JavaScript is disabled in your browser. Please enable JavaScript to view this website.
AB240330

Anti-Albumin antibody [EPR12774] - BSA and Azide free

Be the first to review this product! Submit a review

|

(1 Publication)

Rabbit Recombinant Monoclonal Albumin antibody. Carrier free. Suitable for IHC-P, WB and reacts with Human, Rat, Mouse, Cow samples. Cited in 1 publication.

View Alternative Names

GIG20, GIG42, PRO0903, PRO1708, PRO2044, PRO2619, PRO2675, UNQ696/PRO1341, ALB, Albumin

1 Images
Immunohistochemistry (Formalin/PFA-fixed paraffin-embedded sections) - Anti-Albumin antibody [EPR12774] - BSA and Azide free (AB240330)
  • IHC-P

Supplier Data

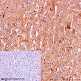
Immunohistochemistry (Formalin/PFA-fixed paraffin-embedded sections) - Anti-Albumin antibody [EPR12774] - BSA and Azide free (AB240330)

Immunohistochemical analysis of formalin-fixed, paraffin-embedded human liver labeling Serum albumin with ab192603 at 1/300 dilution. A prediluted HRP Polymer Rabbit IgG was used as the secondary antibody. Counterstained with Hematoxylin. Negative control also shown.

This data was developed using the same antibody clone in a different buffer formulation containing PBS, BSA, glycerol, and sodium azide (ab192603).

Perform heat mediated antigen retrieval with Tris/EDTA buffer pH 9.0 before commencing with IHC staining protocol.

Key facts

Host species

Rabbit

Clonality

Monoclonal

Clone number

EPR12774

Isotype

IgG

Carrier free

Yes

Reacts with

Mouse, Rat, Cow, Human

Applications

IHC-P, WB

applications

Immunogen

The exact immunogen used to generate this antibody is proprietary information.

Reactivity data

{ "title": "Reactivity Data", "filters": { "stats": ["", "Species", "Dilution Info", "Notes"], "tabs": { "all-applications": {"fullname" : "All Applications", "shortname": "All Applications"}, "IHCP" : {"fullname" : "Immunohistochemistry (Formalin/PFA-fixed paraffin-embedded sections)", "shortname":"IHC-P"}, "WB" : {"fullname" : "Western blot", "shortname":"WB"} }, "product-promise": { "all": "all", "testedAndGuaranteed": "tested", "guaranteed": "expected", "predicted": "predicted", "notRecommended": "not-recommended" } }, "values": { "Human": { "IHCP-species-checked": "testedAndGuaranteed", "IHCP-species-dilution-info": "", "IHCP-species-notes": "<p></p>", "WB-species-checked": "testedAndGuaranteed", "WB-species-dilution-info": "", "WB-species-notes": "<p></p>" }, "Mouse": { "IHCP-species-checked": "guaranteed", "IHCP-species-dilution-info": "", "IHCP-species-notes": "", "WB-species-checked": "testedAndGuaranteed", "WB-species-dilution-info": "", "WB-species-notes": "<p></p>" }, "Rat": { "IHCP-species-checked": "guaranteed", "IHCP-species-dilution-info": "", "IHCP-species-notes": "", "WB-species-checked": "testedAndGuaranteed", "WB-species-dilution-info": "", "WB-species-notes": "<p></p>" }, "Cow": { "IHCP-species-checked": "guaranteed", "IHCP-species-dilution-info": "", "IHCP-species-notes": "", "WB-species-checked": "testedAndGuaranteed", "WB-species-dilution-info": "", "WB-species-notes": "<p></p>" } } }

Product details

ab240330 is the carrier-free version of ab192603.

Patented technology
Our RabMAb® technology is a patented hybridoma-based technology for making rabbit monoclonal antibodies. For details on our patents, please refer to RabMAb® patents.

What are the advantages of a recombinant monoclonal antibody?
This product is a recombinant monoclonal antibody, which offers several advantages including:

  • - High batch-to-batch consistency and reproducibility
  • - Improved sensitivity and specificity
  • - Long-term security of supply
  • - Animal-free batch production

For more information, read more on recombinant antibodies.

Conjugation ready
Our carrier-free antibodies are typically supplied in a PBS-only formulation, purified and free of BSA, sodium azide and glycerol. This conjugation-ready format is designed for use with fluorochromes, metal isotopes, oligonucleotides, and enzymes, which makes them ideal for antibody labelling, functional and cell-based assays, flow-based assays (e.g. mass cytometry) and Multiplex Imaging applications.

Use our conjugation kits for antibody conjugates that are ready-to-use in as little as 20 minutes with 1 minute hands-on-time and 100% antibody recovery: available for fluorescent dyes, HRP, biotin and gold.

Compatibility
This product is compatible with the Maxpar® Antibody Labeling Kit from Fluidigm, without the need for antibody preparation. Maxpar® is a trademark of Fluidigm Canada Inc.

Properties and storage information

Form
Liquid
Purification technique
Affinity purification Protein A
Storage buffer
pH: 7.2 - 7.4 Constituents: PBS
Shipped at conditions
Blue Ice
Appropriate short-term storage conditions
+4°C
Appropriate long-term storage conditions
+4°C
Storage information
Do Not Freeze

Supplementary information

This supplementary information is collated from multiple sources and compiled automatically.

Albumin also known as ALB is a major plasma protein with a molecular mass of approximately 66.5 kDa. It predominantly gets synthesized in the liver and found abundantly in blood plasma. Albumin serves multiple functions including maintaining osmotic pressure and acting as a carrier protein for various endogenous substances like hormones fatty acids and bilirubin.
Biological function summary

Albumin plays a critical role in transporting small molecules like metabolites and drugs through the circulatory system. It is not a part of any complex but functions independently to bind transport and release various ligands. Albumin's affinity for hydrophobic molecules makes it essential for they to be solubilized in blood for proper metabolism and excretion.

Pathways

More than five binding sites on albumin facilitate its role in the fatty acid metabolism and renin-angiotensin system pathways. In fatty acid metabolism albumin interacts with transport proteins carrying fatty acids to tissues for energy production. Additionally during the renin-angiotensin system albumin modulates blood pressure through its interaction with angiotensin II which can influence vasoconstriction.

Researchers link albumin with nephrotic syndrome and liver cirrhosis. In nephrotic syndrome low levels of albumin (albumin low) can cause edema due to imbalanced osmotic pressure. In liver cirrhosis a reduction in albumin synthesis signifies liver damage. Albumin's interaction with proteins like angiotensin II correlates with complications such as hypertension further establishing the protein's role in health and disease contexts.

Product protocols

For this product, it's our understanding that no specific protocols are required. You can visit:

Target data

Binds water, Ca(2+), Na(+), K(+), fatty acids, hormones, bilirubin and drugs (Probable). Its main function is the regulation of the colloidal osmotic pressure of blood (Probable). Major zinc transporter in plasma, typically binds about 80% of all plasma zinc (PubMed : 19021548). Major calcium and magnesium transporter in plasma, binds approximately 45% of circulating calcium and magnesium in plasma (By similarity). Potentially has more than two calcium-binding sites and might additionally bind calcium in a non-specific manner (By similarity). The shared binding site between zinc and calcium at residue Asp-273 suggests a crosstalk between zinc and calcium transport in the blood (By similarity). The rank order of affinity is zinc > calcium > magnesium (By similarity). Binds to the bacterial siderophore enterobactin and inhibits enterobactin-mediated iron uptake of E.coli from ferric transferrin, and may thereby limit the utilization of iron and growth of enteric bacteria such as E.coli (PubMed : 6234017). Does not prevent iron uptake by the bacterial siderophore aerobactin (PubMed : 6234017).
See full target information ALB

Publications (1)

Recent publications for all applications. Explore the full list and refine your search

iScience 26:105723 PubMed36590169

2023

Assessment of stromal SCD-induced drug resistance of PDAC using 3D-printed zPDX model chips.

Applications

Unspecified application

Species

Unspecified reactive species

Chuntao Wu,Beiyuan Hu,Lei Wang,Xia Wu,Haitao Gu,Hanguang Dong,Jiuliang Yan,Zihao Qi,Qi Zhang,Huan Chen,Bo Yu,Sheng Hu,Yu Qian,Shuang Dong,Qiang Li,Xu Wang,Jiang Long
View all publications

Product promise

We are committed to supporting your work with high-quality reagents, and we're here for you every step of the way. In the unlikely event that one of our products does not perform as expected, you're protected by our Product Promise.
For full details, please see our Terms & Conditions

Please note: All products are 'FOR RESEARCH USE ONLY. NOT FOR USE IN DIAGNOSTIC OR THERAPEUTIC PROCEDURES'.

For licensing inquiries, please contact partnerships@abcam.com