JavaScript is disabled in your browser. Please enable JavaScript to view this website.
AB307696

Anti-ALDH1L1 antibody [EPR25443-103] - Astrocyte Marker

  • BOND RX™ Validated
  • Advanced Validation
  • 20ul selling size
  • RabMAb
  • Recombinant
  • What is this?

Be the first to review this product! Submit a review

|

(1 Publication)

Rabbit Recombinant Monoclonal ALDH1L1 antibody. Suitable for mIHC, WB, IHC-P, ICC/IF, Flow Cyt (Intra) and reacts with Mouse, Rat samples. Cited in 1 publication.

View Alternative Names

Fthfd, Aldh1l1, Cytosolic 10-formyltetrahydrofolate dehydrogenase, 10-FTHFDH, FDH, Aldehyde dehydrogenase family 1 member L1

19 Images
Multiplex immunohistochemistry - Anti-ALDH1L1 antibody [EPR25443-103] - Astrocyte Marker (AB307696)
  • mIHC

Lab

Multiplex immunohistochemistry - Anti-ALDH1L1 antibody [EPR25443-103] - Astrocyte Marker (AB307696)

Multiplex immunohistochemistry analysis of formalin/PFA-fixed paraffin-embedded rat liver tissue staining ALDH1L1 with ab307696 at a 1/5000 dilution, ab182981 anti-CD31 used at 1/5000 dilution and ab315474 anti-ABCB11 used at a 1/2000 dilution. Opal Polymer HRP Ms + Rb was used as a secondary antibody.

Panel A : merged staining of anti-ALDH1L1 (green; Opal™520), anti-CD31 (magenta; Opal™690) and anti-ABCB11 (grey; Opal™570) on mouse liver.
Panel B : anti-ALDH1L1 staining hepatocytes in rat liver.
Panel C : anti-CD31 staining endothelium in rat liver.
Panel D : anti-ABCB11 staining bile canaliculi in rat liver.
Nuclear DNA was labeled with DAPI (shown in blue).

The section was incubated in three rounds of staining : in the order of ab307696, ab182981 and ab315474 for 30 mins at room temperature. Each round was followed by a separate fluorescent tyramide signal amplification system.

Heat mediated antigen retrieval with Tris-EDTA buffer (pH 9.0, epitope retrieval solution2) for 20 mins.

Immunohistochemistry (Formalin/PFA-fixed paraffin-embedded sections) - Anti-ALDH1L1 antibody [EPR25443-103] - Astrocyte Marker (AB307696)
  • IHC-P

Supplier Data

Immunohistochemistry (Formalin/PFA-fixed paraffin-embedded sections) - Anti-ALDH1L1 antibody [EPR25443-103] - Astrocyte Marker (AB307696)

Immunohistochemical analysis of paraffin-embedded mouse cerebrum tissue labeling ALDH1L1 with ab307696 at 1/5000 dilution (0.093 ug/ml) followed by ready to use LeicaDS9800 (Bond® Polymer Refine Detection). Positive staining on astrocytes of mouse cerebrum is observed. The section was incubated with ab307696 for 30 mins at room temperature. The immunostaining was performed on a Leica Biosystems BOND® RX instrument. Counterstained with Hematoxylin. Secondary antibody only control : Secondary antibody is ready to use LeicaDS9800 (Bond® Polymer Refine Detection. Heat mediated antigen retrieval was performed with Tris-EDTA buffer (pH 9.0, Epitope Retrieval Solution2) for 20 mins.

Immunohistochemistry (Formalin/PFA-fixed paraffin-embedded sections) - Anti-ALDH1L1 antibody [EPR25443-103] - Astrocyte Marker (AB307696)
  • IHC-P

Supplier Data

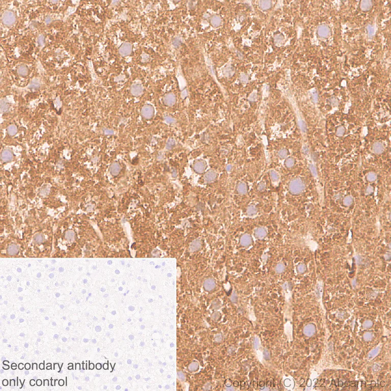
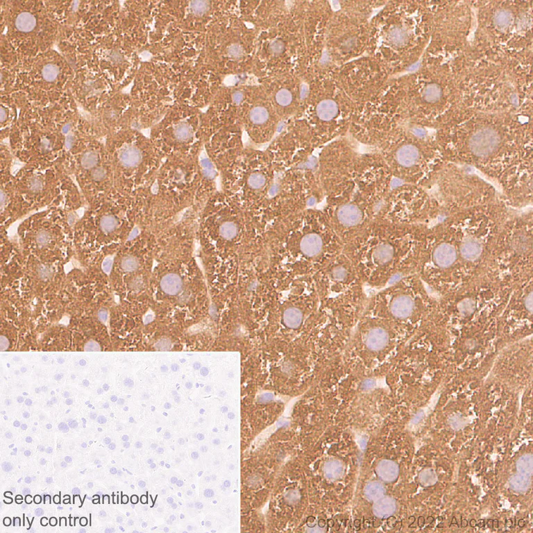
Immunohistochemistry (Formalin/PFA-fixed paraffin-embedded sections) - Anti-ALDH1L1 antibody [EPR25443-103] - Astrocyte Marker (AB307696)

Immunohistochemical analysis of paraffin-embedded rat liver tissue labeling ALDH1L1 with ab307696 at 1/5000 dilution (0.093 ug/ml) followed by ready to use LeicaDS9800 (Bond® Polymer Refine Detection). Positive staining on rat liver is observed. The section was incubated with ab307696 for 30 mins at room temperature. The immunostaining was performed on a Leica Biosystems BOND® RX instrument. Counterstained with Hematoxylin. Secondary antibody only control : Secondary antibody is ready to use LeicaDS9800 (Bond® Polymer Refine Detection). Heat mediated antigen retrieval was performed with Tris-EDTA buffer (pH 9.0, Epitope Retrieval Solution2) for 20 mins.

Immunohistochemistry (Formalin/PFA-fixed paraffin-embedded sections) - Anti-ALDH1L1 antibody [EPR25443-103] - Astrocyte Marker (AB307696)
  • IHC-P

Supplier Data

Immunohistochemistry (Formalin/PFA-fixed paraffin-embedded sections) - Anti-ALDH1L1 antibody [EPR25443-103] - Astrocyte Marker (AB307696)

Immunohistochemical analysis of paraffin-embedded mouse liver tissue labeling ALDH1L1 with ab307696 at 1/5000 dilution (0.093 ug/ml) followed by ready to use LeicaDS9800 (Bond® Polymer Refine Detection). Positive staining on mouse liver is observed. The section was incubated with ab307696 for 30 mins at room temperature. The immunostaining was performed on a Leica Biosystems BOND® RX instrument. Counterstained with Hematoxylin. Secondary antibody only control : Secondary antibody is ready to use LeicaDS9800 (Bond® Polymer Refine Detection. Heat mediated antigen retrieval was performed with Tris-EDTA buffer (pH 9.0, Epitope Retrieval Solution2) for 20 mins.

Immunocytochemistry/ Immunofluorescence - Anti-ALDH1L1 antibody [EPR25443-103] - Astrocyte Marker (AB307696)
  • ICC/IF

Supplier Data

Immunocytochemistry/ Immunofluorescence - Anti-ALDH1L1 antibody [EPR25443-103] - Astrocyte Marker (AB307696)

Immunofluorescent analysis of 4% Paraformaldehyde-fixed, 0.1% Triton X-100 permeabilized mouse primary neural/glia cells labeling ALDH1L1 with ab307696 at 1/250 dilution (1.864 ug/ml) followed by ab150081 Goat Anti-Rabbit IgG H&L (Alexa Fluor® 488) preadsorbed antibody at 1/1000 dilution (2 ug/ml) (Green). Confocal image showing cytoplasmic staining in mouse primary astrocytes. Confocal scanning Z step was set as 0.3 µm followed by image processing with maximum Z projection. Image was taken with a confocal microscope(Leica-Microsystems, TCS SP8). ab10062 Anti-GFAP mouse monoclonal antibody was used to counterstain tubulin at 1/50 dilution (10 ug/ml), followed by ab150120 Goat Anti-Mouse IgG H&L (Alexa Fluor® 594) at 1/1000 dilution (2 ug/ml) (Red). The nuclear counterstain was DAPI (Blue). -ve control 1 : ab307696 at 1/250 dilution followed by ab150120 at 1/1000 dilution. -ve control 2 : ab10062 at 1/50 dilution followed by ab150081 at 1/1000 dilution.

Immunocytochemistry/ Immunofluorescence - Anti-ALDH1L1 antibody [EPR25443-103] - Astrocyte Marker (AB307696)
  • ICC/IF

Supplier Data

Immunocytochemistry/ Immunofluorescence - Anti-ALDH1L1 antibody [EPR25443-103] - Astrocyte Marker (AB307696)

Immunofluorescent analysis of 4% Paraformaldehyde-fixed, 0.1% Triton X-100 permeabilized rat primary neural/glia cells labeling ALDH1L1 with ab307696 at 1/250 dilution (1.864 ug/ml) followed by ab150081 Goat Anti-Rabbit IgG H&L (Alexa Fluor® 488) preadsorbed antibody at 1/1000 dilution (2 ug/ml) (Green). Confocal image showing cytoplasmic staining in rat primary astrocytes. Confocal scanning Z step was set as 0.3 µm followed by image processing with maximum Z projection. Image was taken with a confocal microscope(Leica-Microsystems, TCS SP8). ab10062 Anti-GFAP mouse monoclonal antibody was used to counterstain tubulin at 1/50 dilution (10 ug/ml), followed by ab150120 Goat Anti-Mouse IgG H&L (Alexa Fluor® 594) at 1/1000 dilution (2 ug/ml) (Red). The nuclear counterstain was DAPI (Blue). -ve control 1 : ab307696 at 1/250 dilution followed by ab150120 at 1/1000 dilution. -ve control 2 : ab10062 at 1/50 dilution followed by ab150081 at 1/1000 dilution.

Multiplex immunohistochemistry - Anti-ALDH1L1 antibody [EPR25443-103] - Astrocyte Marker (AB307696)
  • mIHC

Lab

Multiplex immunohistochemistry - Anti-ALDH1L1 antibody [EPR25443-103] - Astrocyte Marker (AB307696)

Multiplex immunohistochemistry analysis of formalin/PFA-fixed paraffin-embedded mouse liver tissue staining ALDH1L1 with ab307696 at a 1/5000 dilution, ab182981 anti-CD31 used at 1/5000 dilution and ab315474 anti-ABCB11 used at a 1/2000 dilution. Opal Polymer HRP Ms + Rb was used as a secondary antibody.

Panel A : merged staining of anti-ALDH1L1 (green; Opal™520), anti-CD31 (magenta; Opal™690) and anti-ABCB11 (grey; Opal™570) on mouse liver.
Panel B : anti-ALDH1L1 staining hepatocytes in mouse liver.
Panel C : anti-CD31 staining endothelium in mouse liver.
Panel D : anti-ABCB11 staining bile canaliculi in mouse liver.
Nuclear DNA was labeled with DAPI (shown in blue).

The section was incubated in three rounds of staining : in the order of ab307696, ab182981 and ab315474 for 30 mins at room temperature. Each round was followed by a separate fluorescent tyramide signal amplification system.

Heat mediated antigen retrieval with Tris-EDTA buffer (pH 9.0, epitope retrieval solution2) for 20 mins.

Immunohistochemistry (Formalin/PFA-fixed paraffin-embedded sections) - Anti-ALDH1L1 antibody [EPR25443-103] - Astrocyte Marker (AB307696)
  • IHC-P

Supplier Data

Immunohistochemistry (Formalin/PFA-fixed paraffin-embedded sections) - Anti-ALDH1L1 antibody [EPR25443-103] - Astrocyte Marker (AB307696)

Immunohistochemical analysis of paraffin-embedded rat cerebrum tissue labeling ALDH1L1 with ab307696 at 1/5000 dilution (0.093 ug/ml) followed by ready to use LeicaDS9800 (Bond® Polymer Refine Detection). Positive staining on astrocytes of rat cerebrum (PMID : 18171944). The section was incubated with ab307696 for 30 mins at room temperature. The immunostaining was performed on a Leica Biosystems BOND® RX instrument. Counterstained with Hematoxylin. Secondary antibody only control : Secondary antibody is ready to use LeicaDS9800 (Bond® Polymer Refine Detection). Heat mediated antigen retrieval was performed with Tris-EDTA buffer (pH 9.0, Epitope Retrieval Solution2) for 20 mins.

Flow Cytometry (Intracellular) - Anti-ALDH1L1 antibody [EPR25443-103] - Astrocyte Marker (AB307696)
  • Flow Cyt (Intra)

Supplier Data

Flow Cytometry (Intracellular) - Anti-ALDH1L1 antibody [EPR25443-103] - Astrocyte Marker (AB307696)

Flow cytometric analysis of 4% paraformaldehyde fixed 90% methanol permeabilized mouse primary neural/glia cells labeling ALDH1L1 with ab307696 at 1/500 dilution (0.1ug) (Right panel) compared with a Rabbit monoclonal IgG isotype control (ab172730) (Left panel). A Goat Anti-Rabbit IgG (Alexa Fluor® 488, ab150081) at 1/500 dilution was used as the secondary antibody.

Flow Cytometry (Intracellular) - Anti-ALDH1L1 antibody [EPR25443-103] - Astrocyte Marker (AB307696)
  • Flow Cyt (Intra)

Supplier Data

Flow Cytometry (Intracellular) - Anti-ALDH1L1 antibody [EPR25443-103] - Astrocyte Marker (AB307696)

Flow cytometric analysis of 4% paraformaldehyde fixed 90% methanol permeabilized rat primary neural/glia cells labeling ALDH1L1 with ab307696 at 1/500 dilution (0.1ug) (Right panel) compared with a Rabbit monoclonal IgG isotype control (ab172730) (Left panel). A Goat Anti-Rabbit IgG (Alexa Fluor® 488, ab150081) at 1/500 dilution was used as the secondary antibody.

Multiplex immunohistochemistry - Anti-ALDH1L1 antibody [EPR25443-103] - Astrocyte Marker (AB307696)
  • mIHC

Lab

Multiplex immunohistochemistry - Anti-ALDH1L1 antibody [EPR25443-103] - Astrocyte Marker (AB307696)

Multiplex immunohistochemistry analysis of formalin/PFA-fixed paraffin-embedded mouse liver tissue staining ALDH1L1 with ab307696 at a 1/5000 dilution, ab322457 anti-PAR1 used at 1/500 dilution and ab315474 anti-ABCB11 used at a 1/2000 dilution.

Panel A : merged staining of anti-ALDH1L1 (green; Opal520), anti-PAR1 (magenta; Opal690) and anti-ABCB11 (gray; Opal570) on mouse liver.
Panel B : anti-ALDH1L1 staining hepatocytes in mouse liver.
Panel C : anti-PAR1 staining endothelium in mouse liver.
Panel D : anti-ABCB11 staining bile canaliculi in mouse liver.
Nuclear DNA was labeled with DAPI (shown in blue).
The section was incubated in three rounds of staining : in the order of ab307696, ab322457 and ab315474 for 30 mins at room temperature. Each round was followed by a separate fluorescent tyramide signal amplification system.

Heat mediated antigen retrieval with Tris-EDTA buffer (pH 9.0, epitope retrieval solution2) for 20 mins.

Multiplex immunohistochemistry - Anti-ALDH1L1 antibody [EPR25443-103] - Astrocyte Marker (AB307696)
  • mIHC

Lab

Multiplex immunohistochemistry - Anti-ALDH1L1 antibody [EPR25443-103] - Astrocyte Marker (AB307696)

Multiplex immunohistochemistry analysis of formalin/PFA-fixed paraffin-embedded mouse liver tissue staining ALDH1L1 with ab307696 at a 1/5000 dilution, ab302928 anti-HIRA/HIR used at 1/100 dilution and ab314327 anti-CD73 used at a 1/250 dilution.

Panel A : merged staining of anti-ALDH1L1 (green; Opal520), anti-HIRA/HIR (magenta; Opal690) and anti-CD73 (grey; Opal570) on mouse liver.
Panel B : anti-ALDH1L1 staining cytoplasm of hepatocytes in mouse liver.
Panel C : anti-HIRA/HIR staining nucleus of hepatocytes in mouse liver.
Panel D : anti-CD73 staining endothelium in mouse liver.
Nuclear DNA was labeled with DAPI (shown in blue).

The section was incubated in three rounds of staining : in the order of ab307696, ab302928 and ab314327 for 30 mins at room temperature. Each round was followed by a separate fluorescent tyramide signal amplification system.

Heat mediated antigen retrieval with Tris-EDTA buffer (pH 9.0, epitope retrieval solution2) for 20 mins.

Multiplex immunohistochemistry - Anti-ALDH1L1 antibody [EPR25443-103] - Astrocyte Marker (AB307696)
  • mIHC

Lab

Multiplex immunohistochemistry - Anti-ALDH1L1 antibody [EPR25443-103] - Astrocyte Marker (AB307696)

Multiplex immunohistochemistry analysis of formalin/PFA-fixed paraffin-embedded mouse liver tissue staining ALDH1L1 with ab307696 at a 1/5000 dilution, ab302928 anti-HIRA/HIR used at 1/100 dilution and ab32572 anti-beta Catenin used at a 1/250 dilution. Opal Polymer HRP Ms + Rb was used as a secondary antibody.

Panel A : merged staining of anti-ALDH1L1 (green; Opal520), anti-HIRA/HIR (magenta; Opal690) and anti-beta Catenin (grey; Opal570) on mouse liver.
Panel B : anti-ALDH1L1 staining cytoplasm of hepatocytes in mouse liver.
Panel C : anti-HIRA/HIR staining nucleus of hepatocytes in mouse liver.
Panel D : anti-beta Catenin staining membrane of hepatocytes in mouse liver.
Nuclear DNA was labeled with DAPI (shown in blue).

The section was incubated in three rounds of staining : in the order of ab307696, ab302928 and ab32572 for 30 mins at room temperature. Each round was followed by a separate fluorescent tyramide signal amplification system.

Heat mediated antigen retrieval with Tris-EDTA buffer (pH 9.0, epitope retrieval solution2) for 20 mins.

Multiplex immunohistochemistry - Anti-ALDH1L1 antibody [EPR25443-103] - Astrocyte Marker (AB307696)
  • mIHC

Lab

Multiplex immunohistochemistry - Anti-ALDH1L1 antibody [EPR25443-103] - Astrocyte Marker (AB307696)

Multiplex immunohistochemistry analysis of formalin/PFA-fixed paraffin-embedded rat liver tissue staining ALDH1L1 with ab307696 at a 1/5000 dilution, ab302928 anti-HIRA/HIR used at 1/100 dilution and ab314327 anti-CD73 used at a 1/250 dilution.

Panel A : merged staining of anti-ALDH1L1 (green; Opal520), anti-HIRA/HIR (magenta; Opal690) and anti-CD73 (grey; Opal570) on rat liver.
Panel B : anti-ALDH1L1 staining cytoplasm of hepatocytes in rat liver.
Panel C : anti-HIRA/HIR staining nucleus of hepatocytes in rat liver.
Panel D : anti-CD73 staining endothelium in rat liver.
Nuclear DNA was labeled with DAPI (shown in blue).

The section was incubated in three rounds of staining : in the order of ab307696, ab302928 and ab314327 for 30 mins at room temperature. Each round was followed by a separate fluorescent tyramide signal amplification system.

Heat mediated antigen retrieval with Tris-EDTA buffer (pH 9.0, epitope retrieval solution2) for 20 mins.

Multiplex immunohistochemistry - Anti-ALDH1L1 antibody [EPR25443-103] - Astrocyte Marker (AB307696)
  • mIHC

Lab

Multiplex immunohistochemistry - Anti-ALDH1L1 antibody [EPR25443-103] - Astrocyte Marker (AB307696)

Multiplex immunohistochemistry analysis of formalin/PFA-fixed paraffin-embedded rat liver tissue staining COL4A2 with ab316099 at a 1/500 dilution, ab307696 anti-ALDH1L1 used at 1/5000 dilution and ab52625 anti-Cytokeratin 19 used at a 1/6000 dilution.

Panel A : merged staining of anti-COL4A2 (green; Opal520), anti-ALDH1L1 (magenta; Opal690) and anti-Cytokeratin 19 (grey; Opal570) on rat liver.
Panel B : anti-COL4A2 staining endothelium in rat liver.
Panel C : anti-ALDH1L1 staining hepatocytes in rat liver.
Panel D : anti-Cytokeratin 19 staining branch of bile ducts in rat liver.

Nuclear DNA was labeled with DAPI (shown in blue).

The section was incubated in three rounds of staining : in the order of ab316099, ab307696 and ab52625 for 30 mins at room temperature. Each round was followed by a separate fluorescent tyramide signal amplification system.

The immunostaining was performed on a Leica Biosystems BOND® RX instrument with an Opal 4-color kit. Image acquisition was performed with Leica SP8 confocal microscope.

Heat mediated antigen retrieval with Tris-EDTA buffer (pH 9.0, epitope retrieval solution2) for 20 mins.

Multiplex immunohistochemistry - Anti-ALDH1L1 antibody [EPR25443-103] - Astrocyte Marker (AB307696)
  • mIHC

Lab

Multiplex immunohistochemistry - Anti-ALDH1L1 antibody [EPR25443-103] - Astrocyte Marker (AB307696)

Multiplex immunohistochemistry analysis of formalin/PFA-fixed paraffin-embedded mouse liver tissue staining COL4A2 with ab316099 at a 1/500 dilution, ab307696 anti-ALDH1L1 used at 1/5000 dilution and ab52625 anti-Cytokeratin 19 used at a 1/6000 dilution.

Panel A : merged staining of anti-COL4A2 (green; Opal520), anti-ALDH1L1 (magenta; Opal690) and anti-Cytokeratin 19 (grey; Opal570) on mouse liver.
Panel B : anti-COL4A2 staining endothelium in mouse liver.
Panel C : anti-ALDH1L1 staining hepatocytes in mouse liver.
Panel D : anti-Cytokeratin 19 staining branch of bile ducts in mouse liver.

Nuclear DNA was labeled with DAPI (shown in blue).

The section was incubated in three rounds of staining : in the order of ab316099, ab307696 and ab52625 for 30 mins at room temperature. Each round was followed by a separate fluorescent tyramide signal amplification system.

The immunostaining was performed on a Leica Biosystems BOND® RX instrument with an Opal 4-color kit. Image acquisition was performed with Leica SP8 confocal microscope.

Heat mediated antigen retrieval with Tris-EDTA buffer (pH 9.0, epitope retrieval solution2) for 20 mins.

Multiplex immunohistochemistry - Anti-ALDH1L1 antibody [EPR25443-103] - Astrocyte Marker (AB307696)
  • mIHC

Lab

Multiplex immunohistochemistry - Anti-ALDH1L1 antibody [EPR25443-103] - Astrocyte Marker (AB307696)

Multiplex immunohistochemistry analysis of formalin/PFA-fixed paraffin-embedded rat liver tissue staining ALDH1L1 with ab307696 at a 1/5000 dilution, ab302928 anti-HIRA/HIR used at 1/100 dilution and ab32572 anti-beta Catenin used at a 1/250 dilution. Opal Polymer HRP Ms + Rb was used as a secondary antibody.

Panel A : merged staining of anti-ALDH1L1 (green; Opal520), anti-HIRA/HIR (magenta; Opal690) and anti-beta Catenin (grey; Opal570) on rat liver.
Panel B : anti-ALDH1L1 staining cytoplasm of hepatocytes in rat liver.
Panel C : anti-HIRA/HIR staining nucleus of hepatocytes in rat liver.
Panel D : anti-beta Catenin staining membrane of hepatocytes in rat liver.
Nuclear DNA was labeled with DAPI (shown in blue).

The section was incubated in three rounds of staining : in the order of ab307696, ab302928 and ab32572 for 30 mins at room temperature. Each round was followed by a separate fluorescent tyramide signal amplification system.

Heat mediated antigen retrieval with Tris-EDTA buffer (pH 9.0, epitope retrieval solution2) for 20 mins.

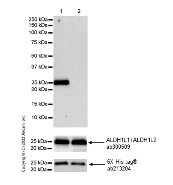
Western blot - Anti-ALDH1L1 antibody [EPR25443-103] - Astrocyte Marker (AB307696)
  • WB

Supplier Data

Western blot - Anti-ALDH1L1 antibody [EPR25443-103] - Astrocyte Marker (AB307696)

Blocking/Dilution buffer : 5% NFDM/TBST. Exposure time : 180 seconds. This antibody does not cross-react with mouse ALDH1L2. In Western blot, anti-ALDH1L1 + ALDH1L2 antibody (ab300509) staining at 1/1000 dilution, anti-His antibody (ab213204) staining at 1/5000 dilution.

All lanes:

Western blot - Anti-ALDH1L1 antibody [EPR25443-103] - Astrocyte Marker (ab307696) at 1/1000 dilution

Lane 1:

His-tagged mouse ALDH1L1 fragment at 10 ng

Lane 2:

His-tagged mouse ALDH1L2 fragment at 10 ng

Secondary

All lanes:

Western blot - Goat Anti-Rabbit IgG H&L (HRP) (<a href='/en-us/products/secondary-antibodies/goat-rabbit-igg-h-l-hrp-ab97051'>ab97051</a>) at 1/100000 dilution

false

Exposure time: 180s

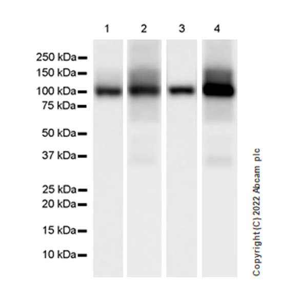
Western blot - Anti-ALDH1L1 antibody [EPR25443-103] - Astrocyte Marker (AB307696)
  • WB

Supplier Data

Western blot - Anti-ALDH1L1 antibody [EPR25443-103] - Astrocyte Marker (AB307696)

Blocking/Dilution buffer : 5% NFDM/TBST. Exposure times : Lane 1 : 10 seconds; Lane 2 : 1 second; Lane 3 : 10 seconds; Lane 4 : 3 seconds. Bands below 100 kDa may due to degradation (PMID : 29979702).

All lanes:

Western blot - Anti-ALDH1L1 antibody [EPR25443-103] - Astrocyte Marker (ab307696) at 1/1000 dilution

Lane 1:

Mouse brain tissue lysate at 20 µg

Lane 2:

Mouse liver tissue lysate at 20 µg

Lane 3:

Rat brain tissue lysate at 20 µg

Lane 4:

Rat liver tissue lysate at 20 µg

Secondary

All lanes:

Western blot - Goat Anti-Rabbit IgG H&L (HRP) (<a href='/en-us/products/secondary-antibodies/goat-rabbit-igg-h-l-hrp-ab97051'>ab97051</a>) at 1/100000 dilution

Predicted band size: 99 kDa

Observed band size: 100 kDa

false

  • Carrier free

    Anti-ALDH1L1 antibody [EPR25443-103] - BSA and Azide free

  • 519 Alexa Fluor® 488

    Alexa Fluor® 488 Anti-ALDH1L1 antibody [EPR25443-103] - Astrocyte Marker

Key facts

Host species

Rabbit

Clonality

Monoclonal

Clone number

EPR25443-103

Isotype

IgG

Carrier free

No

Reacts with

Mouse, Rat

Applications

mIHC, Flow Cyt (Intra), WB, ICC/IF, IHC-P

applications

Immunogen

The exact immunogen used to generate this antibody is proprietary information.

Reactivity data

{ "title": "Reactivity Data", "filters": { "stats": ["", "Species", "Dilution Info", "Notes"], "tabs": { "all-applications": {"fullname" : "All Applications", "shortname": "All Applications"}, "mIHC" : {"fullname" : "Multiplex immunohistochemistry", "shortname":"mIHC"}, "WB" : {"fullname" : "Western blot", "shortname":"WB"}, "IHCP" : {"fullname" : "Immunohistochemistry (Formalin/PFA-fixed paraffin-embedded sections)", "shortname":"IHC-P"}, "ICCIF" : {"fullname" : "Immunocytochemistry/ Immunofluorescence", "shortname":"ICC/IF"}, "FlowCytIntra" : {"fullname" : "Flow Cytometry (Intracellular)", "shortname":"Flow Cyt (Intra)"}, "IHCFr" : {"fullname" : "Immunohistochemistry (Frozen sections)", "shortname":"IHC-Fr"}, "IP" : {"fullname" : "Immunoprecipitation", "shortname":"IP"} }, "product-promise": { "all": "all", "testedAndGuaranteed": "tested", "guaranteed": "expected", "predicted": "predicted", "notRecommended": "not-recommended" } }, "values": { "Human": { "mIHC-species-checked": "notRecommended", "mIHC-species-dilution-info": "", "mIHC-species-notes": "", "WB-species-checked": "notRecommended", "WB-species-dilution-info": "1/1000", "WB-species-notes": "<p></p>", "IHCP-species-checked": "notRecommended", "IHCP-species-dilution-info": "1/5000", "IHCP-species-notes": "<p></p> Perform heat-mediated antigen retrieval with Tris/EDTA buffer pH 9.0 before commencing with IHC staining protocol.", "ICCIF-species-checked": "notRecommended", "ICCIF-species-dilution-info": "1/250", "ICCIF-species-notes": "<p></p>", "FlowCytIntra-species-checked": "notRecommended", "FlowCytIntra-species-dilution-info": "1/500", "FlowCytIntra-species-notes": "<p></p>", "IHCFr-species-checked": "notRecommended", "IHCFr-species-dilution-info": "", "IHCFr-species-notes": "", "IP-species-checked": "notRecommended", "IP-species-dilution-info": "", "IP-species-notes": "" }, "Mouse": { "mIHC-species-checked": "testedAndGuaranteed", "mIHC-species-dilution-info": "1/5000", "mIHC-species-notes": "<p></p>", "WB-species-checked": "testedAndGuaranteed", "WB-species-dilution-info": "1/1000", "WB-species-notes": "<p></p>", "IHCP-species-checked": "testedAndGuaranteed", "IHCP-species-dilution-info": "1/5000", "IHCP-species-notes": "<p></p> Perform heat-mediated antigen retrieval with Tris/EDTA buffer pH 9.0 before commencing with IHC staining protocol.", "ICCIF-species-checked": "testedAndGuaranteed", "ICCIF-species-dilution-info": "1/250", "ICCIF-species-notes": "<p></p>", "FlowCytIntra-species-checked": "testedAndGuaranteed", "FlowCytIntra-species-dilution-info": "1/500", "FlowCytIntra-species-notes": "<p></p>", "IHCFr-species-checked": "notRecommended", "IHCFr-species-dilution-info": "", "IHCFr-species-notes": "<p></p>", "IP-species-checked": "notRecommended", "IP-species-dilution-info": "", "IP-species-notes": "<p></p>" }, "Rat": { "mIHC-species-checked": "testedAndGuaranteed", "mIHC-species-dilution-info": "1/5000", "mIHC-species-notes": "<p></p>", "WB-species-checked": "testedAndGuaranteed", "WB-species-dilution-info": "1/1000", "WB-species-notes": "<p></p>", "IHCP-species-checked": "testedAndGuaranteed", "IHCP-species-dilution-info": "1/5000", "IHCP-species-notes": "<p></p> Perform heat-mediated antigen retrieval with Tris/EDTA buffer pH 9.0 before commencing with IHC staining protocol.", "ICCIF-species-checked": "testedAndGuaranteed", "ICCIF-species-dilution-info": "1/250", "ICCIF-species-notes": "<p></p>", "FlowCytIntra-species-checked": "testedAndGuaranteed", "FlowCytIntra-species-dilution-info": "1/500", "FlowCytIntra-species-notes": "<p></p>", "IHCFr-species-checked": "notRecommended", "IHCFr-species-dilution-info": "", "IHCFr-species-notes": "<p></p>", "IP-species-checked": "notRecommended", "IP-species-dilution-info": "", "IP-species-notes": "" } } }

Product details

Patented technology
Our RabMAb® technology is a patented hybridoma-based technology for making rabbit monoclonal antibodies. For details on our patents, please refer to RabMAb® patents.

What are the advantages of a recombinant monoclonal antibody?
This product is a recombinant monoclonal antibody, which offers several advantages including:

  • - High batch-to-batch consistency and reproducibility
  • - Improved sensitivity and specificity
  • - Long-term security of supply
  • - Animal-free batch production

For more information, read more on recombinant antibodies.

Properties and storage information

Form
Liquid
Purification technique
Affinity purification Protein A
Storage buffer
pH: 7.2 - 7.4 Preservative: 0.01% Sodium azide Constituents: PBS, 40% Glycerol (glycerin, glycerine), 0.05% BSA
Shipped at conditions
Blue Ice
Appropriate short-term storage duration
1-2 weeks
Appropriate short-term storage conditions
+4°C
Appropriate long-term storage conditions
-20°C
Aliquoting information
Upon delivery aliquot
Storage information
Avoid freeze / thaw cycle

Supplementary information

This supplementary information is collated from multiple sources and compiled automatically.

ALDH1L1 also known as 10-formyltetrahydrofolate dehydrogenase plays an important role as a metabolic enzyme involved in folate metabolism. Typically ALDH1L1 has a molecular mass of around 100 kDa. You can find this protein expressed strongly in the liver and brain particularly in astrocytes where it serves as a marker for these star-shaped glial cells. The expression of ALDH1L1 indicates its significant presence in these tissues helping researchers identify and study astrocyte function more effectively.
Biological function summary

ALDH1L1 is involved in the one-carbon metabolism pathway contributing to the conversion of formyl groups into CO2. This reaction aids in regulating cellular homeostasis and energy production. Within the biological context ALDH1L1 works independently and does not form a large complex but efficiently interacts with other enzymes involved in folate transformations. Its activity ensures proper folate cycle functioning supporting DNA synthesis and repair.

Pathways

ALDH1L1 importantly integrates into the folate metabolism pathway supporting detoxification and nucleotide biosynthesis. In this pathway ALDH1L1 interacts with the MTHFD1 protein to maintain the balance of one-carbon units necessary for nucleic acid synthesis. Furthermore ALDH1L1 interplays within the methionine cycle influencing the methylation processes important for gene expression and epigenetic regulation.

ALDH1L1 has associations with neurological conditions particularly Alzheimer's disease and glioblastoma. Changes in ALDH1L1 expression levels have implication in the progression of these diseases. In the context of glioblastoma researchers observe altered ALDH1L1 expression alongside traditional astrocyte markers like GFAP in the tumor microenvironment. Understanding ALDH1L1's role in these conditions could provide insights for developing therapeutic strategies targeting astrocyte behavior.

Product protocols

For this product, it's our understanding that no specific protocols are required. You can visit:

Target data

Cytosolic 10-formyltetrahydrofolate dehydrogenase that catalyzes the NADP(+)-dependent conversion of 10-formyltetrahydrofolate to tetrahydrofolate and carbon dioxide (PubMed : 31624291). May also have an NADP(+)-dependent aldehyde dehydrogenase activity towards formaldehyde, acetaldehyde, propionaldehyde, and benzaldehyde (By similarity).
See full target information Aldh1l1

Publications (1)

Recent publications for all applications. Explore the full list and refine your search

ACS nano 17:24154-24169 PubMed37992211

2023

Layer-by-Layer Polymer Functionalization Improves Nanoparticle Penetration and Glioblastoma Targeting in the Brain.

Applications

Unspecified application

Species

Unspecified reactive species

Andrew J Pickering,Nicholas G Lamson,Michael H Marand,Wei Hwang,Joelle P Straehla,Paula T Hammond
View all publications

Product promise

We are committed to supporting your work with high-quality reagents, and we're here for you every step of the way. In the unlikely event that one of our products does not perform as expected, you're protected by our Product Promise.
For full details, please see our Terms & Conditions

Please note: All products are 'FOR RESEARCH USE ONLY. NOT FOR USE IN DIAGNOSTIC OR THERAPEUTIC PROCEDURES'.

For licensing inquiries, please contact partnerships@abcam.com