JavaScript is disabled in your browser. Please enable JavaScript to view this website.
AB219588

Anti-AKT3 + AKT2 + AKT1 antibody [Y89] - BSA and Azide free

Be the first to review this product! Submit a review

|

(27 Publications)

Rabbit Recombinant Monoclonal AKT1 antibody. Carrier free. Suitable for IHC-P, IP, WB, ICC/IF, Flow Cyt (Intra) and reacts with Human samples. Cited in 27 publications.

View Alternative Names

PKB, RAC, AKT1, RAC-alpha serine/threonine-protein kinase, Protein kinase B, Protein kinase B alpha, Proto-oncogene c-Akt, RAC-PK-alpha, PKB alpha

5 Images
Immunocytochemistry/ Immunofluorescence - Anti-AKT3 + AKT2 + AKT1 antibody [Y89] - BSA and Azide free (AB219588)
  • ICC/IF

Unknown

Immunocytochemistry/ Immunofluorescence - Anti-AKT3 + AKT2 + AKT1 antibody [Y89] - BSA and Azide free (AB219588)

ab32505 staining in SK-N-SH cells treated with alsterpaullone (ab141070), by ICC/IF. Decrease of AKT1 + AKT2 + AKT3 expression correlates with increased concentration of alsterpaullone, as described in literature.
The cells were incubated at 37°C for 6h in media containing different concentrations of ab141070 (alsterpaullone) in DMSO, fixed with 4% formaldehyde for 10 minutes at room temperature and blocked with PBS containing 10% goat serum, 0.3 M glycine, 1% BSA and 0.1% tween for 2h at room temperature. Staining of the treated cells with ab32505 (1/200 dilution was performed overnight at 4°C in PBS containing 1% BSA and 0.1% tween. A DyLight 488 anti-rabbit polyclonal antibody (ab96899) at 1/250 dilution was used as the secondary antibody. Nuclei were counterstained with DAPI and are shown in blue.

This data was developed using the same antibody clone in a different buffer formulation containing PBS, BSA, glycerol, and sodium azide (ab32505).

Flow Cytometry (Intracellular) - Anti-AKT3 + AKT2 + AKT1 antibody [Y89] - BSA and Azide free (AB219588)
  • Flow Cyt (Intra)

Unknown

Flow Cytometry (Intracellular) - Anti-AKT3 + AKT2 + AKT1 antibody [Y89] - BSA and Azide free (AB219588)

Overlay histogram showing HeLa cells stained with ab32505 (red line). The cells were fixed with methanol (5 min) and then permeabilized with 0.1% PBS-Tween for 20 min. The cells were then incubated in 1x PBS / 10% normal goat serum / 0.3M glycine to block non-specific protein-protein interactions followed by the antibody (ab32505, 1/20 dilution) for 30 min at 22°C. The secondary antibody used was DyLight® 488 goat anti-rabbit IgG (H+L) (ab96899) at 1/500 dilution for 30 min at 22°C. Isotype control antibody (black line) was rabbit monoclonal IgG (1μg/1x106 cells) used under the same conditions. Acquisition of >5,000 events was performed. This antibody gave a slightly decreased signal in HeLa cells fixed with 4% paraformaldehyde (10 min)/permeabilized in 0.1% PBS-Tween used under the same conditions. This data was developed using the same antibody clone in a different buffer formulation containing PBS, BSA, glycerol, and sodium azide (ab32505).

Immunohistochemistry (Formalin/PFA-fixed paraffin-embedded sections) - Anti-AKT3 + AKT2 + AKT1 antibody [Y89] - BSA and Azide free (AB219588)
  • IHC-P

Unknown

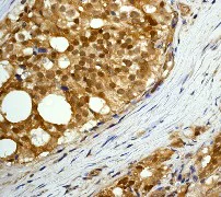
Immunohistochemistry (Formalin/PFA-fixed paraffin-embedded sections) - Anti-AKT3 + AKT2 + AKT1 antibody [Y89] - BSA and Azide free (AB219588)

Immunohistochemical analysis of paraffin-embedded prostate carcinoma using ab32505 at 1/100 dilution.

This data was developed using the same antibody clone in a different buffer formulation containing PBS, BSA, glycerol, and sodium azide (ab32505).

Perform heat mediated antigen retrieval with citrate buffer pH 6 before commencing with IHC staining protocol.

Immunoprecipitation - Anti-AKT3 + AKT2 + AKT1 antibody [Y89] - BSA and Azide free (AB219588)
  • IP

Unknown

Immunoprecipitation - Anti-AKT3 + AKT2 + AKT1 antibody [Y89] - BSA and Azide free (AB219588)

Purified ab32505 at 1/50 dilution (2μg) immunoprecipitating AKT3+AKT2+AKT1 in MCF7 whole cell lysate.
Lane 1 (input) : MCF7 (Human breast adenocarcinoma epithelial cell) whole cell lysate 10μg
Lane 2 (+) : ab32505 + MCF7 whole cell lysate.
Lane 3 (-) : Rabbit monoclonal IgG (ab172730) instead of ab32505 in MCF7 whole cell lysate.
VeriBlot for IP Detection Reagent (HRP) (ab131366) (1/1000 dilution) was used for Western blotting.
Blocking Buffer and concentration : 5% NFDM/TBST.
Diluting buffer and concentration : 5% NFDM/TBST.
Observed band size : 59 kDa
This data was developed using the same antibody clone in a different buffer formulation containing PBS, BSA, glycerol, and sodium azide (ab32505).

All lanes:

Immunoprecipitation - Anti-AKT3 + AKT2 + AKT1 antibody [Y89] (<a href='/en-us/products/primary-antibodies/akt3-akt2-akt1-antibody-y89-ab32505'>ab32505</a>)

false

Western blot - Anti-AKT3 + AKT2 + AKT1 antibody [Y89] - BSA and Azide free (AB219588)
  • WB

CiteAb

Western blot - Anti-AKT3 + AKT2 + AKT1 antibody [Y89] - BSA and Azide free (AB219588)

AKT3 + AKT2 + AKT1 western blot using anti-AKT3 + AKT2 + AKT1 antibody [Y89] - BSA and Azide free ab219588. Publication image and figure legend from Khanom, R., Nguyen, C. T., et al., 2016, PLoS One, PubMed 27512993.

ab219588 was used in this publication in western blot. This may not be the same as the application(s) guaranteed by Abcam. For a full list of applications guaranteed by Abcam for ab219588 please see the product overview.

KRT17 knockout inhibited tumor growth.(A) Confirmation of KRT17 mutation in the KRT17-knockout cells (HSC3-KO). HSC3 was transfected with pSpCas9(BB)-2A-GFP carrying the KRT17 target sequence in KRT17 exon 3 and cloned by limited dilution following fluorescence activated cell sorting of transfected cells. Six independent clones, in which KRT17 protein expression was absent, were established. Of those, one clone (HSC3-KO) exhibited homo-allelic single-base deletion as revealed by PCR and direct sequencing of the genomic DNA, resulting in a frame shift and a premature stop codon. +259 and +278 denote the nucleotide positions corresponding to KRT17 cDNA when the A of the ATG of the initiator methionine codon is designated as position +1. (B) Western blot analysis of HSC3 and HSC3-KO, demonstrating the absence of KRT17 and reduced expression of phosphorylated pAKT1, MTOR, and pEIF4EBP1 in HSC3-KO. (C) Reduced SLC2A1 expression and glucose uptake in HSC3-KO, as revealed by flow cytometry. (D) Cells (5 x 105) of HSC3 or HSC-KO were subcutaneously injected into the cephalic skin of nude mice (n = 4). One mouse transplanted with HSC3 died of an unknown cause on day 10. HSC3-KO cells developed smaller tumors than HSC3. The photographs were taken on day 15. The tumor areas are encircled by yellow dashed lines. (E) The tumor area was calculated following elliptic substitution of the macroscopic tumor margin using the photograph of the vertical view. The bold lines depict mean tumor areas. The error bars represent standard errors. (F) Immunohistochemical examination of the HSC3-KO tumor developed in the nude mice, confirming negative expression of KRT17. Since the antibody recognizes both human and mouse KRT17, the physiological expression of KRT17 was observed in the hair follicles. Scale bar, 200 μm. (G) Histology of the HSC3 tumor and the HSC3-KO tumor. The HSC3 tumor was composed of medium-to-large-sized tumor nests, whereas the HSC3-KO tumor was composed of small islands. Scale bar, 200 μm. (H) Immunohistochemical expression of MKI67 in the HSC3 tumor and the HSC3-KO tumor. Note that there were fewer cancer cells in the HSC3-KO photograph than in the HSC3 photograph. Scale bar, 200 μm. (I) The Ki-67 labeling indices (LI) were calculated as the percentage of MKI67-positive nuclei in the cancer cells after counting at least 1,000 tumor cells at X200 magnification. The tumor areas that were closest to the epidermis were used for analysis.

false

  • Unconjugated

    Anti-AKT3 + AKT2 + AKT1 antibody [Y89]

  • 578 PE

    PE Anti-AKT3 + AKT2 + AKT1 antibody [Y89]

  • 519 Alexa Fluor® 488

    Alexa Fluor® 488 Anti-AKT3 + AKT2 + AKT1 antibody [Y89]

Key facts

Host species

Rabbit

Clonality

Monoclonal

Clone number

Y89

Isotype

IgG

Carrier free

Yes

Reacts with

Human

Applications

IP, Flow Cyt (Intra), IHC-P, WB, ICC/IF

applications

Immunogen

The exact immunogen used to generate this antibody is proprietary information.

Specificity

This product reacts with AKT1, AKT2 and AKT3.

Reactivity data

{ "title": "Reactivity Data", "filters": { "stats": ["", "Species", "Dilution Info", "Notes"], "tabs": { "all-applications": {"fullname" : "All Applications", "shortname": "All Applications"}, "IHCP" : {"fullname" : "Immunohistochemistry (Formalin/PFA-fixed paraffin-embedded sections)", "shortname":"IHC-P"}, "IP" : {"fullname" : "Immunoprecipitation", "shortname":"IP"}, "WB" : {"fullname" : "Western blot", "shortname":"WB"}, "ICCIF" : {"fullname" : "Immunocytochemistry/ Immunofluorescence", "shortname":"ICC/IF"}, "FlowCytIntra" : {"fullname" : "Flow Cytometry (Intracellular)", "shortname":"Flow Cyt (Intra)"} }, "product-promise": { "all": "all", "testedAndGuaranteed": "tested", "guaranteed": "expected", "predicted": "predicted", "notRecommended": "not-recommended" } }, "values": { "Human": { "IHCP-species-checked": "testedAndGuaranteed", "IHCP-species-dilution-info": "", "IHCP-species-notes": "<p></p> Perform heat-mediated antigen retrieval with citrate buffer pH 6 before commencing with IHC staining protocol.", "IP-species-checked": "testedAndGuaranteed", "IP-species-dilution-info": "", "IP-species-notes": "<p></p>", "WB-species-checked": "testedAndGuaranteed", "WB-species-dilution-info": "", "WB-species-notes": "<p></p>", "ICCIF-species-checked": "testedAndGuaranteed", "ICCIF-species-dilution-info": "", "ICCIF-species-notes": "<p></p>", "FlowCytIntra-species-checked": "testedAndGuaranteed", "FlowCytIntra-species-dilution-info": "", "FlowCytIntra-species-notes": "<p><a href='/en-us/products/primary-antibodies/rabbit-igg-monoclonal-epr25a-isotype-control-low-endotoxin-azide-free-ab199376'>ab199376</a> - Rabbit monoclonal IgG, is suitable for use as an isotype control with this antibody.</p>" }, "Mouse": { "IHCP-species-checked": "predicted", "IHCP-species-dilution-info": "", "IHCP-species-notes": "", "IP-species-checked": "predicted", "IP-species-dilution-info": "", "IP-species-notes": "", "WB-species-checked": "predicted", "WB-species-dilution-info": "", "WB-species-notes": "", "ICCIF-species-checked": "predicted", "ICCIF-species-dilution-info": "", "ICCIF-species-notes": "", "FlowCytIntra-species-checked": "predicted", "FlowCytIntra-species-dilution-info": "", "FlowCytIntra-species-notes": "" }, "Rat": { "IHCP-species-checked": "predicted", "IHCP-species-dilution-info": "", "IHCP-species-notes": "", "IP-species-checked": "predicted", "IP-species-dilution-info": "", "IP-species-notes": "", "WB-species-checked": "predicted", "WB-species-dilution-info": "", "WB-species-notes": "", "ICCIF-species-checked": "predicted", "ICCIF-species-dilution-info": "", "ICCIF-species-notes": "", "FlowCytIntra-species-checked": "predicted", "FlowCytIntra-species-dilution-info": "", "FlowCytIntra-species-notes": "" }, "Cow": { "IHCP-species-checked": "predicted", "IHCP-species-dilution-info": "", "IHCP-species-notes": "", "IP-species-checked": "predicted", "IP-species-dilution-info": "", "IP-species-notes": "", "WB-species-checked": "predicted", "WB-species-dilution-info": "", "WB-species-notes": "", "ICCIF-species-checked": "predicted", "ICCIF-species-dilution-info": "", "ICCIF-species-notes": "", "FlowCytIntra-species-checked": "predicted", "FlowCytIntra-species-dilution-info": "", "FlowCytIntra-species-notes": "" } } }

Product details

ab219588 is the carrier-free version of ab32505.

Patented technology
Our RabMAb® technology is a patented hybridoma-based technology for making rabbit monoclonal antibodies. For details on our patents, please refer to RabMAb® patents.

What are the advantages of a recombinant monoclonal antibody?
This product is a recombinant monoclonal antibody, which offers several advantages including:

  • - High batch-to-batch consistency and reproducibility
  • - Improved sensitivity and specificity
  • - Long-term security of supply
  • - Animal-free batch production

For more information, read more on recombinant antibodies.

Conjugation ready
Our carrier-free antibodies are typically supplied in a PBS-only formulation, purified and free of BSA, sodium azide and glycerol. This conjugation-ready format is designed for use with fluorochromes, metal isotopes, oligonucleotides, and enzymes, which makes them ideal for antibody labelling, functional and cell-based assays, flow-based assays (e.g. mass cytometry) and Multiplex Imaging applications.

Use our conjugation kits for antibody conjugates that are ready-to-use in as little as 20 minutes with 1 minute hands-on-time and 100% antibody recovery: available for fluorescent dyes, HRP, biotin and gold.

Compatibility
This product is compatible with the Maxpar® Antibody Labeling Kit from Fluidigm, without the need for antibody preparation. Maxpar® is a trademark of Fluidigm Canada Inc.

Properties and storage information

Form
Liquid
Purification technique
Affinity purification Protein A
Storage buffer
pH: 7.2 - 7.4 Constituents: PBS
Shipped at conditions
Blue Ice
Appropriate short-term storage conditions
+4°C
Appropriate long-term storage conditions
+4°C
Storage information
Do Not Freeze

Supplementary information

This supplementary information is collated from multiple sources and compiled automatically.

The protein kinase AKT also known as protein kinase B (PKB) includes three isoforms: AKT1 AKT2 and AKT3. These play a central role in cellular processes. AKT1 has a molecular weight of approximately 56 kDa AKT2 has around 55 kDa and AKT3 similarly weighs about 54 kDa. These isoforms of AKT are expressed in various tissues but AKT1 is abundantly found in most tissues AKT2 is often present in insulin-responsive tissues like skeletal muscle and adipose tissue and AKT3 is mainly in the brain. The activation of AKT involves phosphorylation which increases their kinase activity significantly. The isoforms have unique and overlapping functions offering distinct mechanical roles in cellular signaling.
Biological function summary

The AKT kinase family plays a major role in regulating vital cellular functions including metabolism cell proliferation survival and growth. It does so by catalyzing phosphorylation of a range of substrates within these pathways. AKT is often involved in complexes with other proteins to achieve these biological effects. It impacts the regulation of glycogen synthase kinase 3 (GSK3) involved in insulin response and mTOR which controls cell growth. These wide-ranging functions make AKT proteins essential in maintaining cellular homeostasis.

Pathways

AKT proteins are important components of the PI3K/AKT/mTOR signaling pathway and the insulin signaling pathway. Within these pathways they interact with and modulate activities of related proteins such as PI3K PDK1 and mTOR. This regulation helps control the balance between anabolic and catabolic processes influencing cell survival growth and metabolism. The importance of AKT kinases in these pathways marks them as key regulators of cellular responses to external and internal stimuli.

AKT isoforms have strong connections to cancer and diabetes. Over-activation of AKT pathways frequently occurs in cancerous cells contributing to uncontrolled cell growth and survival. In diabetes AKT2 is particularly implicated due to its role in insulin signaling influencing how cells process glucose. Dysregulation of AKT pathways has been linked to the development and progression of these diseases where proteins like mTOR in cancer and IRS1 in diabetes show direct relation to AKT function and malfunctions.

Product protocols

For this product, it's our understanding that no specific protocols are required. You can visit:

Target data

AKT1 is one of 3 closely related serine/threonine-protein kinases (AKT1, AKT2 and AKT3) called the AKT kinase, and which regulate many processes including metabolism, proliferation, cell survival, growth and angiogenesis (PubMed : 11882383, PubMed : 15526160, PubMed : 15861136, PubMed : 21432781, PubMed : 21620960, PubMed : 31204173). This is mediated through serine and/or threonine phosphorylation of a range of downstream substrates (PubMed : 11882383, PubMed : 15526160, PubMed : 21432781, PubMed : 21620960, PubMed : 29343641, PubMed : 31204173). Over 100 substrate candidates have been reported so far, but for most of them, no isoform specificity has been reported (PubMed : 11882383, PubMed : 15526160, PubMed : 21432781, PubMed : 21620960). AKT is responsible of the regulation of glucose uptake by mediating insulin-induced translocation of the SLC2A4/GLUT4 glucose transporter to the cell surface (By similarity). Phosphorylation of PTPN1 at 'Ser-50' negatively modulates its phosphatase activity preventing dephosphorylation of the insulin receptor and the attenuation of insulin signaling (By similarity). Phosphorylation of TBC1D4 triggers the binding of this effector to inhibitory 14-3-3 proteins, which is required for insulin-stimulated glucose transport (PubMed : 11994271). AKT also regulates the storage of glucose in the form of glycogen by phosphorylating GSK3A at 'Ser-21' and GSK3B at 'Ser-9', resulting in inhibition of its kinase activity (By similarity). Phosphorylation of GSK3 isoforms by AKT is also thought to be one mechanism by which cell proliferation is driven (By similarity). AKT also regulates cell survival via the phosphorylation of MAP3K5 (apoptosis signal-related kinase) (PubMed : 11154276). Phosphorylation of 'Ser-83' decreases MAP3K5 kinase activity stimulated by oxidative stress and thereby prevents apoptosis (PubMed : 11154276). AKT mediates insulin-stimulated protein synthesis by phosphorylating TSC2 at 'Ser-939' and 'Thr-1462', thereby activating the mTORC1 signaling pathway, and leading to both phosphorylation of 4E-BP1 and in activation of RPS6KB1 (PubMed : 12150915, PubMed : 12172553). Also regulates the mTORC1 signaling pathway by catalyzing phosphorylation of CASTOR1 and DEPDC5 (PubMed : 31548394, PubMed : 33594058). AKT plays a role as key modulator of the AKT-mTOR signaling pathway controlling the tempo of the process of newborn neurons integration during adult neurogenesis, including correct neuron positioning, dendritic development and synapse formation (By similarity). Part of a positive feedback loop of mTORC2 signaling by mediating phosphorylation of MAPKAP1/SIN1, promoting mTORC2 activation (By similarity). AKT is involved in the phosphorylation of members of the FOXO factors (Forkhead family of transcription factors), leading to binding of 14-3-3 proteins and cytoplasmic localization (PubMed : 10358075). In particular, FOXO1 is phosphorylated at 'Thr-24', 'Ser-256' and 'Ser-319' (PubMed : 10358075). FOXO3 and FOXO4 are phosphorylated on equivalent sites (PubMed : 10358075). AKT has an important role in the regulation of NF-kappa-B-dependent gene transcription and positively regulates the activity of CREB1 (cyclic AMP (cAMP)-response element binding protein) (PubMed : 9829964). The phosphorylation of CREB1 induces the binding of accessory proteins that are necessary for the transcription of pro-survival genes such as BCL2 and MCL1 (PubMed : 9829964). AKT phosphorylates 'Ser-454' on ATP citrate lyase (ACLY), thereby potentially regulating ACLY activity and fatty acid synthesis (By similarity). Activates the 3B isoform of cyclic nucleotide phosphodiesterase (PDE3B) via phosphorylation of 'Ser-273', resulting in reduced cyclic AMP levels and inhibition of lipolysis (By similarity). Phosphorylates PIKFYVE on 'Ser-318', which results in increased PI(3)P-5 activity (By similarity). The Rho GTPase-activating protein DLC1 is another substrate and its phosphorylation is implicated in the regulation cell proliferation and cell growth (By similarity). Signals downstream of phosphatidylinositol 3-kinase (PI(3)K) to mediate the effects of various growth factors such as platelet-derived growth factor (PDGF), epidermal growth factor (EGF), insulin and insulin-like growth factor 1 (IGF1) (PubMed : 12176338, PubMed : 12964941). AKT mediates the antiapoptotic effects of IGF1 (By similarity). Essential for the SPATA13-mediated regulation of cell migration and adhesion assembly and disassembly (PubMed : 19934221). May be involved in the regulation of the placental development (By similarity). Phosphorylates STK4/MST1 at 'Thr-120' and 'Thr-387' leading to inhibition of its : kinase activity, nuclear translocation, autophosphorylation and ability to phosphorylate FOXO3 (PubMed : 17726016). Phosphorylates STK3/MST2 at 'Thr-117' and 'Thr-384' leading to inhibition of its : cleavage, kinase activity, autophosphorylation at Thr-180, binding to RASSF1 and nuclear translocation (PubMed : 20086174). Phosphorylates SRPK2 and enhances its kinase activity towards SRSF2 and ACIN1 and promotes its nuclear translocation (PubMed : 19592491). Phosphorylates RAF1 at 'Ser-259' and negatively regulates its activity (PubMed : 10576742). Phosphorylation of BAD stimulates its pro-apoptotic activity (PubMed : 10926925). Phosphorylates KAT6A at 'Thr-369' and this phosphorylation inhibits the interaction of KAT6A with PML and negatively regulates its acetylation activity towards p53/TP53 (PubMed : 23431171). Phosphorylates palladin (PALLD), modulating cytoskeletal organization and cell motility (PubMed : 20471940). Phosphorylates prohibitin (PHB), playing an important role in cell metabolism and proliferation (PubMed : 18507042). Phosphorylates CDKN1A, for which phosphorylation at 'Thr-145' induces its release from CDK2 and cytoplasmic relocalization (PubMed : 16982699). These recent findings indicate that the AKT1 isoform has a more specific role in cell motility and proliferation (PubMed : 16139227). Phosphorylates CLK2 thereby controlling cell survival to ionizing radiation (PubMed : 20682768). Phosphorylates PCK1 at 'Ser-90', reducing the binding affinity of PCK1 to oxaloacetate and changing PCK1 into an atypical protein kinase activity using GTP as donor (PubMed : 32322062). Also acts as an activator of TMEM175 potassium channel activity in response to growth factors : forms the lysoK(GF) complex together with TMEM175 and acts by promoting TMEM175 channel activation, independently of its protein kinase activity (PubMed : 32228865). Acts as a regulator of mitochondrial calcium uptake by mediating phosphorylation of MICU1 in the mitochondrial intermembrane space, impairing MICU1 maturation (PubMed : 30504268). Acts as an inhibitor of tRNA methylation by mediating phosphorylation of the N-terminus of METTL1, thereby inhibiting METTL1 methyltransferase activity (PubMed : 15861136). In response to LPAR1 receptor pathway activation, phosphorylates Rabin8/RAB3IP which alters its activity and phosphorylates WDR44 which induces WDR44 binding to Rab11, thereby switching Rab11 vesicular function from preciliary trafficking to endocytic recycling (PubMed : 31204173).
See full target information AKT1

Additional targets

RAC-beta serine/threonine-protein kinase,AKT3

Publications (27)

Recent publications for all applications. Explore the full list and refine your search

Biotechnology and applied biochemistry 67:1000-1010 PubMed31845407

2020

Icariin alleviates hypoxia-induced damage in MC3T3-E1 cells by downregulating TALNEC2.

Applications

Unspecified application

Species

Unspecified reactive species

Weiguo Wang,Jian Xin,Wenming Chen,Lizhong Jing,Peng Zhang

PloS one 11:e0161163 PubMed27512993

2016

Keratin 17 Is Induced in Oral Cancer and Facilitates Tumor Growth.

Applications

Unspecified application

Species

Unspecified reactive species

Rumana Khanom,Chi Thi Kim Nguyen,Kou Kayamori,Xin Zhao,Keiichi Morita,Yoshio Miki,Ken-Ichi Katsube,Akira Yamaguchi,Kei Sakamoto

PloS one 11:e0159568 PubMed27454120

2016

Pdcd4 Is Involved in the Formation of Stress Granule in Response to Oxidized Low-Density Lipoprotein or High-Fat Diet.

Applications

WB

Species

Mouse

Yang Bai,Zhaojing Dong,Qianwen Shang,Hui Zhao,Liyang Wang,Chun Guo,Fei Gao,Lining Zhang,Qun Wang

European journal of medicinal chemistry 122:684-701 PubMed27448924

2016

Structure-based optimization leads to the discovery of NSC765844, a highly potent, less toxic and orally efficacious dual PI3K/mTOR inhibitor.

Applications

WB

Species

Human

Jinsong Han,Ying Chen,Chao Yang,Ting Liu,Mingping Wang,Haojie Xu,Ling Zhang,Canhui Zheng,Yunlong Song,Ju Zhu

Oncology letters 12:1139-1143 PubMed27446408

2016

PREX2 promotes the proliferation, invasion and migration of pancreatic cancer cells by modulating the PI3K signaling pathway.

Applications

WB

Species

Human

Jianyi Yang,Xuejun Gong,Lu Ouyang,Wen He,Rou Xiao,Li Tan

Scientific reports 6:23817 PubMed27026509

2016

Pramipexole-Induced Hypothermia Reduces Early Brain Injury via PI3K/AKT/GSK3β pathway in Subarachnoid Hemorrhage rats.

Applications

WB

Species

Rat

Junwei Ma,Zhong Wang,Chenglin Liu,Haitao Shen,Zhouqing Chen,Jia Yin,Gang Zuo,Xiaochun Duan,Haiying Li,Gang Chen

Experimental and therapeutic medicine 11:2503-2508 PubMed27284339

2016

MicroRNA-153 inhibits the proliferation and invasion of human laryngeal squamous cell carcinoma by targeting KLF5.

Applications

WB

Species

Human

Jian-Yong Liu,Jian-Bin Lu,Yue Xu

Biochemical and biophysical research communication 474:1-7 PubMed26993162

2016

FGFR antagonist induces protective autophagy in FGFR1-amplified breast cancer cell.

Applications

WB

Species

Human

Yi Chen,Xiaoyan Xie,Xinyi Li,Peiqi Wang,Qian Jing,Jiaqi Yue,Yang Liu,Zhong Cheng,Jingyi Li,Haixing Song,Guoyu Li,Rui Liu,Jinhui Wang

Biology of sex differences 7:16 PubMed26949510

2016

Sex-specific IL-6-associated signaling activation in ozone-induced lung inflammation.

Applications

Unspecified application

Species

Mouse

Vikas Mishra,Susan L DiAngelo,Patricia Silveyra

Scientific reports 6:21914 PubMed26902855

2016

Therapeutic efficacy of apelin on transplanted mesenchymal stem cells in hindlimb ischemic mice via regulation of autophagy.

Applications

WB

Species

Mouse

Dong Liang,Dong Han,Weiwei Fan,Ran Zhang,Hongyu Qiao,Miaomiao Fan,Tao Su,Sai Ma,Xiujuan Li,Jiangwei Chen,Yabin Wang,Jun Ren,Feng Cao
View all publications

Product promise

We are committed to supporting your work with high-quality reagents, and we're here for you every step of the way. In the unlikely event that one of our products does not perform as expected, you're protected by our Product Promise.
For full details, please see our Terms & Conditions

Please note: All products are 'FOR RESEARCH USE ONLY. NOT FOR USE IN DIAGNOSTIC OR THERAPEUTIC PROCEDURES'.

For licensing inquiries, please contact partnerships@abcam.com