JavaScript is disabled in your browser. Please enable JavaScript to view this website.
AB151754

Anti-ALAD antibody [EPR10268(B)]

Be the first to review this product! Submit a review

|

(4 Publications)

Rabbit Recombinant Monoclonal ALAD antibody. Suitable for IHC-P, WB and reacts with Human samples. Cited in 4 publications.

View Alternative Names

Delta-aminolevulinic acid dehydratase, ALADH, Porphobilinogen synthase, ALAD

2 Images
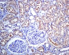
Immunohistochemistry (Formalin/PFA-fixed paraffin-embedded sections) - Anti-ALAD antibody [EPR10268(B)] (AB151754)
  • IHC-P

Unknown

Immunohistochemistry (Formalin/PFA-fixed paraffin-embedded sections) - Anti-ALAD antibody [EPR10268(B)] (AB151754)

Immunohistochemical analysis of paraffin embedded Human kidney tissue labelling ALAD with ab151754 at a 1/50 dilution.

Perform heat mediated antigen retrieval with citrate buffer pH 6 before commencing with IHC staining protocol.

Western blot - Anti-ALAD antibody [EPR10268(B)] (AB151754)
  • WB

Unknown

Western blot - Anti-ALAD antibody [EPR10268(B)] (AB151754)

All lanes:

Western blot - Anti-ALAD antibody [EPR10268(B)] (ab151754) at 1/1000 dilution

Lane 1:

Red blood cell lysate at 10 µg

Lane 2:

Fetal liver lysate at 10 µg

Secondary

All lanes:

HRP labelled goat anti-rabbit at 1/2000 dilution

Predicted band size: 36 kDa

false

Key facts

Host species

Rabbit

Clonality

Monoclonal

Clone number

EPR10268(B)

Isotype

IgG

Carrier free

No

Reacts with

Human

Applications

WB, IHC-P

applications

Immunogen

The exact immunogen used to generate this antibody is proprietary information.

Reactivity data

{ "title": "Reactivity Data", "filters": { "stats": ["", "Species", "Dilution Info", "Notes"], "tabs": { "all-applications": {"fullname" : "All Applications", "shortname": "All Applications"}, "IHCP" : {"fullname" : "Immunohistochemistry (Formalin/PFA-fixed paraffin-embedded sections)", "shortname":"IHC-P"}, "ICCIF" : {"fullname" : "Immunocytochemistry/ Immunofluorescence", "shortname":"ICC/IF"}, "IP" : {"fullname" : "Immunoprecipitation", "shortname":"IP"}, "WB" : {"fullname" : "Western blot", "shortname":"WB"} }, "product-promise": { "all": "all", "testedAndGuaranteed": "tested", "guaranteed": "expected", "predicted": "predicted", "notRecommended": "not-recommended" } }, "values": { "Human": { "IHCP-species-checked": "testedAndGuaranteed", "IHCP-species-dilution-info": "1/50 - 1/1000", "IHCP-species-notes": "<p></p>", "ICCIF-species-checked": "notRecommended", "ICCIF-species-dilution-info": "", "ICCIF-species-notes": "<p></p>", "IP-species-checked": "notRecommended", "IP-species-dilution-info": "", "IP-species-notes": "<p></p>", "WB-species-checked": "testedAndGuaranteed", "WB-species-dilution-info": "1/1000 - 1/10000", "WB-species-notes": "<p></p>" } } }

Product details

Species reactivity
Mouse, Rat: We have preliminary internal testing data to indicate this antibody may not react with these species.
Please contact us for more information.

Patented technology
Our RabMAb® technology is a patented hybridoma-based technology for making rabbit monoclonal antibodies. For details on our patents, please refer to RabMAb® patents.

What are the advantages of a recombinant monoclonal antibody?
This product is a recombinant monoclonal antibody, which offers several advantages including:

  • - High batch-to-batch consistency and reproducibility
  • - Improved sensitivity and specificity
  • - Long-term security of supply
  • - Animal-free batch production

For more information, read more on recombinant antibodies.

Properties and storage information

Form
Liquid
Purification technique
Affinity purification Protein A
Storage buffer
pH: 7.2 - 7.4 Preservative: 0.01% Sodium azide Constituents: PBS, 50% Tissue culture supernatant, 40% Glycerol (glycerin, glycerine), 0.05% BSA
Shipped at conditions
Blue Ice
Appropriate short-term storage conditions
+4°C
Appropriate long-term storage conditions
-20°C
Storage information
Stable for 12 months at -20°C

Supplementary information

This supplementary information is collated from multiple sources and compiled automatically.

The ALAD also known as Aminolevulinate Dehydratase is an essential enzyme involved in the biosynthesis of heme facilitating the condensation of two molecules of aminolevulinic acid to form porphobilinogen. The enzyme has a molecular mass of approximately 36 kDa. It is ubiquitously expressed across various tissues with notable activity in the liver and erythroid precursor cells within the bone marrow where heme biosynthesis is essential for the production of hemoglobin.
Biological function summary

The enzyme plays an important role in the early steps of the heme biosynthetic pathway. ALAD forms part of a multi-step process critical for heme production which is an important component of hemoglobin myoglobin and various cytochromes. The enzyme operates as a metalloenzyme requiring zinc for its activity and is subject to regulation by metal ion availability and substrate concentrations. Alterations in its activity can have significant impacts on cellular iron utilization and red blood cell function.

Pathways

ALAD plays a critical role within the heme biosynthesis pathway linking amino acid metabolism to porphyrin and heme production. It connects tightly with other enzymes involved in this pathway such as porphobilinogen deaminase. ALAD's function ensures the steady supply of intermediates necessary for synthesizing heme which serves further purposes in electron transport and oxygen transport systems within cells.

The improper function of ALAD associates with conditions such as lead poisoning and acute intermittent porphyria. In lead poisoning lead ions inhibit ALAD activity resulting in the accumulation of its substrate aminolevulinic acid and subsequent disturbances in heme production. In acute intermittent porphyria mutations in ALAD or interacting proteins like porphobilinogen deaminase can influence enzyme efficiency and increase the risk of metabolic crises. Understanding ALAD's role offers potential therapeutic insights for managing these disorders.

Product protocols

For this product, it's our understanding that no specific protocols are required. You can visit:

Target data

Catalyzes an early step in the biosynthesis of tetrapyrroles. Binds two molecules of 5-aminolevulinate per subunit, each at a distinct site, and catalyzes their condensation to form porphobilinogen.
See full target information ALAD

Publications (4)

Recent publications for all applications. Explore the full list and refine your search

NPJ Regenerative medicine 7:55 PubMed36151109

2022

ZO-2/Tjp2 suppresses Yap and Wwtr1/Taz-mediated hepatocyte to cholangiocyte transdifferentiation in the mouse liver.

Applications

Unspecified application

Species

Unspecified reactive species

Jianliang Xu,P Jaya Kausalya,Alicia Ghia Min Ong,Christine Meng Fan Goh,Safiah Mohamed Ali,Walter Hunziker

Frontiers in cell and developmental biology 10:806408 PubMed35813194

2022

Significance of Liver Zonation in Hepatocellular Carcinoma.

Applications

Unspecified application

Species

Unspecified reactive species

Shizhe Yu,Jie Gao,Haoren Wang,Long Liu,Xudong Liu,Yuantong Xu,Jihua Shi,Wenzhi Guo,Shuijun Zhang

Haematologica 104:1756-1767 PubMed30765471

2019

Dimeric ferrochelatase bridges ABCB7 and ABCB10 homodimers in an architecturally defined molecular complex required for heme biosynthesis.

Applications

Unspecified application

Species

Unspecified reactive species

Nunziata Maio,Ki Soon Kim,Gregory Holmes-Hampton,Anamika Singh,Tracey A Rouault

Cell metabolism 28:573-587.e13 PubMed30017355

2018

Serine Synthesis via PHGDH Is Essential for Heme Production in Endothelial Cells.

Applications

Unspecified application

Species

Unspecified reactive species

Saar Vandekeere,Charlotte Dubois,Joanna Kalucka,Mark R Sullivan,Melissa García-Caballero,Jermaine Goveia,Rongyuan Chen,Frances F Diehl,Libat Bar-Lev,Joris Souffreau,Andreas Pircher,Saran Kumar,Stefan Vinckier,Yoshio Hirabayashi,Shigeki Furuya,Luc Schoonjans,Guy Eelen,Bart Ghesquière,Eli Keshet,Xuri Li,Matthew G Vander Heiden,Mieke Dewerchin,Peter Carmeliet
View all publications

Product promise

We are committed to supporting your work with high-quality reagents, and we're here for you every step of the way. In the unlikely event that one of our products does not perform as expected, you're protected by our Product Promise.
For full details, please see our Terms & Conditions

Please note: All products are 'FOR RESEARCH USE ONLY. NOT FOR USE IN DIAGNOSTIC OR THERAPEUTIC PROCEDURES'.

For licensing inquiries, please contact partnerships@abcam.com