JavaScript is disabled in your browser. Please enable JavaScript to view this website.
AB70114

Anti-AL-1 antibody

3

(6 Reviews)

|

(9 Publications)

Rabbit Polyclonal AL-1 antibody. Suitable for WB, IHC-P, ICC/IF and reacts with Human samples. Cited in 9 publications. Immunogen corresponding to Synthetic Peptide within Human EFNA5.

View Alternative Names

EPLG7, LERK7, EFNA5, Ephrin-A5, AL-1, EPH-related receptor tyrosine kinase ligand 7, LERK-7

3 Images
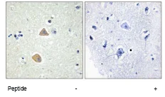
Immunohistochemistry (Formalin/PFA-fixed paraffin-embedded sections) - Anti-AL-1 antibody (AB70114)
  • IHC-P

Unknown

Immunohistochemistry (Formalin/PFA-fixed paraffin-embedded sections) - Anti-AL-1 antibody (AB70114)

ab70114 at 1/50 dilution staining AL-1 in human brain by Immunohistochemistry, Paraffin-embedded tissue, in the absence or presence of the immunising peptide

Immunocytochemistry/ Immunofluorescence - Anti-AL-1 antibody (AB70114)
  • ICC/IF

Unknown

Immunocytochemistry/ Immunofluorescence - Anti-AL-1 antibody (AB70114)

ab70114 at 1/500 dilution staining AL-1 in A549 cells by Immunofluorescence, in the absence or presence of the immunising peptide.

Western blot - Anti-AL-1 antibody (AB70114)
  • WB

Unknown

Western blot - Anti-AL-1 antibody (AB70114)

All lanes:

Western blot - Anti-AL-1 antibody (ab70114) at 1/500 dilution

Lane 1:

HeLa cell extracts at 30 µg

Lane 2:

HeLa cell extracts at 30 µg with immunising peptide

Predicted band size: 26 kDa

Observed band size: 24 kDa

false

Key facts

Host species

Rabbit

Clonality

Polyclonal

Isotype

IgG

Carrier free

No

Reacts with

Human

Applications

ICC/IF, WB, IHC-P

applications

Immunogen

Synthetic Peptide within Human EFNA5. The exact immunogen used to generate this antibody is proprietary information.

P52803

Reactivity data

{ "title": "Reactivity Data", "filters": { "stats": ["", "Species", "Dilution Info", "Notes"], "tabs": { "all-applications": {"fullname" : "All Applications", "shortname": "All Applications"}, "WB" : {"fullname" : "Western blot", "shortname":"WB"}, "IHCP" : {"fullname" : "Immunohistochemistry (Formalin/PFA-fixed paraffin-embedded sections)", "shortname":"IHC-P"}, "ICCIF" : {"fullname" : "Immunocytochemistry/ Immunofluorescence", "shortname":"ICC/IF"} }, "product-promise": { "all": "all", "testedAndGuaranteed": "tested", "guaranteed": "expected", "predicted": "predicted", "notRecommended": "not-recommended" } }, "values": { "Human": { "WB-species-checked": "testedAndGuaranteed", "WB-species-dilution-info": "1/500 - 1/1000", "WB-species-notes": "<p></p>", "IHCP-species-checked": "testedAndGuaranteed", "IHCP-species-dilution-info": "1/50 - 1/100", "IHCP-species-notes": "<p></p>", "ICCIF-species-checked": "testedAndGuaranteed", "ICCIF-species-dilution-info": "1/500 - 1/1000", "ICCIF-species-notes": "<p></p>" }, "Mouse": { "WB-species-checked": "predicted", "WB-species-dilution-info": "", "WB-species-notes": "", "IHCP-species-checked": "predicted", "IHCP-species-dilution-info": "", "IHCP-species-notes": "", "ICCIF-species-checked": "predicted", "ICCIF-species-dilution-info": "", "ICCIF-species-notes": "" }, "Rat": { "WB-species-checked": "predicted", "WB-species-dilution-info": "", "WB-species-notes": "", "IHCP-species-checked": "predicted", "IHCP-species-dilution-info": "", "IHCP-species-notes": "", "ICCIF-species-checked": "predicted", "ICCIF-species-dilution-info": "", "ICCIF-species-notes": "" } } }

Properties and storage information

Form
Liquid
Purification technique
Affinity purification Immunogen
Purification notes
ab70114 was affinity-purified from rabbit antiserum by affinity-chromatography using epitope-specific immunogen.
Storage buffer
pH: 7.4 Preservative: 0.02% Sodium azide Constituents: PBS, 50% Glycerol (glycerin, glycerine), 0.87% Sodium chloride
Shipped at conditions
Blue Ice
Appropriate short-term storage conditions
+4°C
Appropriate long-term storage conditions
-20°C
Storage information
Stable for 12 months at -20°C

Supplementary information

This supplementary information is collated from multiple sources and compiled automatically.

AL-1 also known as Anxa1 is a protein that plays a role in immune response and inflammation. It weighs approximately 38 kDa and can be found inside various tissues especially in immune cells like neutrophils and macrophages. Researchers often use animal models particularly in mouse studies to examine AL-1 functions due to its significance in biological processes.
Biological function summary

The protein acts as a modulator in both innate and adaptive immune systems helping in the resolution of inflammation. AL-1 may function as part of a complex in these processes interacting with receptors on the cell surface. This protein regulates actions including cell migration and apoptotic cell clearance directly impacting how the body responds to infection and inflammation.

Pathways

AL-1 influences key immunological processes via the phospholipase A2-inhibitory pathway. It can interact with proteins like S100A11 playing an important role in feedback mechanisms that control inflammation levels. AL-1 also interfaces with the annexin pathway which is important for modulating cell membrane interactions during immune responses.

AL-1 is linked with inflammatory diseases such as rheumatoid arthritis and systemic lupus erythematosus. In these conditions researchers found that altered AL-1 expression affects the inflammation resolution process. Connections have been made to related proteins like integrins which can modulate AL-1 activity in immune responses highlighting its potential as a therapeutic target for managing chronic inflammation.

Product protocols

For this product, it's our understanding that no specific protocols are required. You can visit:

Target data

Cell surface GPI-bound ligand for Eph receptors, a family of receptor tyrosine kinases which are crucial for migration, repulsion and adhesion during neuronal, vascular and epithelial development. Binds promiscuously Eph receptors residing on adjacent cells, leading to contact-dependent bidirectional signaling into neighboring cells. The signaling pathway downstream of the receptor is referred to as forward signaling while the signaling pathway downstream of the ephrin ligand is referred to as reverse signaling. Induces compartmentalized signaling within a caveolae-like membrane microdomain when bound to the extracellular domain of its cognate receptor. This signaling event requires the activity of the Fyn tyrosine kinase. Activates the EPHA3 receptor to regulate cell-cell adhesion and cytoskeletal organization. With the receptor EPHA2 may regulate lens fiber cells shape and interactions and be important for lens transparency maintenance. May function actively to stimulate axon fasciculation. The interaction of EFNA5 with EPHA5 also mediates communication between pancreatic islet cells to regulate glucose-stimulated insulin secretion. Cognate/functional ligand for EPHA7, their interaction regulates brain development modulating cell-cell adhesion and repulsion.
See full target information EFNA5

Publications (9)

Recent publications for all applications. Explore the full list and refine your search

Skeletal muscle 15:14 PubMed40426233

2025

Ephrin-A5 or EphA7 stimulation is anti-proliferative for human rhabdomyosarcoma in vitro.

Applications

Unspecified application

Species

Unspecified reactive species

Alessandra Cecchini,Lorenzo Ceccon,Steven Calandro,Anna Chen,Jenna K Schwesig,Ddw Cornelison

Cerebral cortex (New York, N.Y. : 1991) 30:4689-4707 PubMed32249896

2020

Developmental Regulation of Basket Interneuron Synapses and Behavior through NCAM in Mouse Prefrontal Cortex.

Applications

Unspecified application

Species

Unspecified reactive species

Chelsea S Sullivan,Vishwa Mohan,Paul B Manis,Sheryl S Moy,Young Truong,Bryce W Duncan,Patricia F Maness

Translational research : the journal of laboratory and clinical medicine 192:1-14 PubMed29144959

2017

Induction of innervation by encapsulated adipocytes with engineered vitamin A metabolism.

Applications

WB

Species

Unspecified reactive species

Qiwen Shen,Rumana Yasmeen,Jessica Marbourg,Lu Xu,Lianbo Yu,Paolo Fadda,Alan Flechtner,L James Lee,Phillip G Popovich,Ouliana Ziouzenkova

Scientific reports 7:42895 PubMed28276447

2017

Ascl1 promotes tangential migration and confines migratory routes by induction of Ephb2 in the telencephalon.

Applications

Unspecified application

Species

Unspecified reactive species

Yuan-Hsuan Liu,Jin-Wu Tsai,Jia-Long Chen,Wan-Shan Yang,Pei-Ching Chang,Pei-Lin Cheng,David L Turner,Yuchio Yanagawa,Tsu-Wei Wang,Jenn-Yah Yu

Investigative ophthalmology & visual science 55:1594-606 PubMed24550361

2014

Formation of persistent hyperplastic primary vitreous in ephrin-A5-/- mice.

Applications

Unspecified application

Species

Unspecified reactive species

Alexander I Son,Michal Sheleg,Margaret A Cooper,Yuhai Sun,Norman J Kleiman,Renping Zhou

Cerebral cortex (New York, N.Y. : 1991) 23:162-77 PubMed22275477

2012

Polysialylated NCAM and ephrinA/EphA regulate synaptic development of GABAergic interneurons in prefrontal cortex.

Applications

Unspecified application

Species

Mouse

Leann H Brennaman,Xuying Zhang,Hanjun Guan,Jason W Triplett,Arthur Brown,Galina P Demyanenko,Paul B Manis,Lynn Landmesser,Patricia F Maness

Development (Cambridge, England) 138:5279-89 PubMed22071104

2011

Eph/ephrin interactions modulate muscle satellite cell motility and patterning.

Applications

IHC (PFA fixed), Flow Cyt

Species

Mouse, Mouse

Danny A Stark,Rowan M Karvas,Ashley L Siegel,D D W Cornelison

Proceedings of the National Academy of Sciences of 108:9981-6 PubMed21628570

2011

Pathway-specific engagement of ephrinA5-EphA4/EphA5 system of the substantia nigra pars reticulata in cocaine-induced responses.

Applications

IHC-Fr

Species

Mouse

Kensuke Kimura,Takatoshi Hikida,Satoshi Yawata,Takashi Yamaguchi,Shigetada Nakanishi

The Journal of neuroscience : the official journal of the Society for Neuroscience 30:4246-55 PubMed20335460

2010

Astrocyte-produced ephrins inhibit schwann cell migration via VAV2 signaling.

Applications

ICC/IF, WB

Species

Rat, Rat

Fardad T Afshari,Jessica C Kwok,James W Fawcett
View all publications

Product promise

We are committed to supporting your work with high-quality reagents, and we're here for you every step of the way. In the unlikely event that one of our products does not perform as expected, you're protected by our Product Promise.
For full details, please see our Terms & Conditions

Please note: All products are 'FOR RESEARCH USE ONLY. NOT FOR USE IN DIAGNOSTIC OR THERAPEUTIC PROCEDURES'.

For licensing inquiries, please contact partnerships@abcam.com