JavaScript is disabled in your browser. Please enable JavaScript to view this website.
AB157206

Anti-AK2 antibody [EPR11387(B)]

Be the first to review this product! Submit a review

|

(2 Publications)

Rabbit Recombinant Monoclonal AK2 antibody. Suitable for IHC-P, WB, Flow Cyt (Intra) and reacts with Human samples. Cited in 2 publications.

View Alternative Names

ADK2, AK2, AK 2, ATP-AMP transphosphorylase 2, ATP:AMP phosphotransferase, Adenylate monophosphate kinase

5 Images
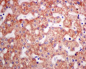
Immunohistochemistry (Formalin/PFA-fixed paraffin-embedded sections) - Anti-AK2 antibody [EPR11387(B)] (AB157206)
  • IHC-P

Unknown

Immunohistochemistry (Formalin/PFA-fixed paraffin-embedded sections) - Anti-AK2 antibody [EPR11387(B)] (AB157206)

Immunohistochemical analysis of formalin-fixed, paraffin-embedded Human liver tissue, labeling AK2 using ab157206 at a 1/50 dilution.

Perform heat mediated antigen retrieval with citrate buffer pH 6 before commencing with IHC staining protocol.

Flow Cytometry (Intracellular) - Anti-AK2 antibody [EPR11387(B)] (AB157206)
  • Flow Cyt (Intra)

Unknown

Flow Cytometry (Intracellular) - Anti-AK2 antibody [EPR11387(B)] (AB157206)

Intracellular Flow Cytometry analysis of permeabilized HeLa cells labeling AK2 (red), using ab157206 at a 1/10 dilution, and negative control cells probed with a Rabbit IgG (green)

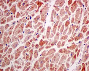
Immunohistochemistry (Formalin/PFA-fixed paraffin-embedded sections) - Anti-AK2 antibody [EPR11387(B)] (AB157206)
  • IHC-P

Unknown

Immunohistochemistry (Formalin/PFA-fixed paraffin-embedded sections) - Anti-AK2 antibody [EPR11387(B)] (AB157206)

Immunohistochemical analysis of formalin-fixed, paraffin-embedded Human heart tissue, labeling AK2 using ab157206 at a 1/50 dilution.

Perform heat mediated antigen retrieval with citrate buffer pH 6 before commencing with IHC staining protocol.

Western blot - Anti-AK2 antibody [EPR11387(B)] (AB157206)
  • WB

Lab

Western blot - Anti-AK2 antibody [EPR11387(B)] (AB157206)

Lanes 1-4 : Merged signal (red and green). Green - ab157206 observed at 30 kDa. Red - loading control ab8245 observed at 36 kDa.

ab157206 Anti-AK2 antibody [EPR11387(B)] was shown to specifically react with AK2 in wild-type HEK293T cells. Loss of signal was observed when knockout cell line ab266539 (knockout cell lysate ab257825) was used. Wild-type and AK2 knockout samples were subjected to SDS-PAGE. ab157206 and Anti-GAPDH antibody [6C5] - Loading Control (ab8245) were incubated at room temperature for 2.5 hours at 1 in 1000 dilution and 1 in 20000 dilution respectively. Blots were developed with Goat anti-Rabbit IgG H&L (IRDye® 800CW) preadsorbed (ab216773) and Goat anti-Mouse IgG H&L (IRDye® 680RD) preadsorbed (ab216776) secondary antibodies at 1 in 20000 dilution for 1 hour at room temperature before imaging.

All lanes:

Western blot - Anti-AK2 antibody [EPR11387(B)] (ab157206) at 1/1000 dilution

Lane 1:

Wild-type HEK293T cell lysate at 20 µg

Lane 2:

AK2 knockout HEK293T cell lysate at 20 µg

Lane 2:

Western blot - Human AK2 knockout HEK-293T cell line (<a href='/en-us/products/cell-lines/human-ak2-knockout-hek-293t-cell-line-ab266539'>ab266539</a>)

Lane 3:

HL-60 cell lysate at 20 µg

Lane 4:

HepG2 cell lysate at 20 µg

Secondary

All lanes:

Western blot - Goat anti-Rabbit IgG H&L (IRDye® 800CW) preadsorbed (<a href='/en-us/products/secondary-antibodies/goat-rabbit-igg-h-l-irdye-800cw-preadsorbed-ab216773'>ab216773</a>) at 1/10000 dilution

Predicted band size: 26 kDa

Observed band size: 30 kDa

false

Western blot - Anti-AK2 antibody [EPR11387(B)] (AB157206)
  • WB

Unknown

Western blot - Anti-AK2 antibody [EPR11387(B)] (AB157206)

All lanes:

Western blot - Anti-AK2 antibody [EPR11387(B)] (ab157206) at 1/1000 dilution

Lane 1:

HepG2 lysate at 10 µg

Lane 2:

fetal kidney lysate at 10 µg

Lane 3:

fetal heart lysate at 10 µg

Lane 4:

HeLa lysate at 10 µg

Lane 5:

fetal liver lysate at 10 µg

Predicted band size: 26 kDa

false

Key facts

Host species

Rabbit

Clonality

Monoclonal

Clone number

EPR11387(B)

Isotype

IgG

Carrier free

No

Reacts with

Human

Applications

Flow Cyt (Intra), WB, IHC-P

applications

Immunogen

The exact immunogen used to generate this antibody is proprietary information.

Reactivity data

{ "title": "Reactivity Data", "filters": { "stats": ["", "Species", "Dilution Info", "Notes"], "tabs": { "all-applications": {"fullname" : "All Applications", "shortname": "All Applications"}, "IHCP" : {"fullname" : "Immunohistochemistry (Formalin/PFA-fixed paraffin-embedded sections)", "shortname":"IHC-P"}, "IP" : {"fullname" : "Immunoprecipitation", "shortname":"IP"}, "WB" : {"fullname" : "Western blot", "shortname":"WB"}, "ICCIF" : {"fullname" : "Immunocytochemistry/ Immunofluorescence", "shortname":"ICC/IF"}, "FlowCytIntra" : {"fullname" : "Flow Cytometry (Intracellular)", "shortname":"Flow Cyt (Intra)"} }, "product-promise": { "all": "all", "testedAndGuaranteed": "tested", "guaranteed": "expected", "predicted": "predicted", "notRecommended": "not-recommended" } }, "values": { "Human": { "IHCP-species-checked": "testedAndGuaranteed", "IHCP-species-dilution-info": "1/50 - 1/100", "IHCP-species-notes": "<p></p>", "IP-species-checked": "notRecommended", "IP-species-dilution-info": "", "IP-species-notes": "<p></p>", "WB-species-checked": "testedAndGuaranteed", "WB-species-dilution-info": "1/1000 - 1/10000", "WB-species-notes": "<p></p>", "ICCIF-species-checked": "notRecommended", "ICCIF-species-dilution-info": "", "ICCIF-species-notes": "<p></p>", "FlowCytIntra-species-checked": "testedAndGuaranteed", "FlowCytIntra-species-dilution-info": "1/10 - 1/100", "FlowCytIntra-species-notes": "<p><a href='/en-us/products/primary-antibodies/rabbit-igg-monoclonal-epr25a-isotype-control-ab172730'>ab172730</a> - Rabbit monoclonal IgG, is suitable for use as an isotype control with this antibody.</p>" } } }

Product details

Species reactivity
Mouse, Rat: We have preliminary internal testing data to indicate this antibody may not react with these species.
Please contact us for more information.

Patented technology
Our RabMAb® technology is a patented hybridoma-based technology for making rabbit monoclonal antibodies. For details on our patents, please refer to RabMAb® patents.

What are the advantages of a recombinant monoclonal antibody?
This product is a recombinant monoclonal antibody, which offers several advantages including:

  • - High batch-to-batch consistency and reproducibility
  • - Improved sensitivity and specificity
  • - Long-term security of supply
  • - Animal-free batch production

For more information, read more on recombinant antibodies.

Properties and storage information

Form
Liquid
Purity
Tissue culture supernatant
Storage buffer
pH: 7.2 - 7.4 Preservative: 0.01% Sodium azide Constituents: PBS, 50% Tissue culture supernatant, 40% Glycerol (glycerin, glycerine), 0.05% BSA
Shipped at conditions
Blue Ice
Appropriate short-term storage conditions
+4°C
Appropriate long-term storage conditions
-20°C

Supplementary information

This supplementary information is collated from multiple sources and compiled automatically.

The adenylate kinase 2 also known as AK2 is an enzyme that catalyzes the conversion of adenine nucleotides within the cell. It facilitates the reversible conversion of ADP into ATP and AMP playing a critical role in cellular energy homeostasis. AK2 weighing approximately 26 kDa is primarily found in the mitochondrial intermembrane space of various tissues including liver muscle and brain. Its expression allows for efficient energy transfer essential for normal mitochondrial function and cellular metabolism.
Biological function summary

AK2 functions in energy transfer and regulation in the cell serving as an important component in maintaining cellular ATP levels. AK2 is an integral part of the mitochondrial adenylate kinase system which manages energy flux in cells. By balancing the concentrations of ATP ADP and AMP AK2 directly influences cellular energy state and metabolic activity. The enzyme also supports nucleotide homeostasis therefore facilitating processes such as signal transduction and nucleic acid synthesis.

Pathways

AK2 is involved in the adenylate kinase pathway important for energy metabolism. It coordinates with other enzymes like AK1 and AK3 ensuring efficient energy distribution in the cell. AK2 also interfaces with the apoptosis signaling pathways where it plays a part in regulating programmed cell death. The interaction of AK2 within these pathways emphasizes its essential role in maintaining cellular energy balance and undergoing apoptosis when necessary.

AK2 mutations link to rare conditions like reticular dysgenesis a severe form of combined immunodeficiency. The disorder arises when AK2 fails to initiate proper energy transfer necessary for white blood cell development. AK2 is also related to mitochondrial disorders where energy production gets critically impaired manifesting in muscle weakness and neurodegenerative symptoms. The enzyme's connection to proteins involved in energy pathways suggests its potential contribution to the progression of such diseases.

Product protocols

For this product, it's our understanding that no specific protocols are required. You can visit:

Target data

Catalyzes the reversible transfer of the terminal phosphate group between ATP and AMP. Plays an important role in cellular energy homeostasis and in adenine nucleotide metabolism. Adenylate kinase activity is critical for regulation of the phosphate utilization and the AMP de novo biosynthesis pathways. Plays a key role in hematopoiesis.
See full target information AK2

Publications (2)

Recent publications for all applications. Explore the full list and refine your search

Frontiers in pharmacology 11:955 PubMed32670069

2020

Simiao Decoction Alleviates Gouty Arthritis by Modulating Proinflammatory Cytokines and the Gut Ecosystem.

Applications

Unspecified application

Species

Unspecified reactive species

Xiaoying Lin,Tiejuan Shao,Lin Huang,Xianghui Wen,Mingzhu Wang,Chengping Wen,Zhixing He

Scientific reports 9:15739 PubMed31673062

2019

Reticular Dysgenesis and Mitochondriopathy Induced by Adenylate Kinase 2 Deficiency with Atypical Presentation.

Applications

Unspecified application

Species

Unspecified reactive species

Lina Ghaloul-Gonzalez,Al-Walid Mohsen,Anuradha Karunanidhi,Bianca Seminotti,Hey Chong,Suneeta Madan-Khetarpal,Jessica Sebastian,Catherine Walsh Vockley,Miguel Reyes-Múgica,Mark T Vander Lugt,Jerry Vockley
View all publications

Product promise

We are committed to supporting your work with high-quality reagents, and we're here for you every step of the way. In the unlikely event that one of our products does not perform as expected, you're protected by our Product Promise.
For full details, please see our Terms & Conditions

Please note: All products are 'FOR RESEARCH USE ONLY. NOT FOR USE IN DIAGNOSTIC OR THERAPEUTIC PROCEDURES'.

For licensing inquiries, please contact partnerships@abcam.com