JavaScript is disabled in your browser. Please enable JavaScript to view this website.
AB215996

Anti-ALDH1A1 antibody [EP1933Y] - BSA and Azide free

1

(1 Review)

|

(26 Publications)

Rabbit Recombinant Monoclonal ALDH1A1 antibody. Carrier free. Suitable for ICC/IF, IP, WB, Flow Cyt (Intra), IHC-P and reacts with Human, Mouse samples. Cited in 26 publications.

View Alternative Names

ALDC, ALDH1, PUMB1, ALDH1A1, Aldehyde dehydrogenase 1A1, 3-deoxyglucosone dehydrogenase, ALDH-E1, ALHDII, Aldehyde dehydrogenase family 1 member A1, Retinal dehydrogenase 1, RALDH 1, RalDH1

13 Images
Flow Cytometry (Intracellular) - Anti-ALDH1A1 antibody [EP1933Y] - BSA and Azide free (AB215996)
  • Flow Cyt (Intra)

Unknown

Flow Cytometry (Intracellular) - Anti-ALDH1A1 antibody [EP1933Y] - BSA and Azide free (AB215996)

Overlay histogram showingHepG2 (Human liver hepatocellular carcinoma cell line) cells stained with ab52492 (unpurified) (red line).

The cells were fixed with 80% methanol (5 minutes) and then permeabilized with 0.1% PBS-Tween for 20 minutes. The cells were then incubated in 1x PBS / 10% normal goat serum / 0.3M glycine to block non-specific protein-protein interactions followed by the antibody (ab52492, 1/1000 dilution) for 30 minutes at 22°C. The secondary antibody used was Alexa Fluor® 488 goat anti-rabbit IgG (H&L) (ab150077) at 1/2000 dilution for 30 minutes at 22°C. Isotype control antibody (black line) was rabbit IgG (monoclonal) (0.1μg/1x106 cells) used under the same conditions. Unlabeled sample (blue line) was also used as a control.

Acquisition of >5,000 events were collected using a 20mW Argon ion laser (488nm) and 525/30 bandpass filter.

This data was developed using the same antibody clone in a different buffer formulation containing PBS, BSA, glycerol, and sodium azide (ab52492).

Immunohistochemistry (Formalin/PFA-fixed paraffin-embedded sections) - Anti-ALDH1A1 antibody [EP1933Y] - BSA and Azide free (AB215996)
  • IHC-P

Unknown

Immunohistochemistry (Formalin/PFA-fixed paraffin-embedded sections) - Anti-ALDH1A1 antibody [EP1933Y] - BSA and Azide free (AB215996)

Immunohistochemical analysis of paraffin-embedded human liver tissue sections labeling ALDH1A1 with ab52492 (unpurified) at 1/100 dilution.

This data was developed using the same antibody clone in a different buffer formulation containing PBS, BSA, glycerol, and sodium azide (ab52492).

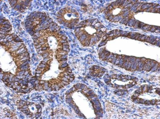
Immunohistochemistry (Formalin/PFA-fixed paraffin-embedded sections) - Anti-ALDH1A1 antibody [EP1933Y] - BSA and Azide free (AB215996)
  • IHC-P

Unknown

Immunohistochemistry (Formalin/PFA-fixed paraffin-embedded sections) - Anti-ALDH1A1 antibody [EP1933Y] - BSA and Azide free (AB215996)

Immunohistochemistry (Formalin/PFA-fixed paraffin-embedded sections) analysis of Human breast carcinoma tissue sections labeling ALDH1A1 with purified ab52492 at 1/50 dilution (3.54 μg/ml). Perform heat mediated antigen retrieval using ab93684 (Tris/EDTA buffer, pH 9.0). ImmunoHistoProbe one step HRP Polymer (ready to use) was used as the secondary antibody. Negative control : PBS instead of the primary antibody. Hematoxylin was used as a counterstain.

This data was developed using the same antibody clone in a different buffer formulation containing PBS, BSA, glycerol, and sodium azide (ab52492).

Flow Cytometry (Intracellular) - Anti-ALDH1A1 antibody [EP1933Y] - BSA and Azide free (AB215996)
  • Flow Cyt (Intra)

Unknown

Flow Cytometry (Intracellular) - Anti-ALDH1A1 antibody [EP1933Y] - BSA and Azide free (AB215996)

Intracellular Flow Cytometry analysis of HepG2 (Human hepatocellular carcinoma epithelial cell) cells labeling ALDH1A1 with purified ab52492 at 1/20 dilution (10μg/ml) (red). Cells were fixed with 4% Paraformaldehyde and permeabilised with 90% Methanol. A Goat anti rabbit IgG (Alexa Fluor® 488, ab150077) secondary antibody was used at 1/2000. Isotype control - Rabbit monoclonal IgG (Black). Unlabeled control - Cell without incubation with primary antibody and secondary antibody (Blue).

This data was developed using the same antibody clone in a different buffer formulation containing PBS, BSA, glycerol, and sodium azide (ab52492).

Immunohistochemistry (Formalin/PFA-fixed paraffin-embedded sections) - Anti-ALDH1A1 antibody [EP1933Y] - BSA and Azide free (AB215996)
  • IHC-P

Unknown

Immunohistochemistry (Formalin/PFA-fixed paraffin-embedded sections) - Anti-ALDH1A1 antibody [EP1933Y] - BSA and Azide free (AB215996)

Immunohistochemical analysis of Formalin/PFA-fixed paraffin-embedded normal human lung tissue sections labeling ALDH1A1 with ab52492 (unpurified).

This data was developed using the same antibody clone in a different buffer formulation containing PBS, BSA, glycerol, and sodium azide (ab52492).

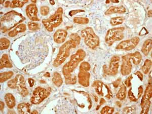
Immunohistochemistry (Formalin/PFA-fixed paraffin-embedded sections) - Anti-ALDH1A1 antibody [EP1933Y] - BSA and Azide free (AB215996)
  • IHC-P

Unknown

Immunohistochemistry (Formalin/PFA-fixed paraffin-embedded sections) - Anti-ALDH1A1 antibody [EP1933Y] - BSA and Azide free (AB215996)

Immunohistochemical analysis of Formalin/PFA-fixed paraffin-embedded normal human kidney tissue sections labeling ALDH1A1 with ab52492 (unpurified).

This data was developed using the same antibody clone in a different buffer formulation containing PBS, BSA, glycerol, and sodium azide (ab52492).

Immunohistochemistry (Formalin/PFA-fixed paraffin-embedded sections) - Anti-ALDH1A1 antibody [EP1933Y] - BSA and Azide free (AB215996)
  • IHC-P

Unknown

Immunohistochemistry (Formalin/PFA-fixed paraffin-embedded sections) - Anti-ALDH1A1 antibody [EP1933Y] - BSA and Azide free (AB215996)

Immunohistochemical analysis of Formalin/PFA-fixed paraffin-embedded normal human brain tissue sections labeling ALDH1A1 with ab52492 (unpurified).

This data was developed using the same antibody clone in a different buffer formulation containing PBS, BSA, glycerol, and sodium azide (ab52492).

Immunocytochemistry/ Immunofluorescence - Anti-ALDH1A1 antibody [EP1933Y] - BSA and Azide free (AB215996)
  • ICC/IF

Unknown

Immunocytochemistry/ Immunofluorescence - Anti-ALDH1A1 antibody [EP1933Y] - BSA and Azide free (AB215996)

Immunocytochemistry/ Immunofluorescence analysis of HepG2 (Human liver hepatocellular carcinoma cell line) cells labeling ALDH1A1 with ab52492 (purified) at 1/500 dilution (4 μg/ml).

Cells were fixed in 100% methanol. ab150077, an AlexaFluor®488 Goat anti-Rabbit secondary antibody was used at 1/1000 dilution (2 μg/ml). ab195889, Anti-alpha Tubulin antibody [DM1A] - Microtubule Marker (Alexa Fluor® 594) was used to counterstain at 1/200 dilution (2.5 μg/ml). DAPI was used as nuclear counterstain.

Confocal image showing cytoplasmic staining on HepG2 cell line.

Negative control : No staining on MCF-7 cell line.

This data was developed using the same antibody clone in a different buffer formulation containing PBS, BSA, glycerol, and sodium azide (ab52492).

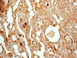
Immunohistochemistry (Formalin/PFA-fixed paraffin-embedded sections) - Anti-ALDH1A1 antibody [EP1933Y] - BSA and Azide free (AB215996)
  • IHC-P

PubMed

Immunohistochemistry (Formalin/PFA-fixed paraffin-embedded sections) - Anti-ALDH1A1 antibody [EP1933Y] - BSA and Azide free (AB215996)

Tumor tissues of primary invasive ductal carcinomas of the breast were obtained from 192 female patients with stage IIB and III prior to pre-operative neoadjuvant chemotherapy.

(progressive or stable disease, PD/SD)

(partial or complete remission, PR/CR)

The level of ALDH1 was tested by immunohistochemistry staining in paraffin-embedded tissue sections. Rabbit monoclonal ALDH1A1 antibody (ab52492, unpurified, Abcam) used at a 1 : 100 dilution.

This data was developed using the same antibody clone in a different buffer formulation containing PBS, BSA, glycerol, and sodium azide (ab52492).

Image from Gong et al PLoS One. 2010 Dec 20;5(12):e15630. doi: 10.1371/journal.pone.0015630. Fig 1.

Immunocytochemistry/ Immunofluorescence - Anti-ALDH1A1 antibody [EP1933Y] - BSA and Azide free (AB215996)
  • ICC/IF

Lab

Immunocytochemistry/ Immunofluorescence - Anti-ALDH1A1 antibody [EP1933Y] - BSA and Azide free (AB215996)

Clone EP1933Y (ab215996) has been successfully conjugated by Abcam. This image was generated using Anti-ALDH1A1 antibody [EP1933Y] (Alexa Fluor® 488). Please refer to ab195254 for protocol details.

ab195254 staining ALDH1A1 in MCF7 cells. The cells were fixed with 4% formaldehyde (10 min), permeabilised in 0.1% Triton X-100 for 5 minutes and then blocked in 1% BSA/10% normal goat serum/0.3M glycine in 0.1% PBS-Tween for 1h. The cells were then incubated with ab195254 at a working dilution of 1 in 100 (shown in green) and ab195889, Mouse monoclonal [DM1A] to alpha Tubulin (Alexa Fluor® 594, shown in red) at 2µg/ml overnight at +4°C. Nuclear DNA was labelled in blue with DAPI.

Image was taken with a confocal microscope (Leica-Microsystems, TCS SP8).

Flow Cytometry (Intracellular) - Anti-ALDH1A1 antibody [EP1933Y] - BSA and Azide free (AB215996)
  • Flow Cyt (Intra)

Lab

Flow Cytometry (Intracellular) - Anti-ALDH1A1 antibody [EP1933Y] - BSA and Azide free (AB215996)

Clone EP1933Y (ab215996) has been successfully conjugated by Abcam. This image was generated using Anti-ALDH1A1 antibody [EP1933Y] (PE). Please refer to ab209437 for protocol details.

Overlay histogram showing MCF7 cells stained with ab209437 (red line). The cells were fixed with 80% methanol (5 min) and then permeabilized with 0.1% PBS-Triton X-100 for 15 min at 22°C. The cells were then incubated in 1x PBS / 10% normal goat serum to block non-specific protein-protein interactions followed by the antibody (ab209437, 1/500 dilution) for 30 min at 22°C.

Isotype control antibody (black line) was rabbit IgG (monoclonal) Phycoerythrin (ab209478) used at the same concentration and conditions as the primary antibody. Unlabelled sample (blue line) was also used as a control.

Acquisition of >5,000 events were collected using a 50 mW Yellow/Green laser (561nm) and 586/15 bandpass filter.

Immunocytochemistry/ Immunofluorescence - Anti-ALDH1A1 antibody [EP1933Y] - BSA and Azide free (AB215996)
  • ICC/IF

Lab

Immunocytochemistry/ Immunofluorescence - Anti-ALDH1A1 antibody [EP1933Y] - BSA and Azide free (AB215996)

Clone EP1933Y (ab215996) has been successfully conjugated by Abcam. This image was generated using Anti-ALDH1A1 antibody [EP1933Y] (Alexa Fluor® 647). Please refer to ab195255 for protocol details.

ab195255 staining ALDH1A1 in MCF7 cells. The cells were fixed with 4% formaldehyde (10 min), permeabilized in 0.1% Triton X-100 for 5 minutes and then blocked in 1% BSA/10% normal goat serum/0.3M glycine in 0.1% PBS-Tween for 1h. The cells were then incubated with ab195255 at a working dilution of 1 in 50 (shown in red) and ab195887, Mouse monoclonal [DM1A] to alpha Tubulin (Alexa Fluor® 488, shown in green) at 2µg/ml overnight at +4°C. Nuclear DNA was labelled in blue with DAPI.

Image was taken with a confocal microscope (Leica-Microsystems, TCS SP8).

Immunoprecipitation - Anti-ALDH1A1 antibody [EP1933Y] - BSA and Azide free (AB215996)
  • IP

Unknown

Immunoprecipitation - Anti-ALDH1A1 antibody [EP1933Y] - BSA and Azide free (AB215996)

ab52492 (purified) at 1/20 dilution (2ug) immunoprecipitating ALDH1A1 in HepG2 whole cell lysates.
Lane 1 : HepG2 (Human hepatocellular carcinoma epithelial cell) whole cell lysates 10ug
Lane 2 (+) : ab52492 & HepG2 whole cell lysates
Lane 3 (-) : Rabbit monoclonal IgG (ab172730) instead of ab52492 in HepG2 whole cell lysates
For western blotting, VeriBlot for IP Detection Reagent (HRP) (ab131366) was used at 1/1000 dilution.
Blocking and diluting buffer : 5% NFDM/TBST.

This data was developed using the same antibody clone in a different buffer formulation containing PBS, BSA, glycerol, and sodium azide (ab52492).

All lanes:

Immunoprecipitation - Anti-ALDH1A1 antibody [EP1933Y] - C-terminal (<a href='/en-us/products/primary-antibodies/aldh1a1-antibody-ep1933y-c-terminal-ab52492'>ab52492</a>)

Predicted band size: 54 kDa

false

  • Unconjugated

    Anti-ALDH1A1 antibody [EP1933Y] - C-terminal

  • 578 PE

    PE Anti-ALDH1A1 antibody [EP1933Y]

  • HRP

    HRP Anti-ALDH1A1 antibody [EP1933Y]

  • 617 Alexa Fluor® 594

    Alexa Fluor® 594 Anti-ALDH1A1 antibody [EP1933Y]

  • 519 Alexa Fluor® 488

    Alexa Fluor® 488 Anti-ALDH1A1 antibody [EP1933Y]

  • 665 Alexa Fluor® 647

    Alexa Fluor® 647 Anti-ALDH1A1 antibody [EP1933Y]

Key facts

Host species

Rabbit

Clonality

Monoclonal

Clone number

EP1933Y

Isotype

IgG

Carrier free

Yes

Reacts with

Mouse, Human

Applications

ICC/IF, WB, IP, Flow Cyt (Intra), IHC-P

applications

Immunogen

The exact immunogen used to generate this antibody is proprietary information.

Specificity

The mouse recommendation is based on the WB results. We do not guarantee IHC-P for mouse.

Reactivity data

{ "title": "Reactivity Data", "filters": { "stats": ["", "Species", "Dilution Info", "Notes"], "tabs": { "all-applications": {"fullname" : "All Applications", "shortname": "All Applications"}, "ICCIF" : {"fullname" : "Immunocytochemistry/ Immunofluorescence", "shortname":"ICC/IF"}, "IP" : {"fullname" : "Immunoprecipitation", "shortname":"IP"}, "WB" : {"fullname" : "Western blot", "shortname":"WB"}, "FlowCytIntra" : {"fullname" : "Flow Cytometry (Intracellular)", "shortname":"Flow Cyt (Intra)"}, "IHCP" : {"fullname" : "Immunohistochemistry (Formalin/PFA-fixed paraffin-embedded sections)", "shortname":"IHC-P"} }, "product-promise": { "all": "all", "testedAndGuaranteed": "tested", "guaranteed": "expected", "predicted": "predicted", "notRecommended": "not-recommended" } }, "values": { "Human": { "ICCIF-species-checked": "testedAndGuaranteed", "ICCIF-species-dilution-info": "", "ICCIF-species-notes": "<p></p>", "IP-species-checked": "testedAndGuaranteed", "IP-species-dilution-info": "", "IP-species-notes": "<p></p>", "WB-species-checked": "testedAndGuaranteed", "WB-species-dilution-info": "", "WB-species-notes": "<p></p>", "FlowCytIntra-species-checked": "testedAndGuaranteed", "FlowCytIntra-species-dilution-info": "", "FlowCytIntra-species-notes": "<p><a href='/en-us/products/primary-antibodies/rabbit-igg-monoclonal-epr25a-isotype-control-low-endotoxin-azide-free-ab199376'>ab199376</a> - Rabbit monoclonal IgG, is suitable for use as an isotype control with this antibody.</p>", "IHCP-species-checked": "testedAndGuaranteed", "IHCP-species-dilution-info": "", "IHCP-species-notes": "<p>The mouse recommendation is based on the WB results. We do not guarantee IHC-P for mouse.</p>" }, "Mouse": { "ICCIF-species-checked": "guaranteed", "ICCIF-species-dilution-info": "", "ICCIF-species-notes": "", "IP-species-checked": "guaranteed", "IP-species-dilution-info": "", "IP-species-notes": "", "WB-species-checked": "testedAndGuaranteed", "WB-species-dilution-info": "", "WB-species-notes": "<p></p>", "FlowCytIntra-species-checked": "guaranteed", "FlowCytIntra-species-dilution-info": "", "FlowCytIntra-species-notes": "", "IHCP-species-checked": "guaranteed", "IHCP-species-dilution-info": "", "IHCP-species-notes": "" } } }

Product details

ab215996 is the carrier-free version of ab52492.

Patented technology
Our RabMAb® technology is a patented hybridoma-based technology for making rabbit monoclonal antibodies. For details on our patents, please refer to RabMAb® patents.

What are the advantages of a recombinant monoclonal antibody?
This product is a recombinant monoclonal antibody, which offers several advantages including:

  • - High batch-to-batch consistency and reproducibility
  • - Improved sensitivity and specificity
  • - Long-term security of supply
  • - Animal-free batch production

For more information, read more on recombinant antibodies.

Species reactivity
Rat: We have preliminary internal testing data to indicate this antibody may not react with this species.
Please contact us for more information.

Conjugation ready
Our carrier-free antibodies are typically supplied in a PBS-only formulation, purified and free of BSA, sodium azide and glycerol. This conjugation-ready format is designed for use with fluorochromes, metal isotopes, oligonucleotides, and enzymes, which makes them ideal for antibody labelling, functional and cell-based assays, flow-based assays (e.g. mass cytometry) and Multiplex Imaging applications.

Use our conjugation kits for antibody conjugates that are ready-to-use in as little as 20 minutes with 1 minute hands-on-time and 100% antibody recovery: available for fluorescent dyes, HRP, biotin and gold.

Compatibility
This product is compatible with the Maxpar® Antibody Labeling Kit from Fluidigm, without the need for antibody preparation. Maxpar® is a trademark of Fluidigm Canada Inc.

Properties and storage information

Form
Liquid
Purification technique
Affinity purification Protein A
Storage buffer
pH: 7.2 - 7.4 Constituents: PBS
Shipped at conditions
Blue Ice
Appropriate short-term storage conditions
+4°C
Appropriate long-term storage conditions
+4°C
Storage information
Do Not Freeze

Supplementary information

This supplementary information is collated from multiple sources and compiled automatically.

ALDH1A1 also known as aldehyde dehydrogenase 1 family member A1 is an enzyme with a molecular weight of approximately 54 kDa. It functions by catalyzing the irreversible oxidation of aldehydes to carboxylic acids which is an important step in detoxifying alcohol-derived acetaldehyde and other aldehydes. ALDH1A1 is expressed in various tissues including liver kidney and cornea. Its activity allows for maintaining cellular homeostasis by processing endogenous and exogenous aldehydes.
Biological function summary

ALDH1A1 plays significant roles in the biosynthesis of retinoic acid an important regulator of gene expression in developmental and adult processes. It does not form part of a larger enzyme complex but functions independently. The ALDH1A1 proteins contribute to the regulation of cell proliferation differentiation and survival. Researchers often measure its expression using methods like the ALDH1A1 ELISA which quantifies the protein levels in biological samples.

Pathways

The ALDH1A1 enzyme is notably implicated in the retinoid metabolism pathway and the detoxification of alcohol-derived aldehydes within the body. It is closely related to other members of the aldehyde dehydrogenase family including ALDH2 which shares similar detoxification functions. ALDH1A1’s role in retinoic acid production links it to gene expression pathways associated with cell differentiation and growth.

ALDH1A1 has associations with cancer and alcohol-induced liver disease. Its elevated expression in cancerous tissues often correlates with stem-cell like characteristics and chemoresistance. A connection exists between ALDH1A1 and ALDH2 in the context of alcohol metabolism where ALDH1A1's role in detoxifying acetaldehyde contributes to the lower risk of alcohol-induced damage. Studies explore ALDH1A1 antibodies and inhibitors as potential therapeutic approaches for these conditions.

Product protocols

For this product, it's our understanding that no specific protocols are required. You can visit:

Target data

Cytosolic dehydrogenase that catalyzes the irreversible oxidation of a wide range of aldehydes to their corresponding carboxylic acid (PubMed : 12941160, PubMed : 15623782, PubMed : 17175089, PubMed : 19296407, PubMed : 25450233, PubMed : 26373694). Functions downstream of retinol dehydrogenases and catalyzes the oxidation of retinaldehyde into retinoic acid, the second step in the oxidation of retinol/vitamin A into retinoic acid (By similarity). This pathway is crucial to control the levels of retinol and retinoic acid, two important molecules which excess can be teratogenic and cytotoxic (By similarity). Also oxidizes aldehydes resulting from lipid peroxidation like (E)-4-hydroxynon-2-enal/HNE, malonaldehyde and hexanal that form protein adducts and are highly cytotoxic. By participating for instance to the clearance of (E)-4-hydroxynon-2-enal/HNE in the lens epithelium prevents the formation of HNE-protein adducts and lens opacification (PubMed : 12941160, PubMed : 15623782, PubMed : 19296407). Functions also downstream of fructosamine-3-kinase in the fructosamine degradation pathway by catalyzing the oxidation of 3-deoxyglucosone, the carbohydrate product of fructosamine 3-phosphate decomposition, which is itself a potent glycating agent that may react with lysine and arginine side-chains of proteins (PubMed : 17175089). Has also an aminobutyraldehyde dehydrogenase activity and is probably part of an alternative pathway for the biosynthesis of GABA/4-aminobutanoate in midbrain, thereby playing a role in GABAergic synaptic transmission (By similarity).
See full target information ALDH1A1

Publications (26)

Recent publications for all applications. Explore the full list and refine your search

OncoTargets and therapy 13:7467-7477 PubMed32801769

2020

miR-96-5p Suppresses the Progression of Nasopharyngeal Carcinoma by Targeting CDK1.

Applications

Unspecified application

Species

Unspecified reactive species

Xiaoqin Luo,Xian He,Xing Liu,Lunkun Zhong,Wenjian Hu

American journal of cancer research 10:939-952 PubMed32266101

2020

Ligustrazine reverts anthracycline chemotherapy resistance of human breast cancer by inhibiting JAK2/STAT3 signaling and decreasing fibrinogen gamma chain (FGG) expression.

Applications

Unspecified application

Species

Unspecified reactive species

Yu-Lin Liu,Ze-Xuan Yan,Yu Xia,Xiao-Ye Xie,Kai Zhou,Li-Li Xu,Yan-Long Shi,Qiang Wang,Jing-Wang Bi

BMC cancer 15:811 PubMed26506848

2015

Stem cell protein Piwil1 endowed endometrial cancer cells with stem-like properties via inducing epithelial-mesenchymal transition.

Applications

IHC

Species

Unspecified reactive species

Zheng Chen,Qi Che,Xiaoying He,Fangyuan Wang,Huihui Wang,Minjiao Zhu,Jing Sun,Xiaoping Wan

Oncogene 35:2485-95 PubMed26279302

2015

Lunatic Fringe is a potent tumor suppressor in Kras-initiated pancreatic cancer.

Applications

Unspecified application

Species

Unspecified reactive species

S Zhang,W-C Chung,K Xu

Scientific reports 5:10839 PubMed26039975

2015

Low-glucose enhances keratocyte-characteristic phenotype from corneal stromal cells in serum-free conditions.

Applications

ICC/IF

Species

Human

James W Foster,Ricardo M Gouveia,Che J Connon

BMC cancer 14:705 PubMed25253129

2014

ALDH1A1 overexpression is associated with the progression and prognosis in gastric cancer.

Applications

IHC-P

Species

Human

Xiao-shan Li,Qing Xu,Xiang-yang Fu,Wei-sheng Luo

BMC cancer 14:687 PubMed25240521

2014

Immunohistochemical analysis of cancer stem cell markers in pancreatic adenocarcinoma patients after neoadjuvant chemoradiotherapy.

Applications

IHC-P

Species

Human

Tatsuzo Mizukami,Hirofumi Kamachi,Tomoko Mitsuhashi,Yosuke Tsuruga,Yutaka Hatanaka,Toshiya Kamiyama,Yoshihiro Matsuno,Akinobu Taketomi

Frontiers in cellular neuroscience 8:275 PubMed25249938

2014

Transcription factors Foxa1 and Foxa2 are required for adult dopamine neurons maintenance.

Applications

IHC-P

Species

Mouse

Andrii Domanskyi,Heike Alter,Miriam A Vogt,Peter Gass,Ilya A Vinnikov

Oncogene 34:2297-308 PubMed24954508

2014

β-Catenin-regulated ALDH1A1 is a target in ovarian cancer spheroids.

Applications

Unspecified application

Species

Unspecified reactive species

S Condello,C A Morgan,S Nagdas,L Cao,J Turek,T D Hurley,D Matei

Anticancer research 34:1427-34 PubMed24596390

2014

Co-expression of stem cell markers ALDH1 and CD44 in non-malignant and neoplastic lesions of the breast.

Applications

IHC-P

Species

Human

Arnaud DA Cruz Paula,Oriana Marques,Ana Margarida Rosa,Maria DE Fátima Faria,Alexandra Rêma,Carlos Lopes
View all publications

Product promise

We are committed to supporting your work with high-quality reagents, and we're here for you every step of the way. In the unlikely event that one of our products does not perform as expected, you're protected by our Product Promise.
For full details, please see our Terms & Conditions

Please note: All products are 'FOR RESEARCH USE ONLY. NOT FOR USE IN DIAGNOSTIC OR THERAPEUTIC PROCEDURES'.

For licensing inquiries, please contact partnerships@abcam.com