JavaScript is disabled in your browser. Please enable JavaScript to view this website.
AB38449

Anti-AKT (phospho T308) antibody

3

(5 Reviews)

|

(1157 Publications)

Anti-AKT (phospho T308) antibody (ab38449) is a rabbit polyclonal antibody detecting AKT in Western Blot, IHC-P. Suitable for Human, Mouse, Rat.

- Over 770 publications
- Trusted since 2006

View Alternative Names

PKB, RAC, AKT1, RAC-alpha serine/threonine-protein kinase, Protein kinase B, Protein kinase B alpha, Proto-oncogene c-Akt, RAC-PK-alpha, PKB alpha

5 Images
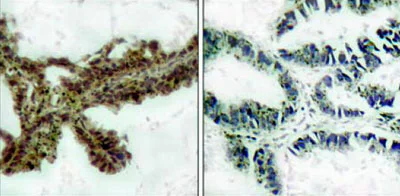
Immunohistochemistry (Formalin/PFA-fixed paraffin-embedded sections) - Anti-AKT (phospho T308) antibody (AB38449)
  • IHC-P

Unknown

Immunohistochemistry (Formalin/PFA-fixed paraffin-embedded sections) - Anti-AKT (phospho T308) antibody (AB38449)

Immunohistochemical analysis of AKT (phospho T308) expression in paraffin embedded human lung carcinoma tissue, using ab38449 (1/50). Right-hand panel represents a negative control where ab38449 was pre-incubated with the immunizing (blocking) peptide.

Western blot - Anti-AKT (phospho T308) antibody (AB38449)
  • WB

Supplier Data

Western blot - Anti-AKT (phospho T308) antibody (AB38449)

10% gel.

Running conditions : 60v, 30min; 120v 60min

Transfer conditions : 150mA 120min Nitrocellulose membrane.

Blocking conditions : 5% non-fat milk in TBST, RT, 90min.

Primary antibody incubation : 4℃, overnight

Secondary antibody incubation : room temperature for 45 minutes

Washing condition : 5 ml TBST, 4 x 5min

All lanes:

Western blot - Anti-AKT (phospho T308) antibody (ab38449) at 1/1000 dilution

Lane 1:

HeLa cells at 20 µg

Lane 2:

HeLa cells treated with 0.01 U/mL Insulin for 15 minutes at 20 µg

Secondary

All lanes:

Goat Anti-Rabbit IgG (H+L) HRP at 1/10000 dilution

Predicted band size: 56 kDa

false

Western blot - Anti-AKT (phospho T308) antibody (AB38449)
  • WB

Unknown

Western blot - Anti-AKT (phospho T308) antibody (AB38449)

All lanes:

Western blot - Anti-AKT (phospho T308) antibody (ab38449) at 1/500 dilution

Lane 1:

293 cell lysate - untreated at 30 µg

Lane 2:

293 cell lysate - treated with insulin at 30 µg

Predicted band size: 56 kDa

Observed band size: 56 kDa

false

Western blot - Anti-AKT (phospho T308) antibody (AB38449)
  • WB

CiteAb

Western blot - Anti-AKT (phospho T308) antibody (AB38449)

Western Blotting using Anti-AKT (phospho T308) antibody, ab38449. Publication image from Luo, S. et al., 2019, Exp Mol Med, 30911000. Legend direct from paper.

Effect of luteolin on HBMECs.a The proliferation of HBMECs was assessed in the MTT experiment. The results showed that OGD/R can inhibit their proliferation, while luteolin treatment can promote their proliferation. b, c The apoptosis of HBMECs was assessed by flow cytometry, and the results showed that OGD/R can enhance apoptosis, while apoptosis was downregulated upon luteolin treatment. *P < 0.05, compared with the same time-point in the OGD/R group. d The mRNA of MMP9 was detected by qRT-PCR, and the results showed that luteolin enhances the mRNA of MMP9. *P < 0.05, compared with the OGD/R group. e The protein levels of MMP9 could be suppressed by luteolin. *P < 0.05, compared with the same time-point in the OGD/R group. f The expression levels of PI3K/Akt signaling pathway mRNAs were upregulated and activated by luteolin. *P < 0.05, compared with the same time-point in the OGD/R group. g The protein levels of the PI3K/Akt signaling pathway proteins were upregulated and activated by luteolin. *P < 0.05, compared with the same time-point in the OGD/R group

false

Western blot - Anti-AKT (phospho T308) antibody (AB38449)
  • WB

CiteAb

Western blot - Anti-AKT (phospho T308) antibody (AB38449)

Western Blotting using Anti-AKT (phospho T308) antibody, ab38449. Publication image from Luo, S. et al., 2019, Exp Mol Med, 30911000. Legend direct from paper.

Effect of luteolin on ischemic rats’ brains.a Compared with the DMSO group, the neurologic deficit scores were significantly decreased in the luteolin-M group and luteolin-H group at 24 and 72 h, but no significant differences were found in the luteolin-L group. *P < 0.05, compared with the same time-point in the DMSO group. b, c Compared with the DMSO group, the infarct volume was significantly reduced in the luteolin-M group and luteolin-H group at 24 and 72 h, but no significant differences were found in the luteolin-L group. *P < 0.05, compared with the same time-point in the DMSO group. d The expression levels of MMP9 were suppressed by luteolin in coronal sections around the infarcted area of the brain. *P < 0.05, compared with the same time-point in the DMSO group. e The expression levels of PI3K/Akt signaling pathway-associated proteins were upregulated and activated by luteolin in coronal sections around the infarcted area of the brain. *P < 0.05, compared with the same time-point in the DMSO group

false

Key facts

Host species

Rabbit

Clonality

Polyclonal

Isotype

IgG

Carrier free

No

Reacts with

Mouse, Rat, Human

Applications

WB, IHC-P

applications

Immunogen

Synthetic Peptide within Human AKT1 phospho T308 aa 250-350. The exact immunogen used to generate this antibody is proprietary information.

P31749

Specificity

This antibody was made against a peptide directed against the phosphorylated form of AKT1 at T308, but due to a high degree of homology it is predicted to cross react with AKT2 and AKT3 if they are phosphorylated at the corresponding residue.

Reactivity data

{ "title": "Reactivity Data", "filters": { "stats": ["", "Species", "Dilution Info", "Notes"], "tabs": { "all-applications": {"fullname" : "All Applications", "shortname": "All Applications"}, "WB" : {"fullname" : "Western blot", "shortname":"WB"}, "IHCP" : {"fullname" : "Immunohistochemistry (Formalin/PFA-fixed paraffin-embedded sections)", "shortname":"IHC-P"} }, "product-promise": { "all": "all", "testedAndGuaranteed": "tested", "guaranteed": "expected", "predicted": "predicted", "notRecommended": "not-recommended" } }, "values": { "Human": { "WB-species-checked": "testedAndGuaranteed", "WB-species-dilution-info": "1/500 - 1/1000", "WB-species-notes": "<p>Block in 5% non-fat milk in TBST, RT, 90min.</p><p>In order to detect a clear signal, treatment is required when using this antibody.</p>", "IHCP-species-checked": "testedAndGuaranteed", "IHCP-species-dilution-info": "", "IHCP-species-notes": "<p></p>" }, "Mouse": { "WB-species-checked": "guaranteed", "WB-species-dilution-info": "1/500 - 1/1000", "WB-species-notes": "<p>Block in 5% non-fat milk in TBST, RT, 90min.</p><p>In order to detect a clear signal, treatment is required when using this antibody.</p>", "IHCP-species-checked": "guaranteed", "IHCP-species-dilution-info": "", "IHCP-species-notes": "<p></p>" }, "Rat": { "WB-species-checked": "guaranteed", "WB-species-dilution-info": "1/500 - 1/1000", "WB-species-notes": "<p>Block in 5% non-fat milk in TBST, RT, 90min.</p><p>In order to detect a clear signal, treatment is required when using this antibody.</p>", "IHCP-species-checked": "guaranteed", "IHCP-species-dilution-info": "", "IHCP-species-notes": "<p></p>" } } }

Product details

Anti-AKT (phospho T308) antibody (ab38449) is a rabbit polyclonal antibody and is validated for use in IHC-P, WB in human, mouse, rat, recombinant fragment samples.

Anti-AKT (phospho T308) antibody (Anti-RAC antibody; anti-pAKT antibody) (ab38449) has been cited over 779 times in peer reviewed journals and is trusted by the scientific community.

Abcam's high quality validation processes ensure Anti-AKT (phospho T308) antibody (ab38449) has high sensitivity and specificity.

Anti-AKT (phospho T308) antibody (ab38449) has 5 independent reviews from customers.

Anti-AKT (phospho T308) antibody (ab38449) specifically detects AKT Phospho-T308 (UniProt ID: P31749; Molecular weight: 56kDa) and is sold in 100 µg selling sizes.

Properties and storage information

Form
Liquid
Purification technique
Affinity purification Immunogen
Storage buffer
pH: 7.4 Preservative: 0.02% Sodium azide Constituents: PBS, 50% Glycerol (glycerin, glycerine), 0.87% Sodium chloride
Shipped at conditions
Blue Ice
Appropriate short-term storage conditions
+4°C
Appropriate long-term storage conditions
-20°C
Aliquoting information
Upon delivery aliquot
Storage information
Avoid freeze / thaw cycle

Supplementary information

This supplementary information is collated from multiple sources and compiled automatically.

AKT also known as protein kinase B (PKB) is a serine/threonine kinase with a molecular weight of approximately 56 kDa. It plays an important role in signaling pathways regulating cellular processes such as glucose uptake cell survival and growth. AKT is expressed in various tissues including muscle and liver and is often observed using techniques like Western blot. Its kinase activity involves phosphorylation which is essential for its full activation and subsequent biological functions.
Biological function summary

AKT influences cell proliferation and apoptosis. As part of a signaling complex AKT phosphorylation modulates several downstream targets important for cell cycle progression and survival. Its activation depends on upstream kinases like PI3K and PDK1 positioning AKT as a central node in cellular responses. By mediating these processes AKT directly impacts organismal growth and stress response mechanisms.

Pathways

AKT is central to the PI3K/AKT/mTOR and insulin signaling pathways both important for cellular metabolism and growth regulation. It interacts with proteins such as mTOR and GSK3 which are involved in cell growth and glycogen synthesis respectively. These interactions show AKT's pivotal role in maintaining cellular energy balance and metabolic processes.

AKT is frequently linked to cancer and type 2 diabetes. Its abnormal regulation contributes to oncogenesis through uncontrolled cell proliferation and survival. AKT is also associated with insulin resistance in diabetes where it affects glucose metabolism. Through these conditions proteins like PTEN and IRS1 interact with or regulate AKT highlighting its significance in disease states and its potential as a therapeutic target.

Product protocols

For this product, it's our understanding that no specific protocols are required. You can visit:

Target data

AKT1 is one of 3 closely related serine/threonine-protein kinases (AKT1, AKT2 and AKT3) called the AKT kinase, and which regulate many processes including metabolism, proliferation, cell survival, growth and angiogenesis (PubMed : 11882383, PubMed : 15526160, PubMed : 15861136, PubMed : 21432781, PubMed : 21620960, PubMed : 31204173). This is mediated through serine and/or threonine phosphorylation of a range of downstream substrates (PubMed : 11882383, PubMed : 15526160, PubMed : 21432781, PubMed : 21620960, PubMed : 29343641, PubMed : 31204173). Over 100 substrate candidates have been reported so far, but for most of them, no isoform specificity has been reported (PubMed : 11882383, PubMed : 15526160, PubMed : 21432781, PubMed : 21620960). AKT is responsible of the regulation of glucose uptake by mediating insulin-induced translocation of the SLC2A4/GLUT4 glucose transporter to the cell surface (By similarity). Phosphorylation of PTPN1 at 'Ser-50' negatively modulates its phosphatase activity preventing dephosphorylation of the insulin receptor and the attenuation of insulin signaling (By similarity). Phosphorylation of TBC1D4 triggers the binding of this effector to inhibitory 14-3-3 proteins, which is required for insulin-stimulated glucose transport (PubMed : 11994271). AKT also regulates the storage of glucose in the form of glycogen by phosphorylating GSK3A at 'Ser-21' and GSK3B at 'Ser-9', resulting in inhibition of its kinase activity (By similarity). Phosphorylation of GSK3 isoforms by AKT is also thought to be one mechanism by which cell proliferation is driven (By similarity). AKT also regulates cell survival via the phosphorylation of MAP3K5 (apoptosis signal-related kinase) (PubMed : 11154276). Phosphorylation of 'Ser-83' decreases MAP3K5 kinase activity stimulated by oxidative stress and thereby prevents apoptosis (PubMed : 11154276). AKT mediates insulin-stimulated protein synthesis by phosphorylating TSC2 at 'Ser-939' and 'Thr-1462', thereby activating the mTORC1 signaling pathway, and leading to both phosphorylation of 4E-BP1 and in activation of RPS6KB1 (PubMed : 12150915, PubMed : 12172553). Also regulates the mTORC1 signaling pathway by catalyzing phosphorylation of CASTOR1 and DEPDC5 (PubMed : 31548394, PubMed : 33594058). AKT plays a role as key modulator of the AKT-mTOR signaling pathway controlling the tempo of the process of newborn neurons integration during adult neurogenesis, including correct neuron positioning, dendritic development and synapse formation (By similarity). Part of a positive feedback loop of mTORC2 signaling by mediating phosphorylation of MAPKAP1/SIN1, promoting mTORC2 activation (By similarity). AKT is involved in the phosphorylation of members of the FOXO factors (Forkhead family of transcription factors), leading to binding of 14-3-3 proteins and cytoplasmic localization (PubMed : 10358075). In particular, FOXO1 is phosphorylated at 'Thr-24', 'Ser-256' and 'Ser-319' (PubMed : 10358075). FOXO3 and FOXO4 are phosphorylated on equivalent sites (PubMed : 10358075). AKT has an important role in the regulation of NF-kappa-B-dependent gene transcription and positively regulates the activity of CREB1 (cyclic AMP (cAMP)-response element binding protein) (PubMed : 9829964). The phosphorylation of CREB1 induces the binding of accessory proteins that are necessary for the transcription of pro-survival genes such as BCL2 and MCL1 (PubMed : 9829964). AKT phosphorylates 'Ser-454' on ATP citrate lyase (ACLY), thereby potentially regulating ACLY activity and fatty acid synthesis (By similarity). Activates the 3B isoform of cyclic nucleotide phosphodiesterase (PDE3B) via phosphorylation of 'Ser-273', resulting in reduced cyclic AMP levels and inhibition of lipolysis (By similarity). Phosphorylates PIKFYVE on 'Ser-318', which results in increased PI(3)P-5 activity (By similarity). The Rho GTPase-activating protein DLC1 is another substrate and its phosphorylation is implicated in the regulation cell proliferation and cell growth (By similarity). Signals downstream of phosphatidylinositol 3-kinase (PI(3)K) to mediate the effects of various growth factors such as platelet-derived growth factor (PDGF), epidermal growth factor (EGF), insulin and insulin-like growth factor 1 (IGF1) (PubMed : 12176338, PubMed : 12964941). AKT mediates the antiapoptotic effects of IGF1 (By similarity). Essential for the SPATA13-mediated regulation of cell migration and adhesion assembly and disassembly (PubMed : 19934221). May be involved in the regulation of the placental development (By similarity). Phosphorylates STK4/MST1 at 'Thr-120' and 'Thr-387' leading to inhibition of its : kinase activity, nuclear translocation, autophosphorylation and ability to phosphorylate FOXO3 (PubMed : 17726016). Phosphorylates STK3/MST2 at 'Thr-117' and 'Thr-384' leading to inhibition of its : cleavage, kinase activity, autophosphorylation at Thr-180, binding to RASSF1 and nuclear translocation (PubMed : 20086174). Phosphorylates SRPK2 and enhances its kinase activity towards SRSF2 and ACIN1 and promotes its nuclear translocation (PubMed : 19592491). Phosphorylates RAF1 at 'Ser-259' and negatively regulates its activity (PubMed : 10576742). Phosphorylation of BAD stimulates its pro-apoptotic activity (PubMed : 10926925). Phosphorylates KAT6A at 'Thr-369' and this phosphorylation inhibits the interaction of KAT6A with PML and negatively regulates its acetylation activity towards p53/TP53 (PubMed : 23431171). Phosphorylates palladin (PALLD), modulating cytoskeletal organization and cell motility (PubMed : 20471940). Phosphorylates prohibitin (PHB), playing an important role in cell metabolism and proliferation (PubMed : 18507042). Phosphorylates CDKN1A, for which phosphorylation at 'Thr-145' induces its release from CDK2 and cytoplasmic relocalization (PubMed : 16982699). These recent findings indicate that the AKT1 isoform has a more specific role in cell motility and proliferation (PubMed : 16139227). Phosphorylates CLK2 thereby controlling cell survival to ionizing radiation (PubMed : 20682768). Phosphorylates PCK1 at 'Ser-90', reducing the binding affinity of PCK1 to oxaloacetate and changing PCK1 into an atypical protein kinase activity using GTP as donor (PubMed : 32322062). Also acts as an activator of TMEM175 potassium channel activity in response to growth factors : forms the lysoK(GF) complex together with TMEM175 and acts by promoting TMEM175 channel activation, independently of its protein kinase activity (PubMed : 32228865). Acts as a regulator of mitochondrial calcium uptake by mediating phosphorylation of MICU1 in the mitochondrial intermembrane space, impairing MICU1 maturation (PubMed : 30504268). Acts as an inhibitor of tRNA methylation by mediating phosphorylation of the N-terminus of METTL1, thereby inhibiting METTL1 methyltransferase activity (PubMed : 15861136). In response to LPAR1 receptor pathway activation, phosphorylates Rabin8/RAB3IP which alters its activity and phosphorylates WDR44 which induces WDR44 binding to Rab11, thereby switching Rab11 vesicular function from preciliary trafficking to endocytic recycling (PubMed : 31204173).
See full target information AKT1 phospho T308

Publications (1157)

Recent publications for all applications. Explore the full list and refine your search

Cell death & disease 16:715 PubMed41057302

2025

Fatty acid synthase-mediated lipid droplet formation enhances macrophage killing of Staphylococcus aureus.

Applications

Unspecified application

Species

Unspecified reactive species

Yanping Wu,Jiaxin Shen,Shenwei Gao,Miao Li,Qingyu Weng,Kua Zheng,Chen Zhu,Zhongnan Qin,Jieyu Li,Jiafei Lou,Songmin Ying,Yinfang Wu,Zhihua Chen,Wen Li

Diabetology & metabolic syndrome 17:374 PubMed41044623

2025

THBS1 regulates the function and insulin sensitivity of HTR8/SVneo cells treated with high glucose through the RhoA/ROCK1 signaling pathway.

Applications

Unspecified application

Species

Unspecified reactive species

Yuerong Chai,Jie Tang,Aimin Liu,Qin Zhou

European journal of histochemistry : EJH 69: PubMed41036671

2025

Guilu Erxian oral liquid mitigates oxidative damage in spermatogonial cells miR-6739-5p modulation and PI3K/AKT pathway activation: a functional histocytochemical study.

Applications

Unspecified application

Species

Unspecified reactive species

Zefeng Sun,Xinrong Fan,Zhenquan Liu

Global spine journal :21925682251383489 PubMed41001708

2025

Intervention of Rutin and Ochnaflavone in the Attenuation of Neuroinflammation and Neuronal Apoptosis in Spinal Cord Injury.

Applications

Unspecified application

Species

Unspecified reactive species

Tao Yu,Xuhao Yang,Anyuan Dai,Zhihe Yun,Wu Xue,Tianyang Yuan,Xinyu Nie,Inbo Han,Yanting Liu,A O Wang,Qinyi Liu

PloS one 20:e0333343 PubMed41004429

2025

Impacts of resistance training combined with vibration training on the IGF-1/PI3K/AKT/FOXO3 axis and clinical outcomes in patients with sarcopenia: A protocol for a randomized controlled trial.

Applications

Unspecified application

Species

Unspecified reactive species

Haoyang Zhou,Jinfeng Yang,Na Li,Jinying Li,Jianxin Ran,Yan Zheng,Yifan Long,Fang Cheng,Yuanpeng Liao

Frontiers in cell and developmental biology 13:1667990 PubMed40970086

2025

The m6A demethylase FTO suppresses glioma proliferation by regulating the EREG/PI3K/Akt signaling pathway.

Applications

Unspecified application

Species

Unspecified reactive species

Yong Zhai,Caili Li,Lihui Cao,Shen Zhang,Xiao Liu,Junwei Ren,Yue Liu

PloS one 20:e0332673 PubMed40956826

2025

Effect of intermittent extracellular low-pH environment on human umbilical vein endothelial cell activity.

Applications

Unspecified application

Species

Unspecified reactive species

Ryota Nishida,Tomoaki Fukui,Kenichi Sawauchi,Yohei Kumabe,Hyuma Kondo,Yuya Yamamoto,Kyohei Takase,Ryo Yoshikawa,Takahiro Niikura,Ryosuke Kuroda,Keisuke Oe

American journal of translational research 17:6103-6112 PubMed40950323

2025

TRAIL-mediated armA upregulation enhances the drug resistance of by activating the PI3K/AKT/mTOR signaling pathway.

Applications

Unspecified application

Species

Unspecified reactive species

Bu Wang,Wei Zhang,Jianhua Liu,Hongxia Zhang,Maochen Li,Xiaocui Peng,Zhihua Zhang,Ning Song

Journal of clinical and translational hepatology 13:555-567 PubMed40937080

2025

CCNE1 Promotes the Progression of Hepatic Precancerous Lesion and the Malignant Phenotype of Hepatocellular Carcinoma.

Applications

Unspecified application

Species

Unspecified reactive species

Kai Zhang,Xue Hu,Lichao Yao,Wenzhi Guo

Frontiers in pharmacology 16:1600435 PubMed40918528

2025

Gypenoside XLIX inhibiting PI3K/AKT/FOXO1 signaling pathway mediated neuronal mitochondrial autophagy to improve patients with ischemic stroke.

Applications

Unspecified application

Species

Unspecified reactive species

Yonglei Liu,Hongdie Mao,Zhengguang Sha,Jishuai Zhao,Hui Cai,Rong Xi,Zhenzhu Zhao,Xiaoling Yin,Lin Yang,Changyun Liu
View all publications

Product promise

We are committed to supporting your work with high-quality reagents, and we're here for you every step of the way. In the unlikely event that one of our products does not perform as expected, you're protected by our Product Promise.
For full details, please see our Terms & Conditions

Please note: All products are 'FOR RESEARCH USE ONLY. NOT FOR USE IN DIAGNOSTIC OR THERAPEUTIC PROCEDURES'.

For licensing inquiries, please contact partnerships@abcam.com