JavaScript is disabled in your browser. Please enable JavaScript to view this website.
AB188099

Anti-AKT1 + AKT2 antibody [EPR18405]

  • RabMAb
  • Recombinant
  • KO Validated
  • Lab Essentials
  • 20ul selling size
  • What is this?

Be the first to review this product! Submit a review

|

(9 Publications)

Rabbit Recombinant Monoclonal AKT1 antibody. Suitable for WB, ICC/IF, Flow Cyt (Intra), IHC-P and reacts with Rat, Mouse, Human samples. Cited in 9 publications.

View Alternative Names

PKB, RAC, AKT1, RAC-alpha serine/threonine-protein kinase, Protein kinase B, Protein kinase B alpha, Proto-oncogene c-Akt, RAC-PK-alpha, PKB alpha

12 Images
Flow Cytometry (Intracellular) - Anti-AKT1 + AKT2 antibody [EPR18405] (AB188099)
  • Flow Cyt (Intra)

Supplier Data

Flow Cytometry (Intracellular) - Anti-AKT1 + AKT2 antibody [EPR18405] (AB188099)

Intracellular flow cytometric analysis of 4% paraformaldehyde-fixed HeLa (Human epithelial cells from cervix adenocarcinoma) cells labeling AKT1/2 with ab188099 at 1/200 dilution (red) compared with a rabbit monoclonal IgG isotype control (ab172730,black) and an unlabelled control (cells without incubation with primary antibody and secondary antibody; blue). Goat anti rabbit IgG (FITC) at 1/500 dilution was used as the secondary antibody.

Immunohistochemistry (Formalin/PFA-fixed paraffin-embedded sections) - Anti-AKT1 + AKT2 antibody [EPR18405] (AB188099)
  • IHC-P

Supplier Data

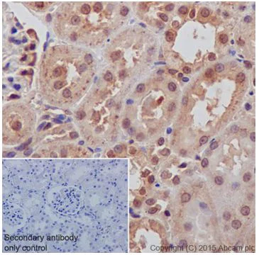
Immunohistochemistry (Formalin/PFA-fixed paraffin-embedded sections) - Anti-AKT1 + AKT2 antibody [EPR18405] (AB188099)

Immunohistochemical analysis of paraffin-embedded Human kidney tissue labeling AKT1 + AKT2 with ab188099 at 1/100 dilution followed by Goat Anti-Rabbit IgG H&L (HRP) (ab97051) at 1/500 dilution.
Nucleus and cytoplasm staining on normal Human kidney is observed.
Counter stained with Hematoxylin.
Negative control : Used PBS instead of primary ab, secondary ab is Goat Anti-Rabbit IgG H&L (HRP) (ab97051).

Perform heat mediated antigen retrieval with Tris/EDTA buffer pH 9.0 before commencing with IHC staining protocol.

Immunohistochemistry (Formalin/PFA-fixed paraffin-embedded sections) - Anti-AKT1 + AKT2 antibody [EPR18405] (AB188099)
  • IHC-P

Supplier Data

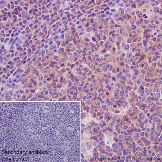
Immunohistochemistry (Formalin/PFA-fixed paraffin-embedded sections) - Anti-AKT1 + AKT2 antibody [EPR18405] (AB188099)

Immunohistochemical analysis of paraffin-embedded Human gastric adenocarcinoma tissue labeling AKT1 + AKT2 with ab188099 at 1/100 dilution followed by Goat Anti-Rabbit IgG H&L (HRP) (ab97051) at 1/500 dilution.

Nucleus and cytoplasm staining on tumor cells of gastric adenocarcinoma is observed.

Counter stained with Hematoxylin.
Negative control : Used PBS instead of primary ab, secondary ab is Goat Anti-Rabbit IgG H&L (HRP) (ab97051).

Perform heat mediated antigen retrieval with Tris/EDTA buffer pH 9.0 before commencing with IHC staining protocol.

Immunocytochemistry/ Immunofluorescence - Anti-AKT1 + AKT2 antibody [EPR18405] (AB188099)
  • ICC/IF

Supplier Data

Immunocytochemistry/ Immunofluorescence - Anti-AKT1 + AKT2 antibody [EPR18405] (AB188099)

Immunofluorescent analysis of 4% paraformaldehyde-fixed, 0.1% Triton X-100 permeabilized HeLa (Human epithelial cells from cervix adenocarcinoma) cells labeling AKT1 + AKT2 with ab188099 at 1/500 dilution, followed by Goat anti-rabbit IgG (Alexa Fluor® 488) (ab150077) secondary antibody at 1/500 dilution (green).

Confocal image showing cytoplasmic and weakly nuclear staining on HeLa cells.

The nuclear counterstain is DAPI (blue).

Tubulin is detected with ab7291 (anti-Tubulin mouse mAb) at 1/1000 dilution and ab150120 (AlexaFluor®594 Goat anti-Mouse secondary) at 1/500 dilution (red).
The negative controls are as follows : -
-ve control 1 - ab188099 at 1/500 dilution followed by ab150120 (AlexaFluor®594 Goat anti-Mouse secondary) at 1/500 dilution.
-ve control 2. - ab7291 (anti-Tubulin mouse mAb) at 1/1000 dilution followed by ab150077 (Alexa Fluor®488 Goat Anti-Rabbit IgG H&L) at 1/500 dilution.

Immunohistochemistry (Formalin/PFA-fixed paraffin-embedded sections) - Anti-AKT1 + AKT2 antibody [EPR18405] (AB188099)
  • IHC-P

Supplier Data

Immunohistochemistry (Formalin/PFA-fixed paraffin-embedded sections) - Anti-AKT1 + AKT2 antibody [EPR18405] (AB188099)

Immunohistochemical analysis of paraffin-embedded Mouse liver tissue labeling AKT1 + AKT2 with ab188099 at 1/100 dilution followed by Goat Anti-Rabbit IgG H&L (HRP) (ab97051) at 1/500 dilution.

Nucleus and cytoplasm staining on hepatocytes of mouse liver is observed.

Counter stained with Hematoxylin.
Negative control : Used PBS instead of primary ab, secondary ab is Goat Anti-Rabbit IgG H&L (HRP) (ab97051).

Perform heat mediated antigen retrieval with Tris/EDTA buffer pH 9.0 before commencing with IHC staining protocol.

Immunohistochemistry (Formalin/PFA-fixed paraffin-embedded sections) - Anti-AKT1 + AKT2 antibody [EPR18405] (AB188099)
  • IHC-P

Supplier Data

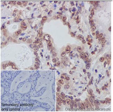
Immunohistochemistry (Formalin/PFA-fixed paraffin-embedded sections) - Anti-AKT1 + AKT2 antibody [EPR18405] (AB188099)

Immunohistochemical analysis of paraffin-embedded Rat kidney tissue labeling AKT1 + AKT2 with ab188099 at 1/100 dilution followed by Goat Anti-Rabbit IgG H&L (HRP) (ab97051) at 1/500 dilution.

Nucleus and cytoplasm staining on rat kidney is observed.

Counter stained with Hematoxylin.
Negative control : Used PBS instead of primary ab, secondary ab is Goat Anti-Rabbit IgG H&L (HRP) (ab97051).

Perform heat mediated antigen retrieval with Tris/EDTA buffer pH 9.0 before commencing with IHC staining protocol.

Immunocytochemistry/ Immunofluorescence - Anti-AKT1 + AKT2 antibody [EPR18405] (AB188099)
  • ICC/IF

Supplier Data

Immunocytochemistry/ Immunofluorescence - Anti-AKT1 + AKT2 antibody [EPR18405] (AB188099)

Immunofluorescent analysis of 4% paraformaldehyde-fixed, 0.1% Triton X-100 permeabilized NIH/3T3 (mouse embryonic fibroblast cell line) cells labeling AKT1 + AKT2 with ab188099 at 1/500 dilution, followed by Goat anti-rabbit IgG (Alexa Fluor® 488) (ab150077) secondary antibody at 1/500 dilution (green).

Confocal image showing cytoplasmic and nuclear staining on NIH/3T3 cells.

The nuclear counterstain is DAPI (blue).

Tubulin is detected with ab7291 (anti-Tubulin mouse mAb) at 1/1000 dilution and ab150120 (AlexaFluor®594 Goat anti-Mouse secondary) at 1/500 dilution (red).
The negative controls are as follows : -
-ve control 1 - ab188099 at 1/500 dilution followed by ab150120 (AlexaFluor®594 Goat anti-Mouse secondary) at 1/500 dilution.
-ve control 2. - ab7291 (anti-Tubulin mouse mAb) at 1/1000 dilution followed by ab150077 (Alexa Fluor®488 Goat Anti-Rabbit IgG H&L) at 1/500 dilution.

Western blot - Anti-AKT1 + AKT2 antibody [EPR18405] (AB188099)
  • WB

Supplier Data

Western blot - Anti-AKT1 + AKT2 antibody [EPR18405] (AB188099)

Blocking/dilution buffer : 5% NFDM/TBST.

All lanes:

Western blot - Anti-AKT1 + AKT2 antibody [EPR18405] (ab188099) at 1/2000 dilution

Lane 1:

HeLa (Human epithelial cells from cervix adenocarcinoma) whole cell lysate at 20 µg

Lane 2:

MCF-7 (Human breast adenocarcinoma) whole cell lysate at 20 µg

Secondary

All lanes:

Western blot - Goat Anti-Rabbit IgG H&L (HRP) (<a href='/en-us/products/secondary-antibodies/goat-rabbit-igg-h-l-hrp-ab97051'>ab97051</a>) at 1/1000 dilution

Predicted band size: 56 kDa

Observed band size: 56 kDa

false

Exposure time: 5s

Western blot - Anti-AKT1 + AKT2 antibody [EPR18405] (AB188099)
  • WB

Supplier Data

Western blot - Anti-AKT1 + AKT2 antibody [EPR18405] (AB188099)

Blocking/dilution buffer : 5% NFDM/TBST.

All lanes:

Western blot - Anti-AKT1 + AKT2 antibody [EPR18405] (ab188099) at 1/2000 dilution

Lane 1:

HepG2 (Human liver hepatocellular carcinoma) whole cell lysate at 20 µg

Lane 2:

A549 (Human lung carcinoma) whole cell lysate at 20 µg

Secondary

All lanes:

Western blot - Goat Anti-Rabbit IgG H&L (HRP) (<a href='/en-us/products/secondary-antibodies/goat-rabbit-igg-h-l-hrp-ab97051'>ab97051</a>) at 1/1000 dilution

Predicted band size: 56 kDa

Observed band size: 56 kDa

false

Exposure time: 15s

Western blot - Anti-AKT1 + AKT2 antibody [EPR18405] (AB188099)
  • WB

Supplier Data

Western blot - Anti-AKT1 + AKT2 antibody [EPR18405] (AB188099)

Blocking/dilution buffer : 5% NFDM/TBST.

All lanes:

Western blot - Anti-AKT1 + AKT2 antibody [EPR18405] (ab188099) at 1/2000 dilution

All lanes:

Human fetal kidney lysate at 10 µg

Secondary

All lanes:

Anti-Rabbit IgG (HRP), specific to the non-reduced form of IgG at 1/1000 dilution

Predicted band size: 56 kDa

Observed band size: 56 kDa

false

Exposure time: 3min

Western blot - Anti-AKT1 + AKT2 antibody [EPR18405] (AB188099)
  • WB

Supplier Data

Western blot - Anti-AKT1 + AKT2 antibody [EPR18405] (AB188099)

Blocking/dilution buffer : 5% NFDM/TBST.

All three Human AKT recombinant protein fragments containing an N-terminal His-Tag® were made in house.

All lanes:

Western blot - Anti-AKT1 + AKT2 antibody [EPR18405] (ab188099) at 1/20000 dilution

Lane 1:

AKT1 recombinant protein fragment (His-Tag®): aa250-481 at 0.01 µg

Lane 2:

AKT2 recombinant protein fragment (His-Tag®): aa282-481 at 0.01 µg

Lane 3:

AKT3 recombinant protein fragment (His-Tag®): aa351-479 at 0.01 µg

Secondary

All lanes:

Western blot - Goat Anti-Rabbit IgG H&L (HRP) (<a href='/en-us/products/secondary-antibodies/goat-rabbit-igg-h-l-hrp-ab97051'>ab97051</a>) at 1/1000 dilution

Predicted band size: 56 kDa

false

Exposure time: 10s

Western blot - Anti-AKT1 + AKT2 antibody [EPR18405] (AB188099)
  • WB

Supplier Data

Western blot - Anti-AKT1 + AKT2 antibody [EPR18405] (AB188099)

Blocking/dilution buffer : 5% NFDM/TBST.

All lanes:

Western blot - Anti-AKT1 + AKT2 antibody [EPR18405] (ab188099) at 1/2000 dilution

Lane 1:

Mouse brain lysate at 10 µg

Lane 2:

Rat brain lysate at 10 µg

Lane 3:

Rat heart lysate at 10 µg

Lane 4:

PC-12 (rat adrenal gland pheochromocytoma) whole cell lysate at 10 µg

Lane 5:

NIH/3T3 (mouse embryo fibroblast) whole cell lysate at 10 µg

Secondary

All lanes:

Western blot - Goat Anti-Rabbit IgG H&L (HRP) (<a href='/en-us/products/secondary-antibodies/goat-rabbit-igg-h-l-hrp-ab97051'>ab97051</a>) at 1/1000 dilution

Predicted band size: 56 kDa

Observed band size: 56 kDa

false

Exposure time: 15s

  • 665 Alexa Fluor® 647

    Alexa Fluor® 647 Anti-AKT1 + AKT2 antibody [EPR18405]

  • Carrier free

    Anti-AKT1 + AKT2 antibody [EPR18405] - BSA and Azide free

  • 519 Alexa Fluor® 488

    Alexa Fluor® 488 Anti-AKT1 + AKT2 antibody [EPR18405]

  • 578 PE

    PE Anti-AKT1 + AKT2 antibody [EPR18405]

Key facts

Host species

Rabbit

Clonality

Monoclonal

Clone number

EPR18405

Isotype

IgG

Carrier free

No

Reacts with

Mouse, Rat, Human

Applications

Flow Cyt (Intra), ICC/IF, WB, IHC-P

applications

Immunogen

The exact immunogen used to generate this antibody is proprietary information.

Reactivity data

{ "title": "Reactivity Data", "filters": { "stats": ["", "Species", "Dilution Info", "Notes"], "tabs": { "all-applications": {"fullname" : "All Applications", "shortname": "All Applications"}, "WB" : {"fullname" : "Western blot", "shortname":"WB"}, "ICCIF" : {"fullname" : "Immunocytochemistry/ Immunofluorescence", "shortname":"ICC/IF"}, "FlowCytIntra" : {"fullname" : "Flow Cytometry (Intracellular)", "shortname":"Flow Cyt (Intra)"}, "IHCP" : {"fullname" : "Immunohistochemistry (Formalin/PFA-fixed paraffin-embedded sections)", "shortname":"IHC-P"} }, "product-promise": { "all": "all", "testedAndGuaranteed": "tested", "guaranteed": "expected", "predicted": "predicted", "notRecommended": "not-recommended" } }, "values": { "Human": { "WB-species-checked": "testedAndGuaranteed", "WB-species-dilution-info": "1/2000", "WB-species-notes": "<p></p>", "ICCIF-species-checked": "testedAndGuaranteed", "ICCIF-species-dilution-info": "1/500", "ICCIF-species-notes": "<p></p>", "FlowCytIntra-species-checked": "testedAndGuaranteed", "FlowCytIntra-species-dilution-info": "1/200", "FlowCytIntra-species-notes": "<p></p>", "IHCP-species-checked": "testedAndGuaranteed", "IHCP-species-dilution-info": "1/100", "IHCP-species-notes": "<p></p> Perform heat-mediated antigen retrieval with Tris/EDTA buffer pH 9.0 before commencing with IHC staining protocol." }, "Mouse": { "WB-species-checked": "testedAndGuaranteed", "WB-species-dilution-info": "1/2000", "WB-species-notes": "<p></p>", "ICCIF-species-checked": "testedAndGuaranteed", "ICCIF-species-dilution-info": "1/500", "ICCIF-species-notes": "<p></p>", "FlowCytIntra-species-checked": "guaranteed", "FlowCytIntra-species-dilution-info": "", "FlowCytIntra-species-notes": "", "IHCP-species-checked": "testedAndGuaranteed", "IHCP-species-dilution-info": "1/100", "IHCP-species-notes": "<p></p> Perform heat-mediated antigen retrieval with Tris/EDTA buffer pH 9.0 before commencing with IHC staining protocol." }, "Rat": { "WB-species-checked": "testedAndGuaranteed", "WB-species-dilution-info": "1/2000", "WB-species-notes": "<p></p>", "ICCIF-species-checked": "guaranteed", "ICCIF-species-dilution-info": "", "ICCIF-species-notes": "", "FlowCytIntra-species-checked": "guaranteed", "FlowCytIntra-species-dilution-info": "", "FlowCytIntra-species-notes": "", "IHCP-species-checked": "testedAndGuaranteed", "IHCP-species-dilution-info": "1/100", "IHCP-species-notes": "<p></p> Perform heat-mediated antigen retrieval with Tris/EDTA buffer pH 9.0 before commencing with IHC staining protocol." } } }

Product details

Patented technology
Our RabMAb® technology is a patented hybridoma-based technology for making rabbit monoclonal antibodies. For details on our patents, please refer to RabMAb® patents.

What are the advantages of a recombinant monoclonal antibody?
This product is a recombinant monoclonal antibody, which offers several advantages including:

  • - High batch-to-batch consistency and reproducibility
  • - Improved sensitivity and specificity
  • - Long-term security of supply
  • - Animal-free batch production

For more information, read more on recombinant antibodies.

Properties and storage information

Form
Liquid
Purification technique
Affinity purification Protein A
Storage buffer
pH: 7.2 - 7.4 Preservative: 0.01% Sodium azide Constituents: PBS, 40% Glycerol (glycerin, glycerine), 0.05% BSA
Shipped at conditions
Blue Ice
Appropriate short-term storage duration
1-2 weeks
Appropriate short-term storage conditions
+4°C
Appropriate long-term storage conditions
-20°C
Aliquoting information
Upon delivery aliquot
Storage information
Avoid freeze / thaw cycle

Supplementary information

This supplementary information is collated from multiple sources and compiled automatically.

The AKT1 and AKT2 proteins also known as Protein Kinase B (PKB) isoforms are serine/threonine kinases with molecular masses approximately 56 kDa each. These proteins play mechanical roles as critical regulatory components in cell signaling pathways. AKT1 and AKT2 get activated via phosphorylation events particularly at threonine 308 and serine 473 for AKT1 facilitating downstream effects. AKT1 and AKT2 are expressed ubiquitously across diverse tissue types including heart brain lung and other vital organs. Their cellular presence ensures robust signaling responses across different physiological contexts.
Biological function summary

AKT1 and AKT2 regulate key cellular processes such as glucose metabolism apoptosis and cell proliferation. The two proteins act as part of the complex involving phosphoinositide 3-kinase (PI3K) affecting the survival and growth of cells. Through their actions these kinases impact various cellular mechanisms maintaining homeostasis and cellular integrity under stress. Their ability to modulate such essential processes illustrates their significance in maintaining cellular life and function.

Pathways

AKT1 and AKT2 are integral components of the PI3K/AKT/mTOR signaling pathway a pathway relevant in the regulation of cell growth and survival. Within this pathway AKT1 and AKT2 interact closely with proteins such as PI3K and mTOR executing signaling cascades essential for normal cellular functions. Additionally they exhibit connections to the insulin signaling pathway where they interact with insulin receptor substrates (IRSs) influencing glucose uptake and energy balance within the cell.

AKT1 and AKT2 have substantial relevance to several pathological conditions such as cancer and type 2 diabetes. Aberrant expression or mutations in AKT1 and AKT2 can lead to uncontrolled cell proliferation contributing to oncogenesis. Likewise these proteins affect insulin signaling and dysregulation can result in insulin resistance and type 2 diabetes. During these disease states AKT1 and AKT2 show considerable interactions with proteins like PTEN a phosphatase that negatively regulates the PI3K/AKT pathway highlighting their roles in pathophysiological conditions.

Product protocols

For this product, it's our understanding that no specific protocols are required. You can visit:

Target data

AKT1 is one of 3 closely related serine/threonine-protein kinases (AKT1, AKT2 and AKT3) called the AKT kinase, and which regulate many processes including metabolism, proliferation, cell survival, growth and angiogenesis (PubMed : 11882383, PubMed : 15526160, PubMed : 15861136, PubMed : 21432781, PubMed : 21620960, PubMed : 31204173). This is mediated through serine and/or threonine phosphorylation of a range of downstream substrates (PubMed : 11882383, PubMed : 15526160, PubMed : 21432781, PubMed : 21620960, PubMed : 29343641, PubMed : 31204173). Over 100 substrate candidates have been reported so far, but for most of them, no isoform specificity has been reported (PubMed : 11882383, PubMed : 15526160, PubMed : 21432781, PubMed : 21620960). AKT is responsible of the regulation of glucose uptake by mediating insulin-induced translocation of the SLC2A4/GLUT4 glucose transporter to the cell surface (By similarity). Phosphorylation of PTPN1 at 'Ser-50' negatively modulates its phosphatase activity preventing dephosphorylation of the insulin receptor and the attenuation of insulin signaling (By similarity). Phosphorylation of TBC1D4 triggers the binding of this effector to inhibitory 14-3-3 proteins, which is required for insulin-stimulated glucose transport (PubMed : 11994271). AKT also regulates the storage of glucose in the form of glycogen by phosphorylating GSK3A at 'Ser-21' and GSK3B at 'Ser-9', resulting in inhibition of its kinase activity (By similarity). Phosphorylation of GSK3 isoforms by AKT is also thought to be one mechanism by which cell proliferation is driven (By similarity). AKT also regulates cell survival via the phosphorylation of MAP3K5 (apoptosis signal-related kinase) (PubMed : 11154276). Phosphorylation of 'Ser-83' decreases MAP3K5 kinase activity stimulated by oxidative stress and thereby prevents apoptosis (PubMed : 11154276). AKT mediates insulin-stimulated protein synthesis by phosphorylating TSC2 at 'Ser-939' and 'Thr-1462', thereby activating the mTORC1 signaling pathway, and leading to both phosphorylation of 4E-BP1 and in activation of RPS6KB1 (PubMed : 12150915, PubMed : 12172553). Also regulates the mTORC1 signaling pathway by catalyzing phosphorylation of CASTOR1 and DEPDC5 (PubMed : 31548394, PubMed : 33594058). AKT plays a role as key modulator of the AKT-mTOR signaling pathway controlling the tempo of the process of newborn neurons integration during adult neurogenesis, including correct neuron positioning, dendritic development and synapse formation (By similarity). Part of a positive feedback loop of mTORC2 signaling by mediating phosphorylation of MAPKAP1/SIN1, promoting mTORC2 activation (By similarity). AKT is involved in the phosphorylation of members of the FOXO factors (Forkhead family of transcription factors), leading to binding of 14-3-3 proteins and cytoplasmic localization (PubMed : 10358075). In particular, FOXO1 is phosphorylated at 'Thr-24', 'Ser-256' and 'Ser-319' (PubMed : 10358075). FOXO3 and FOXO4 are phosphorylated on equivalent sites (PubMed : 10358075). AKT has an important role in the regulation of NF-kappa-B-dependent gene transcription and positively regulates the activity of CREB1 (cyclic AMP (cAMP)-response element binding protein) (PubMed : 9829964). The phosphorylation of CREB1 induces the binding of accessory proteins that are necessary for the transcription of pro-survival genes such as BCL2 and MCL1 (PubMed : 9829964). AKT phosphorylates 'Ser-454' on ATP citrate lyase (ACLY), thereby potentially regulating ACLY activity and fatty acid synthesis (By similarity). Activates the 3B isoform of cyclic nucleotide phosphodiesterase (PDE3B) via phosphorylation of 'Ser-273', resulting in reduced cyclic AMP levels and inhibition of lipolysis (By similarity). Phosphorylates PIKFYVE on 'Ser-318', which results in increased PI(3)P-5 activity (By similarity). The Rho GTPase-activating protein DLC1 is another substrate and its phosphorylation is implicated in the regulation cell proliferation and cell growth (By similarity). Signals downstream of phosphatidylinositol 3-kinase (PI(3)K) to mediate the effects of various growth factors such as platelet-derived growth factor (PDGF), epidermal growth factor (EGF), insulin and insulin-like growth factor 1 (IGF1) (PubMed : 12176338, PubMed : 12964941). AKT mediates the antiapoptotic effects of IGF1 (By similarity). Essential for the SPATA13-mediated regulation of cell migration and adhesion assembly and disassembly (PubMed : 19934221). May be involved in the regulation of the placental development (By similarity). Phosphorylates STK4/MST1 at 'Thr-120' and 'Thr-387' leading to inhibition of its : kinase activity, nuclear translocation, autophosphorylation and ability to phosphorylate FOXO3 (PubMed : 17726016). Phosphorylates STK3/MST2 at 'Thr-117' and 'Thr-384' leading to inhibition of its : cleavage, kinase activity, autophosphorylation at Thr-180, binding to RASSF1 and nuclear translocation (PubMed : 20086174). Phosphorylates SRPK2 and enhances its kinase activity towards SRSF2 and ACIN1 and promotes its nuclear translocation (PubMed : 19592491). Phosphorylates RAF1 at 'Ser-259' and negatively regulates its activity (PubMed : 10576742). Phosphorylation of BAD stimulates its pro-apoptotic activity (PubMed : 10926925). Phosphorylates KAT6A at 'Thr-369' and this phosphorylation inhibits the interaction of KAT6A with PML and negatively regulates its acetylation activity towards p53/TP53 (PubMed : 23431171). Phosphorylates palladin (PALLD), modulating cytoskeletal organization and cell motility (PubMed : 20471940). Phosphorylates prohibitin (PHB), playing an important role in cell metabolism and proliferation (PubMed : 18507042). Phosphorylates CDKN1A, for which phosphorylation at 'Thr-145' induces its release from CDK2 and cytoplasmic relocalization (PubMed : 16982699). These recent findings indicate that the AKT1 isoform has a more specific role in cell motility and proliferation (PubMed : 16139227). Phosphorylates CLK2 thereby controlling cell survival to ionizing radiation (PubMed : 20682768). Phosphorylates PCK1 at 'Ser-90', reducing the binding affinity of PCK1 to oxaloacetate and changing PCK1 into an atypical protein kinase activity using GTP as donor (PubMed : 32322062). Also acts as an activator of TMEM175 potassium channel activity in response to growth factors : forms the lysoK(GF) complex together with TMEM175 and acts by promoting TMEM175 channel activation, independently of its protein kinase activity (PubMed : 32228865). Acts as a regulator of mitochondrial calcium uptake by mediating phosphorylation of MICU1 in the mitochondrial intermembrane space, impairing MICU1 maturation (PubMed : 30504268). Acts as an inhibitor of tRNA methylation by mediating phosphorylation of the N-terminus of METTL1, thereby inhibiting METTL1 methyltransferase activity (PubMed : 15861136). In response to LPAR1 receptor pathway activation, phosphorylates Rabin8/RAB3IP which alters its activity and phosphorylates WDR44 which induces WDR44 binding to Rab11, thereby switching Rab11 vesicular function from preciliary trafficking to endocytic recycling (PubMed : 31204173).
See full target information AKT1

Additional targets

RAC-beta serine/threonine-protein kinase

Publications (9)

Recent publications for all applications. Explore the full list and refine your search

Neural regeneration research 19:1772-1780 PubMed38103244

2023

High-frequency repetitive transcranial magnetic stimulation promotes neural stem cell proliferation after ischemic stroke.

Applications

Unspecified application

Species

Unspecified reactive species

Jing Luo,Yuan Feng,Zhongqiu Hong,Mingyu Yin,Haiqing Zheng,Liying Zhang,Xiquan Hu

Iranian journal of public health 52:1962-1972 PubMed38033851

2023

Licochalcone A Inhibits Proliferation and Metastasis of Colon Cancer by Regulating miR-1270/ADAM9/Akt/NF-κB axis.

Applications

Unspecified application

Species

Unspecified reactive species

Changhai Pan,Hongjin Chen,Bolin Yang

Molecules (Basel, Switzerland) 26: PubMed34946711

2021

Carpachromene Ameliorates Insulin Resistance in HepG2 Cells via Modulating IR/IRS1/PI3k/Akt/GSK3/FoxO1 Pathway.

Applications

Unspecified application

Species

Unspecified reactive species

Rania Alaaeldin,Iman A M Abdel-Rahman,Heba Ali Hassan,Nancy Youssef,Ahmed E Allam,Sayed F Abdelwahab,Qing-Li Zhao,Moustafa Fathy

Journal of molecular histology 52:1067-1080 PubMed34398360

2021

Globular adiponectin inhibits osteoblastic differentiation of vascular smooth muscle cells through the PI3K/AKT and Wnt/β-catenin pathway.

Applications

Unspecified application

Species

Unspecified reactive species

Yun Zhou,Li-Long Wei,Rui-Ping Zhang,Cheng-Wu Han,Yongtong Cao

Frontiers in pharmacology 12:684915 PubMed34305598

2021

PPM-18, an Analog of Vitamin K, Induces Autophagy and Apoptosis in Bladder Cancer Cells Through ROS and AMPK Signaling Pathways.

Applications

Unspecified application

Species

Unspecified reactive species

Huiai Lu,Chunlei Mei,Luhao Yang,Junyan Zheng,Junwei Tong,Fengsen Duan,Huageng Liang,Ling Hong

Scientific reports 10:7714 PubMed32382009

2020

Vitamin K2 promotes PI3K/AKT/HIF-1α-mediated glycolysis that leads to AMPK-dependent autophagic cell death in bladder cancer cells.

Applications

Unspecified application

Species

Unspecified reactive species

Fengsen Duan,Chunlei Mei,Luhao Yang,Junyan Zheng,Huiai Lu,Yanzhi Xia,Stacy Hsu,Huageng Liang,Ling Hong

Cancer cell international 19:348 PubMed31889900

2019

Casticin inhibits nasopharyngeal carcinoma growth by targeting phosphoinositide 3-kinase.

Applications

Unspecified application

Species

Unspecified reactive species

Jingxian Liu,Jinghong Yang,Yuhe Hou,Zhenwei Zhu,Jie He,Hao Zhao,Xidong Ye,Dengke Li,Zhaohui Wu,Zhongxi Huang,Bingtao Hao,Kaitai Yao

International journal of oncology 54:905-915 PubMed30483763

2018

Fe3O4-solamargine induces apoptosis and inhibits metastasis of pancreatic cancer cells.

Applications

Unspecified application

Species

Unspecified reactive species

Xiaodong Xie,Xiuming Zhang,Jun Chen,Xun Tang,Meiqin Wang,Lei Zhang,Zhen Guo,Wenrong Shen

American journal of physiology. Renal physiology 316:F134-F145 PubMed30461292

2018

ADAMTS13 protects mice against renal ischemia-reperfusion injury by reducing inflammation and improving endothelial function.

Applications

Unspecified application

Species

Unspecified reactive species

Suhan Zhou,Shan Jiang,Jie Guo,Nan Xu,Qin Wang,Gensheng Zhang,Liang Zhao,Qin Zhou,Xiaodong Fu,Lingli Li,Andreas Patzak,Michael Hultström,En Yin Lai
View all publications

Product promise

We are committed to supporting your work with high-quality reagents, and we're here for you every step of the way. In the unlikely event that one of our products does not perform as expected, you're protected by our Product Promise.
For full details, please see our Terms & Conditions

Please note: All products are 'FOR RESEARCH USE ONLY. NOT FOR USE IN DIAGNOSTIC OR THERAPEUTIC PROCEDURES'.

For licensing inquiries, please contact partnerships@abcam.com