JavaScript is disabled in your browser. Please enable JavaScript to view this website.
AB233016

Anti-ALDH1L1 + ALDH1L2 antibody [EPR12743(B)] - BSA and Azide free

Be the first to review this product! Submit a review

|

(1 Publication)

Rabbit Recombinant Monoclonal ALDH1L1 antibody. Carrier free. Suitable for IHC-P, IHC-Fr, WB and reacts with Human, Mouse, Rat samples. Cited in 1 publication.

View Alternative Names

FTHFD, ALDH1L1, Cytosolic 10-formyltetrahydrofolate dehydrogenase, 10-FTHFDH, FDH, Aldehyde dehydrogenase family 1 member L1

5 Images
Immunohistochemistry (Formalin/PFA-fixed paraffin-embedded sections) - Anti-ALDH1L1 + ALDH1L2 antibody [EPR12743(B)] - BSA and Azide free (AB233016)
  • IHC-P

Supplier Data

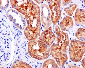
Immunohistochemistry (Formalin/PFA-fixed paraffin-embedded sections) - Anti-ALDH1L1 + ALDH1L2 antibody [EPR12743(B)] - BSA and Azide free (AB233016)

Immunohistochemical analysis of paraffin-embedded Human kidney tissue labeling ALDH1L1 with ab177463 at 1/50 dilution. Antigen retrieval was heat mediated with citrate buffer pH 6 before commencing with IHC staining protocol.

This data was developed using the same antibody clone in a different buffer formulation containing PBS, BSA, glycerol, and sodium azide (ab177463).

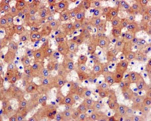
Immunohistochemistry (Formalin/PFA-fixed paraffin-embedded sections) - Anti-ALDH1L1 + ALDH1L2 antibody [EPR12743(B)] - BSA and Azide free (AB233016)
  • IHC-P

Supplier Data

Immunohistochemistry (Formalin/PFA-fixed paraffin-embedded sections) - Anti-ALDH1L1 + ALDH1L2 antibody [EPR12743(B)] - BSA and Azide free (AB233016)

Immunohistochemical analysis of paraffin-embedded Human liver tissue labeling ALDH1L1 with ab177463 at 1/50 dilution. Antigen retrieval was heat mediated with citrate buffer pH 6 before commencing with IHC staining protocol.

This data was developed using the same antibody clone in a different buffer formulation containing PBS, BSA, glycerol, and sodium azide (ab177463).

Immunohistochemistry (Frozen sections) - Anti-ALDH1L1 + ALDH1L2 antibody [EPR12743(B)] - BSA and Azide free (AB233016)
  • IHC-Fr

Lab

Immunohistochemistry (Frozen sections) - Anti-ALDH1L1 + ALDH1L2 antibody [EPR12743(B)] - BSA and Azide free (AB233016)

Immunohistochemistry (Frozen sections) analysis of rat liver tissue labeling ALDH1L1 with ab177463 at 1/100 dilution. Tissue was fixed with 4% PFA and permeabilised with 0.2% Triton X-100. ab150077, Goat Anti-Rabbit IgG H&L (Alexa Fluor® 488) at 1/1000 dilution was used as the secondary antibody. DAPI (blue) was used as nucleare counterstain. Antigen retrieval was heat mediated using sodium citrate buffer (10mM citrate pH 6.0 + 0.05% Tween-20).

Cytoplasmic staining on rat liver.

This data was developed using the same antibody clone in a different buffer formulation containing PBS, BSA, glycerol, and sodium azide (ab177463).

Immunohistochemistry (Frozen sections) - Anti-ALDH1L1 + ALDH1L2 antibody [EPR12743(B)] - BSA and Azide free (AB233016)
  • IHC-Fr

Lab

Immunohistochemistry (Frozen sections) - Anti-ALDH1L1 + ALDH1L2 antibody [EPR12743(B)] - BSA and Azide free (AB233016)

Immunohistochemistry (Frozen sections) analysis of mouse liver tissue labeling ALDH1L1 with ab177463 at 1/100 dilution. Tissue was fixed with 4% PFA and permeabilised with 0.2% Triton X-100. ab150077, Goat Anti-Rabbit IgG H&L (Alexa Fluor® 488) at 1/1000 dilution was used as the secondary antibody. DAPI (blue) was used as nucleare counterstain. Antigen retrieval was heat mediated using sodium citrate buffer (10mM citrate pH 6.0 + 0.05% Tween-20).

Cytoplasmic staining on mouse liver.

This data was developed using the same antibody clone in a different buffer formulation containing PBS, BSA, glycerol, and sodium azide (ab177463).

Western blot - Anti-ALDH1L1 + ALDH1L2 antibody [EPR12743(B)] - BSA and Azide free (AB233016)
  • WB

Lab

Western blot - Anti-ALDH1L1 + ALDH1L2 antibody [EPR12743(B)] - BSA and Azide free (AB233016)

Blocking/Diluting buffer and concentration : 5% NFDM/TBST. This data was developed using the same antibody clone in a different buffer formulation containing PBS, BSA, glycerol, and sodium azide (ab177463).

Lanes 1 - 2:

Western blot - Anti-ALDH1L1 + ALDH1L2 antibody [EPR12743(B)] - Astrocyte Marker (<a href='/en-us/products/primary-antibodies/aldh1l1-aldh1l2-antibody-epr12743b-astrocyte-marker-ab177463'>ab177463</a>) at 1/1000 dilution

Lanes 1 - 2:

Western blot - Anti-ALDH1L1 + ALDH1L2 antibody [EPR12743(B)] - BSA and Azide free (ab233016)

Lane 1:

His-tagged mouse ALDH1L1 fragment recombinant protein (aa162-366) at 10 ng

Lane 2:

His-tagged mouse ALDH1L2 fragment recombinant protein (aa184-387) at 10 ng

Secondary

All lanes:

Western blot - Goat Anti-Rabbit IgG H&L (HRP) (<a href='/en-us/products/secondary-antibodies/goat-rabbit-igg-h-l-hrp-ab97051'>ab97051</a>) at 1/20000 dilution

Observed band size: 25 kDa

false

Exposure time: 20s

  • Unconjugated

    Anti-ALDH1L1 + ALDH1L2 antibody [EPR12743(B)] - Astrocyte Marker

  • 665 Alexa Fluor® 647

    Alexa Fluor® 647 Anti-ALDH1L1 + ALDH1L2 antibody [EPR12743(B)] - Astrocyte Marker

  • 603 Alexa Fluor® 568

    Alexa Fluor® 568 Anti-ALDH1L1 + ALDH1L2 antibody [EPR12743(B)] - Astrocyte Marker

  • 775 Alexa Fluor® 750

    Alexa Fluor® 750 Anti-ALDH1L1 + ALDH1L2 antibody [EPR12743(B)] - Astrocyte Marker

  • 617 Alexa Fluor® 594

    Alexa Fluor® 594 Anti-ALDH1L1 + ALDH1L2 antibody [EPR12743(B)]

  • 565 Alexa Fluor® 555

    Alexa Fluor® 555 Anti-ALDH1L1 antibody [EPR12743(B)] - Astrocyte Marker

Key facts

Host species

Rabbit

Clonality

Monoclonal

Clone number

EPR12743(B)

Isotype

IgG

Carrier free

Yes

Reacts with

Mouse, Rat, Human

Applications

IHC-Fr, IHC-P, WB

applications

Immunogen

The exact immunogen used to generate this antibody is proprietary information.

Reactivity data

{ "title": "Reactivity Data", "filters": { "stats": ["", "Species", "Dilution Info", "Notes"], "tabs": { "all-applications": {"fullname" : "All Applications", "shortname": "All Applications"}, "IHCP" : {"fullname" : "Immunohistochemistry (Formalin/PFA-fixed paraffin-embedded sections)", "shortname":"IHC-P"}, "IHCFr" : {"fullname" : "Immunohistochemistry (Frozen sections)", "shortname":"IHC-Fr"}, "FlowCyt" : {"fullname" : "Flow Cytometry", "shortname":"Flow Cyt"}, "WB" : {"fullname" : "Western blot", "shortname":"WB"}, "ICCIF" : {"fullname" : "Immunocytochemistry/ Immunofluorescence", "shortname":"ICC/IF"} }, "product-promise": { "all": "all", "testedAndGuaranteed": "tested", "guaranteed": "expected", "predicted": "predicted", "notRecommended": "not-recommended" } }, "values": { "Human": { "IHCP-species-checked": "testedAndGuaranteed", "IHCP-species-dilution-info": "", "IHCP-species-notes": "<p></p>", "IHCFr-species-checked": "guaranteed", "IHCFr-species-dilution-info": "", "IHCFr-species-notes": "", "FlowCyt-species-checked": "notRecommended", "FlowCyt-species-dilution-info": "", "FlowCyt-species-notes": "<p></p>", "WB-species-checked": "guaranteed", "WB-species-dilution-info": "", "WB-species-notes": "<p></p>", "ICCIF-species-checked": "notRecommended", "ICCIF-species-dilution-info": "", "ICCIF-species-notes": "<p></p>" }, "Mouse": { "IHCP-species-checked": "guaranteed", "IHCP-species-dilution-info": "", "IHCP-species-notes": "", "IHCFr-species-checked": "testedAndGuaranteed", "IHCFr-species-dilution-info": "", "IHCFr-species-notes": "<p></p>", "FlowCyt-species-checked": "notRecommended", "FlowCyt-species-dilution-info": "", "FlowCyt-species-notes": "<p></p>", "WB-species-checked": "guaranteed", "WB-species-dilution-info": "", "WB-species-notes": "<p></p>", "ICCIF-species-checked": "notRecommended", "ICCIF-species-dilution-info": "", "ICCIF-species-notes": "<p></p>" }, "Rat": { "IHCP-species-checked": "guaranteed", "IHCP-species-dilution-info": "", "IHCP-species-notes": "", "IHCFr-species-checked": "testedAndGuaranteed", "IHCFr-species-dilution-info": "", "IHCFr-species-notes": "<p></p>", "FlowCyt-species-checked": "notRecommended", "FlowCyt-species-dilution-info": "", "FlowCyt-species-notes": "<p></p>", "WB-species-checked": "guaranteed", "WB-species-dilution-info": "", "WB-species-notes": "<p></p>", "ICCIF-species-checked": "notRecommended", "ICCIF-species-dilution-info": "", "ICCIF-species-notes": "<p></p>" } } }

Product details

ab233016 is the carrier-free version of ab177463.

Patented technology
Our RabMAb® technology is a patented hybridoma-based technology for making rabbit monoclonal antibodies. For details on our patents, please refer to RabMAb® patents.

What are the advantages of a recombinant monoclonal antibody?
This product is a recombinant monoclonal antibody, which offers several advantages including:

  • - High batch-to-batch consistency and reproducibility
  • - Improved sensitivity and specificity
  • - Long-term security of supply
  • - Animal-free batch production

For more information, read more on recombinant antibodies.

Conjugation ready
Our carrier-free antibodies are typically supplied in a PBS-only formulation, purified and free of BSA, sodium azide and glycerol. This conjugation-ready format is designed for use with fluorochromes, metal isotopes, oligonucleotides, and enzymes, which makes them ideal for antibody labelling, functional and cell-based assays, flow-based assays (e.g. mass cytometry) and Multiplex Imaging applications.

Use our conjugation kits for antibody conjugates that are ready-to-use in as little as 20 minutes with 1 minute hands-on-time and 100% antibody recovery: available for fluorescent dyes, HRP, biotin and gold.

Compatibility
This product is compatible with the Maxpar® Antibody Labeling Kit from Fluidigm, without the need for antibody preparation. Maxpar® is a trademark of Fluidigm Canada Inc.

Properties and storage information

Form
Liquid
Purification technique
Affinity purification Protein A
Storage buffer
pH: 7.2 - 7.4 Constituents: PBS
Shipped at conditions
Blue Ice
Appropriate short-term storage conditions
+4°C
Appropriate long-term storage conditions
+4°C
Storage information
Do Not Freeze

Supplementary information

This supplementary information is collated from multiple sources and compiled automatically.

ALDH1L1 and ALDH1L2 also called 10-formyltetrahydrofolate dehydrogenases are enzymes involved in folate metabolism. The enzymes have molecular masses of approximately 110 kDa. They are predominantly expressed in astrocytes in the central nervous system. ALDH1L1 is widely recognized as an astrocyte marker due to its specific expression pattern in these glial cells in the brain. The enzyme plays a role in one-carbon metabolism necessary for synthesizing nucleotides and other cellular processes.
Biological function summary

ALDH1L1 and ALDH1L2 participate in the conversion of 10-formyltetrahydrofolate to tetrahydrofolate. This reaction is important for the regulation of cellular one-carbon units. They function as part of the folate metabolic pathway often interacting with proteins like methylene tetrahydrofolate reductase. As an important regulator in folate metabolism ALDH1L1 particularly serves as an astrocyte marker which helps in identifying these cells within the brain tissue.

Pathways

ALDH1L1 and ALDH1L2 are important components of the folate and methionine cycles. These cycles play a significant role in cell growth and proliferation. Within the methionine cycle ALDH1L1 interacts with proteins like methionine synthase facilitating methionine regeneration from homocysteine. This connection highlights the enzymes' integrative role in maintaining cellular methylation and genetic expression through their metabolic functions.

Disturbances in ALDH1L1 and ALDH1L2 activity can link to neurological conditions such as Alzheimer's disease and epilepsy. ALDH1L1 as an astrocyte marker is often researched in the context of neuroinflammation and neurodegeneration. Dysregulation in folate metabolism may affect homocysteine levels potentially connecting ALDH1L1 with proteins such as S-adenosylhomocysteine hydrolase in these diseases. Understanding these enzymes' role in disease pathways offers potential therapeutic targets for related disorders.

Product protocols

For this product, it's our understanding that no specific protocols are required. You can visit:

Target data

Cytosolic 10-formyltetrahydrofolate dehydrogenase that catalyzes the NADP(+)-dependent conversion of 10-formyltetrahydrofolate to tetrahydrofolate and carbon dioxide (PubMed : 19933275, PubMed : 21238436). May also have an NADP(+)-dependent aldehyde dehydrogenase activity towards formaldehyde, acetaldehyde, propionaldehyde, and benzaldehyde (By similarity).
See full target information ALDH1L1

Additional targets

Mitochondrial 10-formyltetrahydrofolate dehydrogenase

Publications (1)

Recent publications for all applications. Explore the full list and refine your search

Cancers 16: PubMed39682121

2024

Downregulated Regucalcin Expression Induces a Cancer-like Phenotype in Non-Neoplastic Prostate Cells and Augments the Aggressiveness of Prostate Cancer Cells: Interplay with the G Protein-Coupled Oestrogen Receptor?

Applications

Unspecified application

Species

Unspecified reactive species

Lara R S Fonseca,Ricardo J P Carreira,Mariana Feijó,José E B Cavaco,Henrique J Cardoso,Cátia V Vaz,Marília I Figueira,Sílvia Socorro
View all publications

Product promise

We are committed to supporting your work with high-quality reagents, and we're here for you every step of the way. In the unlikely event that one of our products does not perform as expected, you're protected by our Product Promise.
For full details, please see our Terms & Conditions

Please note: All products are 'FOR RESEARCH USE ONLY. NOT FOR USE IN DIAGNOSTIC OR THERAPEUTIC PROCEDURES'.

For licensing inquiries, please contact partnerships@abcam.com