JavaScript is disabled in your browser. Please enable JavaScript to view this website.
AB137082

Anti-ALDH16A1 antibody [EPR9217]

Be the first to review this product! Submit a review

|

(3 Publications)

Rabbit Recombinant Monoclonal A16A1 antibody. Suitable for IHC-P, WB and reacts with Human, Mouse, Rat samples. Cited in 3 publications.

View Alternative Names

Aldehyde dehydrogenase family 16 member A1, ALDH16A1

3 Images
Immunohistochemistry (Formalin/PFA-fixed paraffin-embedded sections) - Anti-ALDH16A1 antibody [EPR9217] (AB137082)
  • IHC-P

Unknown

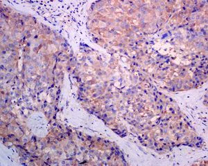
Immunohistochemistry (Formalin/PFA-fixed paraffin-embedded sections) - Anti-ALDH16A1 antibody [EPR9217] (AB137082)

Immunohistochemical analysis of paraffin-embedded Human hepatocellular carcinoma tissue labelling ALDH16A1 with ab137082 at 1/50 dilution.

Perform heat mediated antigen retrieval with citrate buffer pH 6 before commencing with IHC staining protocol.

Immunohistochemistry (Formalin/PFA-fixed paraffin-embedded sections) - Anti-ALDH16A1 antibody [EPR9217] (AB137082)
  • IHC-P

Unknown

Immunohistochemistry (Formalin/PFA-fixed paraffin-embedded sections) - Anti-ALDH16A1 antibody [EPR9217] (AB137082)

Immunohistochemical analysis of paraffin-embedded Human colon tissue labelling ALDH16A1 with ab137082 at 1/50 dilution.

Perform heat mediated antigen retrieval with citrate buffer pH 6 before commencing with IHC staining protocol.

Western blot - Anti-ALDH16A1 antibody [EPR9217] (AB137082)
  • WB

Unknown

Western blot - Anti-ALDH16A1 antibody [EPR9217] (AB137082)

All lanes:

Western blot - Anti-ALDH16A1 antibody [EPR9217] (ab137082) at 1/1000 dilution

Lane 1:

HeLa cell lysate at 10 µg

Lane 2:

Jurkat cell lysate at 10 µg

Lane 3:

293T cell lysate at 10 µg

Lane 4:

HepG2 cell lysate at 10 µg

Predicted band size: 85 kDa

false

Key facts

Host species

Rabbit

Clonality

Monoclonal

Clone number

EPR9217

Isotype

IgG

Carrier free

No

Reacts with

Human

Applications

WB, IHC-P

applications

Immunogen

The exact immunogen used to generate this antibody is proprietary information.

Reactivity data

{ "title": "Reactivity Data", "filters": { "stats": ["", "Species", "Dilution Info", "Notes"], "tabs": { "all-applications": {"fullname" : "All Applications", "shortname": "All Applications"}, "IHCP" : {"fullname" : "Immunohistochemistry (Formalin/PFA-fixed paraffin-embedded sections)", "shortname":"IHC-P"}, "WB" : {"fullname" : "Western blot", "shortname":"WB"}, "ICCIF" : {"fullname" : "Immunocytochemistry/ Immunofluorescence", "shortname":"ICC/IF"} }, "product-promise": { "all": "all", "testedAndGuaranteed": "tested", "guaranteed": "expected", "predicted": "predicted", "notRecommended": "not-recommended" } }, "values": { "Human": { "IHCP-species-checked": "testedAndGuaranteed", "IHCP-species-dilution-info": "1/50 - 1/100", "IHCP-species-notes": "<p></p>", "WB-species-checked": "testedAndGuaranteed", "WB-species-dilution-info": "1/1000 - 1/10000", "WB-species-notes": "<p></p>", "ICCIF-species-checked": "notRecommended", "ICCIF-species-dilution-info": "", "ICCIF-species-notes": "<p></p>" }, "Mouse": { "IHCP-species-checked": "predicted", "IHCP-species-dilution-info": "", "IHCP-species-notes": "", "WB-species-checked": "guaranteed", "WB-species-dilution-info": "", "WB-species-notes": "<p></p>", "ICCIF-species-checked": "notRecommended", "ICCIF-species-dilution-info": "", "ICCIF-species-notes": "" }, "Rat": { "IHCP-species-checked": "predicted", "IHCP-species-dilution-info": "", "IHCP-species-notes": "", "WB-species-checked": "guaranteed", "WB-species-dilution-info": "", "WB-species-notes": "<p></p>", "ICCIF-species-checked": "notRecommended", "ICCIF-species-dilution-info": "", "ICCIF-species-notes": "" } } }

Product details

Patented technology
Our RabMAb® technology is a patented hybridoma-based technology for making rabbit monoclonal antibodies. For details on our patents, please refer to RabMAb® patents.

What are the advantages of a recombinant monoclonal antibody?
This product is a recombinant monoclonal antibody, which offers several advantages including:

  • - High batch-to-batch consistency and reproducibility
  • - Improved sensitivity and specificity
  • - Long-term security of supply
  • - Animal-free batch production

For more information, read more on recombinant antibodies.

Properties and storage information

Form
Liquid
Purification technique
Affinity purification Protein A
Storage buffer
pH: 7.2 - 7.4 Preservative: 0.01% Sodium azide Constituents: PBS, 50% Tissue culture supernatant, 40% Glycerol (glycerin, glycerine), 0.05% BSA
Shipped at conditions
Blue Ice
Appropriate short-term storage conditions
+4°C
Appropriate long-term storage conditions
-20°C

Supplementary information

This supplementary information is collated from multiple sources and compiled automatically.

ALDH16A1 or aldehyde dehydrogenase 16 family member A1 belongs to the aldehyde dehydrogenase superfamily. This protein does not have well-documented enzymatic activity but it shares structural similarity with other family proteins suggesting a potential role in aldehyde metabolism. ALDH16A1 has a molecular mass of approximately 83 kDa. The protein expresses mainly in liver kidney and other tissues though its exact function remains unclear.
Biological function summary

Members of the aldehyde dehydrogenase family act in detoxification processes by oxidizing aldehydes into carboxylic acids reducing cellular damage. While ALDH16A1's activity remains undetermined its expression profile implies involvement in pathways where aldehyde metabolism impacts critical cellular functions. It does not form a known complex but its similarity with other aldehyde dehydrogenases suggests a supporting role in cellular detoxification pathways.

Pathways

Amino acid metabolism and detoxification pathways potentially involve ALDH16A1 due to its homology with other aldehyde dehydrogenases. This protein potentially interacts with enzymes such as ALDH2 which participates in ethanol metabolism and detoxification. Both proteins play roles in mitigating oxidative stress and processing toxic aldehydes ensuring cellular homeostasis.

Polymorphisms or dysregulation in ALDH16A1 may correlate with metabolic disorders particularly those affecting kidney function. Further research implicates altered expression of this protein in conditions like diabetic nephropathy. The association with diabetes might tie into dysregulated aldehyde detoxification linking ALDH16A1 indirectly to proteins like ALDH2 known for roles in managing reactive aldehyde species and oxidative stress.

Product protocols

For this product, it's our understanding that no specific protocols are required. You can visit:

Publications (3)

Recent publications for all applications. Explore the full list and refine your search

Acta neuropathologica communications 13:187 PubMed40898360

2025

Identification and validation of a tear fluid-derived protein biomarker signature in patients with amyotrophic lateral sclerosis.

Applications

Unspecified application

Species

Unspecified reactive species

Lena-Sophie Scholl,Antonia F Demleitner,Jenny Riedel,Seren Adachi,Lisa Neuenroth,Clara Meijs,Laura Tzeplaeff,Lucas Caldi Gomes,Ana Galhoz,Isabell Cordts,Christof Lenz,Michael Menden,Paul Lingor

Nature communications 15:9614 PubMed39511190

2024

The BAF complex enhances transcription through interaction with H3K56ac in the histone globular domain.

Applications

Unspecified application

Species

Unspecified reactive species

Kwangbeom Hyun,Jihye Ahn,Hyoungmin Kim,Jihyun Kim,Yong-In Kim,Hee-Sung Park,Robert G Roeder,J Eugene Lee,Jaehoon Kim

Frontiers in immunology 12:756606 PubMed35116021

2022

The ALDH Family Contributes to Immunocyte Infiltration, Proliferation and Epithelial-Mesenchymal Transformation in Glioma.

Applications

Unspecified application

Species

Unspecified reactive species

Zeyu Wang,Yuyao Mo,Ying Tan,Zhihui Wen,Ziyu Dai,Hao Zhang,Xun Zhang,Songshan Feng,Xisong Liang,Tao Song,Quan Cheng
View all publications

Product promise

We are committed to supporting your work with high-quality reagents, and we're here for you every step of the way. In the unlikely event that one of our products does not perform as expected, you're protected by our Product Promise.
For full details, please see our Terms & Conditions

Please note: All products are 'FOR RESEARCH USE ONLY. NOT FOR USE IN DIAGNOSTIC OR THERAPEUTIC PROCEDURES'.

For licensing inquiries, please contact partnerships@abcam.com