JavaScript is disabled in your browser. Please enable JavaScript to view this website.
AB105920

Anti-ALDH1A1 antibody [5A11]

Be the first to review this product! Submit a review

|

(6 Publications)

Mouse Monoclonal ALDH1A1 antibody. Suitable for Flow Cyt, WB, IHC-P and reacts with Human samples. Cited in 6 publications. Immunogen corresponding to Recombinant Fragment Protein within Human ALDH1A1.

View Alternative Names

ALDC, ALDH1, PUMB1, ALDH1A1, Aldehyde dehydrogenase 1A1, 3-deoxyglucosone dehydrogenase, ALDH-E1, ALHDII, Aldehyde dehydrogenase family 1 member A1, Retinal dehydrogenase 1, RALDH 1, RalDH1

4 Images
Flow Cytometry - Anti-ALDH1A1 antibody [5A11] (AB105920)
  • Flow Cyt

Unknown

Flow Cytometry - Anti-ALDH1A1 antibody [5A11] (AB105920)

Overlay histogram showing HepG2 cells stained with ab105920 (red line). The cells were fixed with 4% paraformaldehyde (10 min) and then permeabilized with 0.1% PBS-Tween for 20 min. The cells were then incubated in 1x PBS / 10% normal goat serum / 0.3M glycine to block non-specific protein-protein interactions followed by the antibody (ab105920, 1/100 dilution) for 30 min at 22°C. The secondary antibody used was Alexa Fluor® 488 goat anti-mouse IgG (H+L) (ab150113) at 1/2000 dilution for 30 min at 22°C. Isotype control antibody (black line) was mouse IgG1 [ICIGG1] (ab91353, 1μg/1x106 cells) used under the same conditions. Unlabelled sample (blue line) was also used as a control. Acquisition of >5,000 events were collected using a 20mW Argon ion laser (488nm) and 525/30 bandpass filter. This antibody gave a positive signal in HepG2 cells fixed with 80% methanol (5 min)/permeabilized with 0.1% PBS-Tween for 20 min used under the same conditions.

Immunohistochemistry (Formalin/PFA-fixed paraffin-embedded sections) - Anti-ALDH1A1 antibody [5A11] (AB105920)
  • IHC-P

Unknown

Immunohistochemistry (Formalin/PFA-fixed paraffin-embedded sections) - Anti-ALDH1A1 antibody [5A11] (AB105920)

ab105920, at a 1/200 dilution, staining ALDH1A1 in paraffin embedded Human lung cancer tissue by Immunohistochemistry.

Immunohistochemistry (Formalin/PFA-fixed paraffin-embedded sections) - Anti-ALDH1A1 antibody [5A11] (AB105920)
  • IHC-P

Unknown

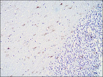
Immunohistochemistry (Formalin/PFA-fixed paraffin-embedded sections) - Anti-ALDH1A1 antibody [5A11] (AB105920)

ab105920, at a 1/200 dilution, staining ALDH1A1 in paraffin embedded Human cerebellum tissue by Immunohistochemistry.

Western blot - Anti-ALDH1A1 antibody [5A11] (AB105920)
  • WB

Unknown

Western blot - Anti-ALDH1A1 antibody [5A11] (AB105920)

All lanes:

Western blot - Anti-ALDH1A1 antibody [5A11] (ab105920) at 1/200 dilution

Lane 1:

Raji cell lysate

Lane 2:

Jurkat cell lysate

Lane 3:

THP1 cell lysate

Lane 4:

K562 cell lysate

Predicted band size: 54 kDa

false

Key facts

Host species

Mouse

Clonality

Monoclonal

Clone number

5A11

Isotype

IgG1

Carrier free

No

Reacts with

Human

Applications

WB, IHC-P, Flow Cyt

applications

Immunogen

Recombinant Fragment Protein within Human ALDH1A1. The exact immunogen used to generate this antibody is proprietary information.

P00352

Reactivity data

{ "title": "Reactivity Data", "filters": { "stats": ["", "Species", "Dilution Info", "Notes"], "tabs": { "all-applications": {"fullname" : "All Applications", "shortname": "All Applications"}, "FlowCyt" : {"fullname" : "Flow Cytometry", "shortname":"Flow Cyt"}, "WB" : {"fullname" : "Western blot", "shortname":"WB"}, "IHCP" : {"fullname" : "Immunohistochemistry (Formalin/PFA-fixed paraffin-embedded sections)", "shortname":"IHC-P"} }, "product-promise": { "all": "all", "testedAndGuaranteed": "tested", "guaranteed": "expected", "predicted": "predicted", "notRecommended": "not-recommended" } }, "values": { "Human": { "FlowCyt-species-checked": "testedAndGuaranteed", "FlowCyt-species-dilution-info": "1/100", "FlowCyt-species-notes": "<p><a href='/en-us/products/primary-antibodies/mouse-igg1-kappa-monoclonal-15-6e10a7-isotype-control-ab170190'>ab170190</a> - Mouse monoclonal IgG1, is suitable for use as an isotype control with this antibody.</p>", "WB-species-checked": "testedAndGuaranteed", "WB-species-dilution-info": "1/200 - 1/1000", "WB-species-notes": "<p></p>", "IHCP-species-checked": "testedAndGuaranteed", "IHCP-species-dilution-info": "1/200 - 1/1000", "IHCP-species-notes": "<p></p>" } } }

Product details

This product was changed from ascites to supernatant. Lot no's high than GR120645-17 are from Tissue Culture Supernatant

Properties and storage information

Form
Liquid
Purification technique
Affinity purification Protein G
Purification notes
Purified from tissue culture supernatant.
Storage buffer
Preservative: 0.05% Sodium azide Constituents: PBS
Shipped at conditions
Blue Ice
Appropriate short-term storage duration
1-2 weeks
Appropriate short-term storage conditions
+4°C
Appropriate long-term storage conditions
-20°C

Supplementary information

This supplementary information is collated from multiple sources and compiled automatically.

ALDH1A1 also known as aldehyde dehydrogenase 1 family member A1 is an enzyme with a molecular weight of approximately 54 kDa. It functions by catalyzing the irreversible oxidation of aldehydes to carboxylic acids which is an important step in detoxifying alcohol-derived acetaldehyde and other aldehydes. ALDH1A1 is expressed in various tissues including liver kidney and cornea. Its activity allows for maintaining cellular homeostasis by processing endogenous and exogenous aldehydes.
Biological function summary

ALDH1A1 plays significant roles in the biosynthesis of retinoic acid an important regulator of gene expression in developmental and adult processes. It does not form part of a larger enzyme complex but functions independently. The ALDH1A1 proteins contribute to the regulation of cell proliferation differentiation and survival. Researchers often measure its expression using methods like the ALDH1A1 ELISA which quantifies the protein levels in biological samples.

Pathways

The ALDH1A1 enzyme is notably implicated in the retinoid metabolism pathway and the detoxification of alcohol-derived aldehydes within the body. It is closely related to other members of the aldehyde dehydrogenase family including ALDH2 which shares similar detoxification functions. ALDH1A1’s role in retinoic acid production links it to gene expression pathways associated with cell differentiation and growth.

ALDH1A1 has associations with cancer and alcohol-induced liver disease. Its elevated expression in cancerous tissues often correlates with stem-cell like characteristics and chemoresistance. A connection exists between ALDH1A1 and ALDH2 in the context of alcohol metabolism where ALDH1A1's role in detoxifying acetaldehyde contributes to the lower risk of alcohol-induced damage. Studies explore ALDH1A1 antibodies and inhibitors as potential therapeutic approaches for these conditions.

Product protocols

For this product, it's our understanding that no specific protocols are required. You can visit:

Target data

Cytosolic dehydrogenase that catalyzes the irreversible oxidation of a wide range of aldehydes to their corresponding carboxylic acid (PubMed : 12941160, PubMed : 15623782, PubMed : 17175089, PubMed : 19296407, PubMed : 25450233, PubMed : 26373694). Functions downstream of retinol dehydrogenases and catalyzes the oxidation of retinaldehyde into retinoic acid, the second step in the oxidation of retinol/vitamin A into retinoic acid (By similarity). This pathway is crucial to control the levels of retinol and retinoic acid, two important molecules which excess can be teratogenic and cytotoxic (By similarity). Also oxidizes aldehydes resulting from lipid peroxidation like (E)-4-hydroxynon-2-enal/HNE, malonaldehyde and hexanal that form protein adducts and are highly cytotoxic. By participating for instance to the clearance of (E)-4-hydroxynon-2-enal/HNE in the lens epithelium prevents the formation of HNE-protein adducts and lens opacification (PubMed : 12941160, PubMed : 15623782, PubMed : 19296407). Functions also downstream of fructosamine-3-kinase in the fructosamine degradation pathway by catalyzing the oxidation of 3-deoxyglucosone, the carbohydrate product of fructosamine 3-phosphate decomposition, which is itself a potent glycating agent that may react with lysine and arginine side-chains of proteins (PubMed : 17175089). Has also an aminobutyraldehyde dehydrogenase activity and is probably part of an alternative pathway for the biosynthesis of GABA/4-aminobutanoate in midbrain, thereby playing a role in GABAergic synaptic transmission (By similarity).
See full target information ALDH1A1

Publications (6)

Recent publications for all applications. Explore the full list and refine your search

Asian Pacific journal of cancer prevention : APJCP 24:1863-1868 PubMed37378913

2023

High ALDH-1 Expression Predicts Non-Complete Response of Radiotherapy in Stage III Squamous Cell Cervical Carcinoma Patients.

Applications

Unspecified application

Species

Unspecified reactive species

Moh Nailul Fahmi,Fitriyadi Kusuma,Tantri Hellyanti,Aria Kekalih,Sri Mutya Sekarutami,Laila Nurrana,Gatot Purwoto,Tricia Dewi Anggraeni

Oncology letters 19:965-971 PubMed31897209

2020

Identification and chemoresistance of cancer stem cells in HPV-negative oropharyngeal cancer.

Applications

Unspecified application

Species

Unspecified reactive species

Mehmet Gunduz,Esra Gunduz,Shunji Tamagawa,Keisuke Enomoto,Muneki Hotomi

Molecular oncology 12:423-440 PubMed29316250

2018

Dual inhibition of Wnt and Yes-associated protein signaling retards the growth of triple-negative breast cancer in both mesenchymal and epithelial states.

Applications

WB

Species

Unspecified reactive species

Andrew Sulaiman,Sarah McGarry,Li Li,Deyong Jia,Sarah Ooi,Christina Addison,Jim Dimitroulakos,Angel Arnaout,Carolyn Nessim,Zemin Yao,Guang Ji,Haiyan Song,Suresh Gadde,Xuguang Li,Lisheng Wang

Cell death & disease 8:e2932 PubMed28703802

2017

An autocrine inflammatory forward-feedback loop after chemotherapy withdrawal facilitates the repopulation of drug-resistant breast cancer cells.

Applications

Unspecified application

Species

Unspecified reactive species

Deyong Jia,Li Li,Sulaiman Andrew,David Allan,Xuguang Li,Jonathan Lee,Guang Ji,Zemin Yao,Suresh Gadde,Danial Figeys,Lisheng Wang

Scientific reports 6:27878 PubMed27292183

2016

Aldh1 Expression and Activity Increase During Tumor Evolution in Sarcoma Cancer Stem Cell Populations.

Applications

IF, WB

Species

Unspecified reactive species, Unspecified reactive species

Lucia Martinez-Cruzado,Juan Tornin,Laura Santos,Aida Rodriguez,Javier García-Castro,Francisco Morís,Rene Rodriguez

Oncotarget 7:771-85 PubMed26506421

2015

Cardamonin reduces chemotherapy-enriched breast cancer stem-like cells in vitro and in vivo.

Applications

WB

Species

Unspecified reactive species

Deyong Jia,Yuan Tan,Huijuan Liu,Sarah Ooi,Li Li,Kathryn Wright,Steffany Bennett,Christina L Addison,Lisheng Wang
View all publications

Product promise

We are committed to supporting your work with high-quality reagents, and we're here for you every step of the way. In the unlikely event that one of our products does not perform as expected, you're protected by our Product Promise.
For full details, please see our Terms & Conditions

Please note: All products are 'FOR RESEARCH USE ONLY. NOT FOR USE IN DIAGNOSTIC OR THERAPEUTIC PROCEDURES'.

For licensing inquiries, please contact partnerships@abcam.com