JavaScript is disabled in your browser. Please enable JavaScript to view this website.
AB32038

Anti-AKT3 + AKT1 antibody [E45]

  • RabMAb
  • Recombinant
  • Lab Essentials
  • 20ul selling size
  • What is this?

Be the first to review this product! Submit a review

|

(11 Publications)

Rabbit Recombinant Monoclonal AKT1 phospho S473 antibody. Suitable for WB, ICC/IF, IHC-P and reacts with Recombinant fragment - Human, Human samples. Cited in 11 publications.

View Alternative Names

PKB, RAC, AKT1, RAC-alpha serine/threonine-protein kinase, Protein kinase B, Protein kinase B alpha, Proto-oncogene c-Akt, RAC-PK-alpha, PKB alpha

3 Images
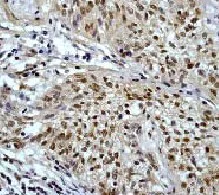
Immunohistochemistry (Formalin/PFA-fixed paraffin-embedded sections) - Anti-AKT3 + AKT1 antibody [E45] (AB32038)
  • IHC-P

Unknown

Immunohistochemistry (Formalin/PFA-fixed paraffin-embedded sections) - Anti-AKT3 + AKT1 antibody [E45] (AB32038)

Immunohistochemistry (Paraffin-embedded sections) analysis using ab32038 at a dilution of 1/1000 - 1/1250 and squamous lung carcinoma

Perform heat mediated antigen retrieval with citrate buffer pH 6 before commencing with IHC staining protocol.

Immunocytochemistry/ Immunofluorescence - Anti-AKT3 + AKT1 antibody [E45] (AB32038)
  • ICC/IF

Lab

Immunocytochemistry/ Immunofluorescence - Anti-AKT3 + AKT1 antibody [E45] (AB32038)

Immunocytochemistry/ Immunofluorescence analysis of SK-BR-3 (human breast adenocarcinoma epithelial cell) cells labeling AKT3+AKT1 with purified ab32038 at 1/500 dilution (2.1 μg/mL). Cells were fixed in 4% Paraformaldehyde and permeabilized with 0.1% tritonX-100. Cells were counterstained with ab195889 Anti-alpha Tubulin antibody [DM1A] - Microtubule Marker (Alexa Fluor® 594) 1/200 (2.5 μg/mL). Goat anti rabbit IgG (Alexa Fluor® 488, ab150077) was used as the secondary antibody at 1/1000 (2 μg/mL) dilution. DAPI (blue) was used as nuclear counterstain. ab195889 Anti-alpha Tubulin antibody [DM1A] - Microtubule Marker (Alexa Fluor® 594) 1/200 (2.5 μg/mL) was used as the secondary antibody only control.

Western blot - Anti-AKT3 + AKT1 antibody [E45] (AB32038)
  • WB

Lab

Western blot - Anti-AKT3 + AKT1 antibody [E45] (AB32038)

Blocking/Diluting buffer : 5% NFDM/TBST.

Observed band : 82kDa, 56kDa.

82kDa band represents GFP tagged AKT. 56kDa band represents endogenous AKT.

All lanes:

Western blot - Anti-AKT3 + AKT1 antibody [E45] (ab32038) at 1/10000 dilution

Lane 1:

GFP tagged AKT1 transfected 293T cell lysate at 10 µg

Lanes 2, 4 and 6:

Empty vector transfected 293T cell lysate at 10 µg

Lane 3:

GFP tagged AKT2 transfected 293T cell lysate at 10 µg

Lane 5:

GFP tagged AKT3 transfected 293T cell lysate at 10 µg

Secondary

All lanes:

Western blot - Goat Anti-Rabbit IgG H&L (HRP) (<a href='/en-us/products/secondary-antibodies/goat-rabbit-igg-h-l-hrp-ab97051'>ab97051</a>) at 1/20000 dilution

false

Exposure time: 1s

  • Carrier free

    Anti-AKT3 + AKT1 antibody [E45] - BSA and Azide free

Key facts

Host species

Rabbit

Clonality

Monoclonal

Clone number

E45

Isotype

IgG

Carrier free

No

Reacts with

Human

Applications

WB, ICC/IF, IHC-P

applications

Immunogen

The exact immunogen used to generate this antibody is proprietary information.

Specificity

This antibody detects Akt1 and Akt3.

Reactivity data

{ "title": "Reactivity Data", "filters": { "stats": ["", "Species", "Dilution Info", "Notes"], "tabs": { "all-applications": {"fullname" : "All Applications", "shortname": "All Applications"}, "WB" : {"fullname" : "Western blot", "shortname":"WB"}, "ICCIF" : {"fullname" : "Immunocytochemistry/ Immunofluorescence", "shortname":"ICC/IF"}, "IHCP" : {"fullname" : "Immunohistochemistry (Formalin/PFA-fixed paraffin-embedded sections)", "shortname":"IHC-P"}, "FlowCyt" : {"fullname" : "Flow Cytometry", "shortname":"Flow Cyt"} }, "product-promise": { "all": "all", "testedAndGuaranteed": "tested", "guaranteed": "expected", "predicted": "predicted", "notRecommended": "not-recommended" } }, "values": { "Human": { "WB-species-checked": "guaranteed", "WB-species-dilution-info": "", "WB-species-notes": "", "ICCIF-species-checked": "testedAndGuaranteed", "ICCIF-species-dilution-info": "1/500", "ICCIF-species-notes": "<p></p>", "IHCP-species-checked": "testedAndGuaranteed", "IHCP-species-dilution-info": "1/250 - 1/1000", "IHCP-species-notes": "<p></p> Perform heat-mediated antigen retrieval with citrate buffer pH 6 before commencing with IHC staining protocol.", "FlowCyt-species-checked": "notRecommended", "FlowCyt-species-dilution-info": "", "FlowCyt-species-notes": "<p></p>" }, "Mouse": { "WB-species-checked": "predicted", "WB-species-dilution-info": "", "WB-species-notes": "", "ICCIF-species-checked": "predicted", "ICCIF-species-dilution-info": "", "ICCIF-species-notes": "", "IHCP-species-checked": "predicted", "IHCP-species-dilution-info": "", "IHCP-species-notes": "", "FlowCyt-species-checked": "notRecommended", "FlowCyt-species-dilution-info": "", "FlowCyt-species-notes": "" }, "Rat": { "WB-species-checked": "predicted", "WB-species-dilution-info": "", "WB-species-notes": "", "ICCIF-species-checked": "predicted", "ICCIF-species-dilution-info": "", "ICCIF-species-notes": "", "IHCP-species-checked": "predicted", "IHCP-species-dilution-info": "", "IHCP-species-notes": "", "FlowCyt-species-checked": "notRecommended", "FlowCyt-species-dilution-info": "", "FlowCyt-species-notes": "" }, "Cow": { "WB-species-checked": "predicted", "WB-species-dilution-info": "", "WB-species-notes": "", "ICCIF-species-checked": "predicted", "ICCIF-species-dilution-info": "", "ICCIF-species-notes": "", "IHCP-species-checked": "predicted", "IHCP-species-dilution-info": "", "IHCP-species-notes": "", "FlowCyt-species-checked": "notRecommended", "FlowCyt-species-dilution-info": "", "FlowCyt-species-notes": "" }, "Recombinant fragment - Human": { "WB-species-checked": "testedAndGuaranteed", "WB-species-dilution-info": "", "WB-species-notes": "<p></p>", "ICCIF-species-checked": "notRecommended", "ICCIF-species-dilution-info": "", "ICCIF-species-notes": "", "IHCP-species-checked": "notRecommended", "IHCP-species-dilution-info": "", "IHCP-species-notes": "", "FlowCyt-species-checked": "notRecommended", "FlowCyt-species-dilution-info": "", "FlowCyt-species-notes": "" } } }

Product details

Patented technology
Our RabMAb® technology is a patented hybridoma-based technology for making rabbit monoclonal antibodies. For details on our patents, please refer to RabMAb® patents.

What are the advantages of a recombinant monoclonal antibody?
This product is a recombinant monoclonal antibody, which offers several advantages including:

  • - High batch-to-batch consistency and reproducibility
  • - Improved sensitivity and specificity
  • - Long-term security of supply
  • - Animal-free batch production

For more information, read more on recombinant antibodies.

Properties and storage information

Form
Liquid
Purification technique
Affinity purification Protein A
Storage buffer
pH: 7.2 - 7.4 Preservative: 0.01% Sodium azide Constituents: PBS, 50% Glycerol (glycerin, glycerine), 0.05% BSA
Shipped at conditions
Blue Ice
Appropriate short-term storage conditions
+4°C
Appropriate long-term storage conditions
-20°C
Aliquoting information
Upon delivery aliquot
Storage information
Avoid freeze / thaw cycle

Supplementary information

This supplementary information is collated from multiple sources and compiled automatically.

AKT1 and AKT3 are serine/threonine kinases also known as protein kinase B alpha (PKBα) for AKT1 and protein kinase B gamma (PKBγ) for AKT3. Both proteins are expressed in various tissues with AKT1 being found in most tissues and AKT3 being more prominent in the brain. AKT1 has a molecular weight of approximately 56 kDa while AKT3 is around 54 kDa. They perform key roles in cellular processes by undergoing phosphorylation at specific residues such as serine 473 (Ser473) altering their conformation and activity.
Biological function summary

AKT1 and AKT3 influence several cellular functions including growth proliferation and survival. They are part of a larger AKT family which includes AKT2 that participates in important signaling cascades. AKT3 shows significant activity in the nervous system and contributes to brain development. Through phosphorylation AKT1 and AKT3 activate or inhibit downstream targets including mTOR and GSK-3β affecting the cell cycle and metabolism.

Pathways

AKT1 and AKT3 are integral components of the PI3K/AKT signaling pathway. This pathway regulates diverse cellular processes including protein synthesis glucose metabolism and apoptosis. AKT1 and AKT3 interact closely with proteins like PI3K and PTEN which either activate or inhibit this signaling pathway. Additionally they link to the mTOR pathway modulating anabolic processes and energy utilization in response to growth factors.

AKT1 and AKT3 have connections to various conditions particularly cancer and neurological disorders. Abnormal AKT1 activity can drive cancer progression by promoting cell survival and growth often associated with mutations or amplifications in the AKT1 gene. AKT3 contributes to neural-related disorders like autism spectrum disorders by affecting brain development pathways. Dysregulation involving proteins such as mTOR and PTEN frequently associates with these diseases impacting AKT function and related signaling networks.

Product protocols

For this product, it's our understanding that no specific protocols are required. You can visit:

Target data

AKT1 is one of 3 closely related serine/threonine-protein kinases (AKT1, AKT2 and AKT3) called the AKT kinase, and which regulate many processes including metabolism, proliferation, cell survival, growth and angiogenesis (PubMed : 11882383, PubMed : 15526160, PubMed : 15861136, PubMed : 21432781, PubMed : 21620960, PubMed : 31204173). This is mediated through serine and/or threonine phosphorylation of a range of downstream substrates (PubMed : 11882383, PubMed : 15526160, PubMed : 21432781, PubMed : 21620960, PubMed : 29343641, PubMed : 31204173). Over 100 substrate candidates have been reported so far, but for most of them, no isoform specificity has been reported (PubMed : 11882383, PubMed : 15526160, PubMed : 21432781, PubMed : 21620960). AKT is responsible of the regulation of glucose uptake by mediating insulin-induced translocation of the SLC2A4/GLUT4 glucose transporter to the cell surface (By similarity). Phosphorylation of PTPN1 at 'Ser-50' negatively modulates its phosphatase activity preventing dephosphorylation of the insulin receptor and the attenuation of insulin signaling (By similarity). Phosphorylation of TBC1D4 triggers the binding of this effector to inhibitory 14-3-3 proteins, which is required for insulin-stimulated glucose transport (PubMed : 11994271). AKT also regulates the storage of glucose in the form of glycogen by phosphorylating GSK3A at 'Ser-21' and GSK3B at 'Ser-9', resulting in inhibition of its kinase activity (By similarity). Phosphorylation of GSK3 isoforms by AKT is also thought to be one mechanism by which cell proliferation is driven (By similarity). AKT also regulates cell survival via the phosphorylation of MAP3K5 (apoptosis signal-related kinase) (PubMed : 11154276). Phosphorylation of 'Ser-83' decreases MAP3K5 kinase activity stimulated by oxidative stress and thereby prevents apoptosis (PubMed : 11154276). AKT mediates insulin-stimulated protein synthesis by phosphorylating TSC2 at 'Ser-939' and 'Thr-1462', thereby activating the mTORC1 signaling pathway, and leading to both phosphorylation of 4E-BP1 and in activation of RPS6KB1 (PubMed : 12150915, PubMed : 12172553). Also regulates the mTORC1 signaling pathway by catalyzing phosphorylation of CASTOR1 and DEPDC5 (PubMed : 31548394, PubMed : 33594058). AKT plays a role as key modulator of the AKT-mTOR signaling pathway controlling the tempo of the process of newborn neurons integration during adult neurogenesis, including correct neuron positioning, dendritic development and synapse formation (By similarity). Part of a positive feedback loop of mTORC2 signaling by mediating phosphorylation of MAPKAP1/SIN1, promoting mTORC2 activation (By similarity). AKT is involved in the phosphorylation of members of the FOXO factors (Forkhead family of transcription factors), leading to binding of 14-3-3 proteins and cytoplasmic localization (PubMed : 10358075). In particular, FOXO1 is phosphorylated at 'Thr-24', 'Ser-256' and 'Ser-319' (PubMed : 10358075). FOXO3 and FOXO4 are phosphorylated on equivalent sites (PubMed : 10358075). AKT has an important role in the regulation of NF-kappa-B-dependent gene transcription and positively regulates the activity of CREB1 (cyclic AMP (cAMP)-response element binding protein) (PubMed : 9829964). The phosphorylation of CREB1 induces the binding of accessory proteins that are necessary for the transcription of pro-survival genes such as BCL2 and MCL1 (PubMed : 9829964). AKT phosphorylates 'Ser-454' on ATP citrate lyase (ACLY), thereby potentially regulating ACLY activity and fatty acid synthesis (By similarity). Activates the 3B isoform of cyclic nucleotide phosphodiesterase (PDE3B) via phosphorylation of 'Ser-273', resulting in reduced cyclic AMP levels and inhibition of lipolysis (By similarity). Phosphorylates PIKFYVE on 'Ser-318', which results in increased PI(3)P-5 activity (By similarity). The Rho GTPase-activating protein DLC1 is another substrate and its phosphorylation is implicated in the regulation cell proliferation and cell growth (By similarity). Signals downstream of phosphatidylinositol 3-kinase (PI(3)K) to mediate the effects of various growth factors such as platelet-derived growth factor (PDGF), epidermal growth factor (EGF), insulin and insulin-like growth factor 1 (IGF1) (PubMed : 12176338, PubMed : 12964941). AKT mediates the antiapoptotic effects of IGF1 (By similarity). Essential for the SPATA13-mediated regulation of cell migration and adhesion assembly and disassembly (PubMed : 19934221). May be involved in the regulation of the placental development (By similarity). Phosphorylates STK4/MST1 at 'Thr-120' and 'Thr-387' leading to inhibition of its : kinase activity, nuclear translocation, autophosphorylation and ability to phosphorylate FOXO3 (PubMed : 17726016). Phosphorylates STK3/MST2 at 'Thr-117' and 'Thr-384' leading to inhibition of its : cleavage, kinase activity, autophosphorylation at Thr-180, binding to RASSF1 and nuclear translocation (PubMed : 20086174). Phosphorylates SRPK2 and enhances its kinase activity towards SRSF2 and ACIN1 and promotes its nuclear translocation (PubMed : 19592491). Phosphorylates RAF1 at 'Ser-259' and negatively regulates its activity (PubMed : 10576742). Phosphorylation of BAD stimulates its pro-apoptotic activity (PubMed : 10926925). Phosphorylates KAT6A at 'Thr-369' and this phosphorylation inhibits the interaction of KAT6A with PML and negatively regulates its acetylation activity towards p53/TP53 (PubMed : 23431171). Phosphorylates palladin (PALLD), modulating cytoskeletal organization and cell motility (PubMed : 20471940). Phosphorylates prohibitin (PHB), playing an important role in cell metabolism and proliferation (PubMed : 18507042). Phosphorylates CDKN1A, for which phosphorylation at 'Thr-145' induces its release from CDK2 and cytoplasmic relocalization (PubMed : 16982699). These recent findings indicate that the AKT1 isoform has a more specific role in cell motility and proliferation (PubMed : 16139227). Phosphorylates CLK2 thereby controlling cell survival to ionizing radiation (PubMed : 20682768). Phosphorylates PCK1 at 'Ser-90', reducing the binding affinity of PCK1 to oxaloacetate and changing PCK1 into an atypical protein kinase activity using GTP as donor (PubMed : 32322062). Also acts as an activator of TMEM175 potassium channel activity in response to growth factors : forms the lysoK(GF) complex together with TMEM175 and acts by promoting TMEM175 channel activation, independently of its protein kinase activity (PubMed : 32228865). Acts as a regulator of mitochondrial calcium uptake by mediating phosphorylation of MICU1 in the mitochondrial intermembrane space, impairing MICU1 maturation (PubMed : 30504268). Acts as an inhibitor of tRNA methylation by mediating phosphorylation of the N-terminus of METTL1, thereby inhibiting METTL1 methyltransferase activity (PubMed : 15861136). In response to LPAR1 receptor pathway activation, phosphorylates Rabin8/RAB3IP which alters its activity and phosphorylates WDR44 which induces WDR44 binding to Rab11, thereby switching Rab11 vesicular function from preciliary trafficking to endocytic recycling (PubMed : 31204173).
See full target information AKT1 phospho S473

Additional targets

AKT3

Publications (11)

Recent publications for all applications. Explore the full list and refine your search

Bioactive materials 21:483-498 PubMed36185739

2022

HDAC I/IIb selective inhibitor Purinostat Mesylate combined with GLS1 inhibition effectively eliminates CML stem cells.

Applications

Unspecified application

Species

Unspecified reactive species

Qiang Qiu,Linyu Yang,Yunyu Feng,Zejiang Zhu,Ning Li,Li Zheng,Yuanyuan Sun,Cong Pan,Huandi Qiu,Xue Cui,Wei He,Fang Wang,Yuyao Yi,Minghai Tang,Zhuang Yang,Yunfan Yang,Zhihui Li,Lijuan Chen,Yiguo Hu

Cancer immunology, immunotherapy : CII 67:271-283 PubMed29090321

2017

Cross-talk between TNF-α and IFN-γ signaling in induction of B7-H1 expression in hepatocellular carcinoma cells.

Applications

Unspecified application

Species

Unspecified reactive species

Na Li,Jianing Wang,Na Zhang,Mengwei Zhuang,Zhaoyun Zong,Jiahuan Zou,Guosheng Li,Xiaoyan Wang,Huaiyu Zhou,Lining Zhang,Yongyu Shi

Oncotarget 8:33756-33769 PubMed28422711

2017

Melatonin exerts anti-oral cancer effect via suppressing LSD1 in patient-derived tumor xenograft models.

Applications

Unspecified application

Species

Unspecified reactive species

Cheng-Yu Yang,Chih-Kung Lin,Chang-Huei Tsao,Cheng-Chih Hsieh,Gu-Jiun Lin,Kuo-Hsing Ma,Yi-Shing Shieh,Huey-Kang Sytwu,Yuan-Wu Chen

eLife 6: PubMed28440748

2017

Palmitoylated SCP1 is targeted to the plasma membrane and negatively regulates angiogenesis.

Applications

WB

Species

Unspecified reactive species

Peng Liao,Weichao Wang,Yu Li,Rui Wang,Jiali Jin,Weijuan Pang,Yunfei Chen,Mingyue Shen,Xinbo Wang,Dongyang Jiang,Jinjiang Pang,Mingyao Liu,Xia Lin,Xin-Hua Feng,Ping Wang,Xin Ge

Scientific reports 6:37213 PubMed27849011

2016

Intrinsic cellular signaling mechanisms determine the sensitivity of cancer cells to virus-induced apoptosis.

Applications

Unspecified application

Species

Unspecified reactive species

Yunfei Wang,Dawei Li,Jian Luo,Guimei Tian,Lisa Y Zhao,Daiqing Liao

Scientific reports 6:18815 PubMed26739898

2016

High mobility group box 1-induced epithelial mesenchymal transition in human airway epithelial cells.

Applications

WB

Species

Human

Yu-Ching Chen,Sarah Statt,Reen Wu,Hao-Teng Chang,Jiunn-Wang Liao,Chien-Neng Wang,Woei-Cherng Shyu,Chen-Chen Lee

The Journal of biological chemistry 290:6810-24 PubMed25605718

2015

The endosomal sorting complex required for transport pathway mediates chemokine receptor CXCR4-promoted lysosomal degradation of the mammalian target of rapamycin antagonist DEPTOR.

Applications

Unspecified application

Species

Unspecified reactive species

Rita Verma,Adriano Marchese

Molecular medicine reports 11:857-64 PubMed25369801

2014

Upregulated periostin promotes angiogenesis in keloids through activation of the ERK 1/2 and focal adhesion kinase pathways, as well as the upregulated expression of VEGF and angiopoietin‑1.

Applications

WB

Species

Human

Zhe Zhang,Fangfei Nie,Xinlei Chen,Zelian Qin,Chunfu Kang,Bin Chen,Jianxun Ma,Bolin Pan,Yongguang Ma

Journal of neuropathology and experimental neurology 72:884-91 PubMed23965747

2013

Interaction between akt1-positive neurons and age at surgery is associated with surgical outcome in children with isolated focal cortical dysplasia.

Applications

Unspecified application

Species

Unspecified reactive species

Lili Miles,Hansel M Greiner,Michael V Miles,Francesco T Mangano,Paul S Horn,James L Leach,Joo H Seo,Ki H Lee

Proceedings of the National Academy of Sciences of 110:E1083-91 PubMed23471984

2013

Therapeutically targeting glypican-3 via a conformation-specific single-domain antibody in hepatocellular carcinoma.

Applications

Unspecified application

Species

Unspecified reactive species

Mingqian Feng,Wei Gao,Ruoqi Wang,Weizao Chen,Yan-Gao Man,William Douglas Figg,Xin Wei Wang,Dimiter S Dimitrov,Mitchell Ho
View all publications

Product promise

We are committed to supporting your work with high-quality reagents, and we're here for you every step of the way. In the unlikely event that one of our products does not perform as expected, you're protected by our Product Promise.
For full details, please see our Terms & Conditions

Please note: All products are 'FOR RESEARCH USE ONLY. NOT FOR USE IN DIAGNOSTIC OR THERAPEUTIC PROCEDURES'.

For licensing inquiries, please contact partnerships@abcam.com