JavaScript is disabled in your browser. Please enable JavaScript to view this website.
AB249194

Anti-AlaRS antibody [EPR11037(B)] - BSA and Azide free

Be the first to review this product! Submit a review

|

(1 Publication)

Rabbit Recombinant Monoclonal AlaRS antibody. Carrier free. Suitable for IHC-P, WB, Flow Cyt (Intra) and reacts with Human samples. Cited in 1 publication.

View Alternative Names

AARS, AARS1, Alanyl-tRNA synthetase, Protein lactyltransferase AARS1, Renal carcinoma antigen NY-REN-42, AlaRS

4 Images
Flow Cytometry (Intracellular) - Anti-AlaRS antibody [EPR11037(B)] - BSA and Azide free (AB249194)
  • Flow Cyt (Intra)

Unknown

Flow Cytometry (Intracellular) - Anti-AlaRS antibody [EPR11037(B)] - BSA and Azide free (AB249194)

This data was developed using ab155275, the same antibody clone in a different buffer formulation.

Intracellular flow cytometric analysis of permeabilized K562 cells using ab155275 at a 1/10 dilution (red) and a rabbit IgG (negative) (green).

Immunohistochemistry (Formalin/PFA-fixed paraffin-embedded sections) - Anti-AlaRS antibody [EPR11037(B)] - BSA and Azide free (AB249194)
  • IHC-P

Unknown

Immunohistochemistry (Formalin/PFA-fixed paraffin-embedded sections) - Anti-AlaRS antibody [EPR11037(B)] - BSA and Azide free (AB249194)

This data was developed using ab155275, the same antibody clone in a different buffer formulation.

Immunohistochemical analysis of paraffin embedded Human kidney tissue labeling AlaRS with ab155275 at a 1/50 dilution.

Perform heat mediated antigen retrieval with citrate buffer pH 6 before commencing with IHC staining protocol.

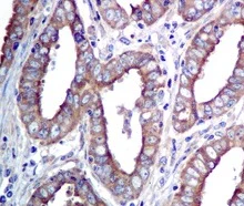
Immunohistochemistry (Formalin/PFA-fixed paraffin-embedded sections) - Anti-AlaRS antibody [EPR11037(B)] - BSA and Azide free (AB249194)
  • IHC-P

Unknown

Immunohistochemistry (Formalin/PFA-fixed paraffin-embedded sections) - Anti-AlaRS antibody [EPR11037(B)] - BSA and Azide free (AB249194)

This data was developed using ab155275, the same antibody clone in a different buffer formulation.

Immunohistochemical analysis of paraffin embedded Human endometrial adenocarcinoma tissue labeling AlaRS with ab155275 at a 1/50 dilution.

Perform heat mediated antigen retrieval with citrate buffer pH 6 before commencing with IHC staining protocol.

Western blot - Anti-AlaRS antibody [EPR11037(B)] - BSA and Azide free (AB249194)
  • WB

Unknown

Western blot - Anti-AlaRS antibody [EPR11037(B)] - BSA and Azide free (AB249194)

This data was developed using ab155275, the same antibody clone in a different buffer formulation.

All lanes:

Western blot - Anti-AlaRS antibody [EPR11037(B)] (<a href='/en-us/products/primary-antibodies/alars-antibody-epr11037b-ab155275'>ab155275</a>) at 1/1000 dilution

Lane 1:

Human fetal liver lysate at 10 µg

Lane 2:

HeLa lysate at 10 µg

Lane 3:

K562 lysate at 10 µg

Lane 4:

HepG2 lysate at 10 µg

Predicted band size: 107 kDa

false

Key facts

Host species

Rabbit

Clonality

Monoclonal

Clone number

EPR11037(B)

Isotype

IgG

Carrier free

Yes

Reacts with

Human

Applications

WB, Flow Cyt (Intra), IHC-P

applications

Immunogen

The exact immunogen used to generate this antibody is proprietary information.

Reactivity data

{ "title": "Reactivity Data", "filters": { "stats": ["", "Species", "Dilution Info", "Notes"], "tabs": { "all-applications": {"fullname" : "All Applications", "shortname": "All Applications"}, "IHCP" : {"fullname" : "Immunohistochemistry (Formalin/PFA-fixed paraffin-embedded sections)", "shortname":"IHC-P"}, "ICCIF" : {"fullname" : "Immunocytochemistry/ Immunofluorescence", "shortname":"ICC/IF"}, "IP" : {"fullname" : "Immunoprecipitation", "shortname":"IP"}, "WB" : {"fullname" : "Western blot", "shortname":"WB"}, "FlowCytIntra" : {"fullname" : "Flow Cytometry (Intracellular)", "shortname":"Flow Cyt (Intra)"} }, "product-promise": { "all": "all", "testedAndGuaranteed": "tested", "guaranteed": "expected", "predicted": "predicted", "notRecommended": "not-recommended" } }, "values": { "Human": { "IHCP-species-checked": "testedAndGuaranteed", "IHCP-species-dilution-info": "", "IHCP-species-notes": "<p></p>", "ICCIF-species-checked": "notRecommended", "ICCIF-species-dilution-info": "", "ICCIF-species-notes": "<p></p>", "IP-species-checked": "notRecommended", "IP-species-dilution-info": "", "IP-species-notes": "<p></p>", "WB-species-checked": "testedAndGuaranteed", "WB-species-dilution-info": "", "WB-species-notes": "<p></p>", "FlowCytIntra-species-checked": "testedAndGuaranteed", "FlowCytIntra-species-dilution-info": "", "FlowCytIntra-species-notes": "<p></p>" } } }

Product details

ab249194 is the carrier-free version of ab155275.

Patented technology
Our RabMAb® technology is a patented hybridoma-based technology for making rabbit monoclonal antibodies. For details on our patents, please refer to RabMAb® patents.

What are the advantages of a recombinant monoclonal antibody?
This product is a recombinant monoclonal antibody, which offers several advantages including:

  • - High batch-to-batch consistency and reproducibility
  • - Improved sensitivity and specificity
  • - Long-term security of supply
  • - Animal-free batch production

For more information, read more on recombinant antibodies.

Conjugation ready
Our carrier-free antibodies are typically supplied in a PBS-only formulation, purified and free of BSA, sodium azide and glycerol. This conjugation-ready format is designed for use with fluorochromes, metal isotopes, oligonucleotides, and enzymes, which makes them ideal for antibody labelling, functional and cell-based assays, flow-based assays (e.g. mass cytometry) and Multiplex Imaging applications.

Use our conjugation kits for antibody conjugates that are ready-to-use in as little as 20 minutes with 1 minute hands-on-time and 100% antibody recovery: available for fluorescent dyes, HRP, biotin and gold.

Compatibility
This product is compatible with the Maxpar® Antibody Labeling Kit from Fluidigm, without the need for antibody preparation. Maxpar® is a trademark of Fluidigm Canada Inc.

Properties and storage information

Form
Liquid
Purification technique
Affinity purification Protein A
Storage buffer
pH: 7.2 - 7.4 Constituents: PBS
Shipped at conditions
Blue Ice
Appropriate short-term storage conditions
+4°C
Appropriate long-term storage conditions
+4°C
Storage information
Do Not Freeze

Supplementary information

This supplementary information is collated from multiple sources and compiled automatically.

AlaRS also known as alanyl-tRNA synthetase is an enzyme critically involved in protein synthesis. It has an approximate molecular mass of 100 kDa. AlaRS catalyzes the attachment of alanine to its corresponding tRNA molecule ensuring the incorporation of alanine into a growing polypeptide chain. This enzymatic activity makes it an important component in the translation machinery. AlaRS shows expression across a wide variety of tissues reflecting its essential role in cellular function and biosynthesis.
Biological function summary

The enzyme plays an essential role without functioning as part of a complex. AlaRS participates in the aminoacylation of tRNA a process ensuring fidelity during protein translation. It charges tRNA with alanine maintaining accuracy in protein synthesis. This process is vital for cellular function because incorrect amino acid incorporation can lead to misfolded proteins and malfunction.

Pathways

AlaRS plays an important part in the translation pathway an essential component of the wider protein biosynthesis network. It interacts closely with ribosomal proteins during translation. AlaRS also links to the aminoacyl-tRNA biosynthesis pathway sharing functional similarities with other aminoacyl-tRNA synthetases such as GlnRS and GlyRS that attach amino acids to their corresponding tRNAs.

AlaRS has connections with Charcot-Marie-Tooth disease and specific types of cancer. Mutations in the gene encoding AlaRS can lead to Charcot-Marie-Tooth disease a disorder affecting peripheral nerves. The enzyme also shows altered expression in some cancers connecting it indirectly with oncogenic proteins that contribute to tumor progression. These associations highlight AlaRS as a target for understanding pathologies related to protein synthesis dysregulation.

Product protocols

For this product, it's our understanding that no specific protocols are required. You can visit:

Target data

Catalyzes the attachment of alanine to tRNA(Ala) in a two-step reaction : alanine is first activated by ATP to form Ala-AMP and then transferred to the acceptor end of tRNA(Ala) (PubMed : 27622773, PubMed : 27911835, PubMed : 28493438, PubMed : 33909043). Also edits incorrectly charged tRNA(Ala) via its editing domain (PubMed : 27622773, PubMed : 27911835, PubMed : 28493438, PubMed : 29273753). In presence of high levels of lactate, also acts as a protein lactyltransferase that mediates lactylation of lysine residues in target proteins, such as TEAD1, TP53/p53 and YAP1 (PubMed : 38512451, PubMed : 38653238). Protein lactylation takes place in a two-step reaction : lactate is first activated by ATP to form lactate-AMP and then transferred to lysine residues of target proteins (PubMed : 38512451, PubMed : 38653238). Acts as an inhibitor of TP53/p53 activity by catalyzing lactylation of TP53/p53 (PubMed : 38653238). Acts as a positive regulator of the Hippo pathway by mediating lactylation of TEAD1 and YAP1 (PubMed : 38512451).
See full target information AARS1

Publications (1)

Recent publications for all applications. Explore the full list and refine your search

International journal of clinical and experimental 13:2973-2983 PubMed33425098

2020

Adsorption of miR-218 by lncRNA HOTAIR regulates PDE7A and affects glioma cell proliferation, invasion, and apoptosis.

Applications

Unspecified application

Species

Unspecified reactive species

Yigong Wei,Kun Zhou,Cheng Wang,Xiaolin Du,Qing Xiao,Changyi Chen
View all publications

Product promise

We are committed to supporting your work with high-quality reagents, and we're here for you every step of the way. In the unlikely event that one of our products does not perform as expected, you're protected by our Product Promise.
For full details, please see our Terms & Conditions

Please note: All products are 'FOR RESEARCH USE ONLY. NOT FOR USE IN DIAGNOSTIC OR THERAPEUTIC PROCEDURES'.

For licensing inquiries, please contact partnerships@abcam.com