JavaScript is disabled in your browser. Please enable JavaScript to view this website.
AB173298

Anti-AKAP associated Sperm Protein/ROPN1L antibody [EPR11266(B)]

Be the first to review this product! Submit a review

|

(1 Publication)

Rabbit Recombinant Monoclonal AKAP associated Sperm Protein/ROPN1L antibody. Suitable for IHC-P, IP, WB and reacts with Human samples. Cited in 1 publication.

View Alternative Names

ASP, RSPH11, ROPN1L, Ropporin-1-like protein, ROPN1-like protein, AKAP-associated sperm protein

8 Images
Immunohistochemistry (Formalin/PFA-fixed paraffin-embedded sections) - Anti-AKAP associated Sperm Protein/ROPN1L antibody [EPR11266(B)] (AB173298)
  • IHC-P

Unknown

Immunohistochemistry (Formalin/PFA-fixed paraffin-embedded sections) - Anti-AKAP associated Sperm Protein/ROPN1L antibody [EPR11266(B)] (AB173298)

ab173298 showing -ve staining in Human skeletal muscle tissue.

Perform heat mediated antigen retrieval with citrate buffer pH 6 before commencing with IHC staining protocol.

Immunohistochemistry (Formalin/PFA-fixed paraffin-embedded sections) - Anti-AKAP associated Sperm Protein/ROPN1L antibody [EPR11266(B)] (AB173298)
  • IHC-P

Supplier Data

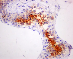
Immunohistochemistry (Formalin/PFA-fixed paraffin-embedded sections) - Anti-AKAP associated Sperm Protein/ROPN1L antibody [EPR11266(B)] (AB173298)

ab173298 showing +ve staining in Human normal testis tissue.

Perform heat mediated antigen retrieval with citrate buffer pH 6 before commencing with IHC staining protocol.

Immunohistochemistry (Formalin/PFA-fixed paraffin-embedded sections) - Anti-AKAP associated Sperm Protein/ROPN1L antibody [EPR11266(B)] (AB173298)
  • IHC-P

Unknown

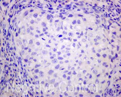
Immunohistochemistry (Formalin/PFA-fixed paraffin-embedded sections) - Anti-AKAP associated Sperm Protein/ROPN1L antibody [EPR11266(B)] (AB173298)

ab173298 showing -ve staining in Human cervical carcinoma tissue.

Perform heat mediated antigen retrieval with citrate buffer pH 6 before commencing with IHC staining protocol.

Immunohistochemistry (Formalin/PFA-fixed paraffin-embedded sections) - Anti-AKAP associated Sperm Protein/ROPN1L antibody [EPR11266(B)] (AB173298)
  • IHC-P

Supplier Data

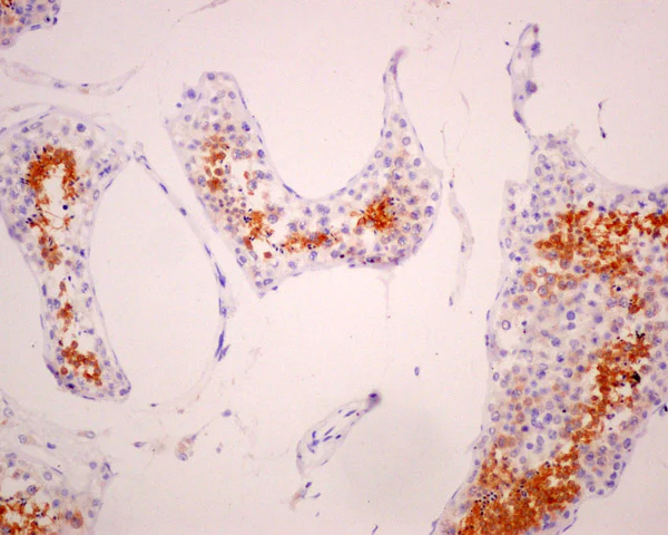
Immunohistochemistry (Formalin/PFA-fixed paraffin-embedded sections) - Anti-AKAP associated Sperm Protein/ROPN1L antibody [EPR11266(B)] (AB173298)

Immunohistochemical analysis of paraffin embedded Human testis tissue labeling AKAP associated Sperm Protein/ROPN1L with ab173298 at 1/100.

Perform heat mediated antigen retrieval with citrate buffer pH 6 before commencing with IHC staining protocol.

Immunohistochemistry (Formalin/PFA-fixed paraffin-embedded sections) - Anti-AKAP associated Sperm Protein/ROPN1L antibody [EPR11266(B)] (AB173298)
  • IHC-P

Unknown

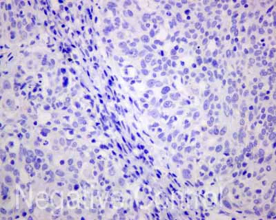
Immunohistochemistry (Formalin/PFA-fixed paraffin-embedded sections) - Anti-AKAP associated Sperm Protein/ROPN1L antibody [EPR11266(B)] (AB173298)

ab173298 showing -ve staining in Human breast carcinoma tissue.

Perform heat mediated antigen retrieval with citrate buffer pH 6 before commencing with IHC staining protocol.

Immunohistochemistry (Formalin/PFA-fixed paraffin-embedded sections) - Anti-AKAP associated Sperm Protein/ROPN1L antibody [EPR11266(B)] (AB173298)
  • IHC-P

Unknown

Immunohistochemistry (Formalin/PFA-fixed paraffin-embedded sections) - Anti-AKAP associated Sperm Protein/ROPN1L antibody [EPR11266(B)] (AB173298)

ab173298 showing -ve staining in Human normal brain tissue.

Perform heat mediated antigen retrieval with citrate buffer pH 6 before commencing with IHC staining protocol.

Immunoprecipitation - Anti-AKAP associated Sperm Protein/ROPN1L antibody [EPR11266(B)] (AB173298)
  • IP

Supplier Data

Immunoprecipitation - Anti-AKAP associated Sperm Protein/ROPN1L antibody [EPR11266(B)] (AB173298)

Immunoprecipitation. ab173298 at 1/1000 staining AKAP associated Sperm Protein/ROPN1L immunoprecipitated from Human tetis lysate using ab173297 at 1/10.

Lane 2 : 1X PBS (negative control) .

All lanes:

Immunoprecipitation - Anti-AKAP associated Sperm Protein/ROPN1L antibody [EPR11266(B)] (ab173298)

Predicted band size: 26 kDa

Observed band size: 26 kDa

false

Western blot - Anti-AKAP associated Sperm Protein/ROPN1L antibody [EPR11266(B)] (AB173298)
  • WB

Supplier Data

Western blot - Anti-AKAP associated Sperm Protein/ROPN1L antibody [EPR11266(B)] (AB173298)

All lanes:

Western blot - Anti-AKAP associated Sperm Protein/ROPN1L antibody [EPR11266(B)] (ab173298) at 1/1000 dilution

All lanes:

Human testis lysate at 10 µg

Predicted band size: 26 kDa

false

  • Carrier free

    Anti-AKAP associated Sperm Protein/ROPN1L antibody [EPR11266(B)] - BSA and Azide free

Key facts

Host species

Rabbit

Clonality

Monoclonal

Clone number

EPR11266(B)

Isotype

IgG

Carrier free

No

Reacts with

Human

Applications

WB, IHC-P, IP

applications

Immunogen

The exact immunogen used to generate this antibody is proprietary information.

Reactivity data

{ "title": "Reactivity Data", "filters": { "stats": ["", "Species", "Dilution Info", "Notes"], "tabs": { "all-applications": {"fullname" : "All Applications", "shortname": "All Applications"}, "IHCP" : {"fullname" : "Immunohistochemistry (Formalin/PFA-fixed paraffin-embedded sections)", "shortname":"IHC-P"}, "IP" : {"fullname" : "Immunoprecipitation", "shortname":"IP"}, "WB" : {"fullname" : "Western blot", "shortname":"WB"}, "ICCIF" : {"fullname" : "Immunocytochemistry/ Immunofluorescence", "shortname":"ICC/IF"} }, "product-promise": { "all": "all", "testedAndGuaranteed": "tested", "guaranteed": "expected", "predicted": "predicted", "notRecommended": "not-recommended" } }, "values": { "Human": { "IHCP-species-checked": "testedAndGuaranteed", "IHCP-species-dilution-info": "1/100 - 1/250", "IHCP-species-notes": "<p></p>", "IP-species-checked": "testedAndGuaranteed", "IP-species-dilution-info": "1/10 - 1/100", "IP-species-notes": "<p></p>", "WB-species-checked": "testedAndGuaranteed", "WB-species-dilution-info": "1/1000 - 1/5000", "WB-species-notes": "<p></p>", "ICCIF-species-checked": "notRecommended", "ICCIF-species-dilution-info": "", "ICCIF-species-notes": "<p></p>" } } }

Product details

Species reactivity
Mouse, Rat: We have preliminary internal testing data to indicate this antibody may not react with these species.
Please contact us for more information.

Patented technology
Our RabMAb® technology is a patented hybridoma-based technology for making rabbit monoclonal antibodies. For details on our patents, please refer to RabMAb® patents.

What are the advantages of a recombinant monoclonal antibody?
This product is a recombinant monoclonal antibody, which offers several advantages including:

  • - High batch-to-batch consistency and reproducibility
  • - Improved sensitivity and specificity
  • - Long-term security of supply
  • - Animal-free batch production

For more information, read more on recombinant antibodies.

Properties and storage information

Form
Liquid
Purification technique
Affinity purification Protein A
Storage buffer
pH: 7.2 - 7.4 Constituents: PBS, 40% Glycerol (glycerin, glycerine), 0.05% BSA
Shipped at conditions
Blue Ice
Appropriate short-term storage duration
1-2 weeks
Appropriate short-term storage conditions
+4°C
Appropriate long-term storage conditions
-20°C
Aliquoting information
Upon delivery aliquot
Storage information
Avoid freeze / thaw cycle

Supplementary information

This supplementary information is collated from multiple sources and compiled automatically.

The AKAP-associated Sperm Protein also known as ROPN1L functions as a regulatory protein in spermatozoa. It has a molecular mass of approximately 24 kDa and exhibits expression in testicular tissue particularly in the sperm flagella. As a member of the A-kinase anchoring proteins (AKAPs) family it binds to protein kinase A (PKA) thereby localizing it to specific subcellular compartments. This localization is vital for the regulation of intracellular signaling pathways and is fundamental to the functions that the sperm must perform.
Biological function summary

AKAP-associated Sperm Protein plays an important role in sperm motility and structural integrity. It participates as part of a protein complex involving other proteins that modulate the actin cytoskeleton important for cellular movement and stability. Its interactions within this complex significantly affect the dynamics of cellular scaffolding where it helps maintain the proper organization and facilitates signal transduction linked to motility.

Pathways

AKAP-associated Sperm Protein integrates into signaling pathways that regulate cAMP levels. This protein links with the cyclic adenosine monophosphate (cAMP) signaling pathway which is important for the regulation of energy metabolism and neurotransmitter actions. Other proteins it interacts with include protein kinase A (PKA) and other signaling intermediates which together guide signal transduction impacting cellular responses and function particularly in reproductive processes.

AKAP-associated Sperm Protein connects to infertility issues and ciliary dyskinesia. Abnormal function of this target protein can lead to compromised sperm motility which is often linked to male fertility problems. In the case of ciliary dyskinesia the protein may interact with other related proteins like DYX1C1 leading to defects in ciliary movement. These dysfunctions underline the significance of proper AKAP-associated Sperm Protein activity within reproductive health.

Product protocols

For this product, it's our understanding that no specific protocols are required. You can visit:

Target data

Functions as part of axonemal radial spoke complexes that play an important part in the motility of sperm and cilia. Important for male fertility. With ROPN1, involved in fibrous sheath integrity and sperm motility, plays a role in PKA-dependent signaling processes required for spermatozoa capacitation.
See full target information ROPN1L

Publications (1)

Recent publications for all applications. Explore the full list and refine your search

Cell reports 40:111312 PubMed36070702

2022

Molecular convergence between Down syndrome and fragile X syndrome identified using human pluripotent stem cell models.

Applications

Unspecified application

Species

Unspecified reactive species

Sara G Susco,Sulagna Ghosh,Patrizia Mazzucato,Gabriella Angelini,Amanda Beccard,Victor Barrera,Martin H Berryer,Angelica Messana,Daisy Lam,Dane Z Hazelbaker,Lindy E Barrett
View all publications

Product promise

We are committed to supporting your work with high-quality reagents, and we're here for you every step of the way. In the unlikely event that one of our products does not perform as expected, you're protected by our Product Promise.
For full details, please see our Terms & Conditions

Please note: All products are 'FOR RESEARCH USE ONLY. NOT FOR USE IN DIAGNOSTIC OR THERAPEUTIC PROCEDURES'.

For licensing inquiries, please contact partnerships@abcam.com