JavaScript is disabled in your browser. Please enable JavaScript to view this website.
AB56777

Anti-ALDH1L1 antibody [3E9] - Astrocyte Marker

1

(1 Review)

|

(27 Publications)

Anti-ALDH1L1 antibody [3E9] (ab56777) is a mouse monoclonal antibody detecting ALDH1L1 in Western Blot, Flow Cytometry, IP, IHC-P, ICC/IF. Suitable for Human, Mouse.

- Over 20 publications
- Trusted since 2007

View Alternative Names

FTHFD, ALDH1L1, Cytosolic 10-formyltetrahydrofolate dehydrogenase, 10-FTHFDH, FDH, Aldehyde dehydrogenase family 1 member L1

5 Images
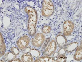
Immunohistochemistry (Formalin/PFA-fixed paraffin-embedded sections) - Anti-ALDH1L1 antibody [3E9] - Astrocyte Marker (AB56777)
  • IHC-P

Unknown

Immunohistochemistry (Formalin/PFA-fixed paraffin-embedded sections) - Anti-ALDH1L1 antibody [3E9] - Astrocyte Marker (AB56777)

ALDH1L1 antibody (ab56777) used in immunohistochemistry at 3ug/ml on formalin fixed and paraffin embedded human kidney.

This image was generated using the ascites version of the product.

Immunocytochemistry/ Immunofluorescence - Anti-ALDH1L1 antibody [3E9] - Astrocyte Marker (AB56777)
  • ICC/IF

Unknown

Immunocytochemistry/ Immunofluorescence - Anti-ALDH1L1 antibody [3E9] - Astrocyte Marker (AB56777)

ICC/IF image of ab56777 stained HeLa cells. The cells were 4% formaldehyde fixed (10 min) and then incubated in 1%BSA / 10% normal goat serum / 0.3M glycine in 0.1% PBS-Tween for 1h to permeabilise the cells and block non-specific protein-protein interactions. The cells were then incubated with the antibody (ab56777, 1μg/ml) overnight at +4°C. The secondary antibody (green) was Alexa Fluor® 488 goat anti-mouse IgG (H+L) used at a 1/1000 dilution for 1h. Alexa Fluor® 594 WGA was used to label plasma membranes (red) at a 1/200 dilution for 1h. DAPI was used to stain the cell nuclei (blue) at a concentration of 1.43μM.

This image was generated using the ascites version of the product.

Flow Cytometry - Anti-ALDH1L1 antibody [3E9] - Astrocyte Marker (AB56777)
  • Flow Cyt

Unknown

Flow Cytometry - Anti-ALDH1L1 antibody [3E9] - Astrocyte Marker (AB56777)

Overlay histogram showing HepG2 cells stained with ab56777 (red line). The cells were fixed with 80% methanol (5 min) and then permeabilized with 0.1% PBS-Tween for 20 min. The cells were then incubated in 1x PBS / 10% normal goat serum / 0.3M glycine to block non-specific protein-protein interactions followed by the antibody (ab56777, 0.5μg/1x106 cells) for 30 min at 22°C. The secondary antibody used was DyLight® 488 goat anti-mouse IgG (H+L) (ab96879) at 1/500 dilution for 30 min at 22°C. Isotype control antibody (black line) was Mouse IgG3 [MG3-35] (ab18394, 1μg/1x106 cells) used under the same conditions. Acquisition of >5,000 events was performed. This antibody gave a positive signal in HepG2 cells fixed with 4% paraformaldehyde (10 min)/permeabilized in 0.1% PBS-Tween used under the same conditions.

This image was generated using the ascites version of the product.

Immunoprecipitation - Anti-ALDH1L1 antibody [3E9] - Astrocyte Marker (AB56777)
  • IP

Unknown

Immunoprecipitation - Anti-ALDH1L1 antibody [3E9] - Astrocyte Marker (AB56777)

ALDH1L1 was immunoprecipitated using 0.5mg Mouse Liver whole tissue extract, 5μg of Mouse monoclonal to ALDH1L1 and 50μl of protein G magnetic beads (+). No antibody was added to the control (-).
The antibody was incubated under agitation with Protein G beads for 10min, Mouse Liver whole tissue extract lysate diluted in RIPA buffer was added to each sample and incubated for a further 10min under agitation.
Proteins were eluted by addition of 40μl SDS loading buffer and incubated for 10min at 70oC; 10μl of each sample was separated on a SDS PAGE gel, transferred to a nitrocellulose membrane, blocked with 5% BSA and probed with ab56777.
Secondary : Goat polyclonal to mouse IgG light chain specific (HRP) at 1/5000 dilution.
Band : 99kDa : ALDH1L1; non specific - 60kDa : We are unsure as to the identity of this extra band.

This image was generated using the ascites version of the product.

All lanes:

Immunoprecipitation - Anti-ALDH1L1 antibody [3E9] - Astrocyte Marker (ab56777)

Predicted band size: 99 kDa

false

Western blot - Anti-ALDH1L1 antibody [3E9] - Astrocyte Marker (AB56777)
  • WB

Unknown

Western blot - Anti-ALDH1L1 antibody [3E9] - Astrocyte Marker (AB56777)

ALDH1L1 antibody (ab56777) at 1ug/lane + NIH/3T3 cell lysate at 25 μg/lane.

This image was generated using the ascites version of the product.

All lanes:

Western blot - Anti-ALDH1L1 antibody [3E9] - Astrocyte Marker (ab56777)

Predicted band size: 99 kDa

false

Key facts

Host species

Mouse

Clonality

Monoclonal

Clone number

3E9

Isotype

IgG3

Light chain type

kappa

Carrier free

No

Reacts with

Mouse, Human

Applications

WB, ICC/IF, Flow Cyt, IP, IHC-P

applications

Immunogen

Recombinant Fragment Protein within Human ALDH1L1 aa 800 to C-terminus. The exact immunogen used to generate this antibody is proprietary information.

O75891

Reactivity data

{ "title": "Reactivity Data", "filters": { "stats": ["", "Species", "Dilution Info", "Notes"], "tabs": { "all-applications": {"fullname" : "All Applications", "shortname": "All Applications"}, "IP" : {"fullname" : "Immunoprecipitation", "shortname":"IP"}, "FlowCyt" : {"fullname" : "Flow Cytometry", "shortname":"Flow Cyt"}, "WB" : {"fullname" : "Western blot", "shortname":"WB"}, "IHCP" : {"fullname" : "Immunohistochemistry (Formalin/PFA-fixed paraffin-embedded sections)", "shortname":"IHC-P"}, "ICCIF" : {"fullname" : "Immunocytochemistry/ Immunofluorescence", "shortname":"ICC/IF"} }, "product-promise": { "all": "all", "testedAndGuaranteed": "tested", "guaranteed": "expected", "predicted": "predicted", "notRecommended": "not-recommended" } }, "values": { "Human": { "IP-species-checked": "guaranteed", "IP-species-dilution-info": "", "IP-species-notes": "", "FlowCyt-species-checked": "testedAndGuaranteed", "FlowCyt-species-dilution-info": "", "FlowCyt-species-notes": "<p><a href='/en-us/products/unavailable/mouse-igg3-kappa-monoclonal-mg3-35-isotype-control-low-endotoxin-azide-free-ab18392'>ab18392</a> - Mouse monoclonal IgG3, is suitable for use as an isotype control with this antibody.</p>", "WB-species-checked": "guaranteed", "WB-species-dilution-info": "", "WB-species-notes": "", "IHCP-species-checked": "testedAndGuaranteed", "IHCP-species-dilution-info": "", "IHCP-species-notes": "<p></p>", "ICCIF-species-checked": "testedAndGuaranteed", "ICCIF-species-dilution-info": "", "ICCIF-species-notes": "<p></p>" }, "Mouse": { "IP-species-checked": "testedAndGuaranteed", "IP-species-dilution-info": "", "IP-species-notes": "<p></p>", "FlowCyt-species-checked": "guaranteed", "FlowCyt-species-dilution-info": "", "FlowCyt-species-notes": "", "WB-species-checked": "testedAndGuaranteed", "WB-species-dilution-info": "", "WB-species-notes": "<p></p>", "IHCP-species-checked": "guaranteed", "IHCP-species-dilution-info": "", "IHCP-species-notes": "", "ICCIF-species-checked": "guaranteed", "ICCIF-species-dilution-info": "", "ICCIF-species-notes": "" }, "Rabbit": { "IP-species-checked": "predicted", "IP-species-dilution-info": "", "IP-species-notes": "", "FlowCyt-species-checked": "predicted", "FlowCyt-species-dilution-info": "", "FlowCyt-species-notes": "", "WB-species-checked": "predicted", "WB-species-dilution-info": "", "WB-species-notes": "", "IHCP-species-checked": "predicted", "IHCP-species-dilution-info": "", "IHCP-species-notes": "", "ICCIF-species-checked": "predicted", "ICCIF-species-dilution-info": "", "ICCIF-species-notes": "" } } }

Product details

What is this antibody validated in?
Anti-ALDH1L1 antibody [3E9] (ab56777) is a mouse monoclonal antibody and is validated for use in Western Blot (WB), Flow Cytometry (Flow Cyt), Immunoprecipitation (IP), Immunohistochemistry (IHC-P), Immunocytochemistry/immunofluorescence (ICC/IF) in Human, Mouse samples.

What is the molecular weight of ALDH1L1?
Anti-ALDH1L1 [3E9] (ab56777) specifically detects a band for ALDH1L1 (UniProt: O75891) at a molecular weight of 99kDa.

Trusted by the scientific community
Anti-ALDH1L1 [3E9] (ab56777) was first used in a scientific publication in 2007 and has been cited over 20 times in peer-reviewed journals.

Properties and storage information

Form
Liquid
Purity
Tissue culture supernatant
Purification notes
Purified from TCS.
Storage buffer
pH: 7.4
Shipped at conditions
Blue Ice
Appropriate short-term storage conditions
+4°C
Appropriate long-term storage conditions
-20°C
Aliquoting information
Upon delivery aliquot
Storage information
Avoid freeze / thaw cycle

Supplementary information

This supplementary information is collated from multiple sources and compiled automatically.

ALDH1L1 also known as 10-formyltetrahydrofolate dehydrogenase plays an important role as a metabolic enzyme involved in folate metabolism. Typically ALDH1L1 has a molecular mass of around 100 kDa. You can find this protein expressed strongly in the liver and brain particularly in astrocytes where it serves as a marker for these star-shaped glial cells. The expression of ALDH1L1 indicates its significant presence in these tissues helping researchers identify and study astrocyte function more effectively.
Biological function summary

ALDH1L1 is involved in the one-carbon metabolism pathway contributing to the conversion of formyl groups into CO2. This reaction aids in regulating cellular homeostasis and energy production. Within the biological context ALDH1L1 works independently and does not form a large complex but efficiently interacts with other enzymes involved in folate transformations. Its activity ensures proper folate cycle functioning supporting DNA synthesis and repair.

Pathways

ALDH1L1 importantly integrates into the folate metabolism pathway supporting detoxification and nucleotide biosynthesis. In this pathway ALDH1L1 interacts with the MTHFD1 protein to maintain the balance of one-carbon units necessary for nucleic acid synthesis. Furthermore ALDH1L1 interplays within the methionine cycle influencing the methylation processes important for gene expression and epigenetic regulation.

ALDH1L1 has associations with neurological conditions particularly Alzheimer's disease and glioblastoma. Changes in ALDH1L1 expression levels have implication in the progression of these diseases. In the context of glioblastoma researchers observe altered ALDH1L1 expression alongside traditional astrocyte markers like GFAP in the tumor microenvironment. Understanding ALDH1L1's role in these conditions could provide insights for developing therapeutic strategies targeting astrocyte behavior.

Product protocols

For this product, it's our understanding that no specific protocols are required. You can visit:

Target data

Cytosolic 10-formyltetrahydrofolate dehydrogenase that catalyzes the NADP(+)-dependent conversion of 10-formyltetrahydrofolate to tetrahydrofolate and carbon dioxide (PubMed : 19933275, PubMed : 21238436). May also have an NADP(+)-dependent aldehyde dehydrogenase activity towards formaldehyde, acetaldehyde, propionaldehyde, and benzaldehyde (By similarity).
See full target information ALDH1L1

Publications (27)

Recent publications for all applications. Explore the full list and refine your search

Advanced science (Weinheim, Baden-Wurttemberg, Germany) 11:e2308508 PubMed39136074

2024

Endothelial Cells Mediated by STING Regulate Oligodendrogenesis and Myelination During Brain Development.

Applications

Unspecified application

Species

Unspecified reactive species

Wenwen Wang,Yanyan Wang,Libo Su,Mengtian Zhang,Tianyu Zhang,Jinyue Zhao,Hongyan Ma,Dongming Zhang,Fen Ji,Ryan Dingli Jiao,Hong Li,Yuming Xu,Lei Chen,Jianwei Jiao

Redox biology 74:103234 PubMed38861834

2024

Dysfunction of astrocytic glycophagy exacerbates reperfusion injury in ischemic stroke.

Applications

Unspecified application

Species

Unspecified reactive species

Haiyun Guo,Yumeng Li,Shiquan Wang,Yongheng Yang,Tiantian Xu,Jianshuai Zhao,Jin Wang,Wenqiang Zuo,Pengju Wang,Guangchao Zhao,Huaning Wang,Wugang Hou,Hailong Dong,Yanhui Cai

CNS neuroscience & therapeutics 29:2206-2222 PubMed37032635

2023

Inhibition of TANK-binding kinase1 attenuates the astrocyte-mediated neuroinflammatory response through YAP signaling after spinal cord injury.

Applications

Unspecified application

Species

Unspecified reactive species

Wenbin Zhang,Mengxian Jia,Jiashu Lian,Sheng Lu,Jian Zhou,Ziwei Fan,Zhoule Zhu,Yaozhi He,Changgang Huang,Mingyu Zhu,Jian Wang,Ying Wang,Zhihui Huang,Honglin Teng

NPJ precision oncology 6:54 PubMed35906273

2022

A patient-designed tissue-engineered model of the infiltrative glioblastoma microenvironment.

Applications

Unspecified application

Species

Unspecified reactive species

R C Cornelison,J X Yuan,K M Tate,A Petrosky,G F Beeghly,M Bloomfield,S C Schwager,A L Berr,C A Stine,D Cimini,F F Bafakih,J W Mandell,B W Purow,B J Horton,J M Munson

Advanced science (Weinheim, Baden-Wurttemberg, Germany) 9:e2105208 PubMed35488517

2022

Endothelial Cells Mediated by UCP2 Control the Neurogenic-to-Astrogenic Neural Stem Cells Fate Switch During Brain Development.

Applications

Unspecified application

Species

Unspecified reactive species

Wenwen Wang,Libo Su,Yanyan Wang,Chenxiao Li,Fen Ji,Jianwei Jiao

Stem cell reviews and reports 18:839-852 PubMed35061207

2022

Downregulated Calcium-Binding Protein S100A16 and HSP27 in Placenta-Derived Multipotent Cells Induce Functional Astrocyte Differentiation.

Applications

Unspecified application

Species

Unspecified reactive species

Yu-Che Cheng,Chi-Jung Huang,Wei-Chi Ku,Shu-Lin Guo,Lu-Tai Tien,Yih-Jing Lee,Chih-Cheng Chien

EMBO reports 23:e53602 PubMed34935271

2021

The human FOXM1 homolog promotes basal progenitor cell proliferation and cortical folding in mouse.

Applications

Unspecified application

Species

Unspecified reactive species

Wenwen Wang,Libo Su,Fen Ji,Dongming Zhang,Yanyan Wang,Jinyue Zhao,Ross Dingyan Jiao,Mengtian Zhang,Enyu Huang,Hong Jiang,Jingjing Zhang,Jianwei Jiao

FEBS letters 596:294-308 PubMed34890048

2021

The chromatin repressors EZH2 and Suv4-20h coregulate cell fate specification during hippocampal development.

Applications

Unspecified application

Species

Unspecified reactive species

Kai-Chun Chang,Christopher T Rhodes,Jesse Q Zhang,Madeleine C Moseley,Sandra M Cardona,Shu-Wei Angela Huang,Ashley Rawls,Vance P Lemmon,Mitchel S Berger,Adam R Abate,Chin-Hsing Annie Lin

Cell 184:4547-4563.e17 PubMed34314701

2021

ELAVL4, splicing, and glutamatergic dysfunction precede neuron loss in MAPT mutation cerebral organoids.

Applications

Unspecified application

Species

Unspecified reactive species

Kathryn R Bowles,M Catarina Silva,Kristen Whitney,Taylor Bertucci,Joshua E Berlind,Jesse D Lai,Jacob C Garza,Nathan C Boles,Sidhartha Mahali,Kevin H Strang,Jacob A Marsh,Cynthia Chen,Derian A Pugh,Yiyuan Liu,Ronald E Gordon,Susan K Goderie,Rebecca Chowdhury,Steven Lotz,Keith Lane,John F Crary,Stephen J Haggarty,Celeste M Karch,Justin K Ichida,Alison M Goate,Sally Temple

Theranostics 11:4187-4206 PubMed33754056

2021

SARM1 promotes neuroinflammation and inhibits neural regeneration after spinal cord injury through NF-κB signaling.

Applications

Unspecified application

Species

Unspecified reactive species

Huitao Liu,Jingjing Zhang,Xingxing Xu,Sheng Lu,Danlu Yang,Changnan Xie,Mengxian Jia,Wenbin Zhang,Lingting Jin,Xiwu Wang,Xiya Shen,Fayi Li,Wangfei Wang,Xiaomei Bao,Sijia Li,Minyu Zhu,Wei Wang,Ying Wang,Zhihui Huang,Honglin Teng
View all publications

Product promise

We are committed to supporting your work with high-quality reagents, and we're here for you every step of the way. In the unlikely event that one of our products does not perform as expected, you're protected by our Product Promise.
For full details, please see our Terms & Conditions

Please note: All products are 'FOR RESEARCH USE ONLY. NOT FOR USE IN DIAGNOSTIC OR THERAPEUTIC PROCEDURES'.

For licensing inquiries, please contact partnerships@abcam.com