JavaScript is disabled in your browser. Please enable JavaScript to view this website.
AB131443

Anti-AKT1 + AKT2 + AKT3 (phospho Y312 + Y315 + Y316) antibody

Be the first to review this product! Submit a review

|

(61 Publications)

Rabbit Polyclonal AKT3 phospho Y312 antibody. Suitable for WB, IHC-P, ICC/IF and reacts with Human samples. Cited in 61 publications. Immunogen corresponding to Synthetic Peptide within Human AKT1 phospho Y315 conjugated to Keyhole Limpet Haemocyanin.

View Alternative Names

PKBG, AKT3, RAC-gamma serine/threonine-protein kinase, Protein kinase Akt-3, Protein kinase B gamma, RAC-PK-gamma, STK-2, PKB gamma

4 Images
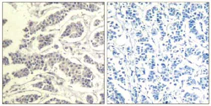
Immunohistochemistry (Formalin/PFA-fixed paraffin-embedded sections) - Anti-AKT1 + AKT2 + AKT3 (phospho Y312 + Y315 + Y316) antibody (AB131443)
  • IHC-P

Unknown

Immunohistochemistry (Formalin/PFA-fixed paraffin-embedded sections) - Anti-AKT1 + AKT2 + AKT3 (phospho Y312 + Y315 + Y316) antibody (AB131443)

Immunohistochemical analysis of paraffin-embedded Human breast carcinoma tissue labelling AKT1 + AKT2 + AKT3 (phospho Y315 + Y316 + Y312) with ab131443 at 1/50 dilution. Right panel was preincubated with blocking peptide.

Western blot - Anti-AKT1 + AKT2 + AKT3 (phospho Y312 + Y315 + Y316) antibody (AB131443)
  • WB

Unknown

Western blot - Anti-AKT1 + AKT2 + AKT3 (phospho Y312 + Y315 + Y316) antibody (AB131443)

All lanes:

Western blot - Anti-AKT1 + AKT2 + AKT3 (phospho Y312 + Y315 + Y316) antibody (ab131443) at 1/500 dilution

Lane 1:

HepG2 cell extract untreated

Lane 2:

HepG2 cell extract treated with EGF

Predicted band size: 56 kDa

false

Immunocytochemistry/ Immunofluorescence - Anti-AKT1 + AKT2 + AKT3 (phospho Y312 + Y315 + Y316) antibody (AB131443)
  • ICC/IF

Unknown

Immunocytochemistry/ Immunofluorescence - Anti-AKT1 + AKT2 + AKT3 (phospho Y312 + Y315 + Y316) antibody (AB131443)

Immunofluorescent analysis of methanol-fixed HeLa cells labelling AKT1 + AKT2 + AKT3 (phospho Y315 + Y316 + Y312) with ab131443 at 1/100 dilution.

Western blot - Anti-AKT1 + AKT2 + AKT3 (phospho Y312 + Y315 + Y316) antibody (AB131443)
  • WB

CiteAb

Western blot - Anti-AKT1 + AKT2 + AKT3 (phospho Y312 + Y315 + Y316) antibody (AB131443)

AKT1 + AKT2 + AKT3 (phospho Y312 + Y315 + Y316) western blot using anti-AKT1 + AKT2 + AKT3 (phospho Y312 + Y315 + Y316) antibody ab131443. Publication image and figure legend from Liu, G. & Zhang, W., 2018, Braz J Med Biol Res, PubMed 29898032.

ab131443 was used in this publication in western blot. This may not be the same as the application(s) guaranteed by Abcam. For a full list of applications guaranteed by Abcam for ab131443 please see the product overview.

Western blot analysis of PKR on PI3K/AKT and NF-κB signalingpathways, which suggested that overexpression of PKR activatedA, PI3K/AKT pathway and B, NF-κBpathway. UVB treatment time was 16 h. UVB : ultraviolet B; PKR : RNA-dependent protein kinase; PI3K : phosphatidylinositol-3kinase.

false

Key facts

Host species

Rabbit

Clonality

Polyclonal

Isotype

IgG

Carrier free

No

Reacts with

Human

Applications

ICC/IF, WB, IHC-P

applications

Immunogen

Synthetic Peptide within Human AKT1 phospho Y315 conjugated to Keyhole Limpet Haemocyanin. The exact immunogen used to generate this antibody is proprietary information.

P31749

Specificity

ab131443 detects endogenous levels of AKT1/2/3 only when phosphorylated at tyrosine 315/316/312.

Reactivity data

{ "title": "Reactivity Data", "filters": { "stats": ["", "Species", "Dilution Info", "Notes"], "tabs": { "all-applications": {"fullname" : "All Applications", "shortname": "All Applications"}, "WB" : {"fullname" : "Western blot", "shortname":"WB"}, "IHCP" : {"fullname" : "Immunohistochemistry (Formalin/PFA-fixed paraffin-embedded sections)", "shortname":"IHC-P"}, "ICCIF" : {"fullname" : "Immunocytochemistry/ Immunofluorescence", "shortname":"ICC/IF"} }, "product-promise": { "all": "all", "testedAndGuaranteed": "tested", "guaranteed": "expected", "predicted": "predicted", "notRecommended": "not-recommended" } }, "values": { "Human": { "WB-species-checked": "testedAndGuaranteed", "WB-species-dilution-info": "1/500 - 1/1000", "WB-species-notes": "<p></p>", "IHCP-species-checked": "testedAndGuaranteed", "IHCP-species-dilution-info": "1/50 - 1/100", "IHCP-species-notes": "<p></p>", "ICCIF-species-checked": "testedAndGuaranteed", "ICCIF-species-dilution-info": "1/100 - 1/200", "ICCIF-species-notes": "<p></p>" } } }

Properties and storage information

Form
Liquid
Purification technique
Affinity purification Immunogen
Purification notes
ab131443 was purified by affinity-chromatography using epitope-specific phosphopeptide. Non-phospho specific antibodies were removed by chromatography using non-phosphopeptide.
Storage buffer
pH: 7.4 Preservative: 0.02% Sodium azide Constituents: PBS, 50% Glycerol (glycerin, glycerine), 0.88% Sodium chloride
Shipped at conditions
Blue Ice
Appropriate short-term storage conditions
+4°C
Appropriate long-term storage conditions
-20°C
Storage information
Stable for 12 months at -20°C

Supplementary information

This supplementary information is collated from multiple sources and compiled automatically.

AKT1 AKT2 and AKT3 also known as Protein Kinase B (PKB) isoforms are serine/threonine-specific protein kinases with critical roles in cellular processes. AKT1 has a molecular weight of about 55.8 kDa AKT2 weighs approximately 56.1 kDa and AKT3 typically has a similar mass. These proteins are expressed in many tissues including brain and heart with AKT1 ubiquitously present AKT2 focused in insulin-responsive tissues and AKT3 mainly in the brain. The molecular weight of AKT plays an important role in their functionality and specificity in tissues.
Biological function summary

AKT proteins regulate cell cycle growing cell survival proliferation and metabolism. They participate as core components of the PI3K/AKT/mTOR signaling pathway forming complexes with other proteins to transmit signals. They bind to phosphoinositide lipids on the cell membrane facilitating their activation and downstream signaling. Through these activities the AKT transporter proteins maintain cellular homeostasis and play a part in stress response.

Pathways

AKT proteins engage in important signaling networks including the PI3K/AKT pathway and mTOR pathway. They work closely with PI3K and mTOR proteins coordinating cellular growth and energy metabolism. In particular the AKT pathway responds to growth factors and insulin influencing glucose uptake and glycolysis regulation through interaction with proteins such as glycogen synthase kinase 3 (GSK3).

Dysregulation of AKT signaling can lead to cancer and diabetes. High AKT activation correlates with various cancers by promoting cell survival and growth. In diabetes impaired AKT2 regulation disrupts glucose uptake affecting insulin response. AKT's relationship with mTOR is significant as it often influences tumor growth and progression in cancerous tissues.

Product protocols

For this product, it's our understanding that no specific protocols are required. You can visit:

Target data

AKT3 is one of 3 closely related serine/threonine-protein kinases (AKT1, AKT2 and AKT3) called the AKT kinase, and which regulate many processes including metabolism, proliferation, cell survival, growth and angiogenesis. This is mediated through serine and/or threonine phosphorylation of a range of downstream substrates. Over 100 substrate candidates have been reported so far, but for most of them, no isoform specificity has been reported. AKT3 is the least studied AKT isoform. It plays an important role in brain development and is crucial for the viability of malignant glioma cells. AKT3 isoform may also be the key molecule in up-regulation and down-regulation of MMP13 via IL13. Required for the coordination of mitochondrial biogenesis with growth factor-induced increases in cellular energy demands. Down-regulation by RNA interference reduces the expression of the phosphorylated form of BAD, resulting in the induction of caspase-dependent apoptosis.
See full target information AKT3 phospho Y312

Additional targets

AKT1 phospho Y315,RAC-beta serine/threonine-protein kinase phospho Y316

Publications (61)

Recent publications for all applications. Explore the full list and refine your search

Molecular medicine (Cambridge, Mass.) 29:99 PubMed37488524

2023

Knockdown of DEC2 expression inhibits the proliferation of mesangial cells through suppressed glycolysis and p38 MAPK/Erk pathway in lupus nephritis.

Applications

Unspecified application

Species

Unspecified reactive species

Huimeng Qi,Li Xu,Qiang Liu

Environmental toxicology 38:591-603 PubMed36370150

2022

The traditional Chinese medicine Qiangjing tablet prevents blood-testis barrier injury induced by CdCl through the PI3K/Akt/Rictor signaling pathway.

Applications

Unspecified application

Species

Unspecified reactive species

Yifeng Shen,Yaodong You,Kun Zhu,Guangsen Li,Xiaopeng Huang,Diang Chen,Fang Yang,Liang Dong,Junjun Li,Xujun Yu

Oncology reports 48: PubMed35866593

2022

Leptin stimulates migration and invasion and maintains cancer stem‑like properties in gastric cancer cells.

Applications

Unspecified application

Species

Unspecified reactive species

Ki Bum Park,Eun Young Kim,Hyungmin Chin,Dong Joon Yoon,Kyong-Hwa Jun

Cancer medicine 12:1643-1654 PubMed35789211

2022

Flavonoid extract Kushenol a exhibits anti-proliferative activity in breast cancer cells via suppression of PI3K/AKT/mTOR pathway.

Applications

Unspecified application

Species

Unspecified reactive species

Tao Liu,Jinhua Gong,Guobin Lai,Yichao Yang,Xiaoan Wu,Xiuping Wu

Oncology reports 47: PubMed35514319

2022

Icariin inhibits the malignant progression of lung cancer by affecting the PI3K/Akt pathway through the miR‑205‑5p/PTEN axis.

Applications

Unspecified application

Species

Unspecified reactive species

Fengjie Zhu,Zhe Ren

Frontiers in pharmacology 13:828473 PubMed35153796

2022

Trilobatin, a Natural Food Additive, Exerts Anti-Type 2 Diabetes Effect Mediated by Nrf2/ARE and IRS-1/GLUT2 Signaling Pathways.

Applications

Unspecified application

Species

Unspecified reactive species

Yan-Ling Shi,Yue-Ping Zhang,Huan Luo,Fan Xu,Jian-Mei Gao,Jing-Shan Shi,Qi-Hai Gong

Clinical and translational medicine 11:e383 PubMed34709758

2021

RNA-binding protein RBM24 represses colorectal tumourigenesis by stabilising PTEN mRNA.

Applications

Unspecified application

Species

Unspecified reactive species

Rong Mu Xia,Tao Liu,Wen Gang Li,Xiu Qin Xu

Oncology reports 46: PubMed34590156

2021

Curcumol inhibits the malignant progression of prostate cancer and regulates the PDK1/AKT/mTOR pathway by targeting miR‑9.

Applications

Unspecified application

Species

Unspecified reactive species

Wen Sheng,Wenjing Xu,Jin Ding,Ling Li,Xujun You,Yongrong Wu,Qinghu He

Epigenetics 17:147-160 PubMed33797312

2021

Up-regulation of LINC00619 promotes apoptosis and inhibits proliferation, migration and invasion while promoting apoptosis of osteosarcoma cells through inactivation of the HGF-mediated PI3K-Akt signalling pathway.

Applications

Unspecified application

Species

Unspecified reactive species

Xin Zi,Guoqiang Zhang,Shichao Qiu

Molecular therapy. Nucleic acids 24:113-126 PubMed33738143

2021

Exosomal miR-590-3p derived from cancer-associated fibroblasts confers radioresistance in colorectal cancer.

Applications

Unspecified application

Species

Unspecified reactive species

Xijuan Chen,Yingqiang Liu,Qinglan Zhang,Baoxing Liu,Yan Cheng,Yonglei Zhang,Yanan Sun,Junqi Liu
View all publications

Product promise

We are committed to supporting your work with high-quality reagents, and we're here for you every step of the way. In the unlikely event that one of our products does not perform as expected, you're protected by our Product Promise.
For full details, please see our Terms & Conditions

Please note: All products are 'FOR RESEARCH USE ONLY. NOT FOR USE IN DIAGNOSTIC OR THERAPEUTIC PROCEDURES'.

For licensing inquiries, please contact partnerships@abcam.com