JavaScript is disabled in your browser. Please enable JavaScript to view this website.
AB139993

Anti-AlaRS antibody

Be the first to review this product! Submit a review

|

(1 Publication)

Rabbit Polyclonal AlaRS antibody. Suitable for WB, ICC/IF and reacts with Human, Mouse samples. Cited in 1 publication. Immunogen corresponding to Recombinant Fragment Protein within Human AARS1 aa 650 to C-terminus.

View Alternative Names

AARS, AARS1, Alanyl-tRNA synthetase, Protein lactyltransferase AARS1, Renal carcinoma antigen NY-REN-42, AlaRS

2 Images
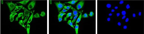
Immunocytochemistry/ Immunofluorescence - Anti-AlaRS antibody (AB139993)
  • ICC/IF

Supplier Data

Immunocytochemistry/ Immunofluorescence - Anti-AlaRS antibody (AB139993)

Immunocytochemistry/ Immunofluorescence analysis of HeLa cells labeling AlaRS with ab139993 at 1/100 dilution. The cells were fixed with 4% paraformaldehyde and permeabilized with 0.25% TritonX100. Alexa Fluor 488 conjugated goat anti-rabbit IgG antibody was used as the secondary antibody at 1/1,000 dilution. Nuclear DNA was stained with DAPI (left) and the merged image was shown in the center.

Western blot - Anti-AlaRS antibody (AB139993)
  • WB

Unknown

Western blot - Anti-AlaRS antibody (AB139993)

All lanes:

Western blot - Anti-AlaRS antibody (ab139993) at 1/100 dilution

Lane 1:

HeLa whole cell lysate at 10 µg

Lane 2:

NIH3T3 whole cell lysate at 10 µg

Predicted band size: 107 kDa

false

Key facts

Host species

Rabbit

Clonality

Polyclonal

Isotype

IgG

Carrier free

No

Reacts with

Mouse, Human

Applications

ICC/IF, WB

applications

Immunogen

Recombinant Fragment Protein within Human AARS1 aa 650 to C-terminus. The exact immunogen used to generate this antibody is proprietary information.

P49588

Reactivity data

{ "title": "Reactivity Data", "filters": { "stats": ["", "Species", "Dilution Info", "Notes"], "tabs": { "all-applications": {"fullname" : "All Applications", "shortname": "All Applications"}, "WB" : {"fullname" : "Western blot", "shortname":"WB"}, "ICCIF" : {"fullname" : "Immunocytochemistry/ Immunofluorescence", "shortname":"ICC/IF"} }, "product-promise": { "all": "all", "testedAndGuaranteed": "tested", "guaranteed": "expected", "predicted": "predicted", "notRecommended": "not-recommended" } }, "values": { "Human": { "WB-species-checked": "testedAndGuaranteed", "WB-species-dilution-info": "1/100 - 1/1000", "WB-species-notes": "<p></p>", "ICCIF-species-checked": "testedAndGuaranteed", "ICCIF-species-dilution-info": "1/100", "ICCIF-species-notes": "<p></p>" }, "Mouse": { "WB-species-checked": "testedAndGuaranteed", "WB-species-dilution-info": "1/100 - 1/1000", "WB-species-notes": "<p></p>", "ICCIF-species-checked": "guaranteed", "ICCIF-species-dilution-info": "", "ICCIF-species-notes": "" }, "Rat": { "WB-species-checked": "predicted", "WB-species-dilution-info": "", "WB-species-notes": "", "ICCIF-species-checked": "predicted", "ICCIF-species-dilution-info": "", "ICCIF-species-notes": "" }, "Cow": { "WB-species-checked": "predicted", "WB-species-dilution-info": "", "WB-species-notes": "", "ICCIF-species-checked": "predicted", "ICCIF-species-dilution-info": "", "ICCIF-species-notes": "" }, "Guinea pig": { "WB-species-checked": "predicted", "WB-species-dilution-info": "", "WB-species-notes": "", "ICCIF-species-checked": "predicted", "ICCIF-species-dilution-info": "", "ICCIF-species-notes": "" } } }

Properties and storage information

Form
Liquid
Purity
Whole antiserum
Storage buffer
pH: 6 - 8.5 Preservative: 0.05% Sodium azide
Shipped at conditions
Blue Ice
Appropriate short-term storage conditions
+4°C
Appropriate long-term storage conditions
-20°C
Aliquoting information
Upon delivery aliquot
Storage information
Avoid freeze / thaw cycle

Supplementary information

This supplementary information is collated from multiple sources and compiled automatically.

AlaRS also known as alanyl-tRNA synthetase is an enzyme critically involved in protein synthesis. It has an approximate molecular mass of 100 kDa. AlaRS catalyzes the attachment of alanine to its corresponding tRNA molecule ensuring the incorporation of alanine into a growing polypeptide chain. This enzymatic activity makes it an important component in the translation machinery. AlaRS shows expression across a wide variety of tissues reflecting its essential role in cellular function and biosynthesis.
Biological function summary

The enzyme plays an essential role without functioning as part of a complex. AlaRS participates in the aminoacylation of tRNA a process ensuring fidelity during protein translation. It charges tRNA with alanine maintaining accuracy in protein synthesis. This process is vital for cellular function because incorrect amino acid incorporation can lead to misfolded proteins and malfunction.

Pathways

AlaRS plays an important part in the translation pathway an essential component of the wider protein biosynthesis network. It interacts closely with ribosomal proteins during translation. AlaRS also links to the aminoacyl-tRNA biosynthesis pathway sharing functional similarities with other aminoacyl-tRNA synthetases such as GlnRS and GlyRS that attach amino acids to their corresponding tRNAs.

AlaRS has connections with Charcot-Marie-Tooth disease and specific types of cancer. Mutations in the gene encoding AlaRS can lead to Charcot-Marie-Tooth disease a disorder affecting peripheral nerves. The enzyme also shows altered expression in some cancers connecting it indirectly with oncogenic proteins that contribute to tumor progression. These associations highlight AlaRS as a target for understanding pathologies related to protein synthesis dysregulation.

Product protocols

For this product, it's our understanding that no specific protocols are required. You can visit:

Target data

Catalyzes the attachment of alanine to tRNA(Ala) in a two-step reaction : alanine is first activated by ATP to form Ala-AMP and then transferred to the acceptor end of tRNA(Ala) (PubMed : 27622773, PubMed : 27911835, PubMed : 28493438, PubMed : 33909043). Also edits incorrectly charged tRNA(Ala) via its editing domain (PubMed : 27622773, PubMed : 27911835, PubMed : 28493438, PubMed : 29273753). In presence of high levels of lactate, also acts as a protein lactyltransferase that mediates lactylation of lysine residues in target proteins, such as TEAD1, TP53/p53 and YAP1 (PubMed : 38512451, PubMed : 38653238). Protein lactylation takes place in a two-step reaction : lactate is first activated by ATP to form lactate-AMP and then transferred to lysine residues of target proteins (PubMed : 38512451, PubMed : 38653238). Acts as an inhibitor of TP53/p53 activity by catalyzing lactylation of TP53/p53 (PubMed : 38653238). Acts as a positive regulator of the Hippo pathway by mediating lactylation of TEAD1 and YAP1 (PubMed : 38512451).
See full target information AARS1

Publications (1)

Recent publications for all applications. Explore the full list and refine your search

Biochemical and biophysical research communications 445:417-21 PubMed24530912

2014

The Ca(2+)/H(+) antiporter TMEM165 expression, localization in the developing, lactating and involuting mammary gland parallels the secretory pathway Ca(2+) ATPase (SPCA1).

Applications

Unspecified application

Species

Unspecified reactive species

Timothy A Reinhardt,John D Lippolis,Randy E Sacco
View all publications

Product promise

We are committed to supporting your work with high-quality reagents, and we're here for you every step of the way. In the unlikely event that one of our products does not perform as expected, you're protected by our Product Promise.
For full details, please see our Terms & Conditions

Please note: All products are 'FOR RESEARCH USE ONLY. NOT FOR USE IN DIAGNOSTIC OR THERAPEUTIC PROCEDURES'.

For licensing inquiries, please contact partnerships@abcam.com