JavaScript is disabled in your browser. Please enable JavaScript to view this website.
AB249066

Anti-ALAD antibody [EPR10268(B)] - BSA and Azide free

Be the first to review this product! Submit a review

|

(0 Publication)

Rabbit Recombinant Monoclonal ALAD antibody. Carrier free. Suitable for IHC-P, WB and reacts with Human samples.

View Alternative Names

Delta-aminolevulinic acid dehydratase, ALADH, Porphobilinogen synthase, ALAD

2 Images
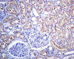
Immunohistochemistry (Formalin/PFA-fixed paraffin-embedded sections) - Anti-ALAD antibody [EPR10268(B)] - BSA and Azide free (AB249066)
  • IHC-P

Unknown

Immunohistochemistry (Formalin/PFA-fixed paraffin-embedded sections) - Anti-ALAD antibody [EPR10268(B)] - BSA and Azide free (AB249066)

This data was developed using ab151754, the same antibody clone in a different buffer formulation.

Immunohistochemical analysis of paraffin embedded Human kidney tissue labelling ALAD with ab151754 at a 1/50 dilution.

Perform heat mediated antigen retrieval with citrate buffer pH 6 before commencing with IHC staining protocol.

Western blot - Anti-ALAD antibody [EPR10268(B)] - BSA and Azide free (AB249066)
  • WB

Unknown

Western blot - Anti-ALAD antibody [EPR10268(B)] - BSA and Azide free (AB249066)

This data was developed using ab151754, the same antibody clone in a different buffer formulation.

All lanes:

Western blot - Anti-ALAD antibody [EPR10268(B)] (<a href='/en-us/products/primary-antibodies/alad-antibody-epr10268b-ab151754'>ab151754</a>) at 1/1000 dilution

Lane 1:

Red blood cell lysate at 10 µg

Lane 2:

Fetal liver lysate at 10 µg

Secondary

All lanes:

HRP labelled goat anti-rabbit at 1/2000 dilution

Predicted band size: 36 kDa

false

Key facts

Host species

Rabbit

Clonality

Monoclonal

Clone number

EPR10268(B)

Isotype

IgG

Carrier free

Yes

Reacts with

Human

Applications

IHC-P, WB

applications

Immunogen

The exact immunogen used to generate this antibody is proprietary information.

Reactivity data

{ "title": "Reactivity Data", "filters": { "stats": ["", "Species", "Dilution Info", "Notes"], "tabs": { "all-applications": {"fullname" : "All Applications", "shortname": "All Applications"}, "IHCP" : {"fullname" : "Immunohistochemistry (Formalin/PFA-fixed paraffin-embedded sections)", "shortname":"IHC-P"}, "ICCIF" : {"fullname" : "Immunocytochemistry/ Immunofluorescence", "shortname":"ICC/IF"}, "IP" : {"fullname" : "Immunoprecipitation", "shortname":"IP"}, "WB" : {"fullname" : "Western blot", "shortname":"WB"} }, "product-promise": { "all": "all", "testedAndGuaranteed": "tested", "guaranteed": "expected", "predicted": "predicted", "notRecommended": "not-recommended" } }, "values": { "Human": { "IHCP-species-checked": "testedAndGuaranteed", "IHCP-species-dilution-info": "", "IHCP-species-notes": "<p></p> Perform heat-mediated antigen retrieval with citrate buffer pH 6 before commencing with IHC staining protocol.", "ICCIF-species-checked": "notRecommended", "ICCIF-species-dilution-info": "", "ICCIF-species-notes": "<p></p>", "IP-species-checked": "notRecommended", "IP-species-dilution-info": "", "IP-species-notes": "<p></p>", "WB-species-checked": "testedAndGuaranteed", "WB-species-dilution-info": "", "WB-species-notes": "<p></p>" } } }

Product details

ab249066 is the carrier-free version of ab151754.

Patented technology
Our RabMAb® technology is a patented hybridoma-based technology for making rabbit monoclonal antibodies. For details on our patents, please refer to RabMAb® patents.

What are the advantages of a recombinant monoclonal antibody?
This product is a recombinant monoclonal antibody, which offers several advantages including:

  • - High batch-to-batch consistency and reproducibility
  • - Improved sensitivity and specificity
  • - Long-term security of supply
  • - Animal-free batch production

For more information, read more on recombinant antibodies.

Conjugation ready
Our carrier-free antibodies are typically supplied in a PBS-only formulation, purified and free of BSA, sodium azide and glycerol. This conjugation-ready format is designed for use with fluorochromes, metal isotopes, oligonucleotides, and enzymes, which makes them ideal for antibody labelling, functional and cell-based assays, flow-based assays (e.g. mass cytometry) and Multiplex Imaging applications.

Use our conjugation kits for antibody conjugates that are ready-to-use in as little as 20 minutes with 1 minute hands-on-time and 100% antibody recovery: available for fluorescent dyes, HRP, biotin and gold.

Compatibility
This product is compatible with the Maxpar® Antibody Labeling Kit from Fluidigm, without the need for antibody preparation. Maxpar® is a trademark of Fluidigm Canada Inc.

Properties and storage information

Form
Liquid
Purification technique
Affinity purification Protein A
Storage buffer
pH: 7.2 - 7.4 Constituents: PBS
Shipped at conditions
Blue Ice
Appropriate short-term storage conditions
+4°C
Appropriate long-term storage conditions
+4°C
Storage information
Do Not Freeze

Supplementary information

This supplementary information is collated from multiple sources and compiled automatically.

The ALAD also known as Aminolevulinate Dehydratase is an essential enzyme involved in the biosynthesis of heme facilitating the condensation of two molecules of aminolevulinic acid to form porphobilinogen. The enzyme has a molecular mass of approximately 36 kDa. It is ubiquitously expressed across various tissues with notable activity in the liver and erythroid precursor cells within the bone marrow where heme biosynthesis is essential for the production of hemoglobin.
Biological function summary

The enzyme plays an important role in the early steps of the heme biosynthetic pathway. ALAD forms part of a multi-step process critical for heme production which is an important component of hemoglobin myoglobin and various cytochromes. The enzyme operates as a metalloenzyme requiring zinc for its activity and is subject to regulation by metal ion availability and substrate concentrations. Alterations in its activity can have significant impacts on cellular iron utilization and red blood cell function.

Pathways

ALAD plays a critical role within the heme biosynthesis pathway linking amino acid metabolism to porphyrin and heme production. It connects tightly with other enzymes involved in this pathway such as porphobilinogen deaminase. ALAD's function ensures the steady supply of intermediates necessary for synthesizing heme which serves further purposes in electron transport and oxygen transport systems within cells.

The improper function of ALAD associates with conditions such as lead poisoning and acute intermittent porphyria. In lead poisoning lead ions inhibit ALAD activity resulting in the accumulation of its substrate aminolevulinic acid and subsequent disturbances in heme production. In acute intermittent porphyria mutations in ALAD or interacting proteins like porphobilinogen deaminase can influence enzyme efficiency and increase the risk of metabolic crises. Understanding ALAD's role offers potential therapeutic insights for managing these disorders.

Product protocols

For this product, it's our understanding that no specific protocols are required. You can visit:

Target data

Catalyzes an early step in the biosynthesis of tetrapyrroles. Binds two molecules of 5-aminolevulinate per subunit, each at a distinct site, and catalyzes their condensation to form porphobilinogen.
See full target information ALAD

Product promise

We are committed to supporting your work with high-quality reagents, and we're here for you every step of the way. In the unlikely event that one of our products does not perform as expected, you're protected by our Product Promise.
For full details, please see our Terms & Conditions

Please note: All products are 'FOR RESEARCH USE ONLY. NOT FOR USE IN DIAGNOSTIC OR THERAPEUTIC PROCEDURES'.

For licensing inquiries, please contact partnerships@abcam.com