JavaScript is disabled in your browser. Please enable JavaScript to view this website.
AB131068

Anti-ALDH1A1 antibody

Be the first to review this product! Submit a review

|

(4 Publications)

Rabbit Polyclonal ALDH1A1 antibody. Suitable for IHC-P, WB and reacts with Human, Rat, Mouse samples. Cited in 4 publications. Immunogen corresponding to Synthetic Peptide within Human ALDH1A1.

View Alternative Names

ALDC, ALDH1, PUMB1, ALDH1A1, Aldehyde dehydrogenase 1A1, 3-deoxyglucosone dehydrogenase, ALDH-E1, ALHDII, Aldehyde dehydrogenase family 1 member A1, Retinal dehydrogenase 1, RALDH 1, RalDH1

2 Images
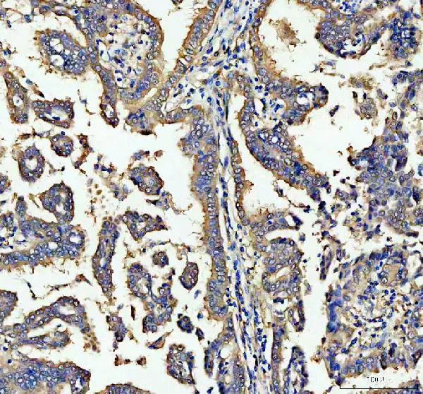
Immunohistochemistry (Formalin/PFA-fixed paraffin-embedded sections) - Anti-ALDH1A1 antibody (AB131068)
  • IHC-P

Supplier Data

Immunohistochemistry (Formalin/PFA-fixed paraffin-embedded sections) - Anti-ALDH1A1 antibody (AB131068)

Immunohistochemical analysis of paraffin-embedded Human lung cancer tissue labeling ALDH1A1 with ab131068 at 2 μg/ml. Heat mediated antigen retrieval was performed in EDTA buffer (pH 8.0, epitope retrieval solution). The tissue section was blocked with 10% goat serum. Peroxidase Conjugated Goat Anti-rabbit IgG was used as secondary antibody and incubated for 30 minutes at 37°C. The tissue section was developed using a HRP Conjugated Rabbit IgG assay kit with DAB as the chromogen.

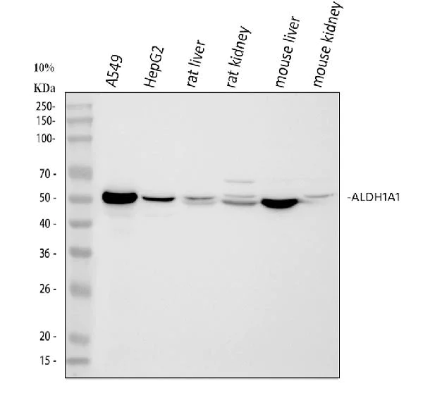
Western blot - Anti-ALDH1A1 antibody (AB131068)
  • WB

Supplier Data

Western blot - Anti-ALDH1A1 antibody (AB131068)

Blocking buffer : 5% non-fat milk/TBS.

All lanes:

Western blot - Anti-ALDH1A1 antibody (ab131068) at 0.5 µg/mL

Lane 1:

Human A549 whole cell lysates at 30 µg

Lane 2:

Human HepG2 whole cell lysates at 30 µg

Lane 3:

Rat liver tissue lysates at 30 µg

Lane 4:

Rat kidney tissue lysates at 30 µg

Lane 5:

Mouse liver tissue lysates at 30 µg

Lane 6:

Mouse kidney tissue lysates at 30 µg

Secondary

All lanes:

Goat anti-rabbit IgG-HRP secondary antibody at 1/5000 dilution

false

Key facts

Host species

Rabbit

Clonality

Polyclonal

Isotype

IgG

Carrier free

No

Reacts with

Mouse, Rat, Human

Applications

WB, IHC-P

applications

Immunogen

Synthetic Peptide within Human ALDH1A1. The exact immunogen used to generate this antibody is proprietary information.

P00352

Reactivity data

{ "title": "Reactivity Data", "filters": { "stats": ["", "Species", "Dilution Info", "Notes"], "tabs": { "all-applications": {"fullname" : "All Applications", "shortname": "All Applications"}, "IHCP" : {"fullname" : "Immunohistochemistry (Formalin/PFA-fixed paraffin-embedded sections)", "shortname":"IHC-P"}, "WB" : {"fullname" : "Western blot", "shortname":"WB"} }, "product-promise": { "all": "all", "testedAndGuaranteed": "tested", "guaranteed": "expected", "predicted": "predicted", "notRecommended": "not-recommended" } }, "values": { "Human": { "IHCP-species-checked": "testedAndGuaranteed", "IHCP-species-dilution-info": "0.5-1 µg/mL", "IHCP-species-notes": "<p></p> Perform heat-mediated antigen retrieval before commencing with IHC staining protocol.", "WB-species-checked": "testedAndGuaranteed", "WB-species-dilution-info": "0.1-0.5 µg/mL", "WB-species-notes": "<p></p>" }, "Mouse": { "IHCP-species-checked": "guaranteed", "IHCP-species-dilution-info": "", "IHCP-species-notes": "", "WB-species-checked": "testedAndGuaranteed", "WB-species-dilution-info": "0.1-0.5 µg/mL", "WB-species-notes": "<p></p>" }, "Rat": { "IHCP-species-checked": "guaranteed", "IHCP-species-dilution-info": "", "IHCP-species-notes": "", "WB-species-checked": "testedAndGuaranteed", "WB-species-dilution-info": "0.1-0.5 µg/mL", "WB-species-notes": "<p></p>" } } }

Properties and storage information

Form
Liquid
Purification technique
Affinity purification Immunogen
Storage buffer
Constituents: 76.92% Trehalose, 17.31% Sodium chloride, 3.85% Disodium hydrogenorthophosphate
Shipped at conditions
Blue Ice
Appropriate short-term storage duration
1-2 weeks
Appropriate short-term storage conditions
+4°C
Appropriate long-term storage conditions
-20°C
Aliquoting information
Upon delivery aliquot

Supplementary information

This supplementary information is collated from multiple sources and compiled automatically.

ALDH1A1 also known as aldehyde dehydrogenase 1 family member A1 is an enzyme with a molecular weight of approximately 54 kDa. It functions by catalyzing the irreversible oxidation of aldehydes to carboxylic acids which is an important step in detoxifying alcohol-derived acetaldehyde and other aldehydes. ALDH1A1 is expressed in various tissues including liver kidney and cornea. Its activity allows for maintaining cellular homeostasis by processing endogenous and exogenous aldehydes.
Biological function summary

ALDH1A1 plays significant roles in the biosynthesis of retinoic acid an important regulator of gene expression in developmental and adult processes. It does not form part of a larger enzyme complex but functions independently. The ALDH1A1 proteins contribute to the regulation of cell proliferation differentiation and survival. Researchers often measure its expression using methods like the ALDH1A1 ELISA which quantifies the protein levels in biological samples.

Pathways

The ALDH1A1 enzyme is notably implicated in the retinoid metabolism pathway and the detoxification of alcohol-derived aldehydes within the body. It is closely related to other members of the aldehyde dehydrogenase family including ALDH2 which shares similar detoxification functions. ALDH1A1’s role in retinoic acid production links it to gene expression pathways associated with cell differentiation and growth.

ALDH1A1 has associations with cancer and alcohol-induced liver disease. Its elevated expression in cancerous tissues often correlates with stem-cell like characteristics and chemoresistance. A connection exists between ALDH1A1 and ALDH2 in the context of alcohol metabolism where ALDH1A1's role in detoxifying acetaldehyde contributes to the lower risk of alcohol-induced damage. Studies explore ALDH1A1 antibodies and inhibitors as potential therapeutic approaches for these conditions.

Product protocols

For this product, it's our understanding that no specific protocols are required. You can visit:

Target data

Cytosolic dehydrogenase that catalyzes the irreversible oxidation of a wide range of aldehydes to their corresponding carboxylic acid (PubMed : 12941160, PubMed : 15623782, PubMed : 17175089, PubMed : 19296407, PubMed : 25450233, PubMed : 26373694). Functions downstream of retinol dehydrogenases and catalyzes the oxidation of retinaldehyde into retinoic acid, the second step in the oxidation of retinol/vitamin A into retinoic acid (By similarity). This pathway is crucial to control the levels of retinol and retinoic acid, two important molecules which excess can be teratogenic and cytotoxic (By similarity). Also oxidizes aldehydes resulting from lipid peroxidation like (E)-4-hydroxynon-2-enal/HNE, malonaldehyde and hexanal that form protein adducts and are highly cytotoxic. By participating for instance to the clearance of (E)-4-hydroxynon-2-enal/HNE in the lens epithelium prevents the formation of HNE-protein adducts and lens opacification (PubMed : 12941160, PubMed : 15623782, PubMed : 19296407). Functions also downstream of fructosamine-3-kinase in the fructosamine degradation pathway by catalyzing the oxidation of 3-deoxyglucosone, the carbohydrate product of fructosamine 3-phosphate decomposition, which is itself a potent glycating agent that may react with lysine and arginine side-chains of proteins (PubMed : 17175089). Has also an aminobutyraldehyde dehydrogenase activity and is probably part of an alternative pathway for the biosynthesis of GABA/4-aminobutanoate in midbrain, thereby playing a role in GABAergic synaptic transmission (By similarity).
See full target information ALDH1A1

Publications (4)

Recent publications for all applications. Explore the full list and refine your search

International journal of molecular medicine 56: PubMed41041859

2025

CENPU promotes tumorigenesis and stem cell properties in triple‑negative breast cancer by suppressing lysosomal furin degradation.

Applications

Unspecified application

Species

Unspecified reactive species

Shujuan Sun,Zhenyu Hou,Ling Qiang,Dongdong Zhou

Cell and tissue research 401:59-68 PubMed40323407

2025

Histopathological analysis of respiratory muscles in patients with acute COVID-19 infection.

Applications

Unspecified application

Species

Unspecified reactive species

Laura Steingruber,Simona Handtke,Franziska Schweiger,Stefan Schiele,Bruno Märkl,Marco Koch

Drug development research 85:e70032 PubMed39670965

2024

AEBP1 Silencing Protects Against Cerebral Ischemia/Reperfusion Injury by Regulating Neuron Ferroptosis and Microglia M2 Polarization Through PRKCA-PI3K-Akt Axis.

Applications

Unspecified application

Species

Unspecified reactive species

Yafen Zhang,Yan Li,Fengli Liu

National journal of maxillofacial surgery 13:208-215 PubMed36051794

2022

Expression of aldehyde dehydrogenase 1A1 in oral squamous cell carcinoma and its correlation with clinicopathological parameters.

Applications

Unspecified application

Species

Unspecified reactive species

Vaibhav Gupta,Malti Kumari Maurya,Preeti Agarwal,Madhu Kumar,Mala Sagar,Shivanjali Raghuvanshi,Sameer Gupta
View all publications

Product promise

We are committed to supporting your work with high-quality reagents, and we're here for you every step of the way. In the unlikely event that one of our products does not perform as expected, you're protected by our Product Promise.
For full details, please see our Terms & Conditions

Please note: All products are 'FOR RESEARCH USE ONLY. NOT FOR USE IN DIAGNOSTIC OR THERAPEUTIC PROCEDURES'.

For licensing inquiries, please contact partnerships@abcam.com