JavaScript is disabled in your browser. Please enable JavaScript to view this website.
AB96087

Anti-AKR1C1/AKR1C2 antibody

Be the first to review this product! Submit a review

|

(2 Publications)

Rabbit Polyclonal AKR1C1 antibody. Suitable for WB, IHC-P and reacts with Mouse, Human samples. Cited in 2 publications. Immunogen corresponding to Recombinant Fragment Protein within Human AKR1C1 aa 1-250.

View Alternative Names

DDH, DDH1, AKR1C1, Aldo-keto reductase family 1 member C1, 20alpha-hydroxysteroid dehydrogenase, 3beta-hydroxysteroid 3-dehydrogenase, Chlordecone reductase homolog HAKRC, Dihydrodiol dehydrogenase 1, High-affinity hepatic bile acid-binding protein, 20-alpha-HSD, DD1, HBAB, DDH2, AKR1C2, Aldo-keto reductase family 1 member C2, Chlordecone reductase homolog HAKRD, Dihydrodiol dehydrogenase 2, Dihydrodiol dehydrogenase/bile acid-binding protein, Type III 3-alpha-hydroxysteroid dehydrogenase, DD-2, DD2, DD/BABP, 3-alpha-HSD3

7 Images
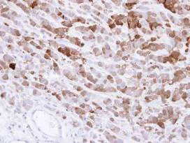
Immunohistochemistry (Formalin/PFA-fixed paraffin-embedded sections) - Anti-AKR1C1/AKR1C2 antibody (AB96087)
  • IHC-P

Unknown

Immunohistochemistry (Formalin/PFA-fixed paraffin-embedded sections) - Anti-AKR1C1/AKR1C2 antibody (AB96087)

Immunohistochemical analysis of AKR1C1 in paraffin embedded MDA-MB-468 xenograft, using ab96087 at a 1/500 dilution.

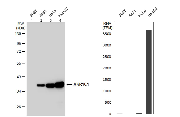
Western blot - Anti-AKR1C1/AKR1C2 antibody (AB96087)
  • WB

Supplier Data

Western blot - Anti-AKR1C1/AKR1C2 antibody (AB96087)

Samples were separated by 10% SDS-PAGE.

All lanes:

Western blot - Anti-AKR1C1/AKR1C2 antibody (ab96087) at 1/1000 dilution

Lane 1:

293T Whole cell extract at 30 µg

Lane 2:

A431 Whole cell extract at 30 µg

Lane 3:

HeLa Whole cell extract at 30 µg

Lane 4:

HepG2 Whole cell extract at 30 µg

Secondary

All lanes:

HRP-conjugated anti-rabbit IgG antibody

Predicted band size: 37 kDa

false

Western blot - Anti-AKR1C1/AKR1C2 antibody (AB96087)
  • WB

Supplier Data

Western blot - Anti-AKR1C1/AKR1C2 antibody (AB96087)

Samples were separated by 10% SDS-PAGE. Corresponding RNA expression data for the same cell lines are based on Human Protein Atlas program

All lanes:

Western blot - Anti-AKR1C1/AKR1C2 antibody (ab96087) at 1/1000 dilution

Lane 1:

293T Whole cell extract at 30 µg

Lane 2:

A431 Whole cell extract at 30 µg

Lane 3:

HeLa Whole cell extract at 30 µg

Lane 4:

HepG2 Whole cell extract at 30 µg

Secondary

All lanes:

HRP-conjugated anti-rabbit IgG antibody

Predicted band size: 37 kDa

false

Western blot - Anti-AKR1C1/AKR1C2 antibody (AB96087)
  • WB

Supplier Data

Western blot - Anti-AKR1C1/AKR1C2 antibody (AB96087)

Samples were separated by 10% SDS-PAGE. Corresponding RNA expression data for the same cell lines are based on Human Protein Atlas program

All lanes:

Western blot - Anti-AKR1C1/AKR1C2 antibody (ab96087) at 1/1000 dilution

Lane 1:

293T Whole cell extract at 30 µg

Lane 2:

A431 Whole cell extract at 30 µg

Lane 3:

HeLa Whole cell extract at 30 µg

Lane 4:

HepG2 Whole cell extract at 30 µg

Secondary

All lanes:

HRP-conjugated anti-rabbit IgG antibody

Predicted band size: 37 kDa

false

Western blot - Anti-AKR1C1/AKR1C2 antibody (AB96087)
  • WB

Supplier Data

Western blot - Anti-AKR1C1/AKR1C2 antibody (AB96087)

Samples were separated by 10% SDS-PAGE.

All lanes:

Western blot - Anti-AKR1C1/AKR1C2 antibody (ab96087) at 1/1000 dilution

All lanes:

A549 whole cell lysate at 30 µg

Secondary

All lanes:

HRP-conjugated anti rabbit IgG antibody

Predicted band size: 37 kDa

false

Western blot - Anti-AKR1C1/AKR1C2 antibody (AB96087)
  • WB

Supplier Data

Western blot - Anti-AKR1C1/AKR1C2 antibody (AB96087)

Samples were separated by 10% SDS-PAGE.

All lanes:

Western blot - Anti-AKR1C1/AKR1C2 antibody (ab96087) at 1/1000 dilution

Lane 1:

Non-transfected (-) 293T whole cell extracts at 30 µg

Lane 2:

Transfected (+) 293T whole cell extracts at 30 µg

Secondary

All lanes:

HRP-conjugated anti-rabbit IgG antibody

Predicted band size: 37 kDa

false

Western blot - Anti-AKR1C1/AKR1C2 antibody (AB96087)
  • WB

Supplier Data

Western blot - Anti-AKR1C1/AKR1C2 antibody (AB96087)

Samples were separated by 10% SDS-PAGE.

All lanes:

Western blot - Anti-AKR1C1/AKR1C2 antibody (ab96087) at 1/1000 dilution

All lanes:

Mouse liver lysate/extract at 50 µg

Secondary

All lanes:

HRP-conjugated anti rabbit IgG antibody

false

Key facts

Host species

Rabbit

Clonality

Polyclonal

Isotype

IgG

Carrier free

No

Reacts with

Human, Mouse

Applications

WB, IHC-P

applications

Immunogen

Recombinant Fragment Protein within Human AKR1C1 aa 1-250. The exact immunogen used to generate this antibody is proprietary information.

Q04828

Reactivity data

{ "title": "Reactivity Data", "filters": { "stats": ["", "Species", "Dilution Info", "Notes"], "tabs": { "all-applications": {"fullname" : "All Applications", "shortname": "All Applications"}, "WB" : {"fullname" : "Western blot", "shortname":"WB"}, "IHCP" : {"fullname" : "Immunohistochemistry (Formalin/PFA-fixed paraffin-embedded sections)", "shortname":"IHC-P"} }, "product-promise": { "all": "all", "testedAndGuaranteed": "tested", "guaranteed": "expected", "predicted": "predicted", "notRecommended": "not-recommended" } }, "values": { "Human": { "WB-species-checked": "testedAndGuaranteed", "WB-species-dilution-info": "1/500 - 1/3000", "WB-species-notes": "<p></p>", "IHCP-species-checked": "testedAndGuaranteed", "IHCP-species-dilution-info": "1/100 - 1/1000", "IHCP-species-notes": "<p></p>" }, "Mouse": { "WB-species-checked": "testedAndGuaranteed", "WB-species-dilution-info": "1/500 - 1/3000", "WB-species-notes": "<p></p>", "IHCP-species-checked": "guaranteed", "IHCP-species-dilution-info": "", "IHCP-species-notes": "" } } }

Properties and storage information

Form
Liquid
Purification technique
Affinity purification Immunogen
Storage buffer
pH: 7 Preservative: 0.025% Proclin 300 Constituents: PBS, 20% Glycerol (glycerin, glycerine)
Shipped at conditions
Blue Ice
Appropriate short-term storage conditions
+4°C
Appropriate long-term storage conditions
-20°C
Aliquoting information
Upon delivery aliquot
Storage information
Avoid freeze / thaw cycle

Supplementary information

This supplementary information is collated from multiple sources and compiled automatically.

The AKR1C1 and AKR1C2 are members of the aldo-keto reductase family. These enzymes also known as dihydrodiol dehydrogenases reduce a variety of substrates including steroids prostaglandins and xenobiotics. AKR1C1 has a molecular mass of approximately 37 kDa while AKR1C2 has a similar but slightly distinct mass. These proteins are expressed in various tissues including the liver prostate and mammary glands where they perform their enzymatic functions.
Biological function summary

The AKR1C1/AKR1C2 enzymes play significant roles in steroid hormone metabolism. They modulate the conversion of active hormones to their inactive forms and vice versa affecting the cellular concentration of these hormones. The proteins do not function as part of a larger complex but influence multiple biochemical processes through their enzymatic actions. Their roles in the regulation of sex steroids are important for maintaining normal cellular activity and tissue homeostasis.

Pathways

AKR1C1 and AKR1C2 are involved in intricate steroid hormone signaling and metabolism pathways. They engage with the androgen and estrogen receptor signaling pathways by modulating hormone availability. The interplay with enzymes like 5-alpha reductase and aromatase highlights their role in the balance of active and inactive hormone forms within these pathways. Their function can influence cellular proliferation and differentiation processes within different tissues.

AKR1C1/AKR1C2 have links to hormone-related cancers such as prostate and breast cancer. These enzymes impact the local hormone levels affecting cancer progression and response to therapy. Alterations in AKR1C1 and AKR1C2 expression or function can lead to hormone imbalances influencing cancer risk and treatment outcomes. Through their modulation of steroid hormones they connect to the activity of proteins like androgen and estrogen receptors which are critical in the pathogenesis of hormone-driven cancers.

Product protocols

For this product, it's our understanding that no specific protocols are required. You can visit:

Target data

Cytosolic aldo-keto reductase that catalyzes NADPH-dependent reduction of ketosteroids to hydroxysteroids. Displays broad substrate specificity with distinct positional and stereochemistry, primarily generating 20alpha-hydroxysteroids, but also 3alpha/beta- and 17beta-hydroxysteroids (PubMed : 10998348, PubMed : 11013348, PubMed : 14672942, PubMed : 19218247, PubMed : 11995921, PubMed : 12604236). Involved in neurosteroid metabolism. Reduces 5alpha-dihydrodeoxycorticosterone (5-alpha-DHDOC) to neuroactive steroid 3alpha,5alpha-tetrahydrodeoxycorticosterone (3alpha,5alpha-THDOC) known to alter neural excitability via allosteric activation of gamma-aminobutyric acid type A (GABAAR) receptors. Inactivates 3alpha-hydroxy-5alpha-pregnan-20-one (3alpha,5alpha-THP) into less potent neurosteroid 3alpha,20alpha-dihydroxy-5alpha-pregnane (PubMed : 11995921, PubMed : 12604236). Catalyzes the reduction of progesterone to less potent progestogen (20S)-hydroxypregn-4-en-3-one likely regulating ligand availability for progesterone receptors (PubMed : 10998348, PubMed : 11013348, PubMed : 12604236). In androgen catabolism, may predominantly act as a phase I enzyme by introducing a hydroxyl group prior to conjugation. It can nevertheless participate in the alternative phase II pathway by directly reducing sulfate- or glucuronide-conjugated androgens (PubMed : 19218247). In vitro can efficiently catalyze bidirectional conversion between ketosteroids and hydroxysteroids using NADPH/NADP(+) or NADH/NAD(+) as cofactors. In vivo however, the reductase activity prevails since the major reducing cofactor NADPH inhibits NAD(+)-dependent oxidase activity (PubMed : 14672942).
See full target information AKR1C1

Additional targets

AKR1C2

Publications (2)

Recent publications for all applications. Explore the full list and refine your search

Medical oncology (Northwood, London, England) 39:202 PubMed36175596

2022

CD36 accelerates the progression of hepatocellular carcinoma by promoting FAs absorption.

Applications

Unspecified application

Species

Unspecified reactive species

Lide Tao,Xiangmin Ding,Lele Yan,Guangcai Xu,Peijian Zhang,Anlai Ji,Lihong Zhang

Oncology letters 16:6445-6457 PubMed30405782

2018

Wentilactone A induces cell apoptosis by targeting AKR1C1 gene via the IGF-1R/IRS1/PI3K/AKT/Nrf2/FLIP/Caspase-3 signaling pathway in small cell lung cancer.

Applications

Unspecified application

Species

Unspecified reactive species

Wenli Jiang,Linghong Meng,Guangming Xu,Cuiting Lv,Hongliang Wang,He Tian,Ruohua Chen,Binghua Jiao,Bingui Wang,Caiguo Huang
View all publications

Product promise

We are committed to supporting your work with high-quality reagents, and we're here for you every step of the way. In the unlikely event that one of our products does not perform as expected, you're protected by our Product Promise.
For full details, please see our Terms & Conditions

Please note: All products are 'FOR RESEARCH USE ONLY. NOT FOR USE IN DIAGNOSTIC OR THERAPEUTIC PROCEDURES'.

For licensing inquiries, please contact partnerships@abcam.com