JavaScript is disabled in your browser. Please enable JavaScript to view this website.
AB177463

Anti-ALDH1L1 + ALDH1L2 antibody [EPR12743(B)] - Astrocyte Marker

5

(1 Review)

|

(17 Publications)

Rabbit Recombinant Monoclonal ALDH1L1 antibody. Astrocyte marker. Suitable for IHC-P, WB, IHC-Fr and reacts with Human, Mouse, Rat samples. Cited in 17 publications.

View Alternative Names

FTHFD, ALDH1L1, Cytosolic 10-formyltetrahydrofolate dehydrogenase, 10-FTHFDH, FDH, Aldehyde dehydrogenase family 1 member L1, Mitochondrial 10-formyltetrahydrofolate dehydrogenase, Mitochondrial 10-FTHFDH, mtFDH, Aldehyde dehydrogenase family 1 member L2, ALDH1L2

7 Images
Immunohistochemistry (Formalin/PFA-fixed paraffin-embedded sections) - Anti-ALDH1L1 + ALDH1L2 antibody [EPR12743(B)] - Astrocyte Marker (AB177463)
  • IHC-P

Supplier Data

Immunohistochemistry (Formalin/PFA-fixed paraffin-embedded sections) - Anti-ALDH1L1 + ALDH1L2 antibody [EPR12743(B)] - Astrocyte Marker (AB177463)

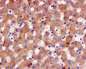
Immunohistochemical analysis of paraffin-embedded Human liver tissue labeling ALDH1L1 with ab177463 at 1/50 dilution. Antigen retrieval was heat mediated with citrate buffer pH 6 before commencing with IHC staining protocol.

Immunohistochemistry (Formalin/PFA-fixed paraffin-embedded sections) - Anti-ALDH1L1 + ALDH1L2 antibody [EPR12743(B)] - Astrocyte Marker (AB177463)
  • IHC-P

Supplier Data

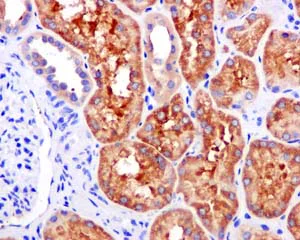
Immunohistochemistry (Formalin/PFA-fixed paraffin-embedded sections) - Anti-ALDH1L1 + ALDH1L2 antibody [EPR12743(B)] - Astrocyte Marker (AB177463)

Immunohistochemical analysis of paraffin-embedded Human kidney tissue labeling ALDH1L1 with ab177463 at 1/50 dilution. Antigen retrieval was heat mediated with citrate buffer pH 6 before commencing with IHC staining protocol.

Immunohistochemistry (Frozen sections) - Anti-ALDH1L1 + ALDH1L2 antibody [EPR12743(B)] - Astrocyte Marker (AB177463)
  • IHC-Fr

Lab

Immunohistochemistry (Frozen sections) - Anti-ALDH1L1 + ALDH1L2 antibody [EPR12743(B)] - Astrocyte Marker (AB177463)

Immunohistochemistry (Frozen sections) analysis of mouse liver tissue labeling ALDH1L1 with ab177463 at 1/100 dilution. Tissue was fixed with 4% PFA and permeabilised with 0.2% Triton X-100. ab150077, Goat Anti-Rabbit IgG H&L (Alexa Fluor® 488) at 1/1000 dilution was used as the secondary antibody. DAPI (blue) was used as nuclear counterstain. Antigen retrieval was heat mediated using sodium citrate buffer (10mM citrate pH 6.0 + 0.05% Tween-20).

Cytoplasmic staining on mouse liver.

Immunohistochemistry (Frozen sections) - Anti-ALDH1L1 + ALDH1L2 antibody [EPR12743(B)] - Astrocyte Marker (AB177463)
  • IHC-Fr

Lab

Immunohistochemistry (Frozen sections) - Anti-ALDH1L1 + ALDH1L2 antibody [EPR12743(B)] - Astrocyte Marker (AB177463)

Immunohistochemistry (Frozen sections) analysis of rat liver tissue labeling ALDH1L1 with ab177463 at 1/100 dilution. Tissue was fixed with 4% PFA and permeabilised with 0.2% Triton X-100. ab150077, Goat Anti-Rabbit IgG H&L (Alexa Fluor® 488) at 1/1000 dilution was used as the secondary antibody. DAPI (blue) was used as nucleare counterstain. Antigen retrieval was heat mediated using sodium citrate buffer (10mM citrate pH 6.0 + 0.05% Tween-20).

Cytoplasmic staining on rat liver.

Western blot - Anti-ALDH1L1 + ALDH1L2 antibody [EPR12743(B)] - Astrocyte Marker (AB177463)
  • WB

Supplier Data

Western blot - Anti-ALDH1L1 + ALDH1L2 antibody [EPR12743(B)] - Astrocyte Marker (AB177463)

All lanes:

Western blot - Anti-ALDH1L1 + ALDH1L2 antibody [EPR12743(B)] - Astrocyte Marker (ab177463) at 1/1000 dilution

Lane 1:

HepG2 lysate at 10 µg

Lane 2:

293T cell lysate at 10 µg

Lane 3:

Fetal brain lysate at 10 µg

Lane 4:

Fetal kidney lysate at 10 µg

Lane 5:

Fetal liver lysate at 10 µg

Secondary

All lanes:

Goat-anti-rabbit HRP at 1/2000 dilution

Predicted band size: 99 kDa

true

Western blot - Anti-ALDH1L1 + ALDH1L2 antibody [EPR12743(B)] - Astrocyte Marker (AB177463)
  • WB

Supplier Data

Western blot - Anti-ALDH1L1 + ALDH1L2 antibody [EPR12743(B)] - Astrocyte Marker (AB177463)

All lanes:

Western blot - Anti-ALDH1L1 + ALDH1L2 antibody [EPR12743(B)] - Astrocyte Marker (ab177463) at 1/1000 dilution

Lane 1:

Fetal liver lysate at 10 µg

Lane 2:

1X PBS (negative control)

Secondary

All lanes:

Goat-anti-rabbit HRP at 1/2000 dilution

Predicted band size: 99 kDa

true

Western blot - Anti-ALDH1L1 + ALDH1L2 antibody [EPR12743(B)] - Astrocyte Marker (AB177463)
  • WB

Lab

Western blot - Anti-ALDH1L1 + ALDH1L2 antibody [EPR12743(B)] - Astrocyte Marker (AB177463)

Blocking/Diluting buffer and concentration : 5% NFDM/TBST

Lanes 1 - 2:

Western blot - Anti-ALDH1L1 + ALDH1L2 antibody [EPR12743(B)] - Astrocyte Marker (ab177463) at 1/1000 dilution

Lanes 1 - 2:

Western blot - Anti-ALDH1L1 + ALDH1L2 antibody [EPR12743(B)] - BSA and Azide free (<a href='/en-us/products/primary-antibodies/aldh1l1-aldh1l2-antibody-epr12743b-bsa-and-azide-free-ab233016'>ab233016</a>)

Lane 1:

His-tagged mouse ALDH1L1 fragment recombinant protein (aa162-366) at 10 ng

Lane 2:

His-tagged mouse ALDH1L2 fragment recombinant protein (aa184-387) at 10 ng

Secondary

All lanes:

Western blot - Goat Anti-Rabbit IgG H&L (HRP) (<a href='/en-us/products/secondary-antibodies/goat-rabbit-igg-h-l-hrp-ab97051'>ab97051</a>) at 1/20000 dilution

Observed band size: 25 kDa

false

Exposure time: 20s

  • 775 Alexa Fluor® 750

    Alexa Fluor® 750 Anti-ALDH1L1 + ALDH1L2 antibody [EPR12743(B)] - Astrocyte Marker

  • 617 Alexa Fluor® 594

    Alexa Fluor® 594 Anti-ALDH1L1 + ALDH1L2 antibody [EPR12743(B)]

  • 665 Alexa Fluor® 647

    Alexa Fluor® 647 Anti-ALDH1L1 + ALDH1L2 antibody [EPR12743(B)] - Astrocyte Marker

  • Carrier free

    Anti-ALDH1L1 + ALDH1L2 antibody [EPR12743(B)] - BSA and Azide free

  • 603 Alexa Fluor® 568

    Alexa Fluor® 568 Anti-ALDH1L1 + ALDH1L2 antibody [EPR12743(B)] - Astrocyte Marker

  • 565 Alexa Fluor® 555

    Alexa Fluor® 555 Anti-ALDH1L1 antibody [EPR12743(B)] - Astrocyte Marker

Key facts

Host species

Rabbit

Clonality

Monoclonal

Clone number

EPR12743(B)

Isotype

IgG

Carrier free

No

Reacts with

Mouse, Rat, Human

Applications

IHC-P, IHC-Fr, WB

applications

Immunogen

The exact immunogen used to generate this antibody is proprietary information.

Reactivity data

{ "title": "Reactivity Data", "filters": { "stats": ["", "Species", "Dilution Info", "Notes"], "tabs": { "all-applications": {"fullname" : "All Applications", "shortname": "All Applications"}, "IHCP" : {"fullname" : "Immunohistochemistry (Formalin/PFA-fixed paraffin-embedded sections)", "shortname":"IHC-P"}, "FlowCyt" : {"fullname" : "Flow Cytometry", "shortname":"Flow Cyt"}, "WB" : {"fullname" : "Western blot", "shortname":"WB"}, "ICCIF" : {"fullname" : "Immunocytochemistry/ Immunofluorescence", "shortname":"ICC/IF"}, "IHCFr" : {"fullname" : "Immunohistochemistry (Frozen sections)", "shortname":"IHC-Fr"} }, "product-promise": { "all": "all", "testedAndGuaranteed": "tested", "guaranteed": "expected", "predicted": "predicted", "notRecommended": "not-recommended" } }, "values": { "Human": { "IHCP-species-checked": "testedAndGuaranteed", "IHCP-species-dilution-info": "1/50 - 1/100", "IHCP-species-notes": "<p></p>", "FlowCyt-species-checked": "notRecommended", "FlowCyt-species-dilution-info": "", "FlowCyt-species-notes": "<p></p>", "WB-species-checked": "testedAndGuaranteed", "WB-species-dilution-info": "1/1000 - 1/10000", "WB-species-notes": "<p></p>", "ICCIF-species-checked": "notRecommended", "ICCIF-species-dilution-info": "", "ICCIF-species-notes": "<p></p>", "IHCFr-species-checked": "guaranteed", "IHCFr-species-dilution-info": "", "IHCFr-species-notes": "" }, "Mouse": { "IHCP-species-checked": "guaranteed", "IHCP-species-dilution-info": "", "IHCP-species-notes": "", "FlowCyt-species-checked": "notRecommended", "FlowCyt-species-dilution-info": "", "FlowCyt-species-notes": "<p></p>", "WB-species-checked": "guaranteed", "WB-species-dilution-info": "", "WB-species-notes": "", "ICCIF-species-checked": "notRecommended", "ICCIF-species-dilution-info": "", "ICCIF-species-notes": "<p></p>", "IHCFr-species-checked": "testedAndGuaranteed", "IHCFr-species-dilution-info": "1/100", "IHCFr-species-notes": "<p></p>" }, "Rat": { "IHCP-species-checked": "guaranteed", "IHCP-species-dilution-info": "", "IHCP-species-notes": "", "FlowCyt-species-checked": "notRecommended", "FlowCyt-species-dilution-info": "", "FlowCyt-species-notes": "<p></p>", "WB-species-checked": "guaranteed", "WB-species-dilution-info": "", "WB-species-notes": "", "ICCIF-species-checked": "notRecommended", "ICCIF-species-dilution-info": "", "ICCIF-species-notes": "", "IHCFr-species-checked": "testedAndGuaranteed", "IHCFr-species-dilution-info": "1/100", "IHCFr-species-notes": "<p></p>" } } }

Product details

Patented technology
Our RabMAb® technology is a patented hybridoma-based technology for making rabbit monoclonal antibodies. For details on our patents, please refer to RabMAb® patents.

What are the advantages of a recombinant monoclonal antibody?
This product is a recombinant monoclonal antibody, which offers several advantages including:

  • - High batch-to-batch consistency and reproducibility
  • - Improved sensitivity and specificity
  • - Long-term security of supply
  • - Animal-free batch production

For more information, read more on recombinant antibodies.

Properties and storage information

Form
Liquid
Purification technique
Affinity purification Protein A
Storage buffer
pH: 7.2 - 7.4 Preservative: 0.01% Sodium azide Constituents: PBS, 50% Tissue culture supernatant, 40% Glycerol (glycerin, glycerine), 0.05% BSA
Shipped at conditions
Blue Ice
Appropriate short-term storage duration
1-2 weeks
Appropriate short-term storage conditions
+4°C
Appropriate long-term storage conditions
-20°C
Aliquoting information
Upon delivery aliquot
Storage information
Avoid freeze / thaw cycle

Supplementary information

This supplementary information is collated from multiple sources and compiled automatically.

ALDH1L1 and ALDH1L2 also called 10-formyltetrahydrofolate dehydrogenases are enzymes involved in folate metabolism. The enzymes have molecular masses of approximately 110 kDa. They are predominantly expressed in astrocytes in the central nervous system. ALDH1L1 is widely recognized as an astrocyte marker due to its specific expression pattern in these glial cells in the brain. The enzyme plays a role in one-carbon metabolism necessary for synthesizing nucleotides and other cellular processes.
Biological function summary

ALDH1L1 and ALDH1L2 participate in the conversion of 10-formyltetrahydrofolate to tetrahydrofolate. This reaction is important for the regulation of cellular one-carbon units. They function as part of the folate metabolic pathway often interacting with proteins like methylene tetrahydrofolate reductase. As an important regulator in folate metabolism ALDH1L1 particularly serves as an astrocyte marker which helps in identifying these cells within the brain tissue.

Pathways

ALDH1L1 and ALDH1L2 are important components of the folate and methionine cycles. These cycles play a significant role in cell growth and proliferation. Within the methionine cycle ALDH1L1 interacts with proteins like methionine synthase facilitating methionine regeneration from homocysteine. This connection highlights the enzymes' integrative role in maintaining cellular methylation and genetic expression through their metabolic functions.

Disturbances in ALDH1L1 and ALDH1L2 activity can link to neurological conditions such as Alzheimer's disease and epilepsy. ALDH1L1 as an astrocyte marker is often researched in the context of neuroinflammation and neurodegeneration. Dysregulation in folate metabolism may affect homocysteine levels potentially connecting ALDH1L1 with proteins such as S-adenosylhomocysteine hydrolase in these diseases. Understanding these enzymes' role in disease pathways offers potential therapeutic targets for related disorders.

Product protocols

For this product, it's our understanding that no specific protocols are required. You can visit:

Target data

Cytosolic 10-formyltetrahydrofolate dehydrogenase that catalyzes the NADP(+)-dependent conversion of 10-formyltetrahydrofolate to tetrahydrofolate and carbon dioxide (PubMed : 19933275, PubMed : 21238436). May also have an NADP(+)-dependent aldehyde dehydrogenase activity towards formaldehyde, acetaldehyde, propionaldehyde, and benzaldehyde (By similarity).
See full target information ALDH1L1

Additional targets

Mitochondrial 10-formyltetrahydrofolate dehydrogenase

Publications (17)

Recent publications for all applications. Explore the full list and refine your search

Nature communications 16:2435 PubMed40069581

2025

PTN activity in quiescent neural stem cells mediates Shank3 overexpression-induced manic behavior.

Applications

Unspecified application

Species

Unspecified reactive species

Hongwon Kim,Byounggook Cho,Hyung Kyu Kim,Soi Kang,Saemin An,Daeyeol Kwon,Hee Young Kim,Jongpil Kim

Theranostics 14:4297-4317 PubMed39113798

2024

Astrocyte-derived lactate aggravates brain injury of ischemic stroke in mice by promoting the formation of protein lactylation.

Applications

Unspecified application

Species

Unspecified reactive species

Xiao-Yi Xiong,Xin-Ru Pan,Xia-Xia Luo,Yu-Fei Wang,Xin-Xiao Zhang,Su-Hao Yang,Zhan-Qiong Zhong,Chang Liu,Qiong Chen,Peng-Fei Wang,Xiao-Wei Chen,Shu-Guang Yu,Qing-Wu Yang

Science advances 9:eadg2067 PubMed37352348

2023

An independent regulator of global release pathways in astrocytes generates a subtype of extracellular vesicles required for postsynaptic function.

Applications

Unspecified application

Species

Unspecified reactive species

Reuben Levy-Myers,Daniel Daudelin,Chan Hyun Na,Shanthini Sockanathan

Brain, behavior, and immunity 112:188-205 PubMed37329995

2023

Fetal brain vulnerability to SARS-CoV-2 infection.

Applications

Unspecified application

Species

Unspecified reactive species

Courtney L McMahon,Joshua Castro,Jesus Silvas,Aranis Muniz Perez,Manuel Estrada,Ricardo Carrion,Jenny Hsieh

The Journal of clinical investigation 133: PubMed37104042

2023

Postoperative risk of IDH-mutant glioma-associated seizures and their potential management with IDH-mutant inhibitors.

Applications

Unspecified application

Species

Unspecified reactive species

Michael R Drumm,Wenxia Wang,Thomas K Sears,Kirsten Bell-Burdett,Rodrigo Javier,Kristen Y Cotton,Brynna Webb,Kayla Byrne,Dusten Unruh,Vineeth Thirunavu,Jordain Walshon,Alicia Steffens,Kathleen McCortney,Rimas V Lukas,Joanna J Phillips,Esraa Mohamed,John D Finan,Lucas Santana-Santos,Amy B Heimberger,Colin K Franz,Jonathan Kurz,Jessica W Templer,Geoffrey T Swanson,Craig Horbinski

CNS neuroscience & therapeutics 29:2206-2222 PubMed37032635

2023

Inhibition of TANK-binding kinase1 attenuates the astrocyte-mediated neuroinflammatory response through YAP signaling after spinal cord injury.

Applications

Unspecified application

Species

Unspecified reactive species

Wenbin Zhang,Mengxian Jia,Jiashu Lian,Sheng Lu,Jian Zhou,Ziwei Fan,Zhoule Zhu,Yaozhi He,Changgang Huang,Mingyu Zhu,Jian Wang,Ying Wang,Zhihui Huang,Honglin Teng

Biology direct 17:23 PubMed36050791

2022

The role of LINC01419 in regulating the cell stemness in lung adenocarcinoma through recruiting EZH2 and regulating FBP1 expression.

Applications

Unspecified application

Species

Unspecified reactive species

Zhao Chen,Weijian Tang,Yuhan Zhou,Zhengfu He

Bioengineered 13:1952-1961 PubMed35104170

2022

Overexpression of Eukaryotic translation initiation factor 3D induces stem cell-like properties and metastasis in cervix cancer by activating FAK through inhibiting degradation of GRP78.

Applications

Unspecified application

Species

Human

Yan Zhong,Jian Lan

Acta neuropathologica communications 10:72 PubMed35534858

2022

Changes in glial cell phenotypes precede overt neurofibrillary tangle formation, correlate with markers of cortical cell damage, and predict cognitive status of individuals at Braak III-IV stages.

Applications

Unspecified application

Species

Unspecified reactive species

Raquel N Taddei,Maria V Sanchez-Mico,Orla Bonnar,Theresa Connors,Angelica Gaona,Dominique Denbow,Matthew P Frosch,Teresa Gómez-Isla

Frontiers in cellular neuroscience 16:858347 PubMed35573835

2022

Centrin 2: A Novel Marker of Mature and Neoplastic Human Astrocytes.

Applications

Unspecified application

Species

Unspecified reactive species

Elisa Degl'Innocenti,Tino Emanuele Poloni,Valentina Medici,Luca Recupero,Claudia Dell'Amico,Eleonora Vannini,Ugo Borello,Chiara Maria Mazzanti,Marco Onorati,Maria Teresa Dell'Anno
View all publications

Product promise

We are committed to supporting your work with high-quality reagents, and we're here for you every step of the way. In the unlikely event that one of our products does not perform as expected, you're protected by our Product Promise.
For full details, please see our Terms & Conditions

Please note: All products are 'FOR RESEARCH USE ONLY. NOT FOR USE IN DIAGNOSTIC OR THERAPEUTIC PROCEDURES'.

For licensing inquiries, please contact partnerships@abcam.com