JavaScript is disabled in your browser. Please enable JavaScript to view this website.
AB316938

Anti-AIMP2/p38 antibody [EPR29127-48] - BSA and Azide free

Be the first to review this product! Submit a review

|

(0 Publication)

Rabbit Recombinant Monoclonal AIMP2/p38 antibody. Carrier free. Suitable for IHC-P, WB, IP and reacts with Human, Mouse, Rat samples.

View Alternative Names

JTV1, PRO0992, AIMP2, Aminoacyl tRNA synthase complex-interacting multifunctional protein 2, Multisynthase complex auxiliary component p38, Protein JTV-1

11 Images
Immunohistochemistry (Formalin/PFA-fixed paraffin-embedded sections) - Anti-AIMP2/p38 antibody [EPR29127-48] - BSA and Azide free (AB316938)
  • IHC-P

Supplier Data

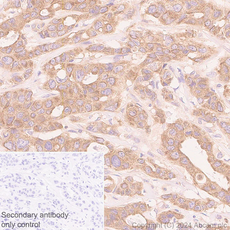
Immunohistochemistry (Formalin/PFA-fixed paraffin-embedded sections) - Anti-AIMP2/p38 antibody [EPR29127-48] - BSA and Azide free (AB316938)

This data was developed using ab316937, the same antibody clone in a different buffer formulation.

Immunohistochemical analysis of paraffin-embedded Human breast carcinoma tissue labeling AIMP2/p38 with ab316937 at 1/100 (5.11 ug/ml) dilution, followed by a ready to use LeicaDS9800 (Bond™ Polymer Refine Detection).

Positive staining on human breast carcinoma. The section was incubated with ab316937 for 30 mins at room temperature.
The immunostaining was performed on a Leica Biosystems BOND® RX instrument.

Counterstained with Hematoxylin.

Secondary antibody only control : Secondary antibody is a ready to use LeicaDS9800 (Bond™ Polymer Refine Detection).

Heat mediated antigen retrieval was performed with Tris-EDTA buffer (pH 9.0, Epitope Retrieval Solution2) for 20 mins.

Immunohistochemistry (Formalin/PFA-fixed paraffin-embedded sections) - Anti-AIMP2/p38 antibody [EPR29127-48] - BSA and Azide free (AB316938)
  • IHC-P

Supplier Data

Immunohistochemistry (Formalin/PFA-fixed paraffin-embedded sections) - Anti-AIMP2/p38 antibody [EPR29127-48] - BSA and Azide free (AB316938)

This data was developed using ab316937, the same antibody clone in a different buffer formulation.

Immunohistochemical analysis of paraffin-embedded Human cerebrum tissue labeling AIMP2/p38 with ab316937 at 1/100 (5.11 ug/ml) dilution, followed by a ready to use LeicaDS9800 (Bond™ Polymer Refine Detection).

Positive staining on human cerebrum. The section was incubated with ab316937 for 30 mins at room temperature.
The immunostaining was performed on a Leica Biosystems BOND® RX instrument.

Counterstained with Hematoxylin.

Secondary antibody only control : Secondary antibody is a ready to use LeicaDS9800 (Bond™ Polymer Refine Detection).

Heat mediated antigen retrieval was performed with Tris-EDTA buffer (pH 9.0, Epitope Retrieval Solution2) for 20 mins.

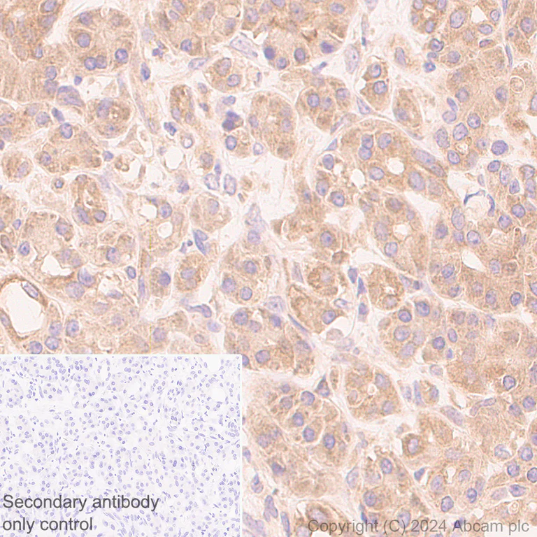
Immunohistochemistry (Formalin/PFA-fixed paraffin-embedded sections) - Anti-AIMP2/p38 antibody [EPR29127-48] - BSA and Azide free (AB316938)
  • IHC-P

Supplier Data

Immunohistochemistry (Formalin/PFA-fixed paraffin-embedded sections) - Anti-AIMP2/p38 antibody [EPR29127-48] - BSA and Azide free (AB316938)

This data was developed using ab316937, the same antibody clone in a different buffer formulation.

Immunohistochemical analysis of paraffin-embedded Human pancreatic carcinoma tissue labeling AIMP2/p38 with ab316937 at 1/100 (5.11 ug/ml) dilution, followed by a ready to use LeicaDS9800 (Bond™ Polymer Refine Detection).

Positive staining on human pancreatic carcinoma. The section was incubated with ab316937 for 30 mins at room temperature.
The immunostaining was performed on a Leica Biosystems BOND® RX instrument.

Counterstained with Hematoxylin.

Secondary antibody only control : Secondary antibody is a ready to use LeicaDS9800 (Bond™ Polymer Refine Detection).

Heat mediated antigen retrieval was performed with Tris-EDTA buffer (pH 9.0, Epitope Retrieval Solution2) for 20 mins.

Immunoprecipitation - Anti-AIMP2/p38 antibody [EPR29127-48] - BSA and Azide free (AB316938)
  • IP

Supplier Data

Immunoprecipitation - Anti-AIMP2/p38 antibody [EPR29127-48] - BSA and Azide free (AB316938)

This data was developed using ab316937, the same antibody clone in a different buffer formulation.

AIMP2/p38 was immunoprecipitated from 0.35 mg HeLa (human cervix adenocarcinoma epithelial cell) whole cell lysate with ab316937 at 1/30 dilution (2ug in 0.35mg lysates). Western blot was performed on the immunoprecipitate using ab316937 at 1/1000 dilution. VeriBlot for IP secondary antibody(HRP)(ab131366) was used at 1/5000 dilution.

Lane 1 : HeLa (human cervix adenocarcinoma epithelial cell) whole cell lysate
Lane 2 : ab316937 IP in HeLa (human cervix adenocarcinoma epithelial cell) whole cell lysate
Lane 3 : Rabbit monoclonal IgG (ab172730) instead of ab316937 in HeLa whole cell lysate

All lanes:

Immunoprecipitation - Anti-AIMP2/p38 antibody [EPR29127-48] (<a href='/en-us/products/primary-antibodies/aimp2-p38-antibody-epr29127-48-ab316937'>ab316937</a>) at 1/30 dilution

All lanes:

HeLa (human cervix adenocarcinoma epithelial cell) whole cell lysate

Secondary

All lanes:

Immunoprecipitation - VeriBlot for IP Detection Reagent (HRP) (<a href='/en-us/products/reagents/veriblot-for-ip-detection-reagent-hrp-ab131366'>ab131366</a>) at 1/5000 dilution

false

Exposure time: 41s

Immunohistochemistry (Formalin/PFA-fixed paraffin-embedded sections) - Anti-AIMP2/p38 antibody [EPR29127-48] - BSA and Azide free (AB316938)
  • IHC-P

Supplier Data

Immunohistochemistry (Formalin/PFA-fixed paraffin-embedded sections) - Anti-AIMP2/p38 antibody [EPR29127-48] - BSA and Azide free (AB316938)

This data was developed using ab316937, the same antibody clone in a different buffer formulation.

Immunohistochemical analysis of paraffin-embedded Rat liver tissue labeling AIMP2/p38 with ab316937 at 1/100 (5.11 ug/ml) dilution, followed by a ready to use LeicaDS9800 (Bond™ Polymer Refine Detection).

Positive staining on rat liver. The section was incubated with ab316937 for 30 mins at room temperature.
The immunostaining was performed on a Leica Biosystems BOND® RX instrument.

Counterstained with Hematoxylin.

Secondary antibody only control : Secondary antibody is a ready to use LeicaDS9800 (Bond™ Polymer Refine Detection).

Heat mediated antigen retrieval was performed with Tris-EDTA buffer (pH 9.0, Epitope Retrieval Solution2) for 20 mins.

Immunohistochemistry (Formalin/PFA-fixed paraffin-embedded sections) - Anti-AIMP2/p38 antibody [EPR29127-48] - BSA and Azide free (AB316938)
  • IHC-P

Supplier Data

Immunohistochemistry (Formalin/PFA-fixed paraffin-embedded sections) - Anti-AIMP2/p38 antibody [EPR29127-48] - BSA and Azide free (AB316938)

This data was developed using ab316937, the same antibody clone in a different buffer formulation.

Immunohistochemical analysis of paraffin-embedded Mouse liver tissue labeling AIMP2/p38 with ab316937 at 1/100 (5.11 ug/ml) dilution, followed by a ready to use LeicaDS9800 (Bond™ Polymer Refine Detection).

Positive staining on mouse liver. The section was incubated with ab316937 for 30 mins at room temperature.
The immunostaining was performed on a Leica Biosystems BOND® RX instrument.

Counterstained with Hematoxylin.

Secondary antibody only control : Secondary antibody is a ready to use LeicaDS9800 (Bond™ Polymer Refine Detection).

Heat mediated antigen retrieval was performed with Tris-EDTA buffer (pH 9.0, Epitope Retrieval Solution2) for 20 mins.

Immunohistochemistry (Formalin/PFA-fixed paraffin-embedded sections) - Anti-AIMP2/p38 antibody [EPR29127-48] - BSA and Azide free (AB316938)
  • IHC-P

Supplier Data

Immunohistochemistry (Formalin/PFA-fixed paraffin-embedded sections) - Anti-AIMP2/p38 antibody [EPR29127-48] - BSA and Azide free (AB316938)

This data was developed using ab316937, the same antibody clone in a different buffer formulation.

Immunohistochemical analysis of paraffin-embedded Mouse cerebrum tissue labeling AIMP2/p38 with ab316937 at 1/100 (5.11 ug/ml) dilution, followed by a ready to use LeicaDS9800 (Bond™ Polymer Refine Detection).

Positive staining on mouse cerebrum (PMID : 23974709). The section was incubated with ab316937 for 30 mins at room temperature.
The immunostaining was performed on a Leica Biosystems BOND® RX instrument.

Counterstained with Hematoxylin.

Secondary antibody only control : Secondary antibody is a ready to use LeicaDS9800 (Bond™ Polymer Refine Detection).

Heat mediated antigen retrieval was performed with Tris-EDTA buffer (pH 9.0, Epitope Retrieval Solution2) for 20 mins.

Immunohistochemistry (Formalin/PFA-fixed paraffin-embedded sections) - Anti-AIMP2/p38 antibody [EPR29127-48] - BSA and Azide free (AB316938)
  • IHC-P

Supplier Data

Immunohistochemistry (Formalin/PFA-fixed paraffin-embedded sections) - Anti-AIMP2/p38 antibody [EPR29127-48] - BSA and Azide free (AB316938)

This data was developed using ab316937, the same antibody clone in a different buffer formulation.

Immunohistochemical analysis of paraffin-embedded Rat cerebrum tissue labeling AIMP2/p38 with ab316937 at 1/100 (5.11 ug/ml) dilution, followed by a ready to use LeicaDS9800 (Bond™ Polymer Refine Detection).

Positive staining on rat cerebrum. The section was incubated with ab316937 for 30 mins at room temperature.
The immunostaining was performed on a Leica Biosystems BOND® RX instrument.

Counterstained with Hematoxylin.

Secondary antibody only control : Secondary antibody is a ready to use LeicaDS9800 (Bond™ Polymer Refine Detection).

Heat mediated antigen retrieval was performed with Tris-EDTA buffer (pH 9.0, Epitope Retrieval Solution2) for 20 mins.

Western blot - Anti-AIMP2/p38 antibody [EPR29127-48] - BSA and Azide free (AB316938)
  • WB

Supplier Data

Western blot - Anti-AIMP2/p38 antibody [EPR29127-48] - BSA and Azide free (AB316938)

This data was developed using ab316937, the same antibody clone in a different buffer formulation.

In Western blot, Anti-Histone H3 antibody [EPR16987] - Nuclear Marker and ChIP Grade (ab176842) staining at 1/100000 dilution.

All lanes:

Western blot - Anti-AIMP2/p38 antibody [EPR29127-48] (<a href='/en-us/products/primary-antibodies/aimp2-p38-antibody-epr29127-48-ab316937'>ab316937</a>) at 1/1000 dilution

Lane 1:

HeLa (human cervical adenocarcinoma epithelial cell) transfected with scrambled siRNA control whole cell lysate at 20 µg

Lane 2:

HeLa transfected with siRNA specifically targeting AIMP2 whole cell lysate at 20 µg

Secondary

All lanes:

Western blot - Goat Anti-Rabbit IgG H&L (HRP) (<a href='/en-us/products/secondary-antibodies/goat-rabbit-igg-h-l-hrp-ab97051'>ab97051</a>) at 1/100000 dilution

Observed band size: 35 kDa,15 kDa

false

Exposure time: 180s

Western blot - Anti-AIMP2/p38 antibody [EPR29127-48] - BSA and Azide free (AB316938)
  • WB

Supplier Data

Western blot - Anti-AIMP2/p38 antibody [EPR29127-48] - BSA and Azide free (AB316938)

This data was developed using ab316937, the same antibody clone in a different buffer formulation.

All lanes:

Western blot - Anti-AIMP2/p38 antibody [EPR29127-48] (<a href='/en-us/products/primary-antibodies/aimp2-p38-antibody-epr29127-48-ab316937'>ab316937</a>) at 1/1000 dilution

Lane 1:

SH-SY5Y (human neuroblastoma epithelial cell) whole cell lysate at 20 µg

Lane 2:

PANC-1 (human pancreatic epithelioid carcinoma epithelial cell) whole cell lysate at 20 µg

Lane 3:

NIH/3T3 (mouse embryonic fibroblast) whole cell lysate at 20 µg

Lane 4:

HepG2 (human hepatocellar carcinoma epithelial cell) whole cell lysate at 20 µg

Secondary

All lanes:

Western blot - Goat Anti-Rabbit IgG H&L (HRP) (<a href='/en-us/products/secondary-antibodies/goat-rabbit-igg-h-l-hrp-ab97051'>ab97051</a>) at 1/100000 dilution

Observed band size: 35 kDa

false

Exposure time: 180s

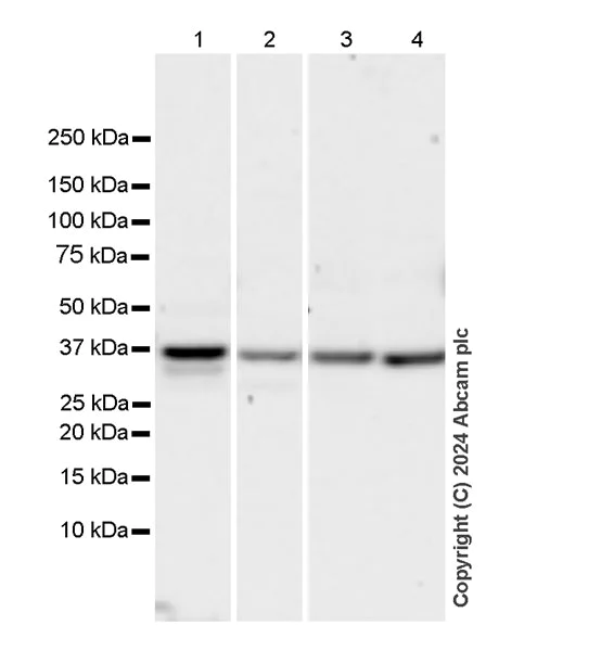
Western blot - Anti-AIMP2/p38 antibody [EPR29127-48] - BSA and Azide free (AB316938)
  • WB

Supplier Data

Western blot - Anti-AIMP2/p38 antibody [EPR29127-48] - BSA and Azide free (AB316938)

This data was developed using ab316937, the same antibody clone in a different buffer formulation.

All lanes:

Western blot - Anti-AIMP2/p38 antibody [EPR29127-48] (<a href='/en-us/products/primary-antibodies/aimp2-p38-antibody-epr29127-48-ab316937'>ab316937</a>) at 1/1000 dilution

Lane 1:

Human liver cancer tissue lysate at 30 µg

Lane 2:

Mouse brain tissue lysate at 30 µg

Lane 3:

Rat brain tissue lysate at 30 µg

Lane 4:

Rat liver tissue lysate at 30 µg

Secondary

All lanes:

Western blot - Goat Anti-Rabbit IgG H&L (HRP) (<a href='/en-us/products/secondary-antibodies/goat-rabbit-igg-h-l-hrp-ab97051'>ab97051</a>) at 1/20000 dilution

Observed band size: 35 kDa

false

Exposure time: 48s

Key facts

Host species

Rabbit

Clonality

Monoclonal

Clone number

EPR29127-48

Isotype

IgG

Carrier free

Yes

Reacts with

Human, Mouse, Rat

Applications

WB, IHC-P, IP

applications

Immunogen

The exact immunogen used to generate this antibody is proprietary information.

Reactivity data

{ "title": "Reactivity Data", "filters": { "stats": ["", "Species", "Dilution Info", "Notes"], "tabs": { "all-applications": {"fullname" : "All Applications", "shortname": "All Applications"}, "IHCP" : {"fullname" : "Immunohistochemistry (Formalin/PFA-fixed paraffin-embedded sections)", "shortname":"IHC-P"}, "WB" : {"fullname" : "Western blot", "shortname":"WB"}, "IP" : {"fullname" : "Immunoprecipitation", "shortname":"IP"}, "FlowCytIntra" : {"fullname" : "Flow Cytometry (Intracellular)", "shortname":"Flow Cyt (Intra)"}, "ICCIF" : {"fullname" : "Immunocytochemistry/ Immunofluorescence", "shortname":"ICC/IF"}, "IHCFr" : {"fullname" : "Immunohistochemistry (Frozen sections)", "shortname":"IHC-Fr"} }, "product-promise": { "all": "all", "testedAndGuaranteed": "tested", "guaranteed": "expected", "predicted": "predicted", "notRecommended": "not-recommended" } }, "values": { "Human": { "IHCP-species-checked": "testedAndGuaranteed", "IHCP-species-dilution-info": "", "IHCP-species-notes": "<p></p>", "WB-species-checked": "testedAndGuaranteed", "WB-species-dilution-info": "", "WB-species-notes": "<p></p>", "IP-species-checked": "testedAndGuaranteed", "IP-species-dilution-info": "", "IP-species-notes": "<p></p>", "FlowCytIntra-species-checked": "notRecommended", "FlowCytIntra-species-dilution-info": "", "FlowCytIntra-species-notes": "<p></p>", "ICCIF-species-checked": "notRecommended", "ICCIF-species-dilution-info": "", "ICCIF-species-notes": "<p></p>", "IHCFr-species-checked": "notRecommended", "IHCFr-species-dilution-info": "", "IHCFr-species-notes": "" }, "Mouse": { "IHCP-species-checked": "testedAndGuaranteed", "IHCP-species-dilution-info": "", "IHCP-species-notes": "<p></p>", "WB-species-checked": "testedAndGuaranteed", "WB-species-dilution-info": "", "WB-species-notes": "<p></p>", "IP-species-checked": "guaranteed", "IP-species-dilution-info": "", "IP-species-notes": "", "FlowCytIntra-species-checked": "notRecommended", "FlowCytIntra-species-dilution-info": "", "FlowCytIntra-species-notes": "", "ICCIF-species-checked": "notRecommended", "ICCIF-species-dilution-info": "", "ICCIF-species-notes": "<p></p>", "IHCFr-species-checked": "notRecommended", "IHCFr-species-dilution-info": "", "IHCFr-species-notes": "<p></p>" }, "Rat": { "IHCP-species-checked": "testedAndGuaranteed", "IHCP-species-dilution-info": "", "IHCP-species-notes": "<p></p>", "WB-species-checked": "testedAndGuaranteed", "WB-species-dilution-info": "", "WB-species-notes": "<p></p>", "IP-species-checked": "guaranteed", "IP-species-dilution-info": "", "IP-species-notes": "", "FlowCytIntra-species-checked": "notRecommended", "FlowCytIntra-species-dilution-info": "", "FlowCytIntra-species-notes": "", "ICCIF-species-checked": "notRecommended", "ICCIF-species-dilution-info": "", "ICCIF-species-notes": "", "IHCFr-species-checked": "notRecommended", "IHCFr-species-dilution-info": "", "IHCFr-species-notes": "" } } }

Product details

ab316938 is the carrirer-free version of ab316937.

Patented technology
Our RabMAb® technology is a patented hybridoma-based technology for making rabbit monoclonal antibodies. For details on our patents, please refer to RabMAb® patents.

What are the advantages of a recombinant monoclonal antibody?
This product is a recombinant monoclonal antibody, which offers several advantages including:

  • - High batch-to-batch consistency and reproducibility
  • - Improved sensitivity and specificity
  • - Long-term security of supply
  • - Animal-free batch production

For more information, read more on recombinant antibodies.

Conjugation ready
Our carrier-free antibodies are typically supplied in a PBS-only formulation, purified and free of BSA, sodium azide and glycerol. This conjugation-ready format is designed for use with fluorochromes, metal isotopes, oligonucleotides, and enzymes, which makes them ideal for antibody labelling, functional and cell-based assays, flow-based assays (e.g. mass cytometry) and Multiplex Imaging applications.

Use our conjugation kits for antibody conjugates that are ready-to-use in as little as 20 minutes with 1 minute hands-on-time and 100% antibody recovery: available for fluorescent dyes, HRP, biotin and gold.

Compatibility
This product is compatible with the Maxpar® Antibody Labeling Kit from Fluidigm, without the need for antibody preparation. Maxpar® is a trademark of Fluidigm Canada Inc.

Properties and storage information

Form
Liquid
Purification technique
Affinity purification Protein A
Storage buffer
pH: 7.2 - 7.4 Constituents: PBS
Shipped at conditions
Blue Ice
Appropriate short-term storage conditions
+4°C
Appropriate long-term storage conditions
+4°C

Supplementary information

This supplementary information is collated from multiple sources and compiled automatically.

AIMP2 also known as p38 is a multifunctional protein involved in several cellular processes. Measuring at a molecular weight of approximately 52 kDa AIMP2 plays an important role in regulating protein synthesis as a part of the aminoacyl-tRNA synthetase complex. This protein is widely expressed throughout various tissues in the body including lung liver and brain indicating its importance across different physiological contexts.
Biological function summary

AIMP2 acts as a scaffolding protein integrating signals between the aminoacyl-tRNA synthetase complex and other cellular mechanisms. It forms a complex with several components in the multi-aminoacyl-tRNA synthetase complex aiding in protein translation. The protein is involved in the maintenance of cellular homeostasis and stress responses by modulating protein synthesis and degradation processes.

Pathways

Multiple studies have shown that AIMP2 integrates into several important signaling pathways like the p53 pathway. AIMP2 enhances the activation of p53 tumor suppressor protein facilitating cellular responses to DNA damage and oxidative stress. It interacts closely with proteins like MDM2 mediating p53 stability and activity linking AIMP2 to cellular growth control and apoptosis regulation.

Mutations or dysregulation of AIMP2 have been connected to various conditions including neurodegenerative diseases and cancer. For example alterations in AIMP2 expression levels are implicated in Parkinson’s disease where its role in dopaminergic neuron survival is compromised. In cancer AIMP2 interacts with proteins like FBP1 affecting tumor progression and metastasis making it an important target for therapeutic interventions in these disorders.

Product protocols

For this product, it's our understanding that no specific protocols are required. You can visit:

Target data

Required for assembly and stability of the aminoacyl-tRNA synthase complex (PubMed : 19131329). Mediates ubiquitination and degradation of FUBP1, a transcriptional activator of MYC, leading to MYC down-regulation which is required for aveolar type II cell differentiation. Blocks MDM2-mediated ubiquitination and degradation of p53/TP53. Functions as a proapoptotic factor.
See full target information AIMP2

Product promise

We are committed to supporting your work with high-quality reagents, and we're here for you every step of the way. In the unlikely event that one of our products does not perform as expected, you're protected by our Product Promise.
For full details, please see our Terms & Conditions

Please note: All products are 'FOR RESEARCH USE ONLY. NOT FOR USE IN DIAGNOSTIC OR THERAPEUTIC PROCEDURES'.

For licensing inquiries, please contact partnerships@abcam.com