JavaScript is disabled in your browser. Please enable JavaScript to view this website.
AB106693

Anti-AKT1 + AKT2 + AKT3 antibody

Be the first to review this product! Submit a review

|

(16 Publications)

Rabbit Polyclonal AKT1 antibody. Suitable for IHC-P, ICC/IF and reacts with Human, Rat samples. Cited in 16 publications. Immunogen corresponding to Synthetic Peptide within Human AKT3 aa 450 to C-terminus conjugated to Keyhole Limpet Haemocyanin.

View Alternative Names

PKB, RAC, AKT1, RAC-alpha serine/threonine-protein kinase, Protein kinase B, Protein kinase B alpha, Proto-oncogene c-Akt, RAC-PK-alpha, PKB alpha

3 Images
Immunohistochemistry (Formalin/PFA-fixed paraffin-embedded sections) - Anti-AKT1 + AKT2 + AKT3 antibody (AB106693)
  • IHC-P

Unknown

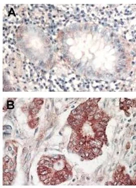
Immunohistochemistry (Formalin/PFA-fixed paraffin-embedded sections) - Anti-AKT1 + AKT2 + AKT3 antibody (AB106693)

ab106693 at 1/100 dilution, staining AKT1 + AKT2 + AKT3 in Human colon, A) normal tissue B) tumour tissue.

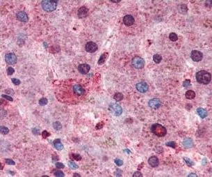
Immunohistochemistry (Formalin/PFA-fixed paraffin-embedded sections) - Anti-AKT1 + AKT2 + AKT3 antibody (AB106693)
  • IHC-P

Unknown

Immunohistochemistry (Formalin/PFA-fixed paraffin-embedded sections) - Anti-AKT1 + AKT2 + AKT3 antibody (AB106693)

ab106693, at 1/100 dilution, staing AKT1 + AKT2 + AKT3 in Human liver followed by biotinylated goat anti-rabbit IgG secondary antibody, alkaline phosphatase-streptavidin and chromogen.

Immunocytochemistry/ Immunofluorescence - Anti-AKT1 + AKT2 + AKT3 antibody (AB106693)
  • ICC/IF

Unknown

Immunocytochemistry/ Immunofluorescence - Anti-AKT1 + AKT2 + AKT3 antibody (AB106693)

ab106693, at 1/80 dilution, staining AKT1 + AKT2 + AKT3 in cultured neonatal Rat cardiomyocytes that express a nuclear-targeted AKT construct. Anti-AKT1/2/3 staining appears green. Actin filaments are labeled red using a Texas-red™ conjugated phalloidin.

Key facts

Host species

Rabbit

Clonality

Polyclonal

Isotype

IgG

Carrier free

No

Reacts with

Rat, Human

Applications

ICC/IF, IHC-P

applications

Immunogen

Synthetic Peptide within Human AKT3 aa 450 to C-terminus conjugated to Keyhole Limpet Haemocyanin. The exact immunogen used to generate this antibody is proprietary information.

Q9Y243

Reactivity data

{ "title": "Reactivity Data", "filters": { "stats": ["", "Species", "Dilution Info", "Notes"], "tabs": { "all-applications": {"fullname" : "All Applications", "shortname": "All Applications"}, "IHCP" : {"fullname" : "Immunohistochemistry (Formalin/PFA-fixed paraffin-embedded sections)", "shortname":"IHC-P"}, "ICCIF" : {"fullname" : "Immunocytochemistry/ Immunofluorescence", "shortname":"ICC/IF"} }, "product-promise": { "all": "all", "testedAndGuaranteed": "tested", "guaranteed": "expected", "predicted": "predicted", "notRecommended": "not-recommended" } }, "values": { "Human": { "IHCP-species-checked": "testedAndGuaranteed", "IHCP-species-dilution-info": "1/100", "IHCP-species-notes": "<p></p> Perform heat-mediated antigen retrieval with citrate buffer pH 6 before commencing with IHC staining protocol.", "ICCIF-species-checked": "guaranteed", "ICCIF-species-dilution-info": "", "ICCIF-species-notes": "" }, "Rat": { "IHCP-species-checked": "guaranteed", "IHCP-species-dilution-info": "", "IHCP-species-notes": "", "ICCIF-species-checked": "testedAndGuaranteed", "ICCIF-species-dilution-info": "1/100 - 1/1000", "ICCIF-species-notes": "<p></p>" }, "Cow": { "IHCP-species-checked": "predicted", "IHCP-species-dilution-info": "", "IHCP-species-notes": "", "ICCIF-species-checked": "predicted", "ICCIF-species-dilution-info": "", "ICCIF-species-notes": "" }, "Dog": { "IHCP-species-checked": "predicted", "IHCP-species-dilution-info": "", "IHCP-species-notes": "", "ICCIF-species-checked": "predicted", "ICCIF-species-dilution-info": "", "ICCIF-species-notes": "" }, "Goat": { "IHCP-species-checked": "predicted", "IHCP-species-dilution-info": "", "IHCP-species-notes": "", "ICCIF-species-checked": "predicted", "ICCIF-species-dilution-info": "", "ICCIF-species-notes": "" }, "Pig": { "IHCP-species-checked": "predicted", "IHCP-species-dilution-info": "", "IHCP-species-notes": "", "ICCIF-species-checked": "predicted", "ICCIF-species-dilution-info": "", "ICCIF-species-notes": "" }, "Sheep": { "IHCP-species-checked": "predicted", "IHCP-species-dilution-info": "", "IHCP-species-notes": "", "ICCIF-species-checked": "predicted", "ICCIF-species-dilution-info": "", "ICCIF-species-notes": "" } } }

Properties and storage information

Form
Liquid
Purification notes
Delipidation and Defibrination
Storage buffer
pH: 7.2 Preservative: 0.1% Sodium azide Constituents: 0.87% Sodium chloride, 0.42% Tripotassium orthophosphate
Shipped at conditions
Blue Ice
Appropriate short-term storage conditions
+4°C
Appropriate long-term storage conditions
-20°C
Aliquoting information
Upon delivery aliquot
Storage information
Avoid freeze / thaw cycle

Supplementary information

This supplementary information is collated from multiple sources and compiled automatically.

AKT1 AKT2 and AKT3 also known as Protein Kinase B (PKB) isoforms are serine/threonine-specific protein kinases with critical roles in cellular processes. AKT1 has a molecular weight of about 55.8 kDa AKT2 weighs approximately 56.1 kDa and AKT3 typically has a similar mass. These proteins are expressed in many tissues including brain and heart with AKT1 ubiquitously present AKT2 focused in insulin-responsive tissues and AKT3 mainly in the brain. The molecular weight of AKT plays an important role in their functionality and specificity in tissues.
Biological function summary

AKT proteins regulate cell cycle growing cell survival proliferation and metabolism. They participate as core components of the PI3K/AKT/mTOR signaling pathway forming complexes with other proteins to transmit signals. They bind to phosphoinositide lipids on the cell membrane facilitating their activation and downstream signaling. Through these activities the AKT transporter proteins maintain cellular homeostasis and play a part in stress response.

Pathways

AKT proteins engage in important signaling networks including the PI3K/AKT pathway and mTOR pathway. They work closely with PI3K and mTOR proteins coordinating cellular growth and energy metabolism. In particular the AKT pathway responds to growth factors and insulin influencing glucose uptake and glycolysis regulation through interaction with proteins such as glycogen synthase kinase 3 (GSK3).

Dysregulation of AKT signaling can lead to cancer and diabetes. High AKT activation correlates with various cancers by promoting cell survival and growth. In diabetes impaired AKT2 regulation disrupts glucose uptake affecting insulin response. AKT's relationship with mTOR is significant as it often influences tumor growth and progression in cancerous tissues.

Product protocols

For this product, it's our understanding that no specific protocols are required. You can visit:

Target data

AKT1 is one of 3 closely related serine/threonine-protein kinases (AKT1, AKT2 and AKT3) called the AKT kinase, and which regulate many processes including metabolism, proliferation, cell survival, growth and angiogenesis (PubMed : 11882383, PubMed : 15526160, PubMed : 15861136, PubMed : 21432781, PubMed : 21620960, PubMed : 31204173). This is mediated through serine and/or threonine phosphorylation of a range of downstream substrates (PubMed : 11882383, PubMed : 15526160, PubMed : 21432781, PubMed : 21620960, PubMed : 29343641, PubMed : 31204173). Over 100 substrate candidates have been reported so far, but for most of them, no isoform specificity has been reported (PubMed : 11882383, PubMed : 15526160, PubMed : 21432781, PubMed : 21620960). AKT is responsible of the regulation of glucose uptake by mediating insulin-induced translocation of the SLC2A4/GLUT4 glucose transporter to the cell surface (By similarity). Phosphorylation of PTPN1 at 'Ser-50' negatively modulates its phosphatase activity preventing dephosphorylation of the insulin receptor and the attenuation of insulin signaling (By similarity). Phosphorylation of TBC1D4 triggers the binding of this effector to inhibitory 14-3-3 proteins, which is required for insulin-stimulated glucose transport (PubMed : 11994271). AKT also regulates the storage of glucose in the form of glycogen by phosphorylating GSK3A at 'Ser-21' and GSK3B at 'Ser-9', resulting in inhibition of its kinase activity (By similarity). Phosphorylation of GSK3 isoforms by AKT is also thought to be one mechanism by which cell proliferation is driven (By similarity). AKT also regulates cell survival via the phosphorylation of MAP3K5 (apoptosis signal-related kinase) (PubMed : 11154276). Phosphorylation of 'Ser-83' decreases MAP3K5 kinase activity stimulated by oxidative stress and thereby prevents apoptosis (PubMed : 11154276). AKT mediates insulin-stimulated protein synthesis by phosphorylating TSC2 at 'Ser-939' and 'Thr-1462', thereby activating the mTORC1 signaling pathway, and leading to both phosphorylation of 4E-BP1 and in activation of RPS6KB1 (PubMed : 12150915, PubMed : 12172553). Also regulates the mTORC1 signaling pathway by catalyzing phosphorylation of CASTOR1 and DEPDC5 (PubMed : 31548394, PubMed : 33594058). AKT plays a role as key modulator of the AKT-mTOR signaling pathway controlling the tempo of the process of newborn neurons integration during adult neurogenesis, including correct neuron positioning, dendritic development and synapse formation (By similarity). Part of a positive feedback loop of mTORC2 signaling by mediating phosphorylation of MAPKAP1/SIN1, promoting mTORC2 activation (By similarity). AKT is involved in the phosphorylation of members of the FOXO factors (Forkhead family of transcription factors), leading to binding of 14-3-3 proteins and cytoplasmic localization (PubMed : 10358075). In particular, FOXO1 is phosphorylated at 'Thr-24', 'Ser-256' and 'Ser-319' (PubMed : 10358075). FOXO3 and FOXO4 are phosphorylated on equivalent sites (PubMed : 10358075). AKT has an important role in the regulation of NF-kappa-B-dependent gene transcription and positively regulates the activity of CREB1 (cyclic AMP (cAMP)-response element binding protein) (PubMed : 9829964). The phosphorylation of CREB1 induces the binding of accessory proteins that are necessary for the transcription of pro-survival genes such as BCL2 and MCL1 (PubMed : 9829964). AKT phosphorylates 'Ser-454' on ATP citrate lyase (ACLY), thereby potentially regulating ACLY activity and fatty acid synthesis (By similarity). Activates the 3B isoform of cyclic nucleotide phosphodiesterase (PDE3B) via phosphorylation of 'Ser-273', resulting in reduced cyclic AMP levels and inhibition of lipolysis (By similarity). Phosphorylates PIKFYVE on 'Ser-318', which results in increased PI(3)P-5 activity (By similarity). The Rho GTPase-activating protein DLC1 is another substrate and its phosphorylation is implicated in the regulation cell proliferation and cell growth (By similarity). Signals downstream of phosphatidylinositol 3-kinase (PI(3)K) to mediate the effects of various growth factors such as platelet-derived growth factor (PDGF), epidermal growth factor (EGF), insulin and insulin-like growth factor 1 (IGF1) (PubMed : 12176338, PubMed : 12964941). AKT mediates the antiapoptotic effects of IGF1 (By similarity). Essential for the SPATA13-mediated regulation of cell migration and adhesion assembly and disassembly (PubMed : 19934221). May be involved in the regulation of the placental development (By similarity). Phosphorylates STK4/MST1 at 'Thr-120' and 'Thr-387' leading to inhibition of its : kinase activity, nuclear translocation, autophosphorylation and ability to phosphorylate FOXO3 (PubMed : 17726016). Phosphorylates STK3/MST2 at 'Thr-117' and 'Thr-384' leading to inhibition of its : cleavage, kinase activity, autophosphorylation at Thr-180, binding to RASSF1 and nuclear translocation (PubMed : 20086174). Phosphorylates SRPK2 and enhances its kinase activity towards SRSF2 and ACIN1 and promotes its nuclear translocation (PubMed : 19592491). Phosphorylates RAF1 at 'Ser-259' and negatively regulates its activity (PubMed : 10576742). Phosphorylation of BAD stimulates its pro-apoptotic activity (PubMed : 10926925). Phosphorylates KAT6A at 'Thr-369' and this phosphorylation inhibits the interaction of KAT6A with PML and negatively regulates its acetylation activity towards p53/TP53 (PubMed : 23431171). Phosphorylates palladin (PALLD), modulating cytoskeletal organization and cell motility (PubMed : 20471940). Phosphorylates prohibitin (PHB), playing an important role in cell metabolism and proliferation (PubMed : 18507042). Phosphorylates CDKN1A, for which phosphorylation at 'Thr-145' induces its release from CDK2 and cytoplasmic relocalization (PubMed : 16982699). These recent findings indicate that the AKT1 isoform has a more specific role in cell motility and proliferation (PubMed : 16139227). Phosphorylates CLK2 thereby controlling cell survival to ionizing radiation (PubMed : 20682768). Phosphorylates PCK1 at 'Ser-90', reducing the binding affinity of PCK1 to oxaloacetate and changing PCK1 into an atypical protein kinase activity using GTP as donor (PubMed : 32322062). Also acts as an activator of TMEM175 potassium channel activity in response to growth factors : forms the lysoK(GF) complex together with TMEM175 and acts by promoting TMEM175 channel activation, independently of its protein kinase activity (PubMed : 32228865). Acts as a regulator of mitochondrial calcium uptake by mediating phosphorylation of MICU1 in the mitochondrial intermembrane space, impairing MICU1 maturation (PubMed : 30504268). Acts as an inhibitor of tRNA methylation by mediating phosphorylation of the N-terminus of METTL1, thereby inhibiting METTL1 methyltransferase activity (PubMed : 15861136). In response to LPAR1 receptor pathway activation, phosphorylates Rabin8/RAB3IP which alters its activity and phosphorylates WDR44 which induces WDR44 binding to Rab11, thereby switching Rab11 vesicular function from preciliary trafficking to endocytic recycling (PubMed : 31204173).
See full target information AKT1

Additional targets

RAC-beta serine/threonine-protein kinase

Publications (16)

Recent publications for all applications. Explore the full list and refine your search

Computational and mathematical methods in medicine 2022:5262189 PubMed35178114

2022

Hydroxyethyl Starch Improves the Prognosis of Rats with Traumatic Shock via Activation of the ERK Signaling Pathway in Lymphocytes.

Applications

Unspecified application

Species

Unspecified reactive species

Yun Liu,Jian Lu,Caifu Dong,Limin Zhu,Li Zhou,Kai Zhu

Translational cancer research 9:3986-3997 PubMed35117765

2020

The overexpression of miRNA-212-5p inhibited the malignant proliferation of liver cancer cells HepG2 and the tumor formation in nude mice with transplanted tumor through down-regulating SOCS5.

Applications

Unspecified application

Species

Unspecified reactive species

Ruiyang Han,Yazhou Li,Wei Cao

Journal of cellular biochemistry 121:2236-2246 PubMed31692056

2019

The circular RNA-NRIP1 plays oncogenic roles by targeting microRNA-505 in the renal carcinoma cell lines.

Applications

Unspecified application

Species

Unspecified reactive species

Zhen Dong,Yidong Liu,Qinghai Wang,Hongyang Wang,Jianlei Ji,Tao Huang,Aashish Khanal,Haitao Niu,Yanwei Cao

Bioscience reports 39: PubMed31652447

2019

Thousand and one kinase 1 protects MCAO-induced cerebral ischemic stroke in rats by decreasing apoptosis and pro-inflammatory factors.

Applications

Unspecified application

Species

Unspecified reactive species

Jiahui Li,Zhijie Liu,Liling Wang,Haiyan Xu,Yulin Wang

Stem cell research & therapy 10:270 PubMed31445515

2019

Mesenchymal stem cells restore the sperm motility from testicular torsion-detorsion injury by regulation of glucose metabolism in sperm.

Applications

Unspecified application

Species

Unspecified reactive species

Chi-Hao Hsiao,Andrea Tung-Qian Ji,Chih-Cheng Chang,Ming-Hsien Chien,Liang-Ming Lee,Jennifer Hui-Chun Ho

Open medicine (Warsaw, Poland) 14:59-65 PubMed31346547

2019

Effects of MiR-107 on The Chemo-drug Sensitivity of Breast Cancer Cells.

Applications

Unspecified application

Species

Unspecified reactive species

Yong Luo,Tebo Hua,Xia You,Jinfeng Lou,Xuxiong Yang,Ningwen Tang

OncoTargets and therapy 12:3953-3962 PubMed31190892

2019

Serum starvation induces cell death in NSCLC via miR-224.

Applications

Unspecified application

Species

Unspecified reactive species

Guoqin Wang,Jiangqiong Han,Li Zhuang,Shijuan Li,Quan Gong,Yunlan Chen

Journal of cellular physiology 234:13878-13893 PubMed30720220

2019

Exosomes derived from SDF1-overexpressing mesenchymal stem cells inhibit ischemic myocardial cell apoptosis and promote cardiac endothelial microvascular regeneration in mice with myocardial infarction.

Applications

Unspecified application

Species

Unspecified reactive species

Xu-He Gong,Hui Liu,Si-Jia Wang,Si-Wen Liang,Guo-Gan Wang

International journal of molecular sciences 20: PubMed30577658

2018

Protective Effects of Total Saponins of (Miq.) on Endothelial Cell Injury Induced by TNF-α via Modulation of the PI3K/Akt and NF-κB Signalling Pathways.

Applications

Unspecified application

Species

Unspecified reactive species

Ping Zhou,Weijie Xie,Yun Luo,Shan Lu,Ziru Dai,Ruiying Wang,Guibo Sun,Xiaobo Sun

International journal of molecular medicine 43:956-966 PubMed30569175

2018

Investigation of the neuroprotective effects of crocin via antioxidant activities in HT22 cells and in mice with Alzheimer's disease.

Applications

Unspecified application

Species

Unspecified reactive species

Chunyue Wang,Xueying Cai,Wenji Hu,Zhiping Li,Fange Kong,Xia Chen,Di Wang
View all publications

Product promise

We are committed to supporting your work with high-quality reagents, and we're here for you every step of the way. In the unlikely event that one of our products does not perform as expected, you're protected by our Product Promise.
For full details, please see our Terms & Conditions

Please note: All products are 'FOR RESEARCH USE ONLY. NOT FOR USE IN DIAGNOSTIC OR THERAPEUTIC PROCEDURES'.

For licensing inquiries, please contact partnerships@abcam.com