JavaScript is disabled in your browser. Please enable JavaScript to view this website.
AB316197

Anti-Ajuba antibody [EPR27503-126]

Be the first to review this product! Submit a review

|

(0 Publication)

Rabbit Recombinant Monoclonal AJUBA antibody. Suitable for WB and reacts with Human, Mouse samples.

View Alternative Names

JUB, AJUBA, LIM domain-containing protein ajuba

4 Images
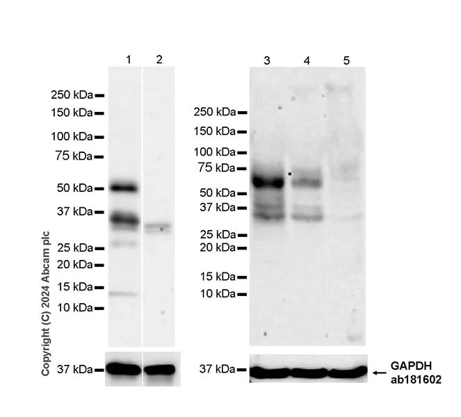
Western blot - Anti-Ajuba antibody [EPR27503-126] (AB316197)
  • WB

Supplier Data

Western blot - Anti-Ajuba antibody [EPR27503-126] (AB316197)

The identity of the band at around 30 kDa (in lane 1, 2 and 3) is unknown.

In Western blot, Anti-Vinculin antibody [EPR8185] (ab129002) staining at 1/10000 dilution.

All lanes:

Western blot - Anti-Ajuba antibody [EPR27503-126] (ab316197) at 1/1000 dilution

Lane 1:

PC-3 (human prostate adenocarcinoma epithelial cell) whole cell lysate at 20 µg

Lane 2:

SW480 (human colorectal adenocarcinoma epithelial cell) whole cell lysate at 20 µg

Lane 3:

HCT116 (human colorectal carcinoma epithelial cell) whole cell lysate at 20 µg

Lane 4:

Human placenta tissue lysate at 20 µg

Lane 5:

Human uterus tissue lysate at 20 µg

Secondary

All lanes:

Western blot - Goat Anti-Rabbit IgG H&L (HRP) (<a href='/en-us/products/secondary-antibodies/goat-rabbit-igg-h-l-hrp-ab97051'>ab97051</a>) at 1/20000 dilution

Observed band size: 56 kDa,124 kDa

false

Exposure time: 180s

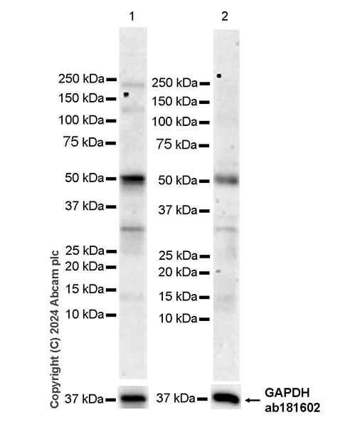
Western blot - Anti-Ajuba antibody [EPR27503-126] (AB316197)
  • WB

Supplier Data

Western blot - Anti-Ajuba antibody [EPR27503-126] (AB316197)

The identity of the band at around 30 kDa is unknown.

In Western blot, Anti-GAPDH antibody [EPR16891] - Loading Control (ab181602) staining at 1/200000 dilution.

All lanes:

Western blot - Anti-Ajuba antibody [EPR27503-126] (ab316197) at 1/1000 dilution

Lane 1:

HeLa (human cervical adenocarcinoma epithelial cell) transfected with scrambled siRNA control whole cell lysate at 20 µg

Lane 2:

HeLa transfected with siRNA specifically targeting Ajuba whole cell lysate at 20 µg

Secondary

All lanes:

Western blot - Goat Anti-Rabbit IgG H&L (HRP) (<a href='/en-us/products/secondary-antibodies/goat-rabbit-igg-h-l-hrp-ab97051'>ab97051</a>) at 1/20000 dilution

Observed band size: 56 kDa,36 kDa

false

Exposure time: 180s

Western blot - Anti-Ajuba antibody [EPR27503-126] (AB316197)
  • WB

Supplier Data

Western blot - Anti-Ajuba antibody [EPR27503-126] (AB316197)

Low expression : stomach (PMID : 10330178)

The identity of the band at around 30 kDa is unknown.

In Western blot, Anti-GAPDH antibody [EPR16891] - Loading Control (ab181602) staining at 1/200000 dilution.

All lanes:

Western blot - Anti-Ajuba antibody [EPR27503-126] (ab316197) at 1/1000 dilution

Lane 1:

Human uterus tissue at 20 µg with 5% NFDM/TBST

Lane 2:

Human stomach tissue at 20 µg with 5% NFDM/TBST

Secondary

All lanes:

Western blot - Goat Anti-Rabbit IgG H&L (HRP) (<a href='/en-us/products/secondary-antibodies/goat-rabbit-igg-h-l-hrp-ab97051'>ab97051</a>) at 1/100000 dilution

Observed band size: 56 kDa,36 kDa

false

Exposure time: 180s

Western blot - Anti-Ajuba antibody [EPR27503-126] (AB316197)
  • WB

Supplier Data

Western blot - Anti-Ajuba antibody [EPR27503-126] (AB316197)

Low expression : stomach (PMID : 10330178), Neuro-2a

The identity of the band at around 30 kDa is unknown.

In Western blot, Anti-GAPDH antibody [EPR16891] - Loading Control (ab181602) staining at 1/200000 dilution.

Exposure time : Lane1-2 : 70 seconds, lane3-5 : 180 seconds

All lanes:

Western blot - Anti-Ajuba antibody [EPR27503-126] (ab316197) at 1/1000 dilution

Lane 1:

F9 (mouse embryonal carcinoma epithelial cell) whole cell lysate at 20 µg with 5% NFDM/TBST

Lane 2:

Neuro-2a (mouse neuroblastoma neuroblast) whole cell lysate at 20 µg with 5% NFDM/TBST

Lane 3:

Mouse placenta tissue lysate at 30 µg with 5% NFDM/TBST

Lane 4:

Mouse uterus tissue lysate at 30 µg with 5% NFDM/TBST

Lane 5:

Mouse stomach tissue lysate at 30 µg with 5% NFDM/TBST

Secondary

All lanes:

Western blot - Goat Anti-Rabbit IgG H&L (HRP) (<a href='/en-us/products/secondary-antibodies/goat-rabbit-igg-h-l-hrp-ab97051'>ab97051</a>) at 1/20000 dilution

Observed band size: 56 kDa,36 kDa

false

  • Carrier free

    Anti-Ajuba antibody [EPR27503-126] - BSA and Azide free

Key facts

Host species

Rabbit

Clonality

Monoclonal

Clone number

EPR27503-126

Isotype

IgG

Carrier free

No

Reacts with

Human, Mouse

Applications

WB

applications

Immunogen

The exact immunogen used to generate this antibody is proprietary information.

Reactivity data

{ "title": "Reactivity Data", "filters": { "stats": ["", "Species", "Dilution Info", "Notes"], "tabs": { "all-applications": {"fullname" : "All Applications", "shortname": "All Applications"}, "WB" : {"fullname" : "Western blot", "shortname":"WB"}, "IP" : {"fullname" : "Immunoprecipitation", "shortname":"IP"}, "ICCIF" : {"fullname" : "Immunocytochemistry/ Immunofluorescence", "shortname":"ICC/IF"}, "FlowCytIntra" : {"fullname" : "Flow Cytometry (Intracellular)", "shortname":"Flow Cyt (Intra)"}, "IHCP" : {"fullname" : "Immunohistochemistry (Formalin/PFA-fixed paraffin-embedded sections)", "shortname":"IHC-P"} }, "product-promise": { "all": "all", "testedAndGuaranteed": "tested", "guaranteed": "expected", "predicted": "predicted", "notRecommended": "not-recommended" } }, "values": { "Human": { "WB-species-checked": "testedAndGuaranteed", "WB-species-dilution-info": "1/1000", "WB-species-notes": "<p></p>", "IP-species-checked": "notRecommended", "IP-species-dilution-info": "", "IP-species-notes": "<p></p>", "ICCIF-species-checked": "notRecommended", "ICCIF-species-dilution-info": "", "ICCIF-species-notes": "<p></p>", "FlowCytIntra-species-checked": "notRecommended", "FlowCytIntra-species-dilution-info": "", "FlowCytIntra-species-notes": "<p></p>", "IHCP-species-checked": "notRecommended", "IHCP-species-dilution-info": "", "IHCP-species-notes": "<p></p>" }, "Mouse": { "WB-species-checked": "testedAndGuaranteed", "WB-species-dilution-info": "1/1000", "WB-species-notes": "<p></p>", "IP-species-checked": "notRecommended", "IP-species-dilution-info": "", "IP-species-notes": "", "ICCIF-species-checked": "notRecommended", "ICCIF-species-dilution-info": "", "ICCIF-species-notes": "<p></p>", "FlowCytIntra-species-checked": "notRecommended", "FlowCytIntra-species-dilution-info": "", "FlowCytIntra-species-notes": "", "IHCP-species-checked": "notRecommended", "IHCP-species-dilution-info": "", "IHCP-species-notes": "<p></p>" }, "Rat": { "WB-species-checked": "notRecommended", "WB-species-dilution-info": "", "WB-species-notes": "<p></p>", "IP-species-checked": "notRecommended", "IP-species-dilution-info": "", "IP-species-notes": "", "ICCIF-species-checked": "notRecommended", "ICCIF-species-dilution-info": "", "ICCIF-species-notes": "", "FlowCytIntra-species-checked": "notRecommended", "FlowCytIntra-species-dilution-info": "", "FlowCytIntra-species-notes": "", "IHCP-species-checked": "notRecommended", "IHCP-species-dilution-info": "", "IHCP-species-notes": "<p></p>" } } }

Product details

Patented technology
Our RabMAb® technology is a patented hybridoma-based technology for making rabbit monoclonal antibodies. For details on our patents, please refer to RabMAb® patents.

What are the advantages of a recombinant monoclonal antibody?
This product is a recombinant monoclonal antibody, which offers several advantages including:

  • - High batch-to-batch consistency and reproducibility
  • - Improved sensitivity and specificity
  • - Long-term security of supply
  • - Animal-free batch production

For more information, read more on recombinant antibodies.

Properties and storage information

Form
Liquid
Purification technique
Affinity purification Protein A
Storage buffer
pH: 7.2 - 7.4 Preservative: 0.01% Sodium azide Constituents: PBS, 40% Glycerol (glycerin, glycerine), 0.05% BSA
Shipped at conditions
Blue Ice
Appropriate short-term storage duration
1-2 weeks
Appropriate short-term storage conditions
+4°C
Appropriate long-term storage conditions
-20°C
Aliquoting information
Upon delivery aliquot
Storage information
Avoid freeze / thaw cycle

Supplementary information

This supplementary information is collated from multiple sources and compiled automatically.

Ajuba also known as Juba or 8 Ajuba is a LIM domain protein with a molecular mass of around 55 kDa. This protein shows expression in various tissues including the skin and immune cells. Mechanically Ajuba functions as a scaffold protein interacting with several other proteins to regulate cellular processes. It helps in the assembly and stabilization of protein complexes especially at the cell surface and in the nucleus playing an important role in connecting cytoskeletal components to signaling pathways.
Biological function summary

Ajuba influences cell proliferation adhesion and migration. As part of the Ajuba-Zyxin-LIMD1 complex it interacts with actin filaments and diverse cytoskeletal proteins mediating signal transduction from extracellular cues to the nucleus. Through these interactions Ajuba modulates gene expression essential for cell cycle progression and differentiation emphasizing its significance in development and tissue maintenance.

Pathways

Ajuba participates in the Wnt signaling and the Hippo pathway. Within Wnt signaling Ajuba partners with key proteins like β-catenin to regulate transcriptional activity and cell fate determination. Additionally in the Hippo pathway Ajuba associates with large tumor suppressor kinases (LATS) and YAP influencing cellular growth and apoptosis. These pathways demonstrate Ajuba's involvement in maintaining cellular homoeostasis and response to environmental stimuli.

Ajuba's dysregulation associates with cancer and autoimmune diseases. In cancer altered Ajuba expression affects cell survival and proliferation tying it to proteins such as β-catenin in colorectal cancer progression. In autoimmune diseases improper Ajuba functioning disrupts immune cell signaling and tolerance impacting proteins like NF-kB. These connections highlight Ajuba's role in pathological conditions and its potential as a therapeutic target.

Product protocols

For this product, it's our understanding that no specific protocols are required. You can visit:

Target data

Adapter or scaffold protein which participates in the assembly of numerous protein complexes and is involved in several cellular processes such as cell fate determination, cytoskeletal organization, repression of gene transcription, mitosis, cell-cell adhesion, cell differentiation, proliferation and migration. Contributes to the linking and/or strengthening of epithelia cell-cell junctions in part by linking adhesive receptors to the actin cytoskeleton. May be involved in signal transduction from cell adhesion sites to the nucleus. Plays an important role in regulation of the kinase activity of AURKA for mitotic commitment. Also a component of the IL-1 signaling pathway modulating IL-1-induced NFKB1 activation by influencing the assembly and activity of the PRKCZ-SQSTM1-TRAF6 multiprotein signaling complex. Functions as an HDAC-dependent corepressor for a subset of GFI1 target genes. Acts as a transcriptional corepressor for SNAI1 and SNAI2/SLUG-dependent repression of E-cadherin transcription. Acts as a hypoxic regulator by bridging an association between the prolyl hydroxylases and VHL enabling efficient degradation of HIF1A. Positively regulates microRNA (miRNA)-mediated gene silencing. Negatively regulates the Hippo signaling pathway and antagonizes phosphorylation of YAP1.
See full target information AJUBA

Product promise

We are committed to supporting your work with high-quality reagents, and we're here for you every step of the way. In the unlikely event that one of our products does not perform as expected, you're protected by our Product Promise.
For full details, please see our Terms & Conditions

Please note: All products are 'FOR RESEARCH USE ONLY. NOT FOR USE IN DIAGNOSTIC OR THERAPEUTIC PROCEDURES'.

For licensing inquiries, please contact partnerships@abcam.com