JavaScript is disabled in your browser. Please enable JavaScript to view this website.
AB192865

Anti-AKR1B10 antibody [EPR14421]

Be the first to review this product! Submit a review

|

(4 Publications)

Rabbit Recombinant Monoclonal AKR1B10 antibody. Suitable for WB, ICC/IF, Flow Cyt (Intra), IHC-P and reacts with Human samples. Cited in 4 publications.

View Alternative Names

AKR1B11, AKR1B10, Aldo-keto reductase family 1 member B10, ARL-1, Aldose reductase-like, Aldose reductase-related protein, Small intestine reductase, ARP, hARP, SI reductase

6 Images
Western blot - Anti-AKR1B10 antibody [EPR14421] (AB192865)
  • WB

Supplier Data

Western blot - Anti-AKR1B10 antibody [EPR14421] (AB192865)

Blocking buffer and concentration : 5% NFDM/TBST

All lanes:

Western blot - Anti-AKR1B10 antibody [EPR14421] (ab192865) at 1/10000 dilution

All lanes:

A549 cell lysate at 20 µg

Secondary

All lanes:

Goat Anti-Rabbit IgG, (H+L), Peroxidase conjugated at 1/1000 dilution

Predicted band size: 36 kDa

Observed band size: 36 kDa

false

Flow Cytometry (Intracellular) - Anti-AKR1B10 antibody [EPR14421] (AB192865)
  • Flow Cyt (Intra)

Supplier Data

Flow Cytometry (Intracellular) - Anti-AKR1B10 antibody [EPR14421] (AB192865)

Intracellular flow cytometric analysis of A549 cells labeling AKR1B10 using ab192865 at a 1/50 dilution (red). Goat anti rabbit IgG (FITC) was used as the secondary antibody at a 1/150 dilution. Isotype control Rabbit monoclonal IgG (black). Unlabeled control cells without incubation with primary antibody and secondary antibody (blue). Cells were fixed in 2% paraformaldehyde.

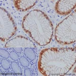
Immunohistochemistry (Formalin/PFA-fixed paraffin-embedded sections) - Anti-AKR1B10 antibody [EPR14421] (AB192865)
  • IHC-P

Supplier Data

Immunohistochemistry (Formalin/PFA-fixed paraffin-embedded sections) - Anti-AKR1B10 antibody [EPR14421] (AB192865)

Immunohistochemical analysis of paraffin embedded human stomach tissue sections labeling AKR1B10 using ab192865 at a 1/1,000 dilution. A prediluted HRP Polymer for Rabbit IgG was used as the secondary antibody. Hematoxylin counterstain.

Perform heat mediated antigen retrieval with Tris/EDTA buffer pH 9.0 before commencing with IHC staining protocol.

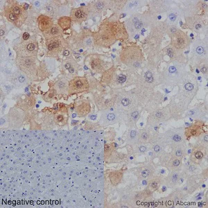
Immunohistochemistry (Formalin/PFA-fixed paraffin-embedded sections) - Anti-AKR1B10 antibody [EPR14421] (AB192865)
  • IHC-P

Supplier Data

Immunohistochemistry (Formalin/PFA-fixed paraffin-embedded sections) - Anti-AKR1B10 antibody [EPR14421] (AB192865)

Immunohistochemical analysis of paraffin embedded Human liver tissue labeling AKR1B10 with ab192865 at a 1/1000 dilution. A prediluted HRP Polymer for Rabbit IgG was used as the secondary antibody. Hematoxylin counterstain.

Perform heat mediated antigen retrieval with Tris/EDTA buffer pH 9.0 before commencing with IHC staining protocol.

Immunocytochemistry/ Immunofluorescence - Anti-AKR1B10 antibody [EPR14421] (AB192865)
  • ICC/IF

Supplier Data

Immunocytochemistry/ Immunofluorescence - Anti-AKR1B10 antibody [EPR14421] (AB192865)

Immunofluorescent analysis of 4% paraformaldehyde fixed SW480 cells labeling AKR1B10 with ab192865 at a 1/50 dilution. A Goat anti rabbit IgG (Alexa Fluor®488) (ab150077) was used as the secondary antibody at a 1/400 dilution. Counterstain DAPI. Cells were permeabilized using 0.1% Triton X-100.

Western blot - Anti-AKR1B10 antibody [EPR14421] (AB192865)
  • WB

Supplier Data

Western blot - Anti-AKR1B10 antibody [EPR14421] (AB192865)

Blocking buffer and concentration : 5% NFDM/TBST

All lanes:

Western blot - Anti-AKR1B10 antibody [EPR14421] (ab192865) at 1/1000 dilution

All lanes:

SW480 cell lysate at 20 µg

Secondary

All lanes:

Goat Anti-Rabbit IgG, (H+L), Peroxidase conjugated at 1/1000 dilution

Predicted band size: 36 kDa

Observed band size: 36 kDa

false

  • Carrier free

    Anti-AKR1B10 antibody [EPR14421] - BSA and Azide free

  • 660 APC

    APC Anti-AKR1B10 antibody [EPR14421]

  • HRP

    HRP Anti-AKR1B10 antibody [EPR14421]

  • 665 Alexa Fluor® 647

    Alexa Fluor® 647 Anti-AKR1B10 antibody [EPR14421]

  • 617 Alexa Fluor® 594

    Alexa Fluor® 594 Anti-AKR1B10 antibody [EPR14421]

  • 565 Alexa Fluor® 555

    Alexa Fluor® 555 Anti-AKR1B10 antibody [EPR14421]

  • 578 PE

    PE Anti-AKR1B10 antibody [EPR14421]

  • 519 Alexa Fluor® 488

    Alexa Fluor® 488 Anti-AKR1B10 antibody [EPR14421]

  • 603 Alexa Fluor® 568

    Alexa Fluor® 568 Anti-AKR1B10 antibody [EPR14421]

  • 775 Alexa Fluor® 750

    Alexa Fluor® 750 Anti-AKR1B10 antibody [EPR14421]

Key facts

Host species

Rabbit

Clonality

Monoclonal

Clone number

EPR14421

Isotype

IgG

Carrier free

No

Reacts with

Human

Applications

ICC/IF, Flow Cyt (Intra), WB, IHC-P

applications

Immunogen

The exact immunogen used to generate this antibody is proprietary information.

Reactivity data

{ "title": "Reactivity Data", "filters": { "stats": ["", "Species", "Dilution Info", "Notes"], "tabs": { "all-applications": {"fullname" : "All Applications", "shortname": "All Applications"}, "WB" : {"fullname" : "Western blot", "shortname":"WB"}, "ICCIF" : {"fullname" : "Immunocytochemistry/ Immunofluorescence", "shortname":"ICC/IF"}, "FlowCytIntra" : {"fullname" : "Flow Cytometry (Intracellular)", "shortname":"Flow Cyt (Intra)"}, "IHCP" : {"fullname" : "Immunohistochemistry (Formalin/PFA-fixed paraffin-embedded sections)", "shortname":"IHC-P"} }, "product-promise": { "all": "all", "testedAndGuaranteed": "tested", "guaranteed": "expected", "predicted": "predicted", "notRecommended": "not-recommended" } }, "values": { "Human": { "WB-species-checked": "testedAndGuaranteed", "WB-species-dilution-info": "1/1000 - 1/10000", "WB-species-notes": "<p></p> Perform heat-mediated antigen retrieval with Tris/EDTA buffer pH 9.0 before commencing with IHC staining protocol.", "ICCIF-species-checked": "testedAndGuaranteed", "ICCIF-species-dilution-info": "1/50", "ICCIF-species-notes": "<p></p>", "FlowCytIntra-species-checked": "testedAndGuaranteed", "FlowCytIntra-species-dilution-info": "1/50", "FlowCytIntra-species-notes": "<p><a href='/en-us/products/primary-antibodies/rabbit-igg-monoclonal-epr25a-isotype-control-ab172730'>ab172730</a> - Rabbit monoclonal IgG, is suitable for use as an isotype control with this antibody.</p>", "IHCP-species-checked": "testedAndGuaranteed", "IHCP-species-dilution-info": "1/500 - 1/1000", "IHCP-species-notes": "<p></p> Perform heat-mediated antigen retrieval with Tris/EDTA buffer pH 9.0 before commencing with IHC staining protocol." } } }

You may be interested in:

AB254506

Human AKR1B10 ELISA Kit

0

0 Reviews

View product

We recommend this product because it’s often used in the same experiment or related research.

We advise that you always check the datasheet to ensure it fits your experiments, or contact ourtechnical teamfor help.

Product details

Patented technology
Our RabMAb® technology is a patented hybridoma-based technology for making rabbit monoclonal antibodies. For details on our patents, please refer to RabMAb® patents.

What are the advantages of a recombinant monoclonal antibody?
This product is a recombinant monoclonal antibody, which offers several advantages including:

  • - High batch-to-batch consistency and reproducibility
  • - Improved sensitivity and specificity
  • - Long-term security of supply
  • - Animal-free batch production

For more information, read more on recombinant antibodies.

Properties and storage information

Form
Liquid
Purification technique
Affinity purification Protein A
Storage buffer
pH: 7.2 - 7.4 Preservative: 0.01% Sodium azide Constituents: PBS, 40% Glycerol (glycerin, glycerine), 0.05% BSA
Shipped at conditions
Blue Ice
Appropriate short-term storage duration
1-2 weeks
Appropriate short-term storage conditions
+4°C
Appropriate long-term storage conditions
-20°C
Aliquoting information
Upon delivery aliquot
Storage information
Avoid freeze / thaw cycle

Supplementary information

This supplementary information is collated from multiple sources and compiled automatically.

Aldo-keto reductase family 1 member B10 (AKR1B10) also known as ARL-1 (aldo-keto reductase-like-1) is an enzyme encoded by the AKR1B10 gene. The enzyme has a molecular weight of approximately 36 kDa. It is mainly expressed in the liver gastrointestinal tract and to a lesser extent in the lung and adrenal gland. As an enzyme AKR1B10 catalyzes the reduction of carbonyl groups to their corresponding alcohols using NADPH as a cofactor. This function plays a role in the detoxification of aldehydes and ketones.
Biological function summary

AKR1B10 protects cells from disorders caused by toxic aldehydes. It is important in lipid biosynthesis through the reduction of retinaldehyde to retinol which is part of the retinoic acid metabolism. AKR1B10 forms part of the aldo-keto reductase superfamily consisting of multiple related enzymes that regulate various cellular processes. This enzyme class is involved in stabilizing the oxidoreduction balance within cells.

Pathways

AKR1B10 engages in lipid metabolism and the protection against oxidative stress. It is an important player in the retinoid metabolism and signaling pathway where it collaborates with enzymes like retinaldehyde dehydrogenase. Additionally AKR1B10 is involved in the polyol pathway although its exact role here continues to be studied. The enzyme's relationship with NADPH suggests it could intersect with systems managing cellular responses to oxidative stress.

AKR1B10 is associated with certain cancers and complications related to chronic alcohol consumption. Overexpression of AKR1B10 has been linked to hepatocellular carcinoma where it possibly collaborates with proteins like the carcinogenic beta-catenin pathway. Furthermore it plays a part in promoting resistance to chemotherapeutic drugs due to its detoxification role. In liver diseases caused by alcohol AKR1B10 helps protect hepatocytes from oxidative and aldehyde stress with aldehyde dehydrogenase being another involved enzyme in these processes.

Product protocols

For this product, it's our understanding that no specific protocols are required. You can visit:

Target data

Catalyzes the NADPH-dependent reduction of a wide variety of carbonyl-containing compounds to their corresponding alcohols (PubMed : 12732097, PubMed : 18087047, PubMed : 19013440, PubMed : 19563777, PubMed : 9565553). Displays strong enzymatic activity toward all-trans-retinal, 9-cis-retinal, and 13-cis-retinal (PubMed : 12732097, PubMed : 18087047). Plays a critical role in detoxifying dietary and lipid-derived unsaturated carbonyls, such as crotonaldehyde, 4-hydroxynonenal, trans-2-hexenal, trans-2,4-hexadienal and their glutathione-conjugates carbonyls (GS-carbonyls) (PubMed : 19013440, PubMed : 19563777). Displays no reductase activity towards glucose (PubMed : 12732097).
See full target information AKR1B10

Publications (4)

Recent publications for all applications. Explore the full list and refine your search

Oncology letters 27:18 PubMed38034486

2023

AKR1B10 inhibits the proliferation and metastasis of hepatocellular carcinoma cells by regulating the PI3K/AKT pathway.

Applications

Unspecified application

Species

Unspecified reactive species

Ke Tian,Ying Deng,Zhipeng Li,Huaxin Zhou,Hui Yao

Journal of translational medicine 21:547 PubMed37587486

2023

Warburg effect enhanced by AKR1B10 promotes acquired resistance to pemetrexed in lung cancer-derived brain metastasis.

Applications

Unspecified application

Species

Unspecified reactive species

Wenzhe Duan,Wenwen Liu,Shengkai Xia,Yang Zhou,Mengyi Tang,Mingxin Xu,Manqing Lin,Xinyu Li,Qi Wang

Frontiers in molecular biosciences 10:1124956 PubMed36845547

2023

Identification of AKR1B10 as a key gene in primary biliary cholangitis by integrated bioinformatics analysis and experimental validation.

Applications

Unspecified application

Species

Unspecified reactive species

Huiwen Wang,Jian Zhang,Jinqing Liu,Yongfang Jiang,Lei Fu,Shifang Peng

British journal of cancer 126:1795-1805 PubMed35217799

2022

Cathepsin F and Fibulin-1 as novel diagnostic biomarkers for brain metastasis of non-small cell lung cancer.

Applications

Unspecified application

Species

Unspecified reactive species

Song Wei,Wenwen Liu,Mingxin Xu,Huamin Qin,Chang Liu,Rui Zhang,Sihai Zhou,Encheng Li,Zhiyu Liu,Qi Wang
View all publications

Product promise

We are committed to supporting your work with high-quality reagents, and we're here for you every step of the way. In the unlikely event that one of our products does not perform as expected, you're protected by our Product Promise.
For full details, please see our Terms & Conditions

Associated Products

Select an associated product type
Alternative Product
Primary Antibodies

AB96417

Anti-AKR1B10 antibody

primary-antibodies

akr1b10-antibody-ab96417

5

(2 reviews)

Alternative Product
Primary Antibodies

AB139685

Anti-AKR1B10 antibody [EPR9767(B)]

primary-antibodies

akr1b10-antibody-epr9767b-ab139685

0

(0 reviews)

Please note: All products are 'FOR RESEARCH USE ONLY. NOT FOR USE IN DIAGNOSTIC OR THERAPEUTIC PROCEDURES'.

For licensing inquiries, please contact partnerships@abcam.com