JavaScript is disabled in your browser. Please enable JavaScript to view this website.
AB78065

Anti-AIRE antibody

4

(1 Review)

|

(3 Publications)

Goat Polyclonal AIRE antibody. Suitable for IHC-P and reacts with Human samples. Cited in 3 publications. Immunogen corresponding to Synthetic Peptide within Human AIRE aa 100-150.

View Alternative Names

APECED, AIRE, Autoimmune regulator, Autoimmune polyendocrinopathy candidiasis ectodermal dystrophy protein, APECED protein

1 Images
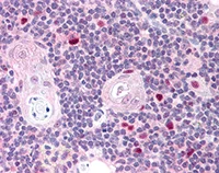
Immunohistochemistry (Formalin/PFA-fixed paraffin-embedded sections) - Anti-AIRE antibody (AB78065)
  • IHC-P

Unknown

Immunohistochemistry (Formalin/PFA-fixed paraffin-embedded sections) - Anti-AIRE antibody (AB78065)

ab78065 at 2.5μg/ml staining AIRE in human thymus by Immunohistochemistry using formalin-fixed, paraffin-embedded tissue.

Key facts

Host species

Goat

Clonality

Polyclonal

Isotype

IgG

Carrier free

No

Reacts with

Human

Applications

IHC-P

applications

Immunogen

Synthetic Peptide within Human AIRE aa 100-150. The exact immunogen used to generate this antibody is proprietary information.

O43918

Reactivity data

{ "title": "Reactivity Data", "filters": { "stats": ["", "Species", "Dilution Info", "Notes"], "tabs": { "all-applications": {"fullname" : "All Applications", "shortname": "All Applications"}, "IHCP" : {"fullname" : "Immunohistochemistry (Formalin/PFA-fixed paraffin-embedded sections)", "shortname":"IHC-P"} }, "product-promise": { "all": "all", "testedAndGuaranteed": "tested", "guaranteed": "expected", "predicted": "predicted", "notRecommended": "not-recommended" } }, "values": { "Human": { "IHCP-species-checked": "testedAndGuaranteed", "IHCP-species-dilution-info": "2.5 µg/mL", "IHCP-species-notes": "<p></p>" } } }

Properties and storage information

Form
Liquid
Purification technique
Affinity purification Immunogen
Storage buffer
pH: 7.3 Preservative: 0.02% Sodium azide Constituents: 0.5% BSA, 0.5% Tris buffered saline
Shipped at conditions
Blue Ice
Appropriate short-term storage conditions
+4°C
Appropriate long-term storage conditions
-20°C
Aliquoting information
Upon delivery aliquot
Storage information
Avoid freeze / thaw cycle

Supplementary information

This supplementary information is collated from multiple sources and compiled automatically.

AIRE short for Autoimmune Regulator is a transcription factor with a molecular mass of about 58 kDa. It plays an important role in the immune system by promoting the expression of self-antigens in the thymus. This activity contributes to the elimination of self-reactive T cells important for preventing autoimmune responses. AIRE primarily shows expression in the medullary thymic epithelial cells (mTECs) where it ensures that immature T cells get exposed to a wide range of antigens.
Biological function summary

AIRE functions to maintain central tolerance in the immune system. It acts as a part of a transcriptional complex that regulates genes involved in immune tolerance. This complex controls the expression of tissue-specific antigens (TSAs) important for "educating" T cells in the thymus to distinguish between self and non-self antigens. By controlling this mechanism AIRE helps to lower the risk of the body attacking its own tissues.

Pathways

AIRE contributes significantly to the pathway of immune tolerance and T cell selection within the thymus. It interacts with several other proteins involved in these pathways including the tumor necrosis factor receptor superfamily member RANK influencing the maturation of mTECs. Additionally AIRE interacts with proteins like CHD4 and a range of histone-modifying enzymes to modulate gene expression more broadly within the context of epigenetic regulation.

Mutations or malfunctions in AIRE relate to autoimmune polyendocrinopathy-candidiasis-ectodermal dystrophy (APECED) also known as Autoimmune Polyendocrine Syndrome Type 1 (APS-1). AIRE deficiency impairs negative selection of self-reactive T cells leading to multi-organ autoimmunity. This condition links AIRE with other proteins involved in the maintenance of immune homeostasis such as CTLA-4 which has roles in restraining immune activation and maintaining self-tolerance.

Product protocols

For this product, it's our understanding that no specific protocols are required. You can visit:

Target data

Transcription factor playing an essential role to promote self-tolerance in the thymus by regulating the expression of a wide array of self-antigens that have the commonality of being tissue-restricted in their expression pattern in the periphery, called tissue restricted antigens (TRA) (PubMed : 26084028). Binds to G-doublets in an A/T-rich environment; the preferred motif is a tandem repeat of 5'-ATTGGTTA-3' combined with a 5'-TTATTA-3' box. Binds to nucleosomes (By similarity). Binds to chromatin and interacts selectively with histone H3 that is not methylated at 'Lys-4', not phosphorylated at 'Thr-3' and not methylated at 'Arg-2'. Functions as a sensor of histone H3 modifications that are important for the epigenetic regulation of gene expression. Mainly expressed by medullary thymic epithelial cells (mTECs), induces the expression of thousands of tissue-restricted proteins, which are presented on major histocompatibility complex class I (MHC-I) and MHC-II molecules to developing T-cells percolating through the thymic medulla (PubMed : 26084028). Also induces self-tolerance through other mechanisms such as the regulation of the mTEC differentiation program. Controls the medullary accumulation of thymic dendritic cells and the development of regulatory T-cell through the regulation of XCL1 expression. Regulates the production of CCR4 and CCR7 ligands in medullary thymic epithelial cells and alters the coordinated maturation and migration of thymocytes. In thimic B-cells, allows the presentation of licensing-dependent endogenous self-anitgen for negative selection. In secondary lymphoid organs, induces functional inactivation of CD4(+) T-cells. Expressed by a distinct bone marrow-derived population, induces self-tolerance through a mechanism that does not require regulatory T-cells and is resitant to innate inflammatory stimuli (By similarity).
See full target information AIRE

Publications (3)

Recent publications for all applications. Explore the full list and refine your search

Immunology 165:445-459 PubMed35138640

2022

Effectiveness of interleukin-4 administration or zinc supplementation in improving zinc deficiency-associated thymic atrophy and fatty degeneration and in normalizing T cell maturation process.

Applications

Unspecified application

Species

Unspecified reactive species

Takamasa Kido,Machi Suka,Hiroyuki Yanagisawa

Journal of immunology (Baltimore, Md. : 1950) 193:2187-95 PubMed25038256

2014

Altered expression of autoimmune regulator in infant down syndrome thymus, a possible contributor to an autoimmune phenotype.

Applications

IHC-P

Species

Human

Gabriel Skogberg,Vanja Lundberg,Susanne Lindgren,Judith Gudmundsdottir,Kerstin Sandström,Olle Kämpe,Göran Annerén,Jan Gustafsson,Jan Sunnegårdh,Sjoerd van der Post,Esbjörn Telemo,Martin Berglund,Olov Ekwall

Blood 122:2213-23 PubMed23950176

2013

Human secondary lymphoid organs typically contain polyclonally-activated proliferating regulatory T cells.

Applications

IHC

Species

Unspecified reactive species

Jorieke H Peters,Hans J P M Koenen,Esther Fasse,Henk J Tijssen,Jan N M Ijzermans,Patricia J T A Groenen,Nicolaas P M Schaap,Jaap Kwekkeboom,Irma Joosten
View all publications

Product promise

We are committed to supporting your work with high-quality reagents, and we're here for you every step of the way. In the unlikely event that one of our products does not perform as expected, you're protected by our Product Promise.
For full details, please see our Terms & Conditions

Please note: All products are 'FOR RESEARCH USE ONLY. NOT FOR USE IN DIAGNOSTIC OR THERAPEUTIC PROCEDURES'.

For licensing inquiries, please contact partnerships@abcam.com