JavaScript is disabled in your browser. Please enable JavaScript to view this website.
AB236658

Anti-Alanine Transaminase antibody

Be the first to review this product! Submit a review

|

(2 Publications)

Rabbit Polyclonal Alanine Transaminase antibody. Suitable for IP, WB, IHC-P, ICC/IF and reacts with Mouse, Rat, Human samples. Cited in 2 publications. Immunogen corresponding to Recombinant Full Length Protein corresponding to Human GPT.

View Alternative Names

AAT1, GPT1, GPT, Alanine aminotransferase 1, ALT1, Glutamate pyruvate transaminase 1, Glutamic--alanine transaminase 1, Glutamic--pyruvic transaminase 1, GPT 1

6 Images
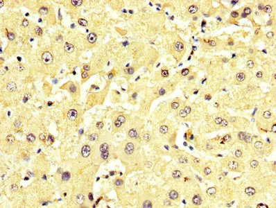
Immunohistochemistry (Formalin/PFA-fixed paraffin-embedded sections) - Anti-Alanine Transaminase antibody (AB236658)
  • IHC-P

Supplier Data

Immunohistochemistry (Formalin/PFA-fixed paraffin-embedded sections) - Anti-Alanine Transaminase antibody (AB236658)

Paraffin-embedded human liver tissue stained for Alanine Transaminase using ab236658 at 1/350 dilution in immunohistochemical analysis.

After dewaxing and hydration, antigen retrieval was mediated by high pressure in a citrate buffer (pH 6.0). Section was blocked with 10% normal goat serum 30min at RT. Then primary antibody (1% BSA) was incubated at 4°C overnight. The primary is detected by a biotinylated secondary antibody and visualized tissue using an HRP conjugated SP system.

Immunocytochemistry/ Immunofluorescence - Anti-Alanine Transaminase antibody (AB236658)
  • ICC/IF

Supplier Data

Immunocytochemistry/ Immunofluorescence - Anti-Alanine Transaminase antibody (AB236658)

HepG2 (human liver hepatocellular carcinoma cell line) cells labeling Alanine Transaminase (green) using ab236658 at 1/100 dilution in ICC/IF, followed by Alexa Fluor 488® conjugated Goat Anti-Rabbit IgG (H+L).

Immunohistochemistry (Formalin/PFA-fixed paraffin-embedded sections) - Anti-Alanine Transaminase antibody (AB236658)
  • IHC-P

Supplier Data

Immunohistochemistry (Formalin/PFA-fixed paraffin-embedded sections) - Anti-Alanine Transaminase antibody (AB236658)

Paraffin-embedded human kidney tissue stained for Alanine Transaminase using ab236658 at 1/100 dilution in immunohistochemical analysis.

Immunoprecipitation - Anti-Alanine Transaminase antibody (AB236658)
  • IP

Supplier Data

Immunoprecipitation - Anti-Alanine Transaminase antibody (AB236658)

Alanine Transaminase was immunoprecipitated from 500 μg of mouse liver tissue lysate using ab236658 at 1/200 dilution. For western blotting, a HRP-conjugated Protein G antibody was used as the secondary antibody at 1/2000 dilution.

Lane 1 : Rabbit control IgG instead of ab236658 in mouse liver lysate.
Lane 2 : ab236658 IP in mouse liver lysate.
Lane 3 : Mouse liver tissue lysate (input).

All lanes:

Immunoprecipitation - Anti-Alanine Transaminase antibody (ab236658)

Predicted band size: 55 kDa

false

Western blot - Anti-Alanine Transaminase antibody (AB236658)
  • WB

Supplier Data

Western blot - Anti-Alanine Transaminase antibody (AB236658)

All lanes:

Western blot - Anti-Alanine Transaminase antibody (ab236658) at 1/500 dilution

Lane 1:

Rat heart tissue lysate

Lane 2:

Rat liver tissue lysate

Secondary

All lanes:

Goat polyclonal to Rabbit IgG at 1/10000 dilution

Predicted band size: 55 kDa

false

Western blot - Anti-Alanine Transaminase antibody (AB236658)
  • WB

Supplier Data

Western blot - Anti-Alanine Transaminase antibody (AB236658)

All lanes:

Western blot - Anti-Alanine Transaminase antibody (ab236658) at 1/500 dilution

Lane 1:

HepG2 (human liver hepatocellular carcinoma cell line) whole cell lysate

Lane 2:

Rat liver tissue lysate

Lane 3:

Mouse liver tissue lysate

Secondary

All lanes:

Goat polyclonal to rabbit IgG at 1/50000 dilution

Predicted band size: 55 kDa

false

Key facts

Host species

Rabbit

Clonality

Polyclonal

Isotype

IgG

Carrier free

No

Reacts with

Mouse, Rat, Human

Applications

ICC/IF, WB, IP, IHC-P

applications

Immunogen

Recombinant Full Length Protein corresponding to Human GPT.

P24298

Reactivity data

{ "title": "Reactivity Data", "filters": { "stats": ["", "Species", "Dilution Info", "Notes"], "tabs": { "all-applications": {"fullname" : "All Applications", "shortname": "All Applications"}, "IP" : {"fullname" : "Immunoprecipitation", "shortname":"IP"}, "WB" : {"fullname" : "Western blot", "shortname":"WB"}, "IHCP" : {"fullname" : "Immunohistochemistry (Formalin/PFA-fixed paraffin-embedded sections)", "shortname":"IHC-P"}, "ICCIF" : {"fullname" : "Immunocytochemistry/ Immunofluorescence", "shortname":"ICC/IF"} }, "product-promise": { "all": "all", "testedAndGuaranteed": "tested", "guaranteed": "expected", "predicted": "predicted", "notRecommended": "not-recommended" } }, "values": { "Human": { "IP-species-checked": "guaranteed", "IP-species-dilution-info": "", "IP-species-notes": "", "WB-species-checked": "testedAndGuaranteed", "WB-species-dilution-info": "1/500 - 1/2000", "WB-species-notes": "<p></p>", "IHCP-species-checked": "testedAndGuaranteed", "IHCP-species-dilution-info": "1/20 - 1/500", "IHCP-species-notes": "<p></p>", "ICCIF-species-checked": "testedAndGuaranteed", "ICCIF-species-dilution-info": "1/50 - 1/200", "ICCIF-species-notes": "<p></p>" }, "Mouse": { "IP-species-checked": "testedAndGuaranteed", "IP-species-dilution-info": "1/200 - 1/2000", "IP-species-notes": "<p></p>", "WB-species-checked": "guaranteed", "WB-species-dilution-info": "", "WB-species-notes": "", "IHCP-species-checked": "guaranteed", "IHCP-species-dilution-info": "", "IHCP-species-notes": "", "ICCIF-species-checked": "guaranteed", "ICCIF-species-dilution-info": "", "ICCIF-species-notes": "" }, "Rat": { "IP-species-checked": "guaranteed", "IP-species-dilution-info": "", "IP-species-notes": "", "WB-species-checked": "testedAndGuaranteed", "WB-species-dilution-info": "1/500 - 1/2000", "WB-species-notes": "<p></p>", "IHCP-species-checked": "guaranteed", "IHCP-species-dilution-info": "", "IHCP-species-notes": "", "ICCIF-species-checked": "guaranteed", "ICCIF-species-dilution-info": "", "ICCIF-species-notes": "" } } }

Properties and storage information

Form
Liquid
Purification technique
Affinity purification Protein G
Purification notes
Purity >95%.
Storage buffer
pH: 7.4 Preservative: 0.03% Proclin 300 Constituents: PBS, 50% Glycerol (glycerin, glycerine)
Shipped at conditions
Blue Ice
Appropriate short-term storage duration
1-2 weeks
Appropriate short-term storage conditions
+4°C
Appropriate long-term storage conditions
-20°C
Aliquoting information
Upon delivery aliquot
Storage information
Avoid freeze / thaw cycle

Supplementary information

This supplementary information is collated from multiple sources and compiled automatically.

Alanine transaminase also known as ALT or alanine aminotransferase is an important enzyme in the body. It has a molecular mass of approximately 54 kDa and catalyzes the conversion between alanine and pyruvate by transferring an amino group. ALT is mainly expressed in the liver but also present in other tissues like the heart and muscles. It is often measured as 'ALT activity' in clinical settings to ascertain liver health. In laboratories an 'ALT assay' or 'ALT kit' can determine alanine transaminase activity.
Biological function summary

Alanine transaminase plays a critical role in amino acid metabolism and energy production. It facilitates the transamination process which is significant for the balance of amino acids and carbohydrates. ALT as a standalone enzyme does not form part of a protein complex but works closely with alanine aminotransferase reactions. It helps maintain the cellular nitrogen balance linking nitrogen metabolism with energy pathways.

Pathways

The role of alanine transaminase is to interconnect carbohydrate and amino acid metabolism. It participates in the gluconeogenesis pathway and the citric acid cycle important for energy production. Through its activity in these pathways it interacts with proteins like aspartate aminotransferase (AST) affecting the balance of amino and keto acids in cells.

Alanine transaminase levels indicate liver conditions such as hepatitis and liver cirrhosis. Elevated ALT activity suggests liver damage or inflammation. It also connects to conditions involving muscular injury. In these scenarios increased presence and activity of AST often accompany ALT providing a broader picture of the extent of tissue damage. Understanding the involvement of ALT in these pathways helps diagnose and monitor the progression of relevant health issues.

Product protocols

For this product, it's our understanding that no specific protocols are required. You can visit:

Target data

Catalyzes the reversible transamination between alanine and 2-oxoglutarate to form pyruvate and glutamate. Participates in cellular nitrogen metabolism and also in liver gluconeogenesis starting with precursors transported from skeletal muscles (By similarity).
See full target information GPT

Publications (2)

Recent publications for all applications. Explore the full list and refine your search

iMeta 3:e221 PubMed39135698

2024

Cell-type-specific expression analysis of liver transcriptomics with clinical parameters to decipher the cause of intrahepatic inflammation in chronic hepatitis B.

Applications

Unspecified application

Species

Unspecified reactive species

Jun Wang,Qian Li,Yuanwang Qiu,Simo Kitanovski,Chen Wang,Chenxia Zhang,Fahong Li,Xiaoguang Li,Zhenfeng Zhang,Lihua Huang,Jiming Zhang,Daniel Hoffmann,Mengji Lu,Hongzhou Lu

Cancer cell international 22:226 PubMed35804447

2022

A novel signature derived from metabolism-related genes GPT and SMS to predict prognosis of laryngeal squamous cell carcinoma.

Applications

Unspecified application

Species

Unspecified reactive species

Yujie Shen,Qiang Huang,Yifan Zhang,Chi-Yao Hsueh,Liang Zhou
View all publications

Product promise

We are committed to supporting your work with high-quality reagents, and we're here for you every step of the way. In the unlikely event that one of our products does not perform as expected, you're protected by our Product Promise.
For full details, please see our Terms & Conditions

Please note: All products are 'FOR RESEARCH USE ONLY. NOT FOR USE IN DIAGNOSTIC OR THERAPEUTIC PROCEDURES'.

For licensing inquiries, please contact partnerships@abcam.com