JavaScript is disabled in your browser. Please enable JavaScript to view this website.
AB175354

Anti-AKT2 antibody [4H7]

Be the first to review this product! Submit a review

|

(17 Publications)

Mouse Monoclonal AKT2 antibody. Suitable for IHC-P, IP, ChIP, WB, ICC/IF and reacts with Human, Mouse, Rat, African green monkey samples. Cited in 17 publications. Immunogen corresponding to Recombinant Full Length Protein corresponding to Human RAC-beta serine/threonine-protein kinase.

View Alternative Names

RAC-beta serine/threonine-protein kinase, Protein kinase Akt-2, Protein kinase B beta, RAC protein kinase beta, PKB beta, RAC-PK-beta, AKT2

9 Images
Immunohistochemistry (Formalin/PFA-fixed paraffin-embedded sections) - Anti-AKT2 antibody [4H7] (AB175354)
  • IHC-P

Supplier Data

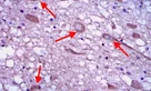
Immunohistochemistry (Formalin/PFA-fixed paraffin-embedded sections) - Anti-AKT2 antibody [4H7] (AB175354)

Immunohistochemical analysis of deparaffinized Human Esophageal cancer tissue labeling AKT2 with ab175354 at 1/200 dilution. Detection was performed using a goat anti-mouse HRP secondary antibody followed by colorimetric detection using DAB substrate.

Immunocytochemistry/ Immunofluorescence - Anti-AKT2 antibody [4H7] (AB175354)
  • ICC/IF

Supplier Data

Immunocytochemistry/ Immunofluorescence - Anti-AKT2 antibody [4H7] (AB175354)

Immunofluorescent analysis of AKT2 (green) showing staining in the cytoplasm and nucleus of MCF-7 cells (right) compared to a negative control without primary antibody (left). Formalin-fixed cells were permeabilized with 0.1% Triton X-100 in TBS for 5-10 minutes and blocked with 3% BSA-PBS for 30 minutes at room temperature. Cells were probed with an AKT2 monoclonal antibody (ab175354) in 3% BSA-PBS at a dilution of 1 : 20 and incubated overnight at 4 °C in a humidified chamber. Cells were washed with PBST and incubated with a DyLight-conjugated secondary antibody in PBS at room temperature in the dark. F-actin (red) was stained with a fluorescent red phalloidin and nuclei (blue) were stained with Hoechst or DAPI. Images were taken at a magnification of 60x.

Immunohistochemistry (Formalin/PFA-fixed paraffin-embedded sections) - Anti-AKT2 antibody [4H7] (AB175354)
  • IHC-P

Supplier Data

Immunohistochemistry (Formalin/PFA-fixed paraffin-embedded sections) - Anti-AKT2 antibody [4H7] (AB175354)

Immunohistochemical analysis of deparaffinized normal Human Medulla Oblongata tissue labeling AKT2 with ab175354 at 1/200 dilution. Detection was performed using a goat anti-mouse HRP secondary antibody followed by colorimetric detection using DAB substrate.

Immunocytochemistry/ Immunofluorescence - Anti-AKT2 antibody [4H7] (AB175354)
  • ICC/IF

Supplier Data

Immunocytochemistry/ Immunofluorescence - Anti-AKT2 antibody [4H7] (AB175354)

Immunofluorescent analysis of AKT2 (green) showing staining in the cytoplasm and nucleus of Hela cells (right) compared to a negative control without primary antibody (left). Formalin-fixed cells were permeabilized with 0.1% Triton X-100 in TBS for 5-10 minutes and blocked with 3% BSA-PBS for 30 minutes at room temperature. Cells were probed with an AKT2 monoclonal antibody (ab175354) in 3% BSA-PBS at a dilution of 1 : 20 and incubated overnight at 4 °C in a humidified chamber. Cells were washed with PBST and incubated with a DyLight-conjugated secondary antibody in PBS at room temperature in the dark. F-actin (red) was stained with a fluorescent red phalloidin and nuclei (blue) were stained with Hoechst or DAPI. Images were taken at a magnification of 60x.

ChIP - Anti-AKT2 antibody [4H7] (AB175354)
  • ChIP

Supplier Data

ChIP - Anti-AKT2 antibody [4H7] (AB175354)

Chromatin immunoprecipitation analysis of Akt1 and Akt2 was performed using cross-linked chromatin from 1 x 106 HCT116 colon carcinoma cells treated with serum for 0, 15, 30, and 60 minutes. Immunoprecipitation was performed with 1.0ul/100ul well volume of an Atk1 monoclonal antibody and an Akt2 monoclonal antibody (ab175354). Chromatin aliquots from ~1 x 105 cells were used per ChIP pull-down. Quantitative PCR data were done in quadruplicate using 1ul of eluted DNA in 2ul SYBR real-time PCR reactions containing primers to amplify -15kb upstream of the Egr1 gene or exon-1 of Egr1. PCR calibration curves were generated for each primer pair from a dilution series of sheared total genomic DNA. Quantitation of immunoprecipitated chromatin is presented as signal relative to the total amount of input chromatin. Results represent the mean +/- SEM for three experiments. A schematic representation of the Egr-1 locus is shown above the data where boxes represent exons (black boxes = translated regions, white boxes = untranslated regions); the zigzag line represents an intron; and the straight line represents upstream sequence. Regions amplified by Egr-1 primers are represented by black bars.

Immunocytochemistry/ Immunofluorescence - Anti-AKT2 antibody [4H7] (AB175354)
  • ICC/IF

Supplier Data

Immunocytochemistry/ Immunofluorescence - Anti-AKT2 antibody [4H7] (AB175354)

Immunofluorescent analysis of AKT2 (green) showing staining in the cytoplasm and nucleus of C2C12 cells (right) compared to a negative control without primary antibody (left). Formalin-fixed cells were permeabilized with 0.1% Triton X-100 in TBS for 5-10 minutes and blocked with 3% BSA-PBS for 30 minutes at room temperature. Cells were probed with an AKT2 monoclonal antibody (ab175354) in 3% BSA-PBS at a dilution of 1 : 20 and incubated overnight at 4 °C in a humidified chamber. Cells were washed with PBST and incubated with a DyLight-conjugated secondary antibody in PBS at room temperature in the dark. F-actin (red) was stained with a fluorescent red phalloidin and nuclei (blue) were stained with Hoechst or DAPI. Images were taken at a magnification of 60x.

Immunoprecipitation - Anti-AKT2 antibody [4H7] (AB175354)
  • IP

Supplier Data

Immunoprecipitation - Anti-AKT2 antibody [4H7] (AB175354)

Immunoprecipitation of AKT2 was performed on HeLa cells. The antigen : antibody complex was formed by incubating 750 μg whole cell lysate with 2 μg of ab175354. WB detection used ab175354 at 1/1000 dilution.

All lanes:

Immunoprecipitation - Anti-AKT2 antibody [4H7] (ab175354)

Predicted band size: 55 kDa

true

Western blot - Anti-AKT2 antibody [4H7] (AB175354)
  • WB

Supplier Data

Western blot - Anti-AKT2 antibody [4H7] (AB175354)

All lanes:

Western blot - Anti-AKT2 antibody [4H7] (ab175354) at 1/1000 dilution

Lane 1:

Non-transfected U2OS cells

Lane 2:

U2OS cells transfected with AKT2 siRNA

Secondary

All lanes:

goat anti-mouse-HRP at 1/20000 dilution

Predicted band size: 55 kDa

false

Western blot - Anti-AKT2 antibody [4H7] (AB175354)
  • WB

Supplier Data

Western blot - Anti-AKT2 antibody [4H7] (AB175354)

All lanes:

Western blot - Anti-AKT2 antibody [4H7] (ab175354) at 1/1000 dilution

Lane 1:

MCF7 whole cell lysate at 25 µg

Lane 2:

HeLa whole cell lysate at 25 µg

Lane 3:

HepG2 whole cell lysate at 25 µg

Lane 4:

A549 whole cell lysate at 25 µg

Lane 5:

293T whole cell lysate at 25 µg

Lane 6:

Jurkat whole cell lysate at 25 µg

Lane 7:

A431 whole cell lysate at 25 µg

Lane 8:

U2OS whole cell lysate at 25 µg

Lane 9:

COS7 whole cell lysate at 25 µg

Lane 10:

3T3 L1 whole cell lysate at 25 µg

Lane 11:

NRK whole cell lysate at 25 µg

Secondary

All lanes:

goat anti-mouse-HRP at 1/20000 dilution

Predicted band size: 55 kDa

true

Key facts

Host species

Mouse

Clonality

Monoclonal

Clone number

4H7

Isotype

IgG1

Carrier free

No

Reacts with

Mouse, Rat, Human, African green monkey

Applications

IP, IHC-P, WB, ChIP, ICC/IF

applications

Immunogen

Recombinant Full Length Protein corresponding to Human RAC-beta serine/threonine-protein kinase.

P31751

Reactivity data

{ "title": "Reactivity Data", "filters": { "stats": ["", "Species", "Dilution Info", "Notes"], "tabs": { "all-applications": {"fullname" : "All Applications", "shortname": "All Applications"}, "IHCP" : {"fullname" : "Immunohistochemistry (Formalin/PFA-fixed paraffin-embedded sections)", "shortname":"IHC-P"}, "IP" : {"fullname" : "Immunoprecipitation", "shortname":"IP"}, "ChIP" : {"fullname" : "ChIP", "shortname":"ChIP"}, "WB" : {"fullname" : "Western blot", "shortname":"WB"}, "ICCIF" : {"fullname" : "Immunocytochemistry/ Immunofluorescence", "shortname":"ICC/IF"} }, "product-promise": { "all": "all", "testedAndGuaranteed": "tested", "guaranteed": "expected", "predicted": "predicted", "notRecommended": "not-recommended" } }, "values": { "Human": { "IHCP-species-checked": "testedAndGuaranteed", "IHCP-species-dilution-info": "1/200", "IHCP-species-notes": "<p></p> Perform heat-mediated antigen retrieval with citrate buffer pH 6 before commencing with IHC staining protocol.", "IP-species-checked": "testedAndGuaranteed", "IP-species-dilution-info": "", "IP-species-notes": "<p>Use 2μg.</p>", "ChIP-species-checked": "testedAndGuaranteed", "ChIP-species-dilution-info": "", "ChIP-species-notes": "<p></p>", "WB-species-checked": "testedAndGuaranteed", "WB-species-dilution-info": "1/1000", "WB-species-notes": "<p></p>", "ICCIF-species-checked": "testedAndGuaranteed", "ICCIF-species-dilution-info": "1/10 - 1/100", "ICCIF-species-notes": "<p></p>" }, "Mouse": { "IHCP-species-checked": "guaranteed", "IHCP-species-dilution-info": "", "IHCP-species-notes": "", "IP-species-checked": "guaranteed", "IP-species-dilution-info": "", "IP-species-notes": "", "ChIP-species-checked": "guaranteed", "ChIP-species-dilution-info": "", "ChIP-species-notes": "", "WB-species-checked": "testedAndGuaranteed", "WB-species-dilution-info": "1/1000", "WB-species-notes": "<p></p>", "ICCIF-species-checked": "testedAndGuaranteed", "ICCIF-species-dilution-info": "1/10 - 1/100", "ICCIF-species-notes": "<p></p>" }, "Rat": { "IHCP-species-checked": "guaranteed", "IHCP-species-dilution-info": "", "IHCP-species-notes": "", "IP-species-checked": "guaranteed", "IP-species-dilution-info": "", "IP-species-notes": "", "ChIP-species-checked": "guaranteed", "ChIP-species-dilution-info": "", "ChIP-species-notes": "", "WB-species-checked": "testedAndGuaranteed", "WB-species-dilution-info": "1/1000", "WB-species-notes": "<p></p>", "ICCIF-species-checked": "guaranteed", "ICCIF-species-dilution-info": "", "ICCIF-species-notes": "" }, "African green monkey": { "IHCP-species-checked": "guaranteed", "IHCP-species-dilution-info": "", "IHCP-species-notes": "<p></p>", "IP-species-checked": "guaranteed", "IP-species-dilution-info": "", "IP-species-notes": "", "ChIP-species-checked": "guaranteed", "ChIP-species-dilution-info": "", "ChIP-species-notes": "", "WB-species-checked": "testedAndGuaranteed", "WB-species-dilution-info": "1/1000", "WB-species-notes": "<p></p>", "ICCIF-species-checked": "guaranteed", "ICCIF-species-dilution-info": "", "ICCIF-species-notes": "" }, "Primates": { "IHCP-species-checked": "predicted", "IHCP-species-dilution-info": "", "IHCP-species-notes": "", "IP-species-checked": "predicted", "IP-species-dilution-info": "", "IP-species-notes": "", "ChIP-species-checked": "predicted", "ChIP-species-dilution-info": "", "ChIP-species-notes": "", "WB-species-checked": "predicted", "WB-species-dilution-info": "", "WB-species-notes": "", "ICCIF-species-checked": "predicted", "ICCIF-species-dilution-info": "", "ICCIF-species-notes": "" } } }

Properties and storage information

Form
Liquid
Purification technique
Affinity purification Protein A
Storage buffer
Preservative: 0.05% Sodium azide Constituents: PBS, 30% Glycerol (glycerin, glycerine), 0.1% BSA
Shipped at conditions
Blue Ice
Appropriate short-term storage duration
1-2 weeks
Appropriate short-term storage conditions
+4°C
Appropriate long-term storage conditions
-20°C
Aliquoting information
Upon delivery aliquot
Storage information
Avoid freeze / thaw cycle

Supplementary information

This supplementary information is collated from multiple sources and compiled automatically.

The AKT2 protein also known as protein kinase B beta is a serine/threonine kinase with a mass of approximately 56 kDa. It plays a critical mechanical role in cell survival and cell growth. AKT2 is an isoform of the AKT family and shares structural similarity with other AKT proteins. It is widely expressed in various tissues with high levels in insulin-responsive tissues such as skeletal muscle adipose tissue and liver. The AKT2 protein is an essential component in transmitting cellular signals related to growth and metabolism.
Biological function summary

The protein engages in controlling glucose transport and metabolism. As part of its biological functions AKT2 becomes phosphorylated and activated in response to insulin signaling and does not work as a part of a larger complex but interacts with other proteins. It plays a significant role in maintaining normal insulin sensitivity in tissues by facilitating the uptake and storage of glucose. Additionally the protein influences cell cycle progression and can affect apoptotic responses contributing to processes like protein synthesis and cell proliferation.

Pathways

AKT2 involves signaling mechanisms that include the PI3K/AKT/mTOR pathway and the insulin signaling pathway. These pathways are deeply connected to cellular growth and metabolic regulation. AKT2 works closely with proteins such as PI3K which phosphorylates phosphoinositides and mTOR that control protein synthesis by activating downstream targets. These interactions highlight the integration of AKT2 in nutrient-sensing pathways and how it aids the regulation of energy status in response to external stimuli.

AKT2 is notably linked to conditions such as type 2 diabetes and cancer. These diseases often involve dysregulated signaling pathways where AKT2 plays a significant role. In type 2 diabetes AKT2's link to insulin signaling becomes critical and its aberrant activity can lead to insulin resistance. In cancer the AKT2 protein interacts with PTEN a tumor suppressor that negatively regulates the PI3K/AKT pathway often leading to unregulated cell growth when mutated or inhibited. The understanding of AKT2's involvement in these diseases assists in developing potential therapeutic strategies targeting its dysregulation.

Product protocols

For this product, it's our understanding that no specific protocols are required. You can visit:

Target data

Serine/threonine kinase closely related to AKT1 and AKT3. All 3 enzymes, AKT1, AKT2 and AKT3, are collectively known as AKT kinase. AKT regulates many processes including metabolism, proliferation, cell survival, growth and angiogenesis, through the phosphorylation of a range of downstream substrates. Over 100 substrates have been reported so far, although for most of them, the precise AKT kinase catalyzing the reaction was not specified. AKT regulates glucose uptake by mediating insulin-induced translocation of the SLC2A4/GLUT4 glucose transporter to the cell surface. Phosphorylation of PTPN1 at 'Ser-50' negatively modulates its phosphatase activity preventing dephosphorylation of the insulin receptor and the attenuation of insulin signaling. Phosphorylation of TBC1D4 triggers the binding of this effector to inhibitory 14-3-3 proteins, which is required for insulin-stimulated glucose transport. AKT also regulates the storage of glucose in the form of glycogen by phosphorylating GSK3A at 'Ser-21' and GSK3B at 'Ser-9', resulting in inhibition of its kinase activity. Phosphorylation of GSK3 isoforms by AKT is also thought to be one mechanism by which cell proliferation is driven. AKT regulates also cell survival via the phosphorylation of MAP3K5 (apoptosis signal-related kinase). Phosphorylation of 'Ser-83' decreases MAP3K5 kinase activity stimulated by oxidative stress and thereby prevents apoptosis. AKT mediates insulin-stimulated protein synthesis by phosphorylating TSC2 at 'Ser-939' and 'Thr-1462', thereby activating mTORC1 signaling and leading to both phosphorylation of 4E-BP1 and in activation of RPS6KB1. AKT is involved in the phosphorylation of members of the FOXO factors (Forkhead family of transcription factors), leading to binding of 14-3-3 proteins and cytoplasmic localization. In particular, FOXO1 is phosphorylated at 'Thr-24', 'Ser-256' and 'Ser-319'. FOXO3 and FOXO4 are phosphorylated on equivalent sites. AKT has an important role in the regulation of NF-kappa-B-dependent gene transcription and positively regulates the activity of CREB1 (cyclic AMP (cAMP)-response element binding protein). The phosphorylation of CREB1 induces the binding of accessory proteins that are necessary for the transcription of pro-survival genes such as BCL2 and MCL1. AKT phosphorylates 'Ser-454' on ATP citrate lyase (ACLY), thereby potentially regulating ACLY activity and fatty acid synthesis. Activates the 3B isoform of cyclic nucleotide phosphodiesterase (PDE3B) via phosphorylation of 'Ser-273', resulting in reduced cyclic AMP levels and inhibition of lipolysis. Phosphorylates PIKFYVE on 'Ser-318', which results in increased PI(3)P-5 activity. The Rho GTPase-activating protein DLC1 is another substrate and its phosphorylation is implicated in the regulation cell proliferation and cell growth. AKT plays a role as key modulator of the AKT-mTOR signaling pathway controlling the tempo of the process of newborn neurons integration during adult neurogenesis, including correct neuron positioning, dendritic development and synapse formation. Signals downstream of phosphatidylinositol 3-kinase (PI(3)K) to mediate the effects of various growth factors such as platelet-derived growth factor (PDGF), epidermal growth factor (EGF), insulin and insulin-like growth factor 1 (IGF1). AKT mediates the antiapoptotic effects of IGF1. Essential for the SPATA13-mediated regulation of cell migration and adhesion assembly and disassembly. May be involved in the regulation of the placental development (PubMed : 21432781, PubMed : 21620960). In response to lysophosphatidic acid stimulation, inhibits the ciliogenesis cascade. In this context, phosphorylates WDR44, hence stabilizing its interaction with Rab11 and preventing the formation of the ciliogenic Rab11-FIP3-RAB3IP complex. Also phosphorylates RAB3IP/Rabin8, thus may affect RAB3IP guanine nucleotide exchange factor (GEF) activity toward Rab8, which is important for cilia growth (PubMed : 31204173). Phosphorylates PKP1, facilitating its interaction with YWHAG and translocation to the nucleus, ultimately resulting in a reduction in keratinocyte intercellular adhesion (By similarity). Phosphorylation of PKP1 increases PKP1 protein stability, translocation to the cytoplasm away from desmosome plaques and PKP1-driven cap-dependent translation (PubMed : 23444369).. Several AKT2-specific substrates have been identified, including ANKRD2, C2CD5, CLK2 and PITX2. May play a role in myoblast differentiation. In this context, may act through PITX2 phosphorylation. Unphosphorylated PITX2 associates with an ELAVL1/HuR-containing complex, which stabilizes CCND1 cyclin mRNA, ensuring cell proliferation. Phosphorylation by AKT2 impairs this association, leading to CCND1 mRNA destabilization and progression towards differentiation (By similarity). Also involved in the negative regulation of myogenesis in response to stress conditions. In this context, acts by phosphorylating ANKRD2 (By similarity). May also be a key regulator of glucose uptake. Regulates insulin-stimulated glucose transport by the increase of glucose transporter GLUT4 translocation from intracellular stores to the plasma membrane. In this context, acts by phosphorylating C2CD5/CDP138 on 'Ser-197' in insulin-stimulated adipocytes (By similarity). Through the phosphorylation of CLK2 on 'Thr-343', involved in insulin-regulated suppression of hepatic gluconeogenesis (By similarity).
See full target information RAC-beta serine/threonine-protein kinase

Publications (17)

Recent publications for all applications. Explore the full list and refine your search

Journal of inflammation research 18:13575-13592 PubMed41054626

2025

Sirp-α Antibody Inhibits Renal Cell Carcinoma Progression via Akt1/Akt2 Modulation in Tumor-Associated Macrophages.

Applications

Unspecified application

Species

Unspecified reactive species

Junfeng Hao,Naiquan Liu,Xin Huang,Hanlei Zhou,Hanrong Li,Yizhou Zhang,Bing Yu,Ziqian Bi,Xinyuan Song,Shunan Li,Keyu Chen,Ning Li,Chao Zhu,Jiahe Wang

Iranian journal of pathology 17:480-490 PubMed36532641

2022

Exploring the Integrated Role of AKT2, CD44v6, And MT1-MMP as Predictors of Axillary Lymph Node Metastasis in Invasive Breast Carcinoma of No Special Type.

Applications

Unspecified application

Species

Unspecified reactive species

Primariadewi Rustamadji,Elvan Wiyarta,Kristina Anna Bethania

Bone & joint research 10:237-249 PubMed33789427

2021

LY3023414 inhibits both osteogenesis and osteoclastogenesis through the PI3K/Akt/GSK3 signalling pathway.

Applications

Unspecified application

Species

Unspecified reactive species

Xiaojun Chen,Wei Chen,Zin Mar Aung,Wenqing Han,Yan Zhang,Gang Chai

International journal of molecular medicine 47: PubMed33537821

2021

Downregulation of lncRNA MIR181A2HG by high glucose impairs vascular endothelial cell proliferation and migration through the dysregulation of the miRNAs/AKT2 axis.

Applications

Unspecified application

Species

Unspecified reactive species

Shaohua Wang,Bin Zheng,Hongye Zhao,Yongjun Li,Xinhua Zhang,Jinkun Wen

Bioactive materials 6:2029-2038 PubMed33474514

2021

Restoration of electrical microenvironment enhances bone regeneration under diabetic conditions by modulating macrophage polarization.

Applications

Unspecified application

Species

Unspecified reactive species

Xiaohan Dai,Boon Chin Heng,Yunyang Bai,Fuping You,Xiaowen Sun,Yiping Li,Zhangui Tang,Mingming Xu,Xuehui Zhang,Xuliang Deng

Cancer cell international 21:43 PubMed33430878

2021

Transcription elongation factor A-like 7, regulated by miR-758-3p inhibits the progression of melanoma through decreasing the expression levels of c-Myc and AKT1.

Applications

Unspecified application

Species

Unspecified reactive species

Xilin Liu,Xianji Song,Hong Li

American journal of translational research 12:7297-7311 PubMed33312368

2020

WISP1 indicates poor prognosis and regulates cell proliferation and apoptosis in gastric cancer via targeting AKT/mTOR signaling pathway.

Applications

Unspecified application

Species

Unspecified reactive species

Yanyan Zhu,Wei Li,Yuanyuan Yang,You Li,Yueyue Zhao

Frontiers in oncology 10:1385 PubMed32850446

2020

C1222C Deletion in Exon 8 of Is Involved in Carcinogenesis and Cell Cycle Control of Colorectal Cancer Through IRS1/PI3K/Akt Pathway.

Applications

Unspecified application

Species

Unspecified reactive species

Yi Liu,Jian Cao,Ya-Ning Zhu,Yu Ma,Ghulam Murtaza,Yu Li,Jian-Hua Wang,Yan-Song Pu

Cancer biotherapy & radiopharmaceuticals : PubMed32589479

2020

LncRNA Promotes Hepatocellular Carcinoma Migration and Invasion Via Targeting miR-137/AKT2 Axis.

Applications

Unspecified application

Species

Unspecified reactive species

Wei Li,Jinzhao Ge,Jinju Xie,Jidong Yang,Jin'e Chen,Tao He

Cancer biotherapy & radiopharmaceuticals 35:109-119 PubMed32077748

2020

Long Noncoding RNA Contributes to the Promotion of Prostate Cancer Cells Through Regulating Axis.

Applications

Unspecified application

Species

Unspecified reactive species

Mao Xie,Zhiyu Zhang,Yupeng Cui
View all publications

Product promise

We are committed to supporting your work with high-quality reagents, and we're here for you every step of the way. In the unlikely event that one of our products does not perform as expected, you're protected by our Product Promise.
For full details, please see our Terms & Conditions

Please note: All products are 'FOR RESEARCH USE ONLY. NOT FOR USE IN DIAGNOSTIC OR THERAPEUTIC PROCEDURES'.

For licensing inquiries, please contact partnerships@abcam.com