JavaScript is disabled in your browser. Please enable JavaScript to view this website.
AB232623

Anti-AKR1B10 antibody [EPR14421] - BSA and Azide free

Be the first to review this product! Submit a review

|

(2 Publications)

Rabbit Recombinant Monoclonal AKR1B10 antibody. Carrier free. Suitable for WB, ICC/IF, Flow Cyt (Intra), IHC-P and reacts with Human samples. Cited in 2 publications.

View Alternative Names

AKR1B11, AKR1B10, Aldo-keto reductase family 1 member B10, ARL-1, Aldose reductase-like, Aldose reductase-related protein, Small intestine reductase, ARP, hARP, SI reductase

4 Images
Flow Cytometry (Intracellular) - Anti-AKR1B10 antibody [EPR14421] - BSA and Azide free (AB232623)
  • Flow Cyt (Intra)

Supplier Data

Flow Cytometry (Intracellular) - Anti-AKR1B10 antibody [EPR14421] - BSA and Azide free (AB232623)

Intracellular flow cytometric analysis of A549 cells labeling AKR1B10 using ab192865 at a 1/50 dilution (red). Goat anti rabbit IgG (FITC) was used as the secondary antibody at a 1/150 dilution. Isotype control Rabbit monoclonal IgG (black). Unlabeled control cells without incubation with primary antibody and secondary antibody (blue). Cells were fixed in 2% paraformaldehyde.

This data was developed using the same antibody clone in a different buffer formulation containing PBS, BSA, glycerol, and sodium azide (ab192865).

Immunocytochemistry/ Immunofluorescence - Anti-AKR1B10 antibody [EPR14421] - BSA and Azide free (AB232623)
  • ICC/IF

Supplier Data

Immunocytochemistry/ Immunofluorescence - Anti-AKR1B10 antibody [EPR14421] - BSA and Azide free (AB232623)

Immunofluorescent analysis of 4% paraformaldehyde fixed SW480 cells labeling AKR1B10 with ab192865 at a 1/50 dilution. A Goat anti rabbit IgG (Alexa Fluor®488) (ab150077) was used as the secondary antibody at a 1/400 dilution. Counterstain DAPI. Cells were permeabilized using 0.1% Triton X-100.

This data was developed using the same antibody clone in a different buffer formulation containing PBS, BSA, glycerol, and sodium azide (ab192865).

Immunohistochemistry (Formalin/PFA-fixed paraffin-embedded sections) - Anti-AKR1B10 antibody [EPR14421] - BSA and Azide free (AB232623)
  • IHC-P

Supplier Data

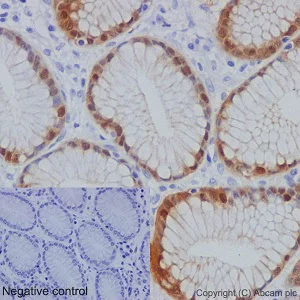
Immunohistochemistry (Formalin/PFA-fixed paraffin-embedded sections) - Anti-AKR1B10 antibody [EPR14421] - BSA and Azide free (AB232623)

Immunohistochemical analysis of paraffin embedded human stomach tissue sections labeling AKR1B10 using ab192865 at a 1/1,000 dilution. A prediluted HRP Polymer for Rabbit IgG was used as the secondary antibody. Hematoxylin counterstain.

This data was developed using the same antibody clone in a different buffer formulation containing PBS, BSA, glycerol, and sodium azide (ab192865).

Heat mediated antigen retrieval was performed with Tris/EDTA buffer pH 9.0 before commencing with IHC staining protocol.

Immunohistochemistry (Formalin/PFA-fixed paraffin-embedded sections) - Anti-AKR1B10 antibody [EPR14421] - BSA and Azide free (AB232623)
  • IHC-P

Supplier Data

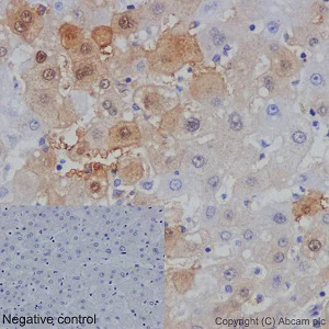
Immunohistochemistry (Formalin/PFA-fixed paraffin-embedded sections) - Anti-AKR1B10 antibody [EPR14421] - BSA and Azide free (AB232623)

Immunohistochemical analysis of paraffin embedded Human liver tissue labeling AKR1B10 with ab192865 at a 1/1000 dilution. A prediluted HRP Polymer for Rabbit IgG was used as the secondary antibody. Hematoxylin counterstain.

This data was developed using the same antibody clone in a different buffer formulation containing PBS, BSA, glycerol, and sodium azide (ab192865).

Heat mediated antigen retrieval was performed with Tris/EDTA buffer pH 9.0 before commencing with IHC staining protocol.

  • Unconjugated

    Anti-AKR1B10 antibody [EPR14421]

  • 775 Alexa Fluor® 750

    Alexa Fluor® 750 Anti-AKR1B10 antibody [EPR14421]

  • 578 PE

    PE Anti-AKR1B10 antibody [EPR14421]

  • 660 APC

    APC Anti-AKR1B10 antibody [EPR14421]

  • HRP

    HRP Anti-AKR1B10 antibody [EPR14421]

  • 519 Alexa Fluor® 488

    Alexa Fluor® 488 Anti-AKR1B10 antibody [EPR14421]

  • 665 Alexa Fluor® 647

    Alexa Fluor® 647 Anti-AKR1B10 antibody [EPR14421]

  • 617 Alexa Fluor® 594

    Alexa Fluor® 594 Anti-AKR1B10 antibody [EPR14421]

  • 565 Alexa Fluor® 555

    Alexa Fluor® 555 Anti-AKR1B10 antibody [EPR14421]

  • 603 Alexa Fluor® 568

    Alexa Fluor® 568 Anti-AKR1B10 antibody [EPR14421]

Key facts

Host species

Rabbit

Clonality

Monoclonal

Clone number

EPR14421

Isotype

IgG

Carrier free

Yes

Reacts with

Human

Applications

WB, Flow Cyt (Intra), ICC/IF, IHC-P

applications

Immunogen

The exact immunogen used to generate this antibody is proprietary information.

Reactivity data

{ "title": "Reactivity Data", "filters": { "stats": ["", "Species", "Dilution Info", "Notes"], "tabs": { "all-applications": {"fullname" : "All Applications", "shortname": "All Applications"}, "WB" : {"fullname" : "Western blot", "shortname":"WB"}, "ICCIF" : {"fullname" : "Immunocytochemistry/ Immunofluorescence", "shortname":"ICC/IF"}, "FlowCytIntra" : {"fullname" : "Flow Cytometry (Intracellular)", "shortname":"Flow Cyt (Intra)"}, "IHCP" : {"fullname" : "Immunohistochemistry (Formalin/PFA-fixed paraffin-embedded sections)", "shortname":"IHC-P"} }, "product-promise": { "all": "all", "testedAndGuaranteed": "tested", "guaranteed": "expected", "predicted": "predicted", "notRecommended": "not-recommended" } }, "values": { "Human": { "WB-species-checked": "guaranteed", "WB-species-dilution-info": "", "WB-species-notes": "<p></p>", "ICCIF-species-checked": "testedAndGuaranteed", "ICCIF-species-dilution-info": "", "ICCIF-species-notes": "<p></p>", "FlowCytIntra-species-checked": "testedAndGuaranteed", "FlowCytIntra-species-dilution-info": "", "FlowCytIntra-species-notes": "<p><a href='/en-us/products/primary-antibodies/rabbit-igg-monoclonal-epr25a-isotype-control-ab172730'>ab172730</a> - Rabbit monoclonal IgG, is suitable for use as an isotype control with this antibody.</p>", "IHCP-species-checked": "testedAndGuaranteed", "IHCP-species-dilution-info": "", "IHCP-species-notes": "<p></p>" } } }

Product details

ab232623 is the carrier-free version of ab192865.

Patented technology
Our RabMAb® technology is a patented hybridoma-based technology for making rabbit monoclonal antibodies. For details on our patents, please refer to RabMAb® patents.

What are the advantages of a recombinant monoclonal antibody?
This product is a recombinant monoclonal antibody, which offers several advantages including:

  • - High batch-to-batch consistency and reproducibility
  • - Improved sensitivity and specificity
  • - Long-term security of supply
  • - Animal-free batch production

For more information, read more on recombinant antibodies.

Conjugation ready
Our carrier-free antibodies are typically supplied in a PBS-only formulation, purified and free of BSA, sodium azide and glycerol. This conjugation-ready format is designed for use with fluorochromes, metal isotopes, oligonucleotides, and enzymes, which makes them ideal for antibody labelling, functional and cell-based assays, flow-based assays (e.g. mass cytometry) and Multiplex Imaging applications.

Use our conjugation kits for antibody conjugates that are ready-to-use in as little as 20 minutes with 1 minute hands-on-time and 100% antibody recovery: available for fluorescent dyes, HRP, biotin and gold.

Compatibility
This product is compatible with the Maxpar® Antibody Labeling Kit from Fluidigm, without the need for antibody preparation. Maxpar® is a trademark of Fluidigm Canada Inc.

Properties and storage information

Form
Liquid
Purification technique
Affinity purification Protein A
Storage buffer
pH: 7.2 - 7.4 Constituents: PBS
Shipped at conditions
Blue Ice
Appropriate short-term storage conditions
+4°C
Appropriate long-term storage conditions
+4°C
Storage information
Do Not Freeze

Supplementary information

This supplementary information is collated from multiple sources and compiled automatically.

Aldo-keto reductase family 1 member B10 (AKR1B10) also known as ARL-1 (aldo-keto reductase-like-1) is an enzyme encoded by the AKR1B10 gene. The enzyme has a molecular weight of approximately 36 kDa. It is mainly expressed in the liver gastrointestinal tract and to a lesser extent in the lung and adrenal gland. As an enzyme AKR1B10 catalyzes the reduction of carbonyl groups to their corresponding alcohols using NADPH as a cofactor. This function plays a role in the detoxification of aldehydes and ketones.
Biological function summary

AKR1B10 protects cells from disorders caused by toxic aldehydes. It is important in lipid biosynthesis through the reduction of retinaldehyde to retinol which is part of the retinoic acid metabolism. AKR1B10 forms part of the aldo-keto reductase superfamily consisting of multiple related enzymes that regulate various cellular processes. This enzyme class is involved in stabilizing the oxidoreduction balance within cells.

Pathways

AKR1B10 engages in lipid metabolism and the protection against oxidative stress. It is an important player in the retinoid metabolism and signaling pathway where it collaborates with enzymes like retinaldehyde dehydrogenase. Additionally AKR1B10 is involved in the polyol pathway although its exact role here continues to be studied. The enzyme's relationship with NADPH suggests it could intersect with systems managing cellular responses to oxidative stress.

AKR1B10 is associated with certain cancers and complications related to chronic alcohol consumption. Overexpression of AKR1B10 has been linked to hepatocellular carcinoma where it possibly collaborates with proteins like the carcinogenic beta-catenin pathway. Furthermore it plays a part in promoting resistance to chemotherapeutic drugs due to its detoxification role. In liver diseases caused by alcohol AKR1B10 helps protect hepatocytes from oxidative and aldehyde stress with aldehyde dehydrogenase being another involved enzyme in these processes.

Product protocols

For this product, it's our understanding that no specific protocols are required. You can visit:

Target data

Catalyzes the NADPH-dependent reduction of a wide variety of carbonyl-containing compounds to their corresponding alcohols (PubMed : 12732097, PubMed : 18087047, PubMed : 19013440, PubMed : 19563777, PubMed : 9565553). Displays strong enzymatic activity toward all-trans-retinal, 9-cis-retinal, and 13-cis-retinal (PubMed : 12732097, PubMed : 18087047). Plays a critical role in detoxifying dietary and lipid-derived unsaturated carbonyls, such as crotonaldehyde, 4-hydroxynonenal, trans-2-hexenal, trans-2,4-hexadienal and their glutathione-conjugates carbonyls (GS-carbonyls) (PubMed : 19013440, PubMed : 19563777). Displays no reductase activity towards glucose (PubMed : 12732097).
See full target information AKR1B10

Publications (2)

Recent publications for all applications. Explore the full list and refine your search

Cell biology and toxicology 41:103 PubMed40515797

2025

GelMA hydrogel-loaded extracellular vesicles derived from keratinocytes promote skin microvasculature regeneration and wound healing in diabetic mice through activation of the PDGF-induced PI3K/AKT pathway.

Applications

Unspecified application

Species

Unspecified reactive species

Qian Li,Leilei Zhou,Wenqiang Li,Weiheng Zhao,Weimin Chen,Mohammed S AlQranei,Jiarui Bi,Ping Huang

Nature metabolism 5:572-578 PubMed37037945

2023

A proteo-transcriptomic map of non-alcoholic fatty liver disease signatures.

Applications

Unspecified application

Species

Unspecified reactive species

Olivier Govaere,Megan Hasoon,Leigh Alexander,Simon Cockell,Dina Tiniakos,Mattias Ekstedt,Jörn M Schattenberg,Jerome Boursier,Elisabetta Bugianesi,Vlad Ratziu,Ann K Daly,Quentin M Anstee
View all publications

Product promise

We are committed to supporting your work with high-quality reagents, and we're here for you every step of the way. In the unlikely event that one of our products does not perform as expected, you're protected by our Product Promise.
For full details, please see our Terms & Conditions

Please note: All products are 'FOR RESEARCH USE ONLY. NOT FOR USE IN DIAGNOSTIC OR THERAPEUTIC PROCEDURES'.

For licensing inquiries, please contact partnerships@abcam.com