe,Zhengkun Tu

eLife 12: PubMed36779699

2023

Mesenchymal stem cell suppresses the efficacy of CAR-T toward killing lymphoma cells by modulating the microenvironment through stanniocalcin-1.

Applications

Unspecified application

Species

Unspecified reactive species

Rui Zhang,Qingxi Liu,Sa Zhou,Hongpeng He,Mingfeng Zhao,Wenjian Ma

Drug development research 83:1654-1672 PubMed36069386

2022

Calycosin represses AIM2 inflammasome-mediated inflammation and pyroptosis to attenuate monosodium urate-induced gouty arthritis through NF-κB and p62-Keap1 pathways.

Applications

Unspecified application

Species

Unspecified reactive species

Jing Tian,Dapeng Zhou,Liangbi Xiang,Bing Xie,Baichuan Wang,Yang Li,Xinwei Liu
View all publications

Product promise

We are committed to supporting your work with high-quality reagents, and we're here for you every step of the way. In the unlikely event that one of our products does not perform as expected, you're protected by our Product Promise.
For full details, please see our Terms & Conditions

Please note: All products are 'FOR RESEARCH USE ONLY. NOT FOR USE IN DIAGNOSTIC OR THERAPEUTIC PROCEDURES'.

For licensing inquiries, please contact partnerships@abcam.com