JavaScript is disabled in your browser. Please enable JavaScript to view this website.
AB183078

Anti-AKR1C1 antibody - C-terminal

Be the first to review this product! Submit a review

|

(2 Publications)

Rabbit Polyclonal AKR1C1 antibody. C-terminal. Suitable for WB, IHC-P and reacts with Human samples. Cited in 2 publications. Immunogen corresponding to Synthetic Peptide within Human AKR1C1 aa 250 to C-terminus.

View Alternative Names

DDH, DDH1, AKR1C1, Aldo-keto reductase family 1 member C1, 20-alpha-hydroxysteroid dehydrogenase, Chlordecone reductase homolog HAKRC, Dihydrodiol dehydrogenase 1, High-affinity hepatic bile acid-binding protein, 20-alpha-HSD, DD1, HBAB

2 Images
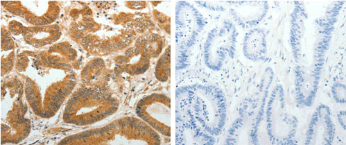
Immunohistochemistry (Formalin/PFA-fixed paraffin-embedded sections) - Anti-AKR1C1 antibody - C-terminal (AB183078)
  • IHC-P

Supplier Data

Immunohistochemistry (Formalin/PFA-fixed paraffin-embedded sections) - Anti-AKR1C1 antibody - C-terminal (AB183078)

Immunohistochemical analysis of paraffin-embedded Human colon cancer tissue labeling AKR1C1 with ab183078 at a 1/30 dilution, in the presence (right panel) or absence (left panel) of immunizing peptide.

Western blot - Anti-AKR1C1 antibody - C-terminal (AB183078)
  • WB

Supplier Data

Western blot - Anti-AKR1C1 antibody - C-terminal (AB183078)

All lanes:

Western blot - Anti-AKR1C1 antibody - C-terminal (ab183078) at 1/500 dilution

Lane 1:

Human liver cancer tissue lysate at 27 µg

Lane 2:

Human breast infiltrative duct tissue lysate at 27 µg

Lane 3:

Human fetal brain tissue lysate at 27 µg

Secondary

All lanes:

Goat anti Rabbit IgG - H&L (HRP) at 1/10000 dilution

Predicted band size: 37 kDa

true

Exposure time: 2min

Key facts

Host species

Rabbit

Clonality

Polyclonal

Isotype

IgG

Carrier free

No

Reacts with

Human

Applications

WB, IHC-P

applications

Immunogen

Synthetic Peptide within Human AKR1C1 aa 250 to C-terminus. The exact immunogen used to generate this antibody is proprietary information.

Q04828

Specificity

This antibody cross-reacts with AKR1C2.

Reactivity data

{ "title": "Reactivity Data", "filters": { "stats": ["", "Species", "Dilution Info", "Notes"], "tabs": { "all-applications": {"fullname" : "All Applications", "shortname": "All Applications"}, "WB" : {"fullname" : "Western blot", "shortname":"WB"}, "IHCP" : {"fullname" : "Immunohistochemistry (Formalin/PFA-fixed paraffin-embedded sections)", "shortname":"IHC-P"} }, "product-promise": { "all": "all", "testedAndGuaranteed": "tested", "guaranteed": "expected", "predicted": "predicted", "notRecommended": "not-recommended" } }, "values": { "Human": { "WB-species-checked": "testedAndGuaranteed", "WB-species-dilution-info": "1/500 - 1/2000", "WB-species-notes": "<p></p>", "IHCP-species-checked": "testedAndGuaranteed", "IHCP-species-dilution-info": "1/50 - 1/200", "IHCP-species-notes": "<p></p>" }, "Mouse": { "WB-species-checked": "predicted", "WB-species-dilution-info": "", "WB-species-notes": "", "IHCP-species-checked": "predicted", "IHCP-species-dilution-info": "", "IHCP-species-notes": "" } } }

Properties and storage information

Form
Liquid
Purification technique
Affinity purification Immunogen
Storage buffer
pH: 7.4 Preservative: 0.05% Sodium azide Constituents: PBS, 50% Glycerol (glycerin, glycerine)
Shipped at conditions
Blue Ice
Appropriate short-term storage duration
1-2 weeks
Appropriate short-term storage conditions
+4°C
Appropriate long-term storage conditions
-20°C
Aliquoting information
Upon delivery aliquot
Storage information
Avoid freeze / thaw cycle

Supplementary information

This supplementary information is collated from multiple sources and compiled automatically.

AKR1C1 also known as Aldo-Keto Reductase Family 1 Member C1 is an enzyme that performs functions related to the reduction of steroids prostaglandins and xenobiotics. It has a molecular mass of approximately 37 kDa. AKR1C1 is expressed in various tissues including the liver lungs and prostate. It exhibits significant activity in hormone-sensitive tissues reflecting its role in steroid metabolism.
Biological function summary

AKR1C1 participates in the conversion of ketosteroids to hydroxysteroids important for the regulation of steroid hormone activity. As part of the aldo-keto reductase (AKR) superfamily it works alongside similar enzymes such as AKR1C2 and AKR1C3. Its activity in converting active androgens into their less active forms influences processes like testosterone metabolism playing a role in modulating cellular responses to hormones.

Pathways

AKR1C1 is heavily involved in the steroid hormone biosynthesis and prostaglandin metabolism pathways. This enzyme catalyzes reductions that are essential in maintaining homeostasis of hormone levels. It is functionally related to proteins such as 5α-reductase in steroid biosynthesis. Within these pathways AKR1C1's regulation of androgens directly influences processes of cellular proliferation and differentiation.

AKR1C1 has a connection to hormone-dependent cancers such as prostate cancer due to its role in steroid metabolism. The enzyme's conversion of potent androgens impacts progression and treatment outcomes in such cancers. Additionally AKR1C1 relates to disorders of sex development as imbalances in androgen regulation can lead to abnormal sexual differentiation. In these contexts AKR1C1 potentially cooperates with proteins like cytochrome P450 enzymes impacting disease progression and therapeutic targets.

Product protocols

For this product, it's our understanding that no specific protocols are required. You can visit:

Target data

Cytosolic aldo-keto reductase that catalyzes the NADH and NADPH-dependent reduction of ketosteroids to hydroxysteroids (PubMed : 19218247). Most probably acts as a reductase in vivo since the oxidase activity measured in vitro is inhibited by physiological concentrations of NADPH (PubMed : 14672942). Displays a broad positional specificity acting on positions 3, 17 and 20 of steroids and regulates the metabolism of hormones like estrogens and androgens (PubMed : 10998348). May also reduce conjugated steroids such as 5alpha-dihydrotestosterone sulfate (PubMed : 19218247). Displays affinity for bile acids (PubMed : 8486699).
See full target information AKR1C1

Publications (2)

Recent publications for all applications. Explore the full list and refine your search

The journal of histochemistry and cytochemistry : official journal of the Histochemistry Society 73:393-414 PubMed41015934

2025

Expression of Glial Cell Line-derived Neurotrophic Factor and Its Receptors in Glioblastoma.

Applications

Unspecified application

Species

Unspecified reactive species

Jesper Dupont Ewald,Arnon Møldrup Knudsen,Helle Wohlleben,Lone Christiansen,Signe Regner Michaelsen,Atul Anand,Bjarne Winther Kristensen

Cell reports 33:108444 PubMed33264619

2020

Concurrent Mutations in STK11 and KEAP1 Promote Ferroptosis Protection and SCD1 Dependence in Lung Cancer.

Applications

Unspecified application

Species

Unspecified reactive species

Corrin A Wohlhieter,Allison L Richards,Fathema Uddin,Christopher H Hulton,Àlvaro Quintanal-Villalonga,Axel Martin,Elisa de Stanchina,Umeshkumar Bhanot,Marina Asher,Nisargbhai S Shah,Omar Hayatt,Darren J Buonocore,Natasha Rekhtman,Ronglai Shen,Kathryn C Arbour,Mark Donoghue,John T Poirier,Triparna Sen,Charles M Rudin
View all publications

Product promise

We are committed to supporting your work with high-quality reagents, and we're here for you every step of the way. In the unlikely event that one of our products does not perform as expected, you're protected by our Product Promise.
For full details, please see our Terms & Conditions

Please note: All products are 'FOR RESEARCH USE ONLY. NOT FOR USE IN DIAGNOSTIC OR THERAPEUTIC PROCEDURES'.

For licensing inquiries, please contact partnerships@abcam.com