JavaScript is disabled in your browser. Please enable JavaScript to view this website.
AB192623

Anti-AKT1 (pS473) + AKT2 (pS474) + AKT3 (pS472) antibody [EPR18853]

Be the first to review this product! Submit a review

|

(125 Publications)

Anti-AKT1 (pS473) + AKT2 (pS474) + AKT3 (pS472) antibody [EPR18853] (ab192623) is a rabbit monoclonal antibody detecting AKT1 in Western Blot, IP, ICC/IF, Dot Blot. Suitable for Human, Mouse, Rat.

- Biophysical QC for unrivalled batch-batch consistency
- Over 60 publications

View Alternative Names

PKB, RAC, AKT1, RAC-alpha serine/threonine-protein kinase, Protein kinase B, Protein kinase B alpha, Proto-oncogene c-Akt, RAC-PK-alpha, PKB alpha, PKB, RAC, AKT1, RAC-alpha serine/threonine-protein kinase, Protein kinase B, Protein kinase B alpha, Proto-oncogene c-Akt, RAC-PK-alpha, PKB alpha, RAC-beta serine/threonine-protein kinase, Protein kinase Akt-2, Protein kinase B beta, RAC protein kinase beta, PKB beta, RAC-PK-beta, AKT2

6 Images
Immunocytochemistry/ Immunofluorescence - Anti-AKT1 (pS473) + AKT2 (pS474) + AKT3 (pS472) antibody [EPR18853] (AB192623)
  • ICC/IF

Supplier Data

Immunocytochemistry/ Immunofluorescence - Anti-AKT1 (pS473) + AKT2 (pS474) + AKT3 (pS472) antibody [EPR18853] (AB192623)

Immunofluorescent analysis of 4% paraformaldehyde-fixed, 0.1% Triton X-100 permeabilized NIH/3T3 (Mouse embryonic fibroblast cell line) cells, untreated or treated with PDGF (100 ng/ml) for 1 hour, labeling AKT3 (phospho S472) + AKT2 (phospho S474) + AKT1 (phospho S473) with ab192623 at 1/100 dilution, followed by Goat Anti-Rabbit IgG (Alexa Fluor® 488) (ab150077) secondary antibody at 1/1000 dilution (green).

The signal increased after treatment with PDGF (100 ng/ml) for 1 hour on NIH/3T3 cells.

The nuclear counter stain is DAPI (blue).

Tubulin is detected with ab195889 (Anti-alpha Tubulin antibody [DM1A] - Microtubule Marker (Alexa Fluor® 594)) at 1/200 dilution (red).

Secondary antibody only control : Used PBS instead of primary antibody, secondary antibody is Goat anti-rabbit IgG (Alexa Fluor® 488) (ab150077) at 1/1000 dilution.

Immunoprecipitation - Anti-AKT1 (pS473) + AKT2 (pS474) + AKT3 (pS472) antibody [EPR18853] (AB192623)
  • IP

Supplier Data

Immunoprecipitation - Anti-AKT1 (pS473) + AKT2 (pS474) + AKT3 (pS472) antibody [EPR18853] (AB192623)

AKT3 (phospho S472) was immunoprecipitated from 0.35 mg of NIH/3T3 (Mouse embryonic fibroblast cell line) treated with 50ng/ml PDGF for 40min whole cell lysate with ab192623 at 1/40 dilution. Western blot was performed from the immunoprecipitate using ab192623 at 1/500 dilution. VeriBlot for IP Detection Reagent (HRP) (ab131366), was used for detection at 1/1000 dilution.

Lane 1 : NIH/3T3 treated with 50ng/ml PDGF for 40min whole cell lysate, 10μg (Input).

Lane 2 : ab192623 IP in NIH/3T3 treated with 50ng/ml PDGF for 40min whole cell lysate.

Lane 3 : Rabbit IgG,monoclonal [EPR25A]-Isotype Control (ab172730) instead of ab192623 in NIH/3T3 treated with 50ng/ml PDGF for 40min whole cell lysate.

Blocking and dilution buffer and concentration : 5% NFDM/TBST.

Exposure time : 5 seconds.

All lanes:

Immunoprecipitation - Anti-AKT1 (pS473) + AKT2 (pS474) + AKT3 (pS472) antibody [EPR18853] (ab192623)

Predicted band size: 56 kDa

false

Western blot - Anti-AKT1 (pS473) + AKT2 (pS474) + AKT3 (pS472) antibody [EPR18853] (AB192623)
  • WB

Supplier Data

Western blot - Anti-AKT1 (pS473) + AKT2 (pS474) + AKT3 (pS472) antibody [EPR18853] (AB192623)

Blocking/Dilution buffer : 5% NFDM/TBST.

Phosphorylation of AKT at S473 can be induced by IGF-1 treatment according to the literature (PMID : 23638184).

All lanes:

Western blot - Anti-AKT1 (pS473) + AKT2 (pS474) + AKT3 (pS472) antibody [EPR18853] (ab192623) at 1/1000 dilution

Lane 1:

Untreated MCF7 (Human breast adenocarcinoma cell line) whole cell lysate at 10 µg

Lane 2:

MCF7 (Human breast adenocarcinoma cell line) whole cell lysate treated with 100ng/ml IGF-1 for 15 minutes at 10 µg

Secondary

All lanes:

Western blot - Goat Anti-Rabbit IgG H&L (HRP) (<a href='/en-us/products/secondary-antibodies/goat-rabbit-igg-h-l-hrp-ab97051'>ab97051</a>) at 1/100000 dilution

Predicted band size: 56 kDa

Observed band size: 56 kDa

false

Exposure time: 3min

Western blot - Anti-AKT1 (pS473) + AKT2 (pS474) + AKT3 (pS472) antibody [EPR18853] (AB192623)
  • WB

Supplier Data

Western blot - Anti-AKT1 (pS473) + AKT2 (pS474) + AKT3 (pS472) antibody [EPR18853] (AB192623)

Blocking/Dilution buffer : 5% NFDM/TBST.

Exposure time : Lane 1 and 2 : 15 seconds; Lane 3 and 4 : 3 minutes.

Phosphorylation of AKT can be induced by PDGF treatment according to the literature (PMID : 10984605 and 7774014).

All lanes:

Western blot - Anti-AKT1 (pS473) + AKT2 (pS474) + AKT3 (pS472) antibody [EPR18853] (ab192623) at 1/1000 dilution

Lane 1:

Untreated PC-12 (Rat adrenal gland pheochromocytoma cell line) whole cell lysate at 20 µg

Lane 2:

PC-12 (Rat adrenal gland pheochromocytoma cell line) whole cell lysate treated with 100ng/ml PDGF for 60 minutes at 20 µg

Lane 3:

Untreated NIH/3T3 (Mouse embryonic fibroblast cell line) whole cell lysate at 20 µg

Lane 4:

NIH/3T3 (Mouse embryonic fibroblast cell line) whole cell lysate treated with 100ng/ml PDGF for 60 minutes at 20 µg

Secondary

All lanes:

Western blot - Goat Anti-Rabbit IgG H&L (HRP) (<a href='/en-us/products/secondary-antibodies/goat-rabbit-igg-h-l-hrp-ab97051'>ab97051</a>) at 1/100000 dilution

Predicted band size: 56 kDa

Observed band size: 56 kDa

false

Western blot - Anti-AKT1 (pS473) + AKT2 (pS474) + AKT3 (pS472) antibody [EPR18853] (AB192623)
  • WB

Supplier Data

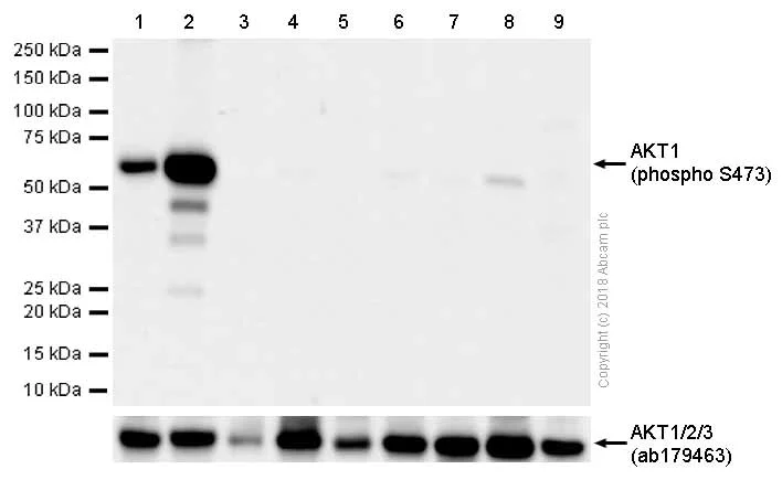
Western blot - Anti-AKT1 (pS473) + AKT2 (pS474) + AKT3 (pS472) antibody [EPR18853] (AB192623)

The basal expression level of AKT1 (phospho S473) varies in different cell lines reported by PMID : 19372546. But to detect clear signal, treatment is strongly recommended when using this antibody.

Blocking and Diluting buffer : 5% NFDM/TBST

All lanes:

Western blot - Anti-AKT1 (pS473) + AKT2 (pS474) + AKT3 (pS472) antibody [EPR18853] (ab192623) at 1/1000 dilution

Lane 1:

LNCaP (Human prostate carcinoma epithelial cell) whole cell lysates at 20 µg

Lane 2:

LNCaP (Human prostate carcinoma epithelial cell) treated with 0.1 uM Calyculin A for 30 minutes whole cell lysates at 20 µg

Lane 3:

A549 (Human lung carcinoma epithelial cell) whole cell lysates at 20 µg

Lane 4:

MCF7 (Human breast adenocarcinoma epithelial cell) whole cell lysates at 20 µg

Lane 5:

HepG2 (Human hepatocellular carcinoma epithelial cell) whole cell lysates at 20 µg

Lane 6:

HUVEC (Human umbilical vein endothelial cell) whole cell lysates at 20 µg

Lane 7:

C2C12 (Mouse myoblasts myoblast) whole cell lysates at 20 µg

Lane 8:

Mouse brain lysates at 20 µg

Lane 9:

Rat heart lysates at 20 µg

Secondary

All lanes:

Western blot - Goat Anti-Rabbit IgG H&L (HRP) (<a href='/en-us/products/secondary-antibodies/goat-rabbit-igg-h-l-hrp-ab97051'>ab97051</a>) at 1/20000 dilution

Predicted band size: 56 kDa

Observed band size: 56 kDa

false

Exposure time: 50s

Dot Blot - Anti-AKT1 (pS473) + AKT2 (pS474) + AKT3 (pS472) antibody [EPR18853] (AB192623)
  • Dot

Supplier Data

Dot Blot - Anti-AKT1 (pS473) + AKT2 (pS474) + AKT3 (pS472) antibody [EPR18853] (AB192623)

Dot blot analysis of AKT3 (phospho S472) labeled with ab192623 at 1/1000 dilution.

Lane 1 : AKT3 (phospho S472) phospho peptide;

Lane 2 : AKT3 non-phospho peptide;

Lane 3 : AKT1 (phospho S473) phospho peptide;

Lane 4 : AKT2 (phospho S474) phospho peptide.

Goat Anti-Rabbit IgG, (H+L),Peroxidase conjugated (ab97051) at 1/100000 dilution was used as secondary antibody.

Blocking and diluting buffer : 5% NFDM/TBST.

Exposure time : 3 minutes.

  • Carrier free

    Anti-AKT1 (pS473) + AKT2 (pS474) + AKT3 (pS472) antibody [EPR18853] - BSA and Azide free (Detector)

  • Carrier free

    Anti-AKT1 (pS473) + AKT2 (pS474) + AKT3 (pS472) antibody [EPR18853] - BSA and Azide free (Detector)

  • Carrier free

    Anti-AKT1 (pS473) + AKT2 (pS474) + AKT3 (pS472) antibody [EPR18853] - BSA and Azide free

Key facts

Host species

Rabbit

Clonality

Monoclonal

Clone number

EPR18853

Isotype

IgG

Carrier free

No

Reacts with

Mouse, Rat, Human

Applications

IP, Dot, WB, ICC/IF

applications

Immunogen

The exact immunogen used to generate this antibody is proprietary information.

Reactivity data

{ "title": "Reactivity Data", "filters": { "stats": ["", "Species", "Dilution Info", "Notes"], "tabs": { "all-applications": {"fullname" : "All Applications", "shortname": "All Applications"}, "IP" : {"fullname" : "Immunoprecipitation", "shortname":"IP"}, "Dot" : {"fullname" : "Dot Blot", "shortname":"Dot"}, "WB" : {"fullname" : "Western blot", "shortname":"WB"}, "ICCIF" : {"fullname" : "Immunocytochemistry/ Immunofluorescence", "shortname":"ICC/IF"} }, "product-promise": { "all": "all", "testedAndGuaranteed": "tested", "guaranteed": "expected", "predicted": "predicted", "notRecommended": "not-recommended" } }, "values": { "Human": { "IP-species-checked": "guaranteed", "IP-species-dilution-info": "", "IP-species-notes": "", "Dot-species-checked": "guaranteed", "Dot-species-dilution-info": "", "Dot-species-notes": "", "WB-species-checked": "testedAndGuaranteed", "WB-species-dilution-info": "1/1000", "WB-species-notes": "<p></p>", "ICCIF-species-checked": "guaranteed", "ICCIF-species-dilution-info": "", "ICCIF-species-notes": "" }, "Mouse": { "IP-species-checked": "testedAndGuaranteed", "IP-species-dilution-info": "1/40", "IP-species-notes": "<p></p>", "Dot-species-checked": "guaranteed", "Dot-species-dilution-info": "", "Dot-species-notes": "", "WB-species-checked": "testedAndGuaranteed", "WB-species-dilution-info": "1/1000", "WB-species-notes": "<p></p>", "ICCIF-species-checked": "testedAndGuaranteed", "ICCIF-species-dilution-info": "1/100", "ICCIF-species-notes": "<p></p>" }, "Rat": { "IP-species-checked": "guaranteed", "IP-species-dilution-info": "", "IP-species-notes": "", "Dot-species-checked": "guaranteed", "Dot-species-dilution-info": "", "Dot-species-notes": "", "WB-species-checked": "testedAndGuaranteed", "WB-species-dilution-info": "1/1000", "WB-species-notes": "<p></p>", "ICCIF-species-checked": "guaranteed", "ICCIF-species-dilution-info": "", "ICCIF-species-notes": "" }, "Synthetic peptide": { "IP-species-checked": "notRecommended", "IP-species-dilution-info": "", "IP-species-notes": "", "Dot-species-checked": "testedAndGuaranteed", "Dot-species-dilution-info": "1/1000", "Dot-species-notes": "<p></p>", "WB-species-checked": "notRecommended", "WB-species-dilution-info": "", "WB-species-notes": "", "ICCIF-species-checked": "notRecommended", "ICCIF-species-dilution-info": "", "ICCIF-species-notes": "" } } }

Product details

What is this antibody validated in?
Anti-AKT1 (pS473) + AKT2 (pS474) + AKT3 (pS472) antibody [EPR18853] (ab192623) is a rabbit recombinant monoclonal antibody and is validated for use in Western Blot (WB), Immunoprecipitation (IP), Immunocytochemistry/immunofluorescence (ICC/IF), Dot Blot in Human, Mouse, Rat samples.

What is the molecular weight of AKT1?
Anti-AKT1 (pS473) + AKT2 (pS474) + AKT3 (pS472) [EPR18853] (ab192623) specifically detects a band for AKT1 (UniProt: Q9Y243) at a molecular weight of 56kDa.

Trusted by the scientific community
Anti-AKT1 (pS473) + AKT2 (pS474) + AKT3 (pS472) [EPR18853] (ab192623) was first used in a scientific publication in 2016 and has been cited over 60 times in peer-reviewed journals.

Trial sizes available!
Test your antibody or perform pre-screening before committing to a larger quantity. Sold in 10µl. Discover our selection of trial-size antibodies.

Other related products
We have a range of other formats of antibody clone [EPR18853] also available for your convenience: ab192623, Carrier free - ab222489, Carrier free - ab272367, Carrier free - ab285140

Patented technology
Our RabMAb® technology is a patented hybridoma-based technology for making rabbit monoclonal antibodies. For details on our patents, please refer to RabMAb® patents.

What are the advantages of a recombinant monoclonal antibody?
This product is a recombinant monoclonal antibody, which offers several advantages including:

  • - High batch-to-batch consistency and reproducibility
  • - Improved sensitivity and specificity
  • - Long-term security of supply
  • - Animal-free batch production

For more information, read more on recombinant antibodies.

Properties and storage information

Form
Liquid
Purification technique
Affinity purification Protein A
Storage buffer
pH: 7.2 - 7.4 Preservative: 0.01% Sodium azide Constituents: PBS, 40% Glycerol (glycerin, glycerine), 0.05% BSA
Shipped at conditions
Blue Ice
Appropriate short-term storage duration
1-2 weeks
Appropriate short-term storage conditions
+4°C
Appropriate long-term storage conditions
-20°C
Aliquoting information
Upon delivery aliquot
Storage information
Avoid freeze / thaw cycle

Supplementary information

This supplementary information is collated from multiple sources and compiled automatically.

The protein kinase AKT also known as protein kinase B (PKB) includes three isoforms: AKT1 AKT2 and AKT3. These play a central role in cellular processes. AKT1 has a molecular weight of approximately 56 kDa AKT2 has around 55 kDa and AKT3 similarly weighs about 54 kDa. These isoforms of AKT are expressed in various tissues but AKT1 is abundantly found in most tissues AKT2 is often present in insulin-responsive tissues like skeletal muscle and adipose tissue and AKT3 is mainly in the brain. The activation of AKT involves phosphorylation which increases their kinase activity significantly. The isoforms have unique and overlapping functions offering distinct mechanical roles in cellular signaling.
Biological function summary

The AKT kinase family plays a major role in regulating vital cellular functions including metabolism cell proliferation survival and growth. It does so by catalyzing phosphorylation of a range of substrates within these pathways. AKT is often involved in complexes with other proteins to achieve these biological effects. It impacts the regulation of glycogen synthase kinase 3 (GSK3) involved in insulin response and mTOR which controls cell growth. These wide-ranging functions make AKT proteins essential in maintaining cellular homeostasis.

Pathways

AKT proteins are important components of the PI3K/AKT/mTOR signaling pathway and the insulin signaling pathway. Within these pathways they interact with and modulate activities of related proteins such as PI3K PDK1 and mTOR. This regulation helps control the balance between anabolic and catabolic processes influencing cell survival growth and metabolism. The importance of AKT kinases in these pathways marks them as key regulators of cellular responses to external and internal stimuli.

AKT isoforms have strong connections to cancer and diabetes. Over-activation of AKT pathways frequently occurs in cancerous cells contributing to uncontrolled cell growth and survival. In diabetes AKT2 is particularly implicated due to its role in insulin signaling influencing how cells process glucose. Dysregulation of AKT pathways has been linked to the development and progression of these diseases where proteins like mTOR in cancer and IRS1 in diabetes show direct relation to AKT function and malfunctions.

Product protocols

For this product, it's our understanding that no specific protocols are required. You can visit:

Target data

AKT1 is one of 3 closely related serine/threonine-protein kinases (AKT1, AKT2 and AKT3) called the AKT kinase, and which regulate many processes including metabolism, proliferation, cell survival, growth and angiogenesis (PubMed : 11882383, PubMed : 15526160, PubMed : 15861136, PubMed : 21432781, PubMed : 21620960, PubMed : 31204173). This is mediated through serine and/or threonine phosphorylation of a range of downstream substrates (PubMed : 11882383, PubMed : 15526160, PubMed : 21432781, PubMed : 21620960, PubMed : 29343641, PubMed : 31204173). Over 100 substrate candidates have been reported so far, but for most of them, no isoform specificity has been reported (PubMed : 11882383, PubMed : 15526160, PubMed : 21432781, PubMed : 21620960). AKT is responsible of the regulation of glucose uptake by mediating insulin-induced translocation of the SLC2A4/GLUT4 glucose transporter to the cell surface (By similarity). Phosphorylation of PTPN1 at 'Ser-50' negatively modulates its phosphatase activity preventing dephosphorylation of the insulin receptor and the attenuation of insulin signaling (By similarity). Phosphorylation of TBC1D4 triggers the binding of this effector to inhibitory 14-3-3 proteins, which is required for insulin-stimulated glucose transport (PubMed : 11994271). AKT also regulates the storage of glucose in the form of glycogen by phosphorylating GSK3A at 'Ser-21' and GSK3B at 'Ser-9', resulting in inhibition of its kinase activity (By similarity). Phosphorylation of GSK3 isoforms by AKT is also thought to be one mechanism by which cell proliferation is driven (By similarity). AKT also regulates cell survival via the phosphorylation of MAP3K5 (apoptosis signal-related kinase) (PubMed : 11154276). Phosphorylation of 'Ser-83' decreases MAP3K5 kinase activity stimulated by oxidative stress and thereby prevents apoptosis (PubMed : 11154276). AKT mediates insulin-stimulated protein synthesis by phosphorylating TSC2 at 'Ser-939' and 'Thr-1462', thereby activating the mTORC1 signaling pathway, and leading to both phosphorylation of 4E-BP1 and in activation of RPS6KB1 (PubMed : 12150915, PubMed : 12172553). Also regulates the mTORC1 signaling pathway by catalyzing phosphorylation of CASTOR1 and DEPDC5 (PubMed : 31548394, PubMed : 33594058). AKT plays a role as key modulator of the AKT-mTOR signaling pathway controlling the tempo of the process of newborn neurons integration during adult neurogenesis, including correct neuron positioning, dendritic development and synapse formation (By similarity). Part of a positive feedback loop of mTORC2 signaling by mediating phosphorylation of MAPKAP1/SIN1, promoting mTORC2 activation (By similarity). AKT is involved in the phosphorylation of members of the FOXO factors (Forkhead family of transcription factors), leading to binding of 14-3-3 proteins and cytoplasmic localization (PubMed : 10358075). In particular, FOXO1 is phosphorylated at 'Thr-24', 'Ser-256' and 'Ser-319' (PubMed : 10358075). FOXO3 and FOXO4 are phosphorylated on equivalent sites (PubMed : 10358075). AKT has an important role in the regulation of NF-kappa-B-dependent gene transcription and positively regulates the activity of CREB1 (cyclic AMP (cAMP)-response element binding protein) (PubMed : 9829964). The phosphorylation of CREB1 induces the binding of accessory proteins that are necessary for the transcription of pro-survival genes such as BCL2 and MCL1 (PubMed : 9829964). AKT phosphorylates 'Ser-454' on ATP citrate lyase (ACLY), thereby potentially regulating ACLY activity and fatty acid synthesis (By similarity). Activates the 3B isoform of cyclic nucleotide phosphodiesterase (PDE3B) via phosphorylation of 'Ser-273', resulting in reduced cyclic AMP levels and inhibition of lipolysis (By similarity). Phosphorylates PIKFYVE on 'Ser-318', which results in increased PI(3)P-5 activity (By similarity). The Rho GTPase-activating protein DLC1 is another substrate and its phosphorylation is implicated in the regulation cell proliferation and cell growth (By similarity). Signals downstream of phosphatidylinositol 3-kinase (PI(3)K) to mediate the effects of various growth factors such as platelet-derived growth factor (PDGF), epidermal growth factor (EGF), insulin and insulin-like growth factor 1 (IGF1) (PubMed : 12176338, PubMed : 12964941). AKT mediates the antiapoptotic effects of IGF1 (By similarity). Essential for the SPATA13-mediated regulation of cell migration and adhesion assembly and disassembly (PubMed : 19934221). May be involved in the regulation of the placental development (By similarity). Phosphorylates STK4/MST1 at 'Thr-120' and 'Thr-387' leading to inhibition of its : kinase activity, nuclear translocation, autophosphorylation and ability to phosphorylate FOXO3 (PubMed : 17726016). Phosphorylates STK3/MST2 at 'Thr-117' and 'Thr-384' leading to inhibition of its : cleavage, kinase activity, autophosphorylation at Thr-180, binding to RASSF1 and nuclear translocation (PubMed : 20086174). Phosphorylates SRPK2 and enhances its kinase activity towards SRSF2 and ACIN1 and promotes its nuclear translocation (PubMed : 19592491). Phosphorylates RAF1 at 'Ser-259' and negatively regulates its activity (PubMed : 10576742). Phosphorylation of BAD stimulates its pro-apoptotic activity (PubMed : 10926925). Phosphorylates KAT6A at 'Thr-369' and this phosphorylation inhibits the interaction of KAT6A with PML and negatively regulates its acetylation activity towards p53/TP53 (PubMed : 23431171). Phosphorylates palladin (PALLD), modulating cytoskeletal organization and cell motility (PubMed : 20471940). Phosphorylates prohibitin (PHB), playing an important role in cell metabolism and proliferation (PubMed : 18507042). Phosphorylates CDKN1A, for which phosphorylation at 'Thr-145' induces its release from CDK2 and cytoplasmic relocalization (PubMed : 16982699). These recent findings indicate that the AKT1 isoform has a more specific role in cell motility and proliferation (PubMed : 16139227). Phosphorylates CLK2 thereby controlling cell survival to ionizing radiation (PubMed : 20682768). Phosphorylates PCK1 at 'Ser-90', reducing the binding affinity of PCK1 to oxaloacetate and changing PCK1 into an atypical protein kinase activity using GTP as donor (PubMed : 32322062). Also acts as an activator of TMEM175 potassium channel activity in response to growth factors : forms the lysoK(GF) complex together with TMEM175 and acts by promoting TMEM175 channel activation, independently of its protein kinase activity (PubMed : 32228865). Acts as a regulator of mitochondrial calcium uptake by mediating phosphorylation of MICU1 in the mitochondrial intermembrane space, impairing MICU1 maturation (PubMed : 30504268). Acts as an inhibitor of tRNA methylation by mediating phosphorylation of the N-terminus of METTL1, thereby inhibiting METTL1 methyltransferase activity (PubMed : 15861136). In response to LPAR1 receptor pathway activation, phosphorylates Rabin8/RAB3IP which alters its activity and phosphorylates WDR44 which induces WDR44 binding to Rab11, thereby switching Rab11 vesicular function from preciliary trafficking to endocytic recycling (PubMed : 31204173).
See full target information AKT1 phospho S473

Additional targets

AKT1 phospho S473,AKT2 phospho S474

Publications (125)

Recent publications for all applications. Explore the full list and refine your search

PloS one 20:e0332202 PubMed40991530

2025

Investigating the anti-osteosarcoma effects of Patchouli alcohol through protein network mapping and in vitro experiments.

Applications

Unspecified application

Species

Unspecified reactive species

Zeyu Zhan,He Pang,Hang Wu,Lijun Song,Bo Wei

Science advances 11:eadu5571 PubMed40961206

2025

Nanozyme eye drops for retinal barrier penetration and vasculopathy repair.

Applications

Unspecified application

Species

Unspecified reactive species

Bai Xue,Shuyu Wang,Tingting Wu,Lulu Wang,Xuejiao J Gao,Mengyuan Cao,Ming Tang,Yuxin Wan,Xiyun Yan,Wei Jiang,Bing Jiang

Bioactive materials 53:737-753 PubMed40801020

2025

Inhibition of ARH2 by pH/ROS-responsive nanosystem for improved lung adenocarcinoma immunochemotherapy.

Applications

Unspecified application

Species

Unspecified reactive species

Rui Cai,Meng Wang,Mengting Pan,Zhiwu Zhang,Qiang Jia,Longbao Feng,Zhongjian Yu,Lu Liu,Tongyu Zhu,Silin Cai,Han Tian,Jiangyu Zhang,Rui Guo,Yanfang Zheng

Pharmaceuticals (Basel, Switzerland) 18: PubMed40732297

2025

Isoliensinine Induces Ferroptosis in Urothelial Carcinoma Cells via the PI3K/AKT/HIF-1α Axis: Molecular Evidence from Next-Generation Sequencing.

Applications

Unspecified application

Species

Unspecified reactive species

Yun-Chen Li,Hsuan-En Huang,Chia-Ying Yu,Ya-Chuan Chang,Shu-Yu Lin,Shao-Chuan Wang,Wen-Wei Sung

Inflammation : PubMed40528120

2025

Pharmacological Activation of GPR68 Attenuates Ferroptosis in Spinal Cord Ischemia/Reperfusion Injury Through PI3K/Akt-Mediated Nrf2 Antioxidant Pathway.

Applications

Unspecified application

Species

Unspecified reactive species

Ruitong Yang,Jintao Ye,Pengbo Wang,Tao Liu,Bin Cheng,Fengtao Li

iScience 28:112526 PubMed40487427

2025

STEAP3 promotes triple-negative breast cancer growth through the FGFR1-mediated activation of PI3K/AKT/mTOR signaling.

Applications

Unspecified application

Species

Unspecified reactive species

Lifang Yuan,Yuhan Bao,Junbao Liu,Ping Sun

Pharmaceutics 17: PubMed40430847

2025

Modulating NPC1L1 to Potentiate PARP Inhibitor-Induced Ferroptosis and Immune Response in Triple-Negative Breast Cancer.

Applications

Unspecified application

Species

Unspecified reactive species

Ge Li,Yuxia Yuan,Xinhua Wu,Lixian Wu

Cells 14: PubMed40422181

2025

Naringenin Targets PI3K p85alpha to Suppress PI3K/AKT Signaling Pathway and Ameliorate Disordered MMP-9 Secretion in Cigarette Smoke Extract-Induced Alveolar Macrophages In Vitro.

Applications

Unspecified application

Species

Unspecified reactive species

Weiyang Fan,Ziyan Xu,Mengli Zhong,Xiao Wu,Pan Chen,Zhen Chen,Weiwei Su,Hao Wu,Peibo Li

Basic & clinical pharmacology & toxicology 136:e70045 PubMed40312968

2025

The Synthetic LXR Agonist GW3965 Attenuates Phosgene-Induced Acute Lung Injury Through the Modulation of PI3K/Akt and NF-κB Signalling Pathways.

Applications

Unspecified application

Species

Unspecified reactive species

Dong Yan,Yuanwei Fu,Jie Mei,Junhong Wang,Ayijiang Jiamaliding,Ying Liu,Zanmei Zhao,Qingbian Ma

Drug design, development and therapy 19:3139-3158 PubMed40291161

2025

Exploring the Therapeutic Mechanism of Jianpi Zhidong Decoction on Tourette Syndrome Based on Proteomics and Network Pharmacology.

Applications

Unspecified application

Species

Unspecified reactive species

Ning Zhang,Hongxian Zhang,Jianning Guo,Yaluan Ma,Xue Bai,Ning Ma,Xiaoxiao Ji,Yanli Meng,Huifang Li,Tananan Sangwanit,Yixin Shi,Jing Zhao,Xiang Li,Jingyuan Lin,Xia Cui
View all publications

Product promise

We are committed to supporting your work with high-quality reagents, and we're here for you every step of the way. In the unlikely event that one of our products does not perform as expected, you're protected by our Product Promise.
For full details, please see our Terms & Conditions

Please note: All products are 'FOR RESEARCH USE ONLY. NOT FOR USE IN DIAGNOSTIC OR THERAPEUTIC PROCEDURES'.

For licensing inquiries, please contact partnerships@abcam.com