JavaScript is disabled in your browser. Please enable JavaScript to view this website.
AB223117

Anti-AJAP1 antibody

Be the first to review this product! Submit a review

|

(2 Publications)

Rabbit Polyclonal AJAP1 antibody. Suitable for WB, IHC-P and reacts with Mouse, Human samples. Cited in 2 publications. Immunogen corresponding to Recombinant Fragment Protein within Human AJAP1 aa 300-400.

View Alternative Names

MOT8, SHREW1, AJAP1, Adherens junction-associated protein 1, Membrane protein shrew-1

2 Images
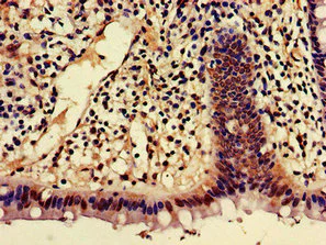
Immunohistochemistry (Formalin/PFA-fixed paraffin-embedded sections) - Anti-AJAP1 antibody (AB223117)
  • IHC-P

Supplier Data

Immunohistochemistry (Formalin/PFA-fixed paraffin-embedded sections) - Anti-AJAP1 antibody (AB223117)

Paraffin-embedded human colon cancer tissue stained for AJAP1 using ab223117 at 1/100 dilution in immunohistochemical analysis.

Western blot - Anti-AJAP1 antibody (AB223117)
  • WB

Supplier Data

Western blot - Anti-AJAP1 antibody (AB223117)

All lanes:

Western blot - Anti-AJAP1 antibody (ab223117) at 1/500 dilution

Lane 1:

Mouse brain lysate

Lane 2:

Mouse skeletal muscle lysate

Secondary

All lanes:

Goat polyclonal to rabbit IgG at 1/50000 dilution

Predicted band size: 45 kDa

Observed band size: 45 kDa

false

Key facts

Host species

Rabbit

Clonality

Polyclonal

Isotype

IgG

Carrier free

No

Reacts with

Mouse, Human

Applications

WB, IHC-P

applications

Immunogen

Recombinant Fragment Protein within Human AJAP1 aa 300-400. The exact immunogen used to generate this antibody is proprietary information.

Q9UKB5

Reactivity data

{ "title": "Reactivity Data", "filters": { "stats": ["", "Species", "Dilution Info", "Notes"], "tabs": { "all-applications": {"fullname" : "All Applications", "shortname": "All Applications"}, "WB" : {"fullname" : "Western blot", "shortname":"WB"}, "IHCP" : {"fullname" : "Immunohistochemistry (Formalin/PFA-fixed paraffin-embedded sections)", "shortname":"IHC-P"} }, "product-promise": { "all": "all", "testedAndGuaranteed": "tested", "guaranteed": "expected", "predicted": "predicted", "notRecommended": "not-recommended" } }, "values": { "Human": { "WB-species-checked": "guaranteed", "WB-species-dilution-info": "", "WB-species-notes": "", "IHCP-species-checked": "testedAndGuaranteed", "IHCP-species-dilution-info": "1/20 - 1/200", "IHCP-species-notes": "<p></p>" }, "Mouse": { "WB-species-checked": "testedAndGuaranteed", "WB-species-dilution-info": "1/500 - 1/5000", "WB-species-notes": "<p></p>", "IHCP-species-checked": "guaranteed", "IHCP-species-dilution-info": "", "IHCP-species-notes": "" } } }

Properties and storage information

Form
Liquid
Purification technique
Affinity purification Protein G
Purification notes
Purity >95%.
Storage buffer
pH: 7.4 Preservative: 0.03% Proclin 300 Constituents: PBS, 50% Glycerol (glycerin, glycerine)
Shipped at conditions
Blue Ice
Appropriate short-term storage duration
1-2 weeks
Appropriate short-term storage conditions
+4°C
Appropriate long-term storage conditions
-20°C
Aliquoting information
Upon delivery aliquot
Storage information
Avoid freeze / thaw cycle

Supplementary information

This supplementary information is collated from multiple sources and compiled automatically.

AJAP1 also known as adherens junction-associated protein 1 functions in cell adhesion and migration. It is a membrane protein with a mass around 38 kDa. AJAP1 is particularly expressed in endothelial cells and epithelial cells indicating a role in cell-cell junctions and tissue integrity. Researchers recognize the importance of AJAP1 in maintaining cellular architecture by helping bind cells together.
Biological function summary

AJAP1 plays an essential role in modulating cellular adhesion dynamics. It does not operate as a standalone entity but rather as part of a complex with other adhesion molecules such as cadherins and catenins. By interacting with these partners AJAP1 modulates the strength and stability of cell junctions impacting processes like morphogenesis wound healing and tissue repair. Its role is critical in processes where precise cellular arrangement is necessary.

Pathways

AJAP1 integrates into signaling networks that regulate cell adhesion and migration. It significantly associates with the Wnt signaling pathway where it modulates transcriptional responses through its interactions with catenins. AJAP1 affects actin cytoskeleton rearrangements and connects with proteins such as β-catenin to influence cellular outcomes. Moreover AJAP1 impacts processes related to the invasion and metastasis of cancer cells by interacting with pathways regulating cellular motility and adhesion.

AJAP1 exhibits relevance in conditions such as glioblastoma and colorectal cancer. Aberrant expression or mutation of AJAP1 often links with tumor progression and metastasis in these cancers. Through its interactions with proteins like β-catenin and E-cadherin AJAP1 influences the adhesion and signaling pathways that can drive oncogenic processes. Understanding its role in these disorders offers potential for novel therapeutic strategies where cell adhesion and migration are disrupted.

Product protocols

For this product, it's our understanding that no specific protocols are required. You can visit:

Target data

Plays a role in cell adhesion and cell migration.
See full target information AJAP1

Publications (2)

Recent publications for all applications. Explore the full list and refine your search

Frontiers in oncology 10:667 PubMed32528872

2020

Downregulation of TET1 Promotes Bladder Cancer Cell Proliferation and Invasion by Reducing DNA Hydroxymethylation of AJAP1.

Applications

Unspecified application

Species

Unspecified reactive species

Yi-Lin Yan,Zheng-Nan Huang,Zhen Zhu,Yang-Yan Cui,Mei-Qian Li,Rui-Min Huang,Jun Yan,Bing Shen

Journal of cellular and molecular medicine 23:1541-1552 PubMed30597727

2018

MiR-552 promotes the proliferation, migration and EMT of hepatocellular carcinoma cells by inhibiting AJAP1 expression.

Applications

Unspecified application

Species

Unspecified reactive species

Weiqing Qu,Xinyuan Wen,Keli Su,Wei Gou
View all publications

Product promise

We are committed to supporting your work with high-quality reagents, and we're here for you every step of the way. In the unlikely event that one of our products does not perform as expected, you're protected by our Product Promise.
For full details, please see our Terms & Conditions

Please note: All products are 'FOR RESEARCH USE ONLY. NOT FOR USE IN DIAGNOSTIC OR THERAPEUTIC PROCEDURES'.

For licensing inquiries, please contact partnerships@abcam.com