JavaScript is disabled in your browser. Please enable JavaScript to view this website.
AB300474

Anti-AKT3 + AKT2 + AKT1 antibody [RM1043] (BSA and Azide free)

Be the first to review this product! Submit a review

|

(0 Publication)

Rabbit Recombinant Multiclonal AKT1 antibody. Carrier free. Suitable for WB, IHC-P, IHC-Fr, ICC/IF, Flow Cyt (Intra), IP and reacts with Human, Mouse, Rat samples.

View Alternative Names

PKB, RAC, AKT1, RAC-alpha serine/threonine-protein kinase, Protein kinase B, Protein kinase B alpha, Proto-oncogene c-Akt, RAC-PK-alpha, PKB alpha

15 Images
Immunocytochemistry - Anti-AKT3 + AKT2 + AKT1 antibody [RM1043] (BSA and Azide free) (AB300474)
  • ICC

Supplier Data

Immunocytochemistry - Anti-AKT3 + AKT2 + AKT1 antibody [RM1043] (BSA and Azide free) (AB300474)

Immunofluorescent analysis of 4% paraformaldehyde fixed and 0.1% TritonX-100 permeabilized MCF7 (human breast adenocarcinoma epithelial cell?labeling AKT1 + AKT2 + AKT3 with ab300743 at 1/50 dilution (8.8 ?g/ml), followed by ab150081 Goat Anti-Rabbit IgG H&L (Alexa Fluor® 488, Green) preadsorbed at 1 : 1000 (2 ?g/mL). Confocal image showing nuclear and cytoplasmic staining in MCF7 cell line.ab195889 Anti-alpha Tubulin mouse monoclonal antibody - Microtubule Marker (Alexa Fluor® 594) (Red) was used as a counterstain at 1 : 200 dilution (2.5 ?g/ml). Nuclear counter satin is DAPI.

Immunohistochemistry (Formalin/PFA-fixed paraffin-embedded sections) - Anti-AKT3 + AKT2 + AKT1 antibody [RM1043] (BSA and Azide free) (AB300474)
  • IHC-P

Supplier Data

Immunohistochemistry (Formalin/PFA-fixed paraffin-embedded sections) - Anti-AKT3 + AKT2 + AKT1 antibody [RM1043] (BSA and Azide free) (AB300474)

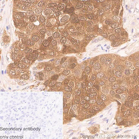
Immunohistochemical analysis of paraffin-embedded human breast carcinoma tissue labeling AKT1 + AKT2 + AKT3 with ab300473 at 1/2000, followed by a ready to use LeicaDS9800 (Bond™ Polymer Refine Detection). Positive staining on human breast carcinoma is observed. The section was incubated with ab300473 for 30 mins at room temperature. The immunostaining was performed on a Leica Biosystems BOND® RX instrument. Counterstained with Hematoxylin. Secondary antibody only control : PBS was used instead of primary antibody followed by ready to use secondary antibody LeicaDS9800 (Bond™ Polymer Refine Detection). Heat mediated antigen retrieval with Citrate buffer (pH 6.0, epitope retrieval solution 1) for 20 mins was used.

Immunohistochemistry (Formalin/PFA-fixed paraffin-embedded sections) - Anti-AKT3 + AKT2 + AKT1 antibody [RM1043] (BSA and Azide free) (AB300474)
  • IHC-P

Supplier Data

Immunohistochemistry (Formalin/PFA-fixed paraffin-embedded sections) - Anti-AKT3 + AKT2 + AKT1 antibody [RM1043] (BSA and Azide free) (AB300474)

Immunohistochemical analysis of paraffin-embedded human cerebrum tissue labeling AKT1 + AKT2 + AKT3 with ab300473 at 1/2000, followed by a ready to use LeicaDS9800 (Bond™ Polymer Refine Detection). Positive staining on human cerebrum is observed. The section was incubated with ab300473 for 30 mins at room temperature. The immunostaining was performed on a Leica Biosystems BOND® RX instrument. Counterstained with Hematoxylin. Secondary antibody only control : PBS was used instead of primary antibody followed by ready to use secondary antibody LeicaDS9800 (Bond™ Polymer Refine Detection). Heat mediated antigen retrieval with Citrate buffer (pH 6.0, epitope retrieval solution 1) for 20 mins was used.

Flow Cytometry (Intracellular) - Anti-AKT3 + AKT2 + AKT1 antibody [RM1043] (BSA and Azide free) (AB300474)
  • Flow Cyt (Intra)

Supplier Data

Flow Cytometry (Intracellular) - Anti-AKT3 + AKT2 + AKT1 antibody [RM1043] (BSA and Azide free) (AB300474)

Intracellular flow cytometric analysis of 4% paraformaldehyde fixed and 90% methanol permeabilized MCF7 (human breast adenocarcinoma epithelial cell) cells labelling AKT1 + AKT2 + AKT3 with ab300473 at 1/500 dilution (Red) compared with a Rabbit monoclonal IgG (ab172730) (Black) isotype control and an unlabelled control (cells without incubation with primary antibody and secondary antibody) (Blue). Goat Anti-Rabbit IgG (Alexa Fluor® 488, ab150081) at 1/5000 dilution was used as the secondary antibody.

Immunohistochemistry (Formalin/PFA-fixed paraffin-embedded sections) - Anti-AKT3 + AKT2 + AKT1 antibody [RM1043] (BSA and Azide free) (AB300474)
  • IHC-P

Supplier Data

Immunohistochemistry (Formalin/PFA-fixed paraffin-embedded sections) - Anti-AKT3 + AKT2 + AKT1 antibody [RM1043] (BSA and Azide free) (AB300474)

Immunohistochemical analysis of paraffin-embedded human skeletal muscle tissue labeling AKT1 + AKT2 + AKT3 with ab300473 at 1/2000, followed by a ready to use LeicaDS9800 (Bond™ Polymer Refine Detection). Low expression on human skeletal muscle is observed. The section was incubated with ab300473 for 30 mins at room temperature. The immunostaining was performed on a Leica Biosystems BOND® RX instrument. Counterstained with Hematoxylin. Secondary antibody only control : PBS was used instead of primary antibody followed by ready to use secondary antibody LeicaDS9800 (Bond™ Polymer Refine Detection). Heat mediated antigen retrieval with Citrate buffer (pH 6.0, epitope retrieval solution 1) for 20 mins was used.

Immunoprecipitation - Anti-AKT3 + AKT2 + AKT1 antibody [RM1043] (BSA and Azide free) (AB300474)
  • IP

Supplier Data

Immunoprecipitation - Anti-AKT3 + AKT2 + AKT1 antibody [RM1043] (BSA and Azide free) (AB300474)

AKT1 + AKT2 + AKT3 was immunoprecipitated from 0.35 mg HeLa (human cervix adenocarcinoma epithelial cell) whole cell lysate with ab300473 at 1/30 dilution (2 µg in 0.35 mg lysates). Western blot was performed on the immunoprecipitate using ab300473 at 1/1000 dilution. VeriBlot for IP secondary antibody(HRP)(ab131366) was used at 1/5000 dilution. Lane 1 : HeLa (human cervix adenocarcinoma epithelial cell) whole cell lysate 10 µg (Input). Lane 2 : ab300473 IP in HeLa whole cell lysate. Lane 3 : Rabbit monoclonal IgG (ab172730) instead of ab300473 in HeLa whole cell lysate. Blocking and dilution buffer and concentration : 5% NFDM/TBST. Exposure time : 6 seconds.

All lanes:

Immunoprecipitation - Anti-AKT3 + AKT2 + AKT1 antibody [RM1043] (<a href='/en-us/products/primary-antibodies/akt3-akt2-akt1-antibody-rm1043-ab300473'>ab300473</a>) at 1/30 dilution

Lane 1:

HeLa (Human cervix adenocarcinoma epithelial cell) whole cell lysate at 10 µg

Lane 2:

<a href='/en-us/products/primary-antibodies/akt3-akt2-akt1-antibody-rm1043-ab300473'>ab300473</a> IP in HeLa whole cell lysate

Lane 3:

Rabbit monoclonal IgG (<a href='/en-us/products/primary-antibodies/rabbit-igg-monoclonal-epr25a-isotype-control-ab172730'>ab172730</a>) instead of <a href='/en-us/products/primary-antibodies/akt3-akt2-akt1-antibody-rm1043-ab300473'>ab300473</a> in HeLa whole cell lysate

false

Exposure time: 41s

Immunohistochemistry (Formalin/PFA-fixed paraffin-embedded sections) - Anti-AKT3 + AKT2 + AKT1 antibody [RM1043] (BSA and Azide free) (AB300474)
  • IHC-P

Supplier Data

Immunohistochemistry (Formalin/PFA-fixed paraffin-embedded sections) - Anti-AKT3 + AKT2 + AKT1 antibody [RM1043] (BSA and Azide free) (AB300474)

Immunohistochemical analysis of paraffin-embedded rat cerebrum tissue labeling AKT1 + AKT2 + AKT3 with ab300473 at 1/2000, followed by a ready to use LeicaDS9800 (Bond™ Polymer Refine Detection). Positive staining on rat cerebrum is observed. The section was incubated with ab300473 for 30 mins at room temperature. The immunostaining was performed on a Leica Biosystems BOND® RX instrument. Counterstained with Hematoxylin. Secondary antibody only control : PBS was used instead of primary antibody followed by ready to use secondary antibody LeicaDS9800 (Bond™ Polymer Refine Detection). Heat mediated antigen retrieval with Citrate buffer (pH 6.0, epitope retrieval solution 1) for 20 mins was used.

Flow Cytometry (Intracellular) - Anti-AKT3 + AKT2 + AKT1 antibody [RM1043] (BSA and Azide free) (AB300474)
  • Flow Cyt (Intra)

Supplier Data

Flow Cytometry (Intracellular) - Anti-AKT3 + AKT2 + AKT1 antibody [RM1043] (BSA and Azide free) (AB300474)

Intracellular flow cytometric analysis of 4% paraformaldehyde fixed and 90% methanol permeabilized NIH/3T3 (mouse embryonic fibroblast) cells labelling AKT1 + AKT2 + AKT3 with ab300473 at 1/500 dilution (Red) compared with a Rabbit monoclonal IgG (ab172730) (Black) isotype control and an unlabelled control (cells without incubation with primary antibody and secondary antibody) (Blue). Goat Anti-Rabbit IgG (Alexa Fluor® 488, ab150081) at 1/5000 dilution was used as the secondary antibody.

Immunohistochemistry (Frozen sections) - Anti-AKT3 + AKT2 + AKT1 antibody [RM1043] (BSA and Azide free) (AB300474)
  • IHC-Fr

Supplier Data

Immunohistochemistry (Frozen sections) - Anti-AKT3 + AKT2 + AKT1 antibody [RM1043] (BSA and Azide free) (AB300474)

Immunohistochemical analysis of 4% PFA-fixed, 0.2% Triton X-100 permeabilized frozen mouse cerebral cortex (fresh) tissue labeling AKT1 + AKT2 + AKT3 with ab300473 at 1/100 dilution (4.4 ?g/ml) followed by ab150081 Goat Anti-Rabbit IgG H&L (Alexa Fluor® 488) preabsorbed at 1/1000 dilution (2 µg/mL) (Green). Positive staining on mouse cerebral cortex is observed. The nuclear counterstain was DAPI (Blue).

Immunohistochemistry (Frozen sections) - Anti-AKT3 + AKT2 + AKT1 antibody [RM1043] (BSA and Azide free) (AB300474)
  • IHC-Fr

Supplier Data

Immunohistochemistry (Frozen sections) - Anti-AKT3 + AKT2 + AKT1 antibody [RM1043] (BSA and Azide free) (AB300474)

Immunohistochemical analysis of 4% PFA-fixed, 0.2% Triton X-100 permeabilized frozen rat cerebral cortex (fresh) tissue labeling AKT1 + AKT2 + AKT3 with ab300473 at 1/100 dilution (4.4 µg/ml) followed by ab150081 Goat Anti-Rabbit IgG H&L (Alexa Fluor® 488) preabsorbed at 1/1000 dilution (2 µg/mL) (Green). Positive staining on rat cerebral cortex is observed. The nuclear counterstain was DAPI (Blue).

Immunohistochemistry (Formalin/PFA-fixed paraffin-embedded sections) - Anti-AKT3 + AKT2 + AKT1 antibody [RM1043] (BSA and Azide free) (AB300474)
  • IHC-P

Supplier Data

Immunohistochemistry (Formalin/PFA-fixed paraffin-embedded sections) - Anti-AKT3 + AKT2 + AKT1 antibody [RM1043] (BSA and Azide free) (AB300474)

Immunohistochemical analysis of paraffin-embedded mouse cerebrum tissue labeling AKT1 + AKT2 + AKT3 with ab300473 at 1/2000, followed by a ready to use LeicaDS9800 (Bond™ Polymer Refine Detection). Positive staining on mouse cerebrum is observed. The section was incubated with ab300473 for 30 mins at room temperature. The immunostaining was performed on a Leica Biosystems BOND® RX instrument. Counterstained with Hematoxylin. Secondary antibody only control : PBS was used instead of primary antibody followed by ready to use secondary antibody LeicaDS9800 (Bond™ Polymer Refine Detection). Heat mediated antigen retrieval with Citrate buffer (pH 6.0, epitope retrieval solution 1) for 20 mins was used.

Immunocytochemistry - Anti-AKT3 + AKT2 + AKT1 antibody [RM1043] (BSA and Azide free) (AB300474)
  • ICC

Supplier Data

Immunocytochemistry - Anti-AKT3 + AKT2 + AKT1 antibody [RM1043] (BSA and Azide free) (AB300474)

Immunofluorescent analysis of 4% paraformaldehyde fixed and 0.1% TritonX-100 permeabilized NIH/3T3 (mouse embryonic fibroblast) labeling AKT1 + AKT2 + AKT3 with ab300743 at 1/50 dilution (8.8 ?g/ml), followed by ab150081 Goat Anti-Rabbit IgG H&L (Alexa Fluor® 488, Green) preadsorbed at 1 : 1000 (2 ?g/mL). Confocal image showing nuclear and cytoplasmic staining in NIH/3T3 cell line.ab195889 Anti-alpha Tubulin mouse monoclonal antibody - Microtubule Marker (Alexa Fluor® 594) (Red) was used as a counterstain at 1 : 200 dilution (2.5 ?g/ml). Nuclear counter satin is DAPI.

Immunoprecipitation - Anti-AKT3 + AKT2 + AKT1 antibody [RM1043] (BSA and Azide free) (AB300474)
  • IP

Supplier Data

Immunoprecipitation - Anti-AKT3 + AKT2 + AKT1 antibody [RM1043] (BSA and Azide free) (AB300474)

AKT1 + AKT2 + AKT3 was immunoprecipitated from 0.35 mg NIH/3T3 (mouse embryonic fibroblast) whole cell lysate 10 µg with ab300473 at 1/30 dilution (2 µg in 0.35 mg lysates). Western blot was performed on the immunoprecipitate using ab300473 at 1/1000 dilution. VeriBlot for IP secondary antibody(HRP)(ab131366) was used at 1/5000 dilution. Lane 1 : NIH/3T3 (mouse embryonic fibroblast) whole cell lysate 10 µg (Input). Lane 2 : ab300473 IP in NIH/3T3 whole cell lysate. Lane 3 : Rabbit monoclonal IgG (ab172730) instead of ab300473 in NIH/3T3 whole cell lysate. Blocking and dilution buffer and concentration : 5% NFDM/TBST. Exposure time : 6 seconds.

All lanes:

Immunoprecipitation - Anti-AKT3 + AKT2 + AKT1 antibody [RM1043] (<a href='/en-us/products/primary-antibodies/akt3-akt2-akt1-antibody-rm1043-ab300473'>ab300473</a>) at 1/30 dilution

Lane 1:

NIH/3T3 (mouse embryonic fibroblast) whole cell lysate at 10 µg

Lane 2:

<a href='/en-us/products/primary-antibodies/akt3-akt2-akt1-antibody-rm1043-ab300473'>ab300473</a> IP in NIH/3T3 whole cell lysate

Lane 3:

Rabbit monoclonal IgG (<a href='/en-us/products/primary-antibodies/rabbit-igg-monoclonal-epr25a-isotype-control-ab172730'>ab172730</a>) instead of <a href='/en-us/products/primary-antibodies/akt3-akt2-akt1-antibody-rm1043-ab300473'>ab300473</a> in NIH/3T3 whole cell lysate

false

Exposure time: 6s

Western blot - Anti-AKT3 + AKT2 + AKT1 antibody [RM1043] (BSA and Azide free) (AB300474)
  • WB

Supplier Data

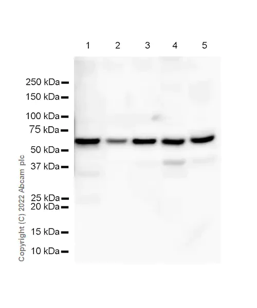
Western blot - Anti-AKT3 + AKT2 + AKT1 antibody [RM1043] (BSA and Azide free) (AB300474)

Blocking and dilution buffer and concentration : 5% NFDM/TBST.

All lanes:

Western blot - Anti-AKT3 + AKT2 + AKT1 antibody [RM1043] (<a href='/en-us/products/primary-antibodies/akt3-akt2-akt1-antibody-rm1043-ab300473'>ab300473</a>) at 1/1000 dilution

Lane 1:

MCF7 (Human breast adenocarcinoma epithelial cell) whole cell lysate at 20 µg

Lane 2:

HeLa (Human cervix adenocarcinoma epithelial cell) whole cell lysate at 20 µg

Lane 3:

NIH/3T3 (Mouse embryonic fibroblast) whole cell lysate at 20 µg

Lane 4:

RAW 264.7 (Mouse Abelson murine leukemia virus-induced tumor macrophage) whole cell lysate at 20 µg

Lane 5:

PC-12 (Rat adrenal gland pheochromocytoma) whole cell lysate at 20 µg

Secondary

All lanes:

Western blot - Goat Anti-Rabbit IgG H&L (HRP) (<a href='/en-us/products/secondary-antibodies/goat-rabbit-igg-h-l-hrp-ab97051'>ab97051</a>) at 1/100000 dilution

false

Exposure time: 15s

Western blot - Anti-AKT3 + AKT2 + AKT1 antibody [RM1043] (BSA and Azide free) (AB300474)
  • WB

Supplier Data

Western blot - Anti-AKT3 + AKT2 + AKT1 antibody [RM1043] (BSA and Azide free) (AB300474)

Blocking and dilution buffer and concentration : 5% NFDM/TBST.

All lanes:

Western blot - Anti-AKT3 + AKT2 + AKT1 antibody [RM1043] (<a href='/en-us/products/primary-antibodies/akt3-akt2-akt1-antibody-rm1043-ab300473'>ab300473</a>) at 1/1000 dilution

Lane 1:

AKT1 recombinant protein containing his-tag (1-480 aa) at 10 ng

Lane 2:

AKT2 recombinant protein containing GST-tag (1-481 aa) at 10 ng

Lane 3:

AKT3 recombinant protein containing GST-tag (1-479 aa) at 10 ng

Secondary

All lanes:

Western blot - Goat Anti-Rabbit IgG H&L (HRP) (<a href='/en-us/products/secondary-antibodies/goat-rabbit-igg-h-l-hrp-ab97051'>ab97051</a>) at 1/100000 dilution

Observed band size: 56 kDa

false

Exposure time: 8s

Key facts

Host species

Rabbit

Clonality

Multiclonal

Clone number

RM1043

Isotype

IgG

Carrier free

Yes

Reacts with

Human, Mouse, Rat

Applications

WB, IHC-Fr, ICC/IF, IHC-P, Flow Cyt (Intra), IP

applications

Immunogen

The exact immunogen used to generate this antibody is proprietary information.

Reactivity data

{ "title": "Reactivity Data", "filters": { "stats": ["", "Species", "Dilution Info", "Notes"], "tabs": { "all-applications": {"fullname" : "All Applications", "shortname": "All Applications"}, "WB" : {"fullname" : "Western blot", "shortname":"WB"}, "IHCP" : {"fullname" : "Immunohistochemistry (Formalin/PFA-fixed paraffin-embedded sections)", "shortname":"IHC-P"}, "IHCFr" : {"fullname" : "Immunohistochemistry (Frozen sections)", "shortname":"IHC-Fr"}, "ICCIF" : {"fullname" : "Immunocytochemistry/ Immunofluorescence", "shortname":"ICC/IF"}, "FlowCytIntra" : {"fullname" : "Flow Cytometry (Intracellular)", "shortname":"Flow Cyt (Intra)"}, "IP" : {"fullname" : "Immunoprecipitation", "shortname":"IP"} }, "product-promise": { "all": "all", "testedAndGuaranteed": "tested", "guaranteed": "expected", "predicted": "predicted", "notRecommended": "not-recommended" } }, "values": { "Human": { "WB-species-checked": "testedAndGuaranteed", "WB-species-dilution-info": "", "WB-species-notes": "<p></p>", "IHCP-species-checked": "testedAndGuaranteed", "IHCP-species-dilution-info": "", "IHCP-species-notes": "<p></p> Perform heat-mediated antigen retrieval with Tris/EDTA buffer pH 9.0 before commencing with IHC staining protocol.", "IHCFr-species-checked": "guaranteed", "IHCFr-species-dilution-info": "", "IHCFr-species-notes": "", "ICCIF-species-checked": "testedAndGuaranteed", "ICCIF-species-dilution-info": "", "ICCIF-species-notes": "<p></p>", "FlowCytIntra-species-checked": "testedAndGuaranteed", "FlowCytIntra-species-dilution-info": "", "FlowCytIntra-species-notes": "<p></p>", "IP-species-checked": "testedAndGuaranteed", "IP-species-dilution-info": "", "IP-species-notes": "<p></p>" }, "Mouse": { "WB-species-checked": "testedAndGuaranteed", "WB-species-dilution-info": "", "WB-species-notes": "<p></p>", "IHCP-species-checked": "testedAndGuaranteed", "IHCP-species-dilution-info": "", "IHCP-species-notes": "<p></p> Perform heat-mediated antigen retrieval with Tris/EDTA buffer pH 9.0 before commencing with IHC staining protocol.", "IHCFr-species-checked": "testedAndGuaranteed", "IHCFr-species-dilution-info": "", "IHCFr-species-notes": "<p></p>", "ICCIF-species-checked": "testedAndGuaranteed", "ICCIF-species-dilution-info": "", "ICCIF-species-notes": "<p></p>", "FlowCytIntra-species-checked": "testedAndGuaranteed", "FlowCytIntra-species-dilution-info": "", "FlowCytIntra-species-notes": "<p></p>", "IP-species-checked": "testedAndGuaranteed", "IP-species-dilution-info": "", "IP-species-notes": "<p></p>" }, "Rat": { "WB-species-checked": "testedAndGuaranteed", "WB-species-dilution-info": "", "WB-species-notes": "<p></p>", "IHCP-species-checked": "testedAndGuaranteed", "IHCP-species-dilution-info": "", "IHCP-species-notes": "<p></p> Perform heat-mediated antigen retrieval with Tris/EDTA buffer pH 9.0 before commencing with IHC staining protocol.", "IHCFr-species-checked": "testedAndGuaranteed", "IHCFr-species-dilution-info": "", "IHCFr-species-notes": "<p></p>", "ICCIF-species-checked": "guaranteed", "ICCIF-species-dilution-info": "", "ICCIF-species-notes": "", "FlowCytIntra-species-checked": "guaranteed", "FlowCytIntra-species-dilution-info": "", "FlowCytIntra-species-notes": "", "IP-species-checked": "guaranteed", "IP-species-dilution-info": "", "IP-species-notes": "" } } }

Product details

Patented technology
Our RabMAb® technology is a patented hybridoma-based technology for making rabbit monoclonal antibodies. For details on our patents, please refer to RabMAb® patents.

Conjugation ready
Our carrier-free antibodies are typically supplied in a PBS-only formulation, purified and free of BSA, sodium azide and glycerol. This conjugation-ready format is designed for use with fluorochromes, metal isotopes, oligonucleotides, and enzymes, which makes them ideal for antibody labelling, functional and cell-based assays, flow-based assays (e.g. mass cytometry) and Multiplex Imaging applications.

Use our conjugation kits for antibody conjugates that are ready-to-use in as little as 20 minutes with 1 minute hands-on-time and 100% antibody recovery: available for fluorescent dyes, HRP, biotin and gold.

Compatibility
This product is compatible with the Maxpar® Antibody Labeling Kit from Fluidigm, without the need for antibody preparation. Maxpar® is a trademark of Fluidigm Canada Inc.

Properties and storage information

Form
Liquid
Purification technique
Affinity purification Protein A
Storage buffer
pH: 7.2 - 7.4 Constituents: PBS
Shipped at conditions
Blue Ice
Appropriate short-term storage conditions
+4°C
Appropriate long-term storage conditions
+4°C
Aliquoting information
Upon delivery aliquot
Storage information
Do Not Freeze

Supplementary information

This supplementary information is collated from multiple sources and compiled automatically.

The protein kinase AKT also known as protein kinase B (PKB) includes three isoforms: AKT1 AKT2 and AKT3. These play a central role in cellular processes. AKT1 has a molecular weight of approximately 56 kDa AKT2 has around 55 kDa and AKT3 similarly weighs about 54 kDa. These isoforms of AKT are expressed in various tissues but AKT1 is abundantly found in most tissues AKT2 is often present in insulin-responsive tissues like skeletal muscle and adipose tissue and AKT3 is mainly in the brain. The activation of AKT involves phosphorylation which increases their kinase activity significantly. The isoforms have unique and overlapping functions offering distinct mechanical roles in cellular signaling.
Biological function summary

The AKT kinase family plays a major role in regulating vital cellular functions including metabolism cell proliferation survival and growth. It does so by catalyzing phosphorylation of a range of substrates within these pathways. AKT is often involved in complexes with other proteins to achieve these biological effects. It impacts the regulation of glycogen synthase kinase 3 (GSK3) involved in insulin response and mTOR which controls cell growth. These wide-ranging functions make AKT proteins essential in maintaining cellular homeostasis.

Pathways

AKT proteins are important components of the PI3K/AKT/mTOR signaling pathway and the insulin signaling pathway. Within these pathways they interact with and modulate activities of related proteins such as PI3K PDK1 and mTOR. This regulation helps control the balance between anabolic and catabolic processes influencing cell survival growth and metabolism. The importance of AKT kinases in these pathways marks them as key regulators of cellular responses to external and internal stimuli.

AKT isoforms have strong connections to cancer and diabetes. Over-activation of AKT pathways frequently occurs in cancerous cells contributing to uncontrolled cell growth and survival. In diabetes AKT2 is particularly implicated due to its role in insulin signaling influencing how cells process glucose. Dysregulation of AKT pathways has been linked to the development and progression of these diseases where proteins like mTOR in cancer and IRS1 in diabetes show direct relation to AKT function and malfunctions.

Product protocols

For this product, it's our understanding that no specific protocols are required. You can visit:

Target data

AKT1 is one of 3 closely related serine/threonine-protein kinases (AKT1, AKT2 and AKT3) called the AKT kinase, and which regulate many processes including metabolism, proliferation, cell survival, growth and angiogenesis (PubMed : 11882383, PubMed : 15526160, PubMed : 15861136, PubMed : 21432781, PubMed : 21620960, PubMed : 31204173). This is mediated through serine and/or threonine phosphorylation of a range of downstream substrates (PubMed : 11882383, PubMed : 15526160, PubMed : 21432781, PubMed : 21620960, PubMed : 29343641, PubMed : 31204173). Over 100 substrate candidates have been reported so far, but for most of them, no isoform specificity has been reported (PubMed : 11882383, PubMed : 15526160, PubMed : 21432781, PubMed : 21620960). AKT is responsible of the regulation of glucose uptake by mediating insulin-induced translocation of the SLC2A4/GLUT4 glucose transporter to the cell surface (By similarity). Phosphorylation of PTPN1 at 'Ser-50' negatively modulates its phosphatase activity preventing dephosphorylation of the insulin receptor and the attenuation of insulin signaling (By similarity). Phosphorylation of TBC1D4 triggers the binding of this effector to inhibitory 14-3-3 proteins, which is required for insulin-stimulated glucose transport (PubMed : 11994271). AKT also regulates the storage of glucose in the form of glycogen by phosphorylating GSK3A at 'Ser-21' and GSK3B at 'Ser-9', resulting in inhibition of its kinase activity (By similarity). Phosphorylation of GSK3 isoforms by AKT is also thought to be one mechanism by which cell proliferation is driven (By similarity). AKT also regulates cell survival via the phosphorylation of MAP3K5 (apoptosis signal-related kinase) (PubMed : 11154276). Phosphorylation of 'Ser-83' decreases MAP3K5 kinase activity stimulated by oxidative stress and thereby prevents apoptosis (PubMed : 11154276). AKT mediates insulin-stimulated protein synthesis by phosphorylating TSC2 at 'Ser-939' and 'Thr-1462', thereby activating the mTORC1 signaling pathway, and leading to both phosphorylation of 4E-BP1 and in activation of RPS6KB1 (PubMed : 12150915, PubMed : 12172553). Also regulates the mTORC1 signaling pathway by catalyzing phosphorylation of CASTOR1 and DEPDC5 (PubMed : 31548394, PubMed : 33594058). AKT plays a role as key modulator of the AKT-mTOR signaling pathway controlling the tempo of the process of newborn neurons integration during adult neurogenesis, including correct neuron positioning, dendritic development and synapse formation (By similarity). Part of a positive feedback loop of mTORC2 signaling by mediating phosphorylation of MAPKAP1/SIN1, promoting mTORC2 activation (By similarity). AKT is involved in the phosphorylation of members of the FOXO factors (Forkhead family of transcription factors), leading to binding of 14-3-3 proteins and cytoplasmic localization (PubMed : 10358075). In particular, FOXO1 is phosphorylated at 'Thr-24', 'Ser-256' and 'Ser-319' (PubMed : 10358075). FOXO3 and FOXO4 are phosphorylated on equivalent sites (PubMed : 10358075). AKT has an important role in the regulation of NF-kappa-B-dependent gene transcription and positively regulates the activity of CREB1 (cyclic AMP (cAMP)-response element binding protein) (PubMed : 9829964). The phosphorylation of CREB1 induces the binding of accessory proteins that are necessary for the transcription of pro-survival genes such as BCL2 and MCL1 (PubMed : 9829964). AKT phosphorylates 'Ser-454' on ATP citrate lyase (ACLY), thereby potentially regulating ACLY activity and fatty acid synthesis (By similarity). Activates the 3B isoform of cyclic nucleotide phosphodiesterase (PDE3B) via phosphorylation of 'Ser-273', resulting in reduced cyclic AMP levels and inhibition of lipolysis (By similarity). Phosphorylates PIKFYVE on 'Ser-318', which results in increased PI(3)P-5 activity (By similarity). The Rho GTPase-activating protein DLC1 is another substrate and its phosphorylation is implicated in the regulation cell proliferation and cell growth (By similarity). Signals downstream of phosphatidylinositol 3-kinase (PI(3)K) to mediate the effects of various growth factors such as platelet-derived growth factor (PDGF), epidermal growth factor (EGF), insulin and insulin-like growth factor 1 (IGF1) (PubMed : 12176338, PubMed : 12964941). AKT mediates the antiapoptotic effects of IGF1 (By similarity). Essential for the SPATA13-mediated regulation of cell migration and adhesion assembly and disassembly (PubMed : 19934221). May be involved in the regulation of the placental development (By similarity). Phosphorylates STK4/MST1 at 'Thr-120' and 'Thr-387' leading to inhibition of its : kinase activity, nuclear translocation, autophosphorylation and ability to phosphorylate FOXO3 (PubMed : 17726016). Phosphorylates STK3/MST2 at 'Thr-117' and 'Thr-384' leading to inhibition of its : cleavage, kinase activity, autophosphorylation at Thr-180, binding to RASSF1 and nuclear translocation (PubMed : 20086174). Phosphorylates SRPK2 and enhances its kinase activity towards SRSF2 and ACIN1 and promotes its nuclear translocation (PubMed : 19592491). Phosphorylates RAF1 at 'Ser-259' and negatively regulates its activity (PubMed : 10576742). Phosphorylation of BAD stimulates its pro-apoptotic activity (PubMed : 10926925). Phosphorylates KAT6A at 'Thr-369' and this phosphorylation inhibits the interaction of KAT6A with PML and negatively regulates its acetylation activity towards p53/TP53 (PubMed : 23431171). Phosphorylates palladin (PALLD), modulating cytoskeletal organization and cell motility (PubMed : 20471940). Phosphorylates prohibitin (PHB), playing an important role in cell metabolism and proliferation (PubMed : 18507042). Phosphorylates CDKN1A, for which phosphorylation at 'Thr-145' induces its release from CDK2 and cytoplasmic relocalization (PubMed : 16982699). These recent findings indicate that the AKT1 isoform has a more specific role in cell motility and proliferation (PubMed : 16139227). Phosphorylates CLK2 thereby controlling cell survival to ionizing radiation (PubMed : 20682768). Phosphorylates PCK1 at 'Ser-90', reducing the binding affinity of PCK1 to oxaloacetate and changing PCK1 into an atypical protein kinase activity using GTP as donor (PubMed : 32322062). Also acts as an activator of TMEM175 potassium channel activity in response to growth factors : forms the lysoK(GF) complex together with TMEM175 and acts by promoting TMEM175 channel activation, independently of its protein kinase activity (PubMed : 32228865). Acts as a regulator of mitochondrial calcium uptake by mediating phosphorylation of MICU1 in the mitochondrial intermembrane space, impairing MICU1 maturation (PubMed : 30504268). Acts as an inhibitor of tRNA methylation by mediating phosphorylation of the N-terminus of METTL1, thereby inhibiting METTL1 methyltransferase activity (PubMed : 15861136). In response to LPAR1 receptor pathway activation, phosphorylates Rabin8/RAB3IP which alters its activity and phosphorylates WDR44 which induces WDR44 binding to Rab11, thereby switching Rab11 vesicular function from preciliary trafficking to endocytic recycling (PubMed : 31204173).
See full target information AKT1

Additional targets

RAC-beta serine/threonine-protein kinase,AKT3

Product promise

We are committed to supporting your work with high-quality reagents, and we're here for you every step of the way. In the unlikely event that one of our products does not perform as expected, you're protected by our Product Promise.
For full details, please see our Terms & Conditions

Please note: All products are 'FOR RESEARCH USE ONLY. NOT FOR USE IN DIAGNOSTIC OR THERAPEUTIC PROCEDURES'.

For licensing inquiries, please contact partnerships@abcam.com